Kriterier for hjernedød i Danmark


Jesper Kelsen1, Karen Irgens Tanderup Hansen2, 3, Andreas Hjelm Brandt1, Peter Birkeland4, Marwan H. Othman2, Trine Stavngaard1, Niels Agerlin4 & Daniel Kondziella2, 5
Hovedbudskaber
Hjernedødskriteriet blev indført i Danmark i 1990 og anvendes ca. 100 gange årligt.
Global anoksisk-iskæmisk hjerneskade diagnosticeres sikkert på CT, ligesom CT-angiografi kan være et alternativ til digital subtraktionsangiografi.
Revision af hjernedødskriteriet i Danmark vil sandsynligvis medføre flere organdonorer.
Den første organtransplantation i Danmark blev udført i april 1964, hvor en nyre fra en hjertedød donor blev transplanteret på Århus Kommunehospital [1, 2]. I 1980’erne blev det for alvor muligt at transplantere større organer efter udviklingen af vævstypebestemmelse og selektive immunosuppressiva med bedre graftoverlevelse [1]. I oktober 1990 blev den første hjertetransplantation foretaget på Rigshospitalet [1-3]. Donoren var en hjernedød patient, hvor eksplantationen af hjertet kunne foregå med bevaret cirkulation. Den lovgivningsmæssige baggrund var sidestillingen af hjerne- og hjertedød samme år med indførelsen af hjernedødskriteriet [4, 5]. I dag erklæres årligt 80-120 patienter for afgået ved hjernedød i Danmark [6].
Internationalt blev hjernedødsbegrebet formet op gennem 1950’erne og 1960’erne med beskrivelser af patienter i respirator med cerebrale katastrofer (initialt benævnt coma depassé), som ikke var i stand til at vågne eller overleve. I 1968 blev de første Harvard Brain Death Criteria formuleret. Globalt og regionalt er der i dag fortsat betydelige forskelle i fremgangsmåden, når en person erklæres for afgået ved hjernedød i EU eller USA [7, 8]. Greer et al lancerede i 2020 The World Brain Death Project, som arbejder på at skabe større international konsensus omkring hjernedødsbegrebet og diagnostikken ved hjernedød [9, 10]. Principielt indgår der fem trin ved diagnosticeringen af hjernedød [11]: 1) vurdering af forudsætninger, 2) neurologisk undersøgelse, 3) apnøtest, 4) eventuelt supplerende undersøgelser og 5) dokumentation.
Forfatterne ønsker dels at gennemgå de gældende hjernedødskriterier i Danmark [12-14] og dels at argumentere for behovet for en revision. Baggrunden for en revision skal bl.a. ses i lyset af betydelige billeddiagnostiske fremskridt. Endvidere har mange EU-lande i løbet af de seneste ti år foretaget en justering af den supplerende paraklinik, som anvendes i hjernedødskriterierne. Endelig tyder en mere pragmatisk tilgang til hjernedødsdiagnostik på, at flere potentielle donorer vil kunne donere organer [15] uden at svække den diagnostiske sikkerhed [16, 17].
I Danmark gælder et helhjernedødskriterium, dvs. at der skal foreligge en tilstand med irreversibelt ophørt funktion af storhjerne, hjernestamme og lillehjerne [5].
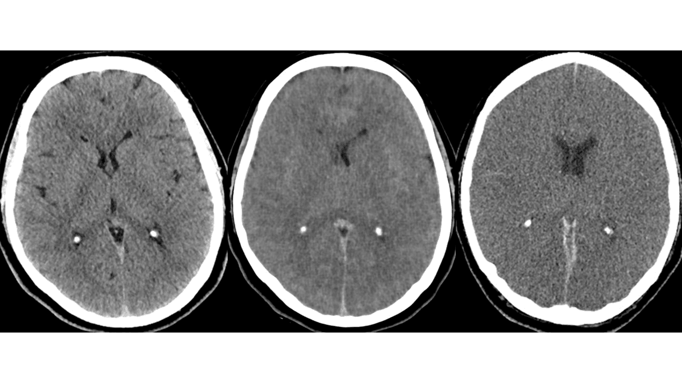
Før den kliniske hjernedødsundersøgelse kan foretages, skal en række forudsætninger være opfyldt (Tabel 1). CT af hjernen er den foretrukne undersøgelse, når årsagen til irreversibel hjernepåvirkning skal udredes (Figur 1). De tilstande, som »Bekendtgørelse om dødens konstatering ved uopretteligt ophør af al hjernefunktion« [13] omtaler som eksempler på årsager til uopretteligt ophør af al hjerneaktivitet, deles op i primære årsager, som omfatter: 1) blødninger i og uden på hjernen, 2) traumatisk hjerneødem og 3) primære hjernetumorer. De sekundære årsager omfatter påvirkning af blod- og iltforsyningen til hjernen, hvilket ses efter apopleksi, respirations- og hjertestop, kvælning, drukning eller længerevarende hypoperfusion.
