Skip to main content

Kongenit hyperinsulinisme - nye årsager og kliniske variationer

Maria Fuglsang Bruun1, Stine Hedegaard Christoffersen1, Klaus Brusgaard2, Sönke Detlefsen3 & Henrik Thybo Christesen4 1) Det Sundhedsvidenskabelige Fakultet, Syddansk Universitet, 2) Klinisk Genetisk Afdeling, Odense Universitetshospital, 3) Patologisk Afdeling, Odense Universitetshospital, og 4) H.C. Andersen Børnehospital, Odense Universitetshospital

18. nov. 2011
16 min.

Kongenit hyperinsulinisme (CHI) er en heterogen sygdom karakteriseret ved non/hypoketotisk hypoglykæmi, en debutalder, der varierer fra fødslen til voksenalderen, og et persisterende, intermitterende eller transitorisk forløb, evt. med senere udvikling af nonautoimmun diabetes. CHI-mutationer kendes nu i otte gener ( ABCC8, KCNJ11, GLUD1, GCK, HADH, SLC16A1, HNF4A og UCP2 ), hvilket giver indsigt i betacellens funktion, men 40-50% af patienterne er fortsat genetisk uafklarede. CHI forekommer dominant, recessivt nedarvet eller de novo. En række syndromer kan ledsages af CHI.

Kongenit hyperinsulinisme (CHI) også kaldet hyperinsulinæmisk hypoglykæmi, familiær (HHF) #Mendelian Inheritance in Man (MIM) 256450 er en heterogen sygdom med variabel ætiologi, histologi og klinisk præsentation karakteriseret ved en medfødt defekt i reguleringen af insulinsekretionen med hypoglykæmi til følge.

Vi vil i denne oversigtsartikel gennemgå de seneste godt 11 års litteratur som en opfølgning på [1].

MATERIALE OG METODER

Artiklen er baseret på søgninger i databasen PubMed for perioden 1. januar 2000-1. februar 2011 med søgeordene: ((hyperinsulinemia OR hyperinsulinemic) AND hypoglycemia) OR congenital hyperinsulinism. Inklusionskriterierne var originalartikler publiceret i dansk- eller engelsksprogede tidsskrifter. Eksklusionskriterier var artikler om insulinresistens eller udelukkende diagnostik og behandling. Relevante artikler og relevante referencer i disse er gennemgået.

KLINISK FREMTRÆDEN

CHI kan debutere i alle aldre, men ses hyppigst i neonatalperioden og er den hyppigste årsag til persisterende hypoglykæmi hos nyfødte og spædbørn. Den svære, persisterende neonatale form har en prævalens på 1:30.000-50.000, dog op til 1:2.675 i områder med høj konsangvinitet [1, 2]. Symptomatisk hypoglykæmi kan debutere allerede inden for den første levetime, men mildere varianter erkendes ofte først senere med klinisk debut så sent som i 47-års-alderen [3]. Ved CHI med neonatal debut ses oftest makrosomi som følge af hyperinsulinismen [2, 4, 5]. Det hyppigste debutsymptom er kramper, men det kliniske spektrum varierer fra asymptomatisk hypoglykæmi til koma. Hypoglykæmien kan være kontinuerlig eller intermitterende, overvejende postprandial eller udløst af faste eller fysisk anstrengelse, afhængigt af ætiologien [3].

Der er beskrevet vidt forskellige udfald for konservativt behandlede patienter: fra fortsat hyperinsulinisme op til 60-års-alderen [6] over spontan remission til udvikling af diabetes [5, 7-10]. Hos patienter med tilsyneladende spontan remission i spædbarnsalderen kan der være risiko for recidiv af hypoglykæmi helt op i teenagealderen [11, 12].

