Læsion af nervus phrenicus som årsag til vejtrækningsbesvær hos nyfødt barn


Stine Uhrenholt Jensen1, Cecilie Stephanie Kiellerup Johnsen1, Ann-Marie Malby Schoos1, 2, Hristo Stanchev1, 2 & Maren Johanne Heilskov Rytter1, 2
