Kronisk pulmonal aspergillose som komplikation til lungekaviteter og prednisolonbehandling


Marie Louise Baum Jørgensen1, Markus Fally2, Alan Victor1 & Daria Podlekareva1
Kronisk pulmonal aspergillose (CPA) er en alvorlig svampeinfektion, der primært rammer patienter, som er diagnosticeret med underliggende strukturel lungelidelse, f.eks. KOL, lungeemfysem eller -kaviteter. [1, 2] Derudover medfører erhvervet nedsat immunitet, f.eks. behandling med binyrebarkhormon, øget risiko for udvikling af CPA. [1] Vi rapporterer om en patient med strukturelle lungeforandringer, som udviklede CPA efter flere behandlinger med prednisolon.
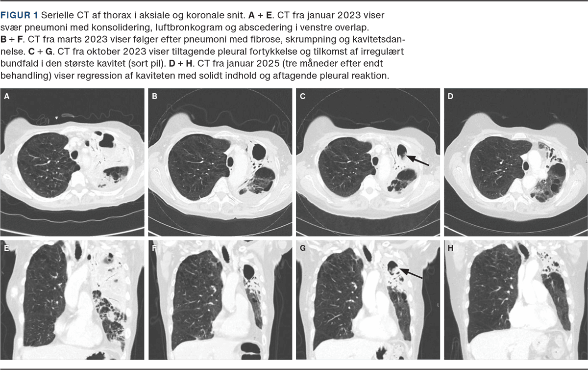
En 68-årig kvinde, diagnosticeret med KOL (GOLD 3E, FEV1 41 %), behandlet med inhaleret langtidsvirkende antikolinergikum (LAMA), samt centrilobulært emfysem af moderat grad, blev i januar 2023 indlagt med svær pneumoni med abscedering i venstre lunge. Under indlæggelsen blev der udført CT af thorax (Figur 1 A + E) samt undersøgelser af ekspektorat, bronkoalveolær lavage (BAL) og blod for bakterier, mykobakterier, vira og svampe. BAL udkom med sparsom vækst af Pseudomonas aeruginosa. Patienten blev behandlet med antibiotika i samlet 32 dage. På klinisk mistanke om et organiserende element tillagde man højdosis prednisolon (50 mg prednisolon dagligt nedtrappet over to måneder, akkumuleret dosis 1.073 mg) med god effekt. En opfølgende CT i marts 2023 viste fibrosering, skrumpning og kavitetsdannelse i venstre overlap (Figur 1 B + F). I april 2023 modtog patienten på mistanke om opblussen en ny prednisolonkur (12,5 mg prednisolon dagligt nedtrappet over tre uger, akkumuleret dosis 273 mg) med godt klinisk respons, og i august 2023 blev patienten igen behandlet med antibiotika og prednisolon (37,5 mg prednisolon dagligt i fem dage, akkumuleret dosis 188 mg) for eksacerbation i KOL og pneumoni. Senere i august 2023 ved ambulant opfølgning beskrev patienten en generel forværring af sin vanlige dyspnø, og der blev derfor tillagt inhalationssteroid/langtidsvirkende beta-2-agonist (ICS/LABA) som inhaleret behandling for KOL.
I oktober 2023 blev patienten indlagt med feber, træthed, dyspnø og hoste. CT af thorax viste tiltagende pleural fortykkelse, konsolidering omkring kaviteterne i venstre overlap samt irregulært bundfald i en af kaviteterne (Figur 1 C + G). Der blev udført bronkoskopi med BAL og transbronkial biopsi samt serologiske undersøgelser. BAL udkom med positiv Aspergillus galactomannan-antigen (AGM) med indeks 4,33 (reference: positiv i BAL ved indeks ≥ 3,0), og Aspergillus fumigatus IgG var forhøjet på 528 mg/l (reference: < 40 mg/l). AGM i blod var negativ. Ti vævsprøver fra venstre overlap blev sendt til histologisk undersøgelse inkl. specialfarvning for svampe. Der var ikke granulomer, nekrose eller tegn på malignitet i biopsimaterialet, og der blev ikke påvist Aspergillus-species eller svampehyfer i biopsimaterialet eller BAL. PCR for Aspergillus blev ikke udført på BAL eller biopsimateriale.
Billedet tolkedes som værende foreneligt med kronisk kaviterende pulmonal aspergillose (CCPA). Patienten blev behandlet med itraconazol, voriconazol, posaconazol og isavuconazol i nævnte rækkefølge. Skift mellem azolerne skyldtes bivirkninger. Interaktionskontrol samt therapeutic drug monitoring (TDM) blev iværksat for alle regimer, og ICS/LABA blev seponeret. Patienten fik samlet et års behandling. Hun responderede godt med regression af kaviteterne på CT (Figur 1 D + H), normalisering af Aspergillus fumigatus IgG samt aftagende symptomer.
Patienter, der har gennemgået behandling med gentagne, langvarige eller høje doser binyrebarkhormon, har en betydeligt øget risiko for svampeinfektion, herunder CPA, særligt når der samtidig foreligger strukturelle lungeforandringer. [3, 4] Det er vigtigt at være opmærksom på dette, da udviklingen kan forløbe snigende, og symptomerne let kan forveksles med forværring af patientens underliggende lungesygdom.
Udredning af CPA er kompleks og kræver integration af symptomatologi, billeddiagnostik, serologi og mikrobiologi samt udelukkelse af relevante differentialdiagnoser. Derudover kræver diagnosen, at symptomer og/eller billeddiagnostiske forandringer har været til stede i minimum tre måneder. [1, 2] I denne case var antagelsen, at patientens forværring i dyspnø over måneder var et udtryk for begyndende CPA.
CPA er en sjælden sygdom i Danmark. I klinisk praksis bør mistanken opstå hos patienter med ovennævnte risikofaktorer, der oplever forværring i kendte luftvejssymptomer eller nytilkomne, langvarige luftvejs- eller almensymptomer. Diagnosen er vanskelig at stille og kræver et vist klinisk kendskab. Der findes både nationale og internationale retningslinjer [1, 2]. I tilfælde af diagnostisk eller behandlingsmæssig tvivl kan der med fordel konfereres med sekundært specialiseret center.
Korrespondance Marie Louise Baum Jørgensen. E-mail: marie.louise.baum.joergensen@regionh.dk
Antaget 25. november 2025
Publiceret på ugeskriftet.dk 9. februar 2026
Interessekonflikter MF oplyser økonomisk støtte eller interesse i consultant in respiratory medicine at Roskilde and Næstved Hospital, European Society of Clinical Microbiology and Infectious Diseases (ESCMID), Doctors without Sponsors Denmark, European Respiratory Society (ERS) samt Ugeskrift for Læger (assisterende redaktør). Alle forfattere har indsendt ICMJE Form for Disclosure of Potential Conflicts of Interest. Disse er tilgængelige sammen med artiklen på ugeskriftet.dk
Referencer findes i artiklen publiceret på ugeskriftet.dk
Artikelreference Ugeskr Læger 2026;188:V05250389
doi 10.61409/V05250389
Open Access under Creative Commons License CC BY-NC-ND 4.0
This case report describes a 68-year-old woman with COPD and emphysema who developed persistent lung cavities following severe community-acquired pneumonia. She subsequently received repeated courses of prednisolone due to clinical suspicion of an organising process, suspected recurrence thereof, and COPD exacerbations. The patient developed chronic cavitary pulmonary aspergillosis, confirmed by imaging and microbiology. She responded well to long-term azole therapy, with both radiological and symptomatic improvement, as well as normalisation of Aspergillus fumigatus IgG.