DIAGNOSE

Neonatal hypoglykæmi med behov for en glukoseinfusionsrate > 6-8 mg/kg/minut bør føre til udredning for CHI. Sekundære former (maternel diabetes, asfyksi og medikamentelle former) skal være udelukket. Neonatal hypoglykæmi defineres som en glukoseværdi < 2,5 mmol/l efter to timers levetid. Hos patienter, der er over enmånedsalderen, defineres hypoglykæmi som en glukosekoncentration < 3,2 mmol/l. Differentialdiagnostisk bør epilepsi og andre årsager til hypoglykæmi, inkl. Münchhausen by proxy overvejes, mens hyperinsulinisme pga. insulinom kun sjældent ses hos børn i førskolealderen [3]. Serum (S)-insulin og C-peptid skal bestemmes under igangværende hypoglykæmi, hvor værdier ikke kun over, men også i normalområdet indikerer hyperinsulinisme [13, 14], idet insulin- og C-peptid-sekretionen ved hypoglykæmi normalt supprimeres. Ofte fejltolkes en »normal« værdi af S-insulin og C-peptid, fordi den ikke ses i korrekt sammenhæng med den samtidige hypoglykæmi. Ved sensitive målemetoder er de nedre grænser for S-insulin og C-peptid dog ikke fastlagt præcist hos børn, og suppression hhv. insufficient suppression kan forekomme hos samme patient, hvorfor diagnosen kan være vanskelig at stille uden genetisk afklaring [14].

Diagnosen ved mildere former og differentiering af nogle CHI-subtyper kan kræve provokationstest. Diagnosekriterier og paraklinisk udredning er sammenfattet i Tabel 1 .

HISTOLOGISKE TYPER

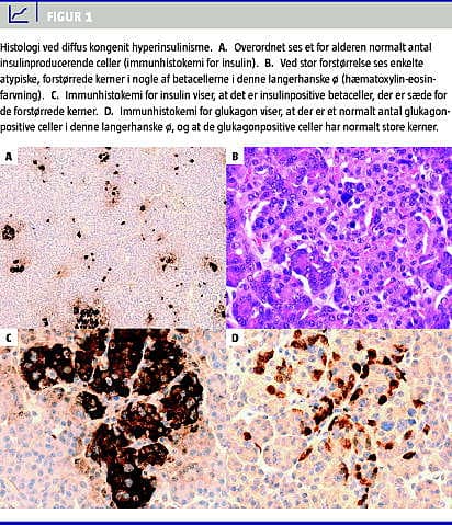
Histologisk ses der to hovedtyper af CHI, den diffuse og den fokale type. Diffus CHI ses hos 35-60% af opererede patienter [4, 15, 16] og er karakteriseret ved forstørrede cellekerner i en eller flere hypertrofiske, insulinproducerende betaceller i de langerhanske øer, diffust fordelt i pancreas (Figur 1 ).

Den fokale type af CHI er karakteriseret ved et lokaliseret område med en såkaldt adenomatøs hyperplasi, som udgøres af konfluerende langerhanske øer (Figur 2 A og B). I det omgivende pancreasvæv er de langerhanske øer en anelse formindskede, og de endokrine celler har sparsomt cytoplasma og små kerner [4, 15, 17]. Fokale læsioner er oftest under 10-15 mm i diameter.

Sjældent ses atypiske former som segmentalt mosaisk diffus/fokal type, den ekstensive fokale type (Figur 2C og D) og multifokale læsioner [4, 15]. Ved den segmentalt mosaiske type ses segmentale områder, hvor der i nogle af de langerhanske øer påvises forstørrede cellekerner, og i andre øer ses små celler og små cellekerner (som ved fokal CHI uden for læ-sionen) [18]. Den ekstensive fokale type ligner histologisk den fokale, men omfatter helt op til 90% af pancreas (Figur 2C og D).

De histologiske typer kan ikke adskilles på baggrund af den kliniske fremtræden [4]. Undtagelsesvist ses gentagen fokal CHI eller diffus CHI og fokal CHI hos patienter i samme familie.

GENETIK OG GENOTYPE-FÆNOTYPE-KORRELATIONER

I dag kendes mutationer i otte forskellige gener ved nonsyndromal CHI [1, 5, 19-21], men den genetiske årsag er stadig uafklaret hos 40-50%. Mutationer i ABCC8 eller KCNJ11 ses hos 50-80% med svær CHI (opererede pa tienter) [4, 16], mens genotypen kun er klarlagt hos omkring 25% af de medicinsk responsive patienter [22]. Fælles for mutationerne er, at de fører til en forstyrret eller ophævet kobling mellem glukosekoncentrationsniveauet og betacellens insulinsekretion.