I 1990 kunne CT-forandringerne i hjernen ved apopleksi samt respirations- og hjertestop ikke visualiseres med tilstrækkelig sikkerhed. Derfor blev det vanlig praksis at foretage en såkaldt opløbsangiografi i disse situationer. I dag er kvaliteten af CT af hjernen så god, at svære, hypoksisk-iskæmiske forandringer erkendes sikkert [18, 19], specielt når undersøgelsen gentages med 24 timers eller 48 timers interval.
Undersøgelsen foretages af to læger, som ikke er involverede i det eventuelt senere transplantationsforløb. Læge A skal være speciallæge i neurologi eller neurokirurgi, mens læge B skal have et kendskab til patienten og have været involveret i behandlingen. Undersøgelsen gentages efter mindst en time, og dødstidspunktet vil være tidspunktet for afslutningen af den anden undersøgelse, medmindre der udføres en supplerende opløbsangiografi (Tabel 2).
Hjernedødsundersøgelsen kan didaktisk deles op i tre dele: 1) centralt og perifert respons på smertestimulation, 2) hjernestammereflekser og 3) apnøtest. Det manglende centrale og perifere respons på smerte skal bekræfte tilstedeværelsen af coma, mens hjernestammereflekserne og apnøtesten er en undersøgelse af funktionen af hjernestammen, herunder respirationscentrets reaktion på stigende pCO2 og acidose.
Pårørende har mulighed for at overvære den kliniske hjernedødsundersøgelse, hvilket kan være med til at lette forståelsen for tilstandens irreversibilitet. Hjernedødsdiagnostik hos børn under et år, patienter i ekstrakorporal membranoxygenering (ECMO)-behandling samt langvarigt hypoterme patienter omtales ikke her.
Centralt og perifert respons på smertestimulation
I ansigtet smertestimuleres der ved samtidigt kraftigt tryk på margo supraorbitalis på nn. supraorbitales’ udtrædelsessted på begge sider. Der observeres for grimasseren i ansigtet og samtidige bevægelser af ekstremiteterne.
Ekstremiteterne smertestimuleres enkeltvis ved et kraftigt tryk med en hård genstand mod neglelejet. Der observeres igen for grimasseren i ansigtet og samtidige afværgebevægelser med ekstremiteterne. Der kan ses spinale reflekser, som kan gøre det nødvendigt at foretage en opløbsangiografi (ved tvivl i forhold til deres anatomiske oprindelse).
Hjernestammereflekser
Pupilrefleksen
Pupillerne bør i udgangspunktet være middel til maksimalt dilaterede uden reaktion for lys. Ved tvivl om den direkte pupilreaktion for lys kan der med fordel anvendes et forstørrelsesglas eller eventuelt et automatisk pupillometer.
Cornearefleksen
Refleksen testes ved at nærme sig lateralt fra med den bløde ende af en vatpind på overgangen mellem bulbus oculi og cornea. Der observeres for en blinkerefleks ved manøvren.
Okulocefalrefleksen
Ved en irreversibel hjernestammepåvirkning forbliver øjnenes akse midtstillet på trods af hurtig rotation af hovedet til hver side. Manøvren bør undlades ved mistanke om cervikal fraktur eller instabilitet.
