Skip to main content

Küttnertumor og IgG4-associeret sialoadenitis som benign årsag til en knude på halsen

Britta Kaltoft1, Bo Hainau2 & Jakob G. Welinder1

19. maj 2014
4 min.

Küttnertumor (KT), også kaldet kronisk skleroserende sialoadenitis, er en sjælden og benign pseudotumor, der oftest rammer glandula submandibularis [1-3]. Nye studier tyder på, at immunglobulin (Ig)G4-associeret sialoadenitis (IS) og KT til en vis grad er den samme sygdom [1, 2] og kan være associeret med systemisk sygdom [1-3].

Med tidens fokus på kræftpakkeforløb er det væsentligt at erindre, at »knuden på halsen« ikke udelukkende har malign genese, og KT er en af disse differentialdiagnoser.

SYGEHISTORIE

En 53-årig mand blev henvist til en øre-, næse- og halskirurgisk afdeling pga. hoste og to måneder varende hævelse af halsen. Objektivt fandt man en 3 × 4 cm stor, uøm tumor i begge glandula submandibularis. Finnålsbiopsier var inkonklusive, men en grovnålsbiopsi viste kronisk inflammation med infiltration af lymfocytter og plasmaceller samt fibrose og atrofi af acini. Der var ingen tegn på malignitet.

På grund af hoste henvistes patienten til en lungemedicinsk afdeling. Man foretog CT af hals, thorax og abdomen samt endobronkial ultralydskanning og bronkoskopi, der viste lymfadenopati på halsen og ved lungehilus. Biopsier fra de mediastinale forstørrede lymfeknuder var uden tegn på sarkoidose, tuberkulose eller malignitet.

Pga. nedsat spytsekretion blev patienten henvist til en reumatologisk afdeling. S-IgG og sænkningsreaktion var forhøjede, men S-IgG4 blev ikke målt. Der var ingen andre kliniske tegn på reumatologisk sygdom, hvorfor KT blev foreslået.

Først to år efter symptomdebut blev den venstre glandula submandibularis eksstirperet i generel anæstesi: Den målte 3 × 3 cm og havde en irregulær overflade.

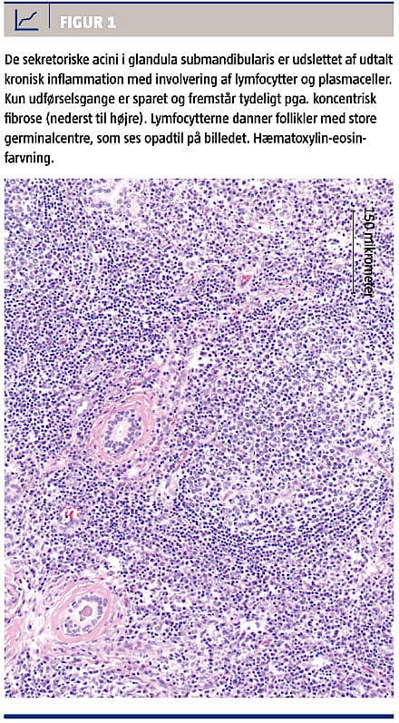
Ved den histologiske undersøgelse fandt man bevaret lobulær arkitektur, betydelig atrofi af acini med isolation af udførselsgangene og ofte koncentrisk skleroserende fibrose omkring udførselsgangene. Der var kraftig kronisk inflammation bestående af lymfocytter og plasmaceller. De fleste plasmaceller farvede for IgG, og IgG4/IgG-ratioen var 0,62. Lymfocytterne dannede follikler med demarkering af germinalcentret. Lymfocytterne var hovedsagligt B-celler, og kun få T-celler blev set. Man fandt ikke lymfoepiteliale læsioner, granulomer, forkalkninger eller akut inflammation (Figur 1). Der var intet tegn på lymfom eller Mikulicz’ sygdom.

Patienten blev udskrevet og set til kontrol tre måneder efter: Han var da symptomfri og havde ikke haft postoperative komplikationer.

DISKUSSION

KT forårsages af kronisk inflammation af glandula submandibularis, men alle spytkirtler kan afficeres [1-3]. Den ætiologiske årsag til KT er ukendt, dog er der fundet spytsten hos 30% af patienterne [1, 2].

Man har fundet en korrelation imellem KT og IS med forhøjet niveau af IgG og IgG4 [1, 2]. Immunhistokemiske farvninger med en IgG4/IgG-ratio over 0,5 er blevet foreslået som værende diagnostisk for IS. Hos patienten i sygehistorien var den 0,62 [2].

IS kan afficere andre organsystemer end den påvirkede spytkirtel, herunder bevirke generaliseret lymfadenopati, skleroserende kolangitis, skleroserende pankreatitis, retroperitoneal fibrose samt

inflammation i nyrer og lunger [1-3]. Patienten i sygehistorien havde respiratoriske symptomer og lymfadenopati, hvilket kan skyldes et systemisk IgG4-immunrespons. Hans respiratoriske symptomer forsvandt efter eksstirpation af den ene afficerede glandula submandibularis, hvilket er beskrevet kasuistisk tidligere [3].

Den kliniske tilstand med en hård tumor i spytkirtlen sammenholdt med de uegnede cytologisvar resulterer ofte i eksstirpation af kirtlen for at få en sikker diagnose. Har man mistanke om IS, skal der laves finnålsaspirat, tages S-IgG og -IgG4 samt udspørges om symptomer på og eventuelt undersøges for systemisk påvirkning.

I flere studier anbefaler man konservativ behandling af IS med steroid [1, 2]. Selvom eksstirpation af kirtlen kan lindre patientens symptomer hurtigt, bør man tage morbiditeten i forbindelse med indgrebet med i sine overvejelser, særligt risikoen for læsion af ramus marginalis mandibulae n. facialis [4].

Korrespondance: Britta Kaltoft, Øre-næse-halskirurgisk Afdeling, Køge Sygehus, Lykkebækvej 1-3, 4600 Køge. E-mail: brittakaltoft@hotmail.com

Antaget: 20. februar 2014

Publiceret på Ugeskriftet.dk: 19. maj 2014

Interessekonflikter:

En fuldstændig referenceliste kan fås ved henvendelse til forfatterne.

Summary

Küttner tumour and IgG4-associated sialadenitis as a benign cause of swelling of the submandibular glands

This is a case report of a 53-year-old man who had a swelling of both submandibular glands and an elevated serum immunoglobulin G (IgG) level. The histopathology examination was positive for IgG4 plasma cells with an IgG4/IgG ratio of 0.62, which is diagnostic for IgG4-associated sialadenitis.If IgG4-associated sialadenitis is suspected fine needle aspiration, serum IgG/IgG4 and examination of extra salivary disease should be performed to confirm the diagnosis.

Referencer

LITTERATUR

  1. Kitagawa S, Zen Y, Harada K et al. Abundant IgG4-positive plasma cell infiltration characterizes chronic sclerosing sialadenitis (Küttner’s tumor). Am J Surg Pathol 2005;29:783-91.

  2. Geyer JT, Ferry JA, Harris NL et al. Chronic sclerosing sialadenitis (Küttner tumor) is an IgG4-associated disease. Am J Surg Pathol 2010;34:202-10.

  3. Seki N, Yamazaki N, kondo A et al. Spontaneous regression of lung lesions after excision of the submandibular gland in a patient with chronic sclerosing sialadenitis. Auris Nasus Larynx 2012;39:212-5.

  4. Springborg LK, Møller MN. Submandinular gland excision: long-term clinical outcome in 139 patients operated in a single institution. Eur Arch Otorhinolaryngol 2013;270:1441-6.