CHI-ABCC8 og CHI-KCNJ11 (#MIM 256450, #MIM 601820)

Inhiberende homozygote eller compound heterozygote mutationer i kromosom 11p15-generne ABCC8 eller KCNJ11 er den hyppigst kendte årsag til CHI. Mutationerne resulterer i en defekt funktion af KATP -kanalens to strukturelle elementer, sulfonylureareceptor (SUR1), hhv. kalium-inward rectifier Kir6.2 (Figur 3 ). Dette fører til membrandepolarisering og hypersekretion af insulin. Den deraf følgende hypoglykæmi kan være permanent eller ved mildere former fastebetinget, men også proteininduceret, herunder såvel leucinfølsom som ikke leucinfølsom [6, 23, 24]. CHI-ABCC8 og CHI-KCNJ11 kan formentlig ikke adskilles klinisk, bortset fra at CHI-KCNJ11 er sjældnere. Homozygote eller compound heterozygote KATP -kanal-mutationer fører hyppigst til svær, ofte medicinsk intraktabel, neonatalt debuterende hypoglykæmi, men hypoglykæmien kan også være mildere, senere debuterende og transitorisk [25]. I de senere år er der beskrevet dominante mutationer i ABCC8 og KCNJ11 med mildere, medicinsk responsiv CHI [6, 7, 23, 24, 26].

Homozygote eller compound heterozygote KATP -kanal-mutationer resulterer i den histologisk diffuse fænotype. De fokale læsioner har typisk en tohitætiologi med: 1) en paternelt nedarvet mutation i ABCC8 eller KCNJ11 og 2) en fokal, somatisk deletion af det maternelle kromosomområde 11p15 eller en paternel duplikation [15, 17]. Dette medfører fokal betacelleproliferation pga. ubalance mellem imprintede 11p15-gener, som regulerer cellevækst.

Den ekstensive fokale histologiske type skyldes formentlig, at den somatiske mutation er opstået meget tidligt i pancreasembryogenesen [18]. Multifokal CHI kan skyldes fokale, uidentiske maternelle deletioner eller mosaisk uniparental paternel disomi plus mosaisk heterozygot ABCC8 -mutation [27].

Ved CHI-ABCC8 kan der ses udvikling af nonautoimmun, insulinafhængig diabetes efter mange års medicinsk behandling. Diabetesudvikling er kun sjældent rapporteret hos patienter med homozygot CHI-ABCC8, men kun få af disse patienter har været udelukkende medicinsk behandlet i over 15 år [9].

Diabetesudvikling med debut ned til tiårsalderen er hyppigt beskrevet ved medicinsk behandlet dominant CHI-ABCC8 og CHI-KJCN11, men er ikke fundet i alle studier [7, 8, 10, 23, 24, 26]. Mekanismen bag overgangen fra hyperinsulinisme via remission til diabetes kan være øget betacelleapoptose [25], men hos nogle kan der også være insulinresistens i forbindelse med overvægt [7, 8].

Funktionelt modsatrettede - aktiverende - mutationer i ABCC8 og KCNJ11 medfører neonatal diabetes mellitus. Konsekvenserne af inhiberende og aktiverende KATP -kanal-mutationer understreger betacelle-KATP -kanalens betydning hos mennesker, hvorimod KATP -kanal-knockout hos mus giver en næsten normal glukosekoncentration trods permanent membrandepolarisering og en hurtig udvikling af glukoseintolerans og diabetes [28].