Okulovestibularrefleksen
Refleksen testes ved at indgive isvand via en 50-ml Janet-sprøjte i hver af de ydre øregange. Ved en irreversibel hjernestammelæsion ses der ikke nystagmus. Der skal gå ca. fem minutter mellem undersøgelse af højre og venstre side.
Svælg- eller kløgningsrefleksen
Refleksen undersøges ved at berøre begge sider af den bagerste del af pharynx med en tungespatel eller et sugekateter.
Hosterefleksen
Refleksen kan fremkaldes ved dyb sugning i trachea med et sugekateter gennem trakealtuben.
Apnøtesten
Det anbefales, at patienten præoxygeneres med 100% ilt i ca. ti minutter. Formålet med testen er at vise, at vejrtrækningen ikke længere igangsættes på trods af hyperkapni og acidose. Ved undersøgelsen frakobles patienten respiratoren i ti minutter, og der gives alene 100% ilt med et flow på 6 l/min via et sugekateter i trakealtuben. Der foretages en arteriel blodgasanalyse forud for apnøtesten og igen efter ti minutter, hvor pCO2 skal være større end 8 kPa. Ideelt bør apnøtesten fortsættes, indtil svaret på den arterielle blodgasanalyse foreligger. Testen kan fortsættes, indtil den ønskede stigning i pCO2 er opnået, hvis cirkulationen ikke påvirkes i betydende grad.
Såfremt testen ikke kan gennemføres, vil der være indikation for en supplerende opløbsangiografi.
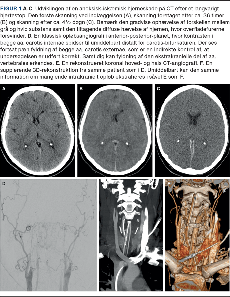
En opløbsangiografi eller en firekars digital subtraktionsangiografi (DSA) er i øjeblikket den eneste tilladte supplerende undersøgelse i Danmark, og den anvendes til at visualisere ophævet cirkulation til hele hjernen. Det diagnostiske kateter indføres via en port i a. femoralis, og anbringes i aorta ascendens. Ved undersøgelsen observeres kontrasttilbuddet i begge aa. carotis internae og a. vertebralis over 15 sekunder. Aa. carotis externae er her en positiv kontrol, som skal fyldes. Såfremt der hverken ses fyldning af a. carotis interna distalt for afgangen af a. ophthalmica eller den intrakranielle del af a. vertebralis, vurderes den cerebrale cirkulation som ophævet. Undersøgelsen gentages efter 15 minutter. Hvis der ved den anden undersøgelse fortsat ikke ses intrakraniel kontrastfyldning af karrene, opfylder patienten de radiologiske kriterier for ophævet cerebral cirkulation.
Undersøgelsen kan alene udføres i sektionerne for neurointervention, som ligger i relation til de neuroradiologiske afdelinger på Aalborg, Aarhus og Odense Universitetshospitaler samt på Rigshospitalet. Det betyder, at patienter, som klinisk opfattes som hjernedøde, eventuelt skal flyttes til et af de omtalte hospitaler, såfremt der er behov for en opløbsangiografi [12, 14].
Hjernedød er først og fremmest en klinisk diagnose, som bygger på triaden: irreversibel coma, hjernestammearefleksi og manglende spontan respiration. Før en person kan erklæres for hjernedød, skal den kliniske tilstand kunne forklares ud fra de billeddiagnostiske fund, ligesom reversible årsager til coma skal være udelukket. Siden indførelsen af hjernedødskriteriet i 1990 er der kommet talrige studier, som belyser facetterne af den kliniske og parakliniske hjernedødsdiagnostik. Studierne er dog retrospektive opgørelser. Tilsvarende bygger de nuværende kriterier ikke på videnskabelig evidens, men afspejler datidens ekspertviden og tekniske formåen.