CHI-GLUD1 (#MIM 606762)

CHI-GLUD1 er den næsthyppigste årsag til CHI og skyldes dominante, aktiverende mutationer i GLUD1. GLUD1 koder for enzymet glutamatdehydrogenase (GDH), der katalyserer omdannelsen af glutamat til alfaketoglutarat og ammoniak, hvorfor der ses ledsagende asymptomatisk hyperammoniæmi. Aktiverende mutationer i GLUD1 øger affiniteten for alfaketoglutarat eller nedsætter GTP's eller ATP's allosteriske inihibering. Aminosyren leucin stimulerer den aktiverende ligand af GDH. Hos patienter med aktiverende GLUD1 -mutation fører dette til en unaturligt forøget ATP/ADP-ratio i betacellen og dermed leucinfølsom hyperinsulinæmisk hypoglykæmi. CHI-GLUD1 debuterer typisk i spædbarnsalderen og er medicinsk responsiv, men med en høj forekomst af epilepsi [29, 30]. Klinisk ses hypoglykæmi efter et proteinrigt måltid. Hyperinsulinisme/hyperammoniæmi kan forekomme uden påviselig GLUD1 -mutation, og hyperammoniæmi er ikke altid til stede ved CHI-GLUD1, og ikke alle med leucininduceret hypoglykæmi har CHI-GLUD1 [23, 30]. Histologisk er der kun meget diskrete forandringer med spredte forstørrede cellekerner i kun enkelte af de langerhanske øer.

CHI-HADH (#MIM 609975)

HADH koder for 3-hydroxyacyl-koenzym A-dehydrogenase, som katalyserer det næstsidste trin i betaoxidationen af fedtsyrer. Sjældne, inhiberende mutationer i dette gen kan medføre CHI med dominant eller recessiv arvegang [19, 31, 32]. Den kliniske præsentation er heterogen mht. sværhedsgrad, og debutalderen varierer fra få dage til fire måneder. Hos nogle ses øget urin-3-hydroxyglutarat og S-hydroxybutyrylcarnitin. Den hyperinsulinæmiske hypoglykæmi er proteininduceret [31]. Patofysiologisk viser knockoutstudier på mus, at muteret HADH ikke kan inhibere GDH, hvorfor effekten er den samme som ved aktiverende GLUD1 -mutationer. Ved CHI-HADH ses i modsætning til CHI-GLUD1 dog ikke hyperammoniæmi [33].

CHI-GCK (#MIM 602485)

CHI forårsaget af aktiverende mutationer i GCK ses hos godt 1% af alle patienter med nonsyndromal CHI [13]. Arvegangen er autosomal dominant, men de novo-mutationer forekommer ofte [12-14, 34]. GCK koder for enzymet glukokinase (GK), der katalyserer det hastighedsbegrænsende første trin i glykolysen. Aktiverende mutationer i GCK øger GK-affiniteten for glukose, så tærsklen for insulinsekretion nedsættes. Mutationerne er lokaliseret i det allosteriske område af GK-enzymet og forårsager en konformationsændring til aktivt enzym [11]. Ved faste udløses hypoglykæmi uden fortsat faldende tendens. Hos nogle patienter ses især postprandial hypoglykæmi [3, 12, 34]. Fænotypien er meget variabel, selv for den samme mutation i samme familie. Debutalderen varierer fra neonatalperioden til voksenalderen. Den senere debut kan skyldes manglende diagnosticering, selvbehandling med hyppige måltider og udvikling af hypoglycemia unawareness, der er karakteristisk for CHI-GCK [3]. CHI-GCK bør derfor overvejes ved hypoglykæmi i alle aldre, inklusive ved det såkaldte noninsulinoma pankreatisk hypoglykæmi-syndrom (NIPHS) [3, 14]. Patienterne kan oftest behandles medicinsk, men hos enkelte er sygdommen svær og kan kræve subtotal pankreatektomi [12, 35]. Histologisk ses der spredte forstørrede cellekerner i enkelte af de langerhanske øer og en tendens til forstørrede langerhanske øer uden konfluens.

Hos nogle patienter ses der tilsyneladende klinisk remission, men recidiv kan forekomme senere i livet, hvorfor opfølgning er vigtig. Ved udtalt overvægt pga. overspisning for at undgå hypoglykæmi kan den hyperinsulinæmiske hypoglykæmi forværres, hvorved en ond cirkel med yderligere overspisning opstår. Specielt under vægttab kan der ses alvorlige tilfælde af hypoglykæmi - især postprandialt [3].

Effekten af aktiverende GCK -mutationer er blevet efterlignet ved nye designerdrugs, der målrettet binder sig til det allosteriske område i GK og derved skaber øget insulinsekretion som et nyt potentielt middel mod type 2-diabetes.

Funktionelt modsatrettede - inhiberende - mutationer i GCK fører til GCK-maturity onset diabetes of the young (MODY) type 2 ved heterozygote mutationer eller neonatal diabetes mellitus ved compound heterozygote/homozygote mutationer. Dette understreger GK's betydning som betacellens glukosesensor.

CHI-SLC16A1 (#MIM 610021)

En anstrengelsesudløst variant af CHI med dominant arvegang er kun fundet hos under 15 personer og er karakteriseret ved alvorlig hypoglykæmi efter kortvarigt anaerobt arbejde [20, 36]. Aktiverende promotermutationer i SLC16A1 medfører forøget ekspression af pyruvattransporteren MCT1, der normalt ikke er udtrykt i betacellen [20]. Mutationen ophæver det såkaldte pyruvatparadoks ved at muliggøre pyruvatoptag i betacellen, hvorved en patologisk, pyruvatinduceret insulinsekretion opstår under muskelarbejde.

CHI-HNF4A (#MIM 125850)

Det er velkendt, at inhiberende heterozygote mutationer i hepatocytnukleær faktor 4A genet HNF4A fører til progredierende diabetes fra ung voksenalder, HNF4A-MODY (MODY1). I 2007 fandtes sådanne mutationer overraskende også at være årsag til transitorisk, neonatalt debuterende CHI i MODY1-familier [5, 37]. Endnu mere overraskende var det, at disse mutationer også kan give CHI i familier, der ikke har (erkendt) diabetes [22]. Prævalensen estimeres til at være 5% af patienter med medicinsk responsiv CHI. Der er ofte debut inden for første leveuge, makrosomi og mild til moderat hypoglykæmi [5, 22, 37]. Hypoglykæmien remitterer ofte i neonatalperioden, men kan persistere helt op til otteårsalderen. Patienterne har stor risiko for senere i livet at få HNF4A-MODY. Årsagen til forløbet CHI → klinisk remission → diabetes kendes ikke, men kan som ved CHI-ABCC8 forklares ved øget betacelleapoptose, og/eller at transkriptionsfaktoren HNF4A kan have forskellig ekspression på forskellige tidspunkter i livet [5].

CHI-UCP2

Ved enkelte medicinsk responsive patienter med CHI er der påvist inhiberende mutationer i UCP2, der koder for den mitokondrielle transporter uncoupling protein 2 [21]. En autosomal dominant arvegang med nedsat penetrans er blevet foreslået. UCP2 har en inhiberende funktion i reguleringen af insulinsekretionen. Inaktiverende UCP2 -mutation giver derfor øget insulinsekretion, men den præcise patofysiologiske mekanisme ved CHI er stadig uklar.



ATYPISK OG SYNDROMAL CHI

Inhiberende mutationer i insulinreceptoren INSR giver insulinresistens og ofte svær, medfødt diabetes (leprechaunisme/Donohues syndrom, Rabson-Mendenhalls syndrom m.fl.). Mildere mutationer kan dog i stedet manifestere sig som postprandial eller anstrengelsesudløst hypoglykæmi i barne- eller voksenalderen pga. tidsforskudt hyperinsulinisme (nedsat insulin- clearance ) [38]. CHI-INSR må klassificeres som en mild, monogen diabetes med paradoksal debut af hypoglykæmi.

CHI er endvidere associeret til en række syndromer, herunder Beckwith-Wiedemanns syndrom (BWS), kongenit central hypoventilation, Perlmans syndrom, Sotos' syndrom, Kabukis syndrom, kongenit glykosyleringsdefekt (CDG 1a og 1b), mosaisk Turners syndrom og Usher 1c-syndrom. Særlig interessant forekommer associationen af hyperinsulinæmisk hypoglykæmi og BWS, som ses hos 30-50% af patienterne, hvor hypoglykæmien dog oftest er selvlimiterende. Histologisk ses ret udtalte forandringer i pancreas med strøg af endokrine celler, som spreder sig fra de pankreatiske lobulis' centre. Også abnorme betacellekerner kan ses [39].