Opløbsangiografien opfattes som en juridisk nødvendig undersøgelse, og den radiologiske tolkning har derfor været tilsvarende rigid. Patienter, hos hvem der f.eks. ganske kortvarigt ses fyldning af a. carotis interna distalt for afgangen af a. ophthalmica, opfattes som havende cerebral cirkulation. Der indgår ikke en kvalitativ tolkning af, hvorvidt det påviste kontrastflow er fysiologisk eller uforeneligt med cerebral funktion. Selvom opløbsangiografien opfattes som guldstandarden inden for de cerebrale perfusionsundersøgelser, er undersøgelsen afhængig af faktorer som kateterdiameter, kontrastflow, blodtryk og hjertets pumpefunktion. Herudover er undersøgelsen ressourcekrævende, og behovet for eventuel overflytning til et universitetshospital kan have en betydning for, hvorvidt pårørende vælger at samtykke til et donationsforløb. Der er behov for at se på alternativer til vurderingen af den cerebrale perfusion. CT-angiografien er nok den mest lovende modalitet pga. tilgængeligheden uden for universitetshospitalerne og den rutinemæssige anvendelse i hjernedødsdiagnostikken i 11 EU-lande [8, 10, 20-23].
Supplerende diagnostik rummer altid muligheden for et falsk positivt eller falsk negativt svar samt fejltolkning, hvilket kan medføre, at et donationsforløb afbrydes, eller undersøgelsen må gentages efter et døgn med risiko for tab af organer [15]. Opløbsangiografi bør derfor kun udføres, når bekendtgørelsen kræver det, eller der foreligger en faglig tvivl ved f.eks. spinale reflekser.
Vi mener, at tiden er moden til en revision af hjernedødskriteriet fra 1990, og at behovet herfor er uafhængigt af, at der nu i Danmark foreligger mulighed for donation efter cirkulatorisk død. Styrelsen for Patientsikkerhed bør sammen med relevante videnskabelige selskaber som Dansk Neurologisk Selskab, Dansk Neurokirurgisk Selskab, Dansk Neuroradiologisk Selskab, Dansk Pædiatrisk Selskab og Dansk Selskab for Anæstesiologi og Intensiv Medicin stå for denne revision. En revision kunne bl.a. omfatte, at CT-forandringerne ved hypoksisk-iskæmisk hjerneskade accepteres som en irreversibel hjernepåvirkning [18, 19]. Den nuværende fremgangsmåde med to kliniske undersøgelser med apnøtest med en times mellemrum kan udfordres, ligesom alternativer til opløbsangiografi som f.eks. CT-angiografi bør overvejes (Figur 1 D-F). Endelig bør kriterierne for børn < 1 år fastsættes.
I flere lande er der indført certificering af nøglepersoner med års mellemrum. Ved interesse kan Neurocritical Care Societys »brain death toolkit« [24] og »brain death determination course« [25] anbefales.
De danske hjernedødskriterier har ikke været revideret siden indførelsen i 1990. Den billeddiagnostiske udvikling gør, at CT-forandringer ved anoksisk-iskæmisk hjerneskade kan diagnosticeres sikkert, ligesom CT-angiografi vurderes at kunne erstatte DSA. En mere pragmatisk tilgang vil sandsynligvis kunne øge antallet af organdonorer og donerede organer uden at kompromittere den diagnostiske sikkerhed [15].
Korrespondance Jesper Kelsen. E-mail: jesper.kelsen@regionh.dk
Antaget 16. april 2024
Publiceret på ugeskriftet.dk 27. maj 2024
Interessekonflikter Der er anført potentielle interessekonflikter. Forfatternes ICMJE-formularer er tilgængelige sammen med artiklen på ugeskriftet.dk
Referencer findes i artiklen publiceret på ugeskriftet.dk
Artikelreference Ugeskr Læger 2024;186:V11230695.
doi 10.61409/V11230695
Open Access under Creative Commons License CC BY-NC-ND 4.0
In 1990, the Danish brain death legislation was adopted by the Danish Parliament. Each year, around 100 patients in Denmark fulfil criteria for brain death/death by neurological criteria (BD/DNC). In this review of current Danish criteria including the indication for ancillary investigation, which in Denmark is digital subtraction angiography (DSA), we conclude that the time has come to revise the national BD/DNC criteria. We propose that visible anoxic-ischaemic encephalopathy on brain CT after cardiac arrest does not require evaluation by ancillary testing, and that CT-angiography can be used instead of DSA.