KONKLUSION

Siden 2000 er CHI's kliniske spektrum blevet udvidet, og genotype-fænotype-relationerne er blevet uddybet. Mildere former kan være vanskelige at diagnosticere. Relaps eller udvikling af diabetes nødvendiggør langtidsopfølgning. Der har været store fremskridt i den genetiske afklaring med påvisningen af fire nye CHI-relaterede gener, herunder opdagelsen af, at HNF4A-MODY kan debutere med CHI. Den stadige uddybning af genotype-fænotype-relationerne giver grundlag for forbedret diagnostik og behandling [40]. Samtidig giver den øgede viden indsigt i betacellens funktion, hvilket giver nye muligheder for målrettet farmakologisk behandling.

src="/LF/images_ufl/ufl_bla.gif">
Henrik Thybo Christesen, H.C. Andersen Børnehospital, Odense Universitetshospital, Sdr. Boulevard 29, 5000 Odense C. E-mail: henrik.christesen@ouh.regionsyddanmark.dk

Antaget: 15. juni 2011

Først på nettet: 15. august 2011

Interessekonflikter: ingen

  1. Christesen HBT, Brusgaard K, Jacobsen BB. Kongenit hyperinsulinisme. Ugeskr Læger 2001;163:2354-8.
  2. Sandal T, Laborie LB, Brusgaard K et al. The spectrum of ABCC8 mutations in Norwegian patients with congenital hyperinsulinism of infancy. Clin Genet 2009;75:440-8.
  3. Christesen HBT, Brusgaard K, Nielsen HB et al. Non-insulinoma persistent hyperinsulinaemic hypoglycaemia caused by an activating glucokinase mutation: hypoglycaemia unawareness and attacks. Clin Endocrinol 2008;68:747-55.
  4. de Lonlay P, Fournet JC, Touati G et al. Heterogeneity of persistent hyperinsulinaemic hypoglycaemia. Eur J Pediatr 2002;161:37-48.
  5. Pearson ER, Boj SF, Steele AM et al. Macrosomia and hyperinsulinaemic hypoglycaemia in patients with heterozygous mutations in the HNF4A gene. PLoS Med 2007;4:760-9.
  6. Thornton PS, MacMullen C, Ganguly A et al. Clinical and molecular characterization of a dominant form of congenital hyperinsulinism caused by a mutation in the high-affinity sulfonyurea receptor. Diabetes 2003;52:2403-10.
  7. Huopio H, Otonkoski T, Vauhkonen I et al. A new subtype of autosomal dominant diabetes attributable to a mutation in the gene for sulfonylurea receptor 1. Lancet 2003;361:301-7.
  8. Abdulhadi-Atwan M, Bushman J, Tornovsky-Babaey S et al. Novel de novo mutation in sulfonylurea receptor 1 present

Summary

Summary Congenital hyperinsulinism: new causes and clinical variations - a systematic review Ugeskr L&aelig;ger 2011;173(47):3026-3031 Congenital hyperinsulinism (CHI) is a heterogeneous disease with variable onset, non- or hypoketotic hypoglycaemia, onset from birth to adulthood and a persistent, intermittent, or transient course with possible later conversion to non-autoimmune diabetes. Giving insights to beta cell function, CHI mutations are now known in eight genes (( ABCC8, KCNJ11, GLUD1, GCK, HADH, SLC16A1, HNF4A and UCP2 ). However, 40-50% of the patients are still genetically unexplained. CHI can be dominantly or recessively inherited or may occur de novo. A number of syndromes can be associated with CHI.

Referencer

  1. Christesen HBT, Brusgaard K, Jacobsen BB. Kongenit hyperinsulinisme. Ugeskr Læger 2001;163:2354-8.
  2. Sandal T, Laborie LB, Brusgaard K et al. The spectrum of ABCC8 mutations in Norwegian patients with congenital hyperinsulinism of infancy. Clin Genet 2009;75:440-8.
  3. Christesen HBT, Brusgaard K, Nielsen HB et al. Non-insulinoma persistent hyperinsulinaemic hypoglycaemia caused by an activating glucokinase mutation: hypoglycaemia unawareness and attacks. Clin Endocrinol 2008;68:747-55.
  4. de Lonlay P, Fournet JC, Touati G et al. Heterogeneity of persistent hyperinsulinaemic hypoglycaemia. Eur J Pediatr 2002;161:37-48.
  5. Pearson ER, Boj SF, Steele AM et al. Macrosomia and hyperinsulinaemic hypoglycaemia in patients with heterozygous mutations in the HNF4A gene. PLoS Med 2007;4:760-9.
  6. Thornton PS, MacMullen C, Ganguly A et al. Clinical and molecular characterization of a dominant form of congenital hyperinsulinism caused by a mutation in the high-affinity sulfonyurea receptor. Diabetes 2003;52:2403-10.
  7. Huopio H, Otonkoski T, Vauhkonen I et al. A new subtype of autosomal dominant diabetes attributable to a mutation in the gene for sulfonylurea receptor 1. Lancet 2003;361:301-7.
  8. Abdulhadi-Atwan M, Bushman J, Tornovsky-Babaey S et al. Novel de novo mutation in sulfonylurea receptor 1 presenting as hyperinsulinism in infancy followed by overt diabetes in early adolescence. Diabetes 2008;57:1935-40.
  9. Gussinyer M, Clemente M, Cebrián R et al. Glucose intolerance and diabetes are observed in the lone-term follow-up of nonpancreatectomized patients with persistent hyperinsulinemic hypoglycaemia of infancy due to mutations in the ABBC8 gene. Diabetes Care 2008;31:1257-9.
  10. Vieira TC, Bergamin CS, Gurgel LC et al. Hyperinsulinemic hypoglycemia evolving to gestational diabetes and diabetes mellitus in a family carrying the inactivating ABCC8 E1506K mutation. Pediatr Diabetes 2010;11:505-8.
  11. Christesen HB, Jacobsen BB, Odili S et al. The second activating glucokinase mutation (A456V): implications for glucose homeostasis and diabetes therapy. Diabetes 2002;51:1240-6.
  12. Sayed S, Langdon DR, Odili S et al. Extremes of clinical and enzymatic phenotypes in children with hyperinsulinisme caused by glukokinase activating mutations. Diabetes 2009;58:1419-27.
  13. Christesen HBT, Tribble ND, Molven A et al. Activating glucokinase (GCK) mutations as a cause of medically responsive congenital hyperinsulinism: prevalence in children and characterisation of a novel GCK mutation. Eur J Endocrinol 2008;159:27-34.
  14. Meissner T, Marquard J, Cobo-Vuilleumier N et al. Diagnostic difficulties in glucokinase hyperinsulinism. Horm Metab Res 2009;41:320-6.
  15. Suchi M, Thornton PS, Adzick NS et al. Congenital hyperinsulinism. Am J Surg Pathol 2004;28:1326-35.
  16. Bellanné-Chantelot C, Saint-Martin C, Ribeiro MJ et al. ABCC8 and KCNJ11 molecular spectrum of 109 patients with diazoxide-unresponsive congenital hyperinsulinism. J Med Genet 2010;47:752-9.
  17. Rahier J, Guiot Y, Sempoux C. Persistent hyperinsulinaemic hypoglycaemia of infancy: a heterogeneous syndrome unrelated to nesidioblastosis. Arch Dis Child Fetal Neonatal Ed 2000;82:F108-12.
  18. Capito C, de Lonlay P, Verkarre V et al. The surgical management of atypical forms of congenital hyperinsulinism. Semin Pediatr Surg 2011;20:54-55.
  19. Clayton P, Eaton S, Aynsley-Green A et al. Hyperinsulinism in short-chain L-3-hydroxyacyl-CoA dehydrogenase defiency reveals the importance of ?-oxidation in insulin secretion. J Clin Invest 2001;108:457-65.
  20. Otonkoski T, Kaminen N, Ustinov J et al. Physical exercise-induced hyperinsulinemic hypoglycemia is an autosomal-dominant trait characterized by abnormal pyruvate-induced insulin release. Diabetes 2003;52:199-204.
  21. González-Barroso MM, Giurgea I, Bouillaud F et al. Mutations in UCP2 in congenital hyperinsulinism reveal a role for regulation of insulin secretion. PLoS One 2008;3:1-8.
  22. Flanagan SE, Kapoor RR, Mali G et al. Diazoxide-responsive hyperinsulinemic hypoglycemia caused by HNF4A gene mutations. Eur J Endocrinol 2010;162:987-92.
  23. Magge SN, Shyng SL, MacMullen C et al. Familial leucine-sensitive hypoglycemia of infancy due to a dominant mutation of the beta-cell sulfonylurea receptor. J Clin Endocrinol Metab 2004;89:4450-6.
  24. de Lonlay P, Giurgea I, Sempoux C et al. Dominantly inherited hyperinsulinaemic hypoglycaemia. J Inherit Metab Dis 2005;28:267-76.
  25. Kassem SA, Ariel I, Thornton PS et al. Beta-cell proliferation and apoptosis in the developing normal human pancreas and in hyperinsulinism of infancy. Diabetes 2000;49:1325-33.
  26. Pinney SE, MacMullen C, Becker S et al. Clinical characteristics and biochemical mechanisms of congenital hyperinsulinism associated with dominant KATP channel mutations. J Clin Invest 2008;118:2877-86.
  27. Hussain K, Flanagan SE, Smith VV et al. An ABCC8 gene mutation and mosaic uniparental isodisomy resulting in atypical diffuse congenital hyperinsulinism. Diabetes 2008;57:259-63.
  28. Seghers V, Nakazaki M, DeMayo,F et al. Sur1 knockout mice. J Biol Chem 2000;275:9270-7.
  29. Bahi-Buisson N, Roze E, Dionisi C et al. Neurological aspects of hyperinsulinism-hyperammonaemia syndrome. Dev Med Child Neurol 2008;50:945-9.
  30. Kapoor RR, Flanagan SE, Fulton P et al. Hyperinsulinism-hyperammonaemia syndrome: novel mutations in the GLUD1 gene and genotype-phenotype correlations. Eur J Endocrinol 2009;161:731-5.
  31. Kapoor RR, James C, Flanagan SE et al. 3-hydroxyacyl-coenzyme A dehydrogenase deficiency and hyperinsulinemic hypoglycemia: characterization of a novel mutation and severe dietary protein sensitivity. J Clin Endocrinol Metab 2009;94:2221-5.
  32. Kaur S, Kulkarni KP, Kochar IP. Severe dietary protein sensitivity and hyperinsulinemic hypoglycemia in a patient with heterozygous mutation in HADH gene. J Pediatr Endocrinol Metab 2010;23:953-5.
  33. Li C, Chen P, Palladino A et al. Mechanism of hyperinsulinism in short-chain 3-hydroxyacyl-CoA dehydrogenase deficiency involves activation of glutamate dehydrogenase. J Biol Chem 2010;285:31806-18.
  34. Dullaart RP, Hoogenberg K, Rouwé CW et al. Family with autosomal dominant hyperinsulinism associated with A456V mutation in the glucokinase gene. J Intern Med 2004;255:143-5.
  35. Kassem S, Heyman M, Glaser B et al. Large islets, beta-cell proliferation, and a glukokinase mutation. N Engl Med 2010;362:1348-50.
  36. Meissner T, Friedmann B, Okun JG et al. Massive insulin secretion in response to anaerobic exercise in exercise-induced hyperinsulinisme. Horm Metab Res 2005;37:690-4.
  37. Kapoor RR, Locke J, Colclough K et al. Persistent hyperinsulinemic hypoglycemia and maturity-onset diabetes of the young due to heterozygous HNF4A mutations. Diabetes 2008;57:1659-63.
  38. Højlund K, Hansen T, Lajer M et al. A novel syndrome of autosomal-dominant hyperinsulinemic hypoglycemia linked to a mutation in the human insulin receptor gene. Diabetes 2004;53:1592-8.
  39. de Lonlay P, Simon A, Galmiche-Rolland L et al. Neonatal hyperinsulinism: clinicopathologic correlation. Hum Pathol 2007;38:387-399.
  40. Christesen HT, Bruun MF, Christoffersen SH et al. Kongenit hyperinsulinisme - diagnostik og behandling. Ugeskr Læger 2011;173:3020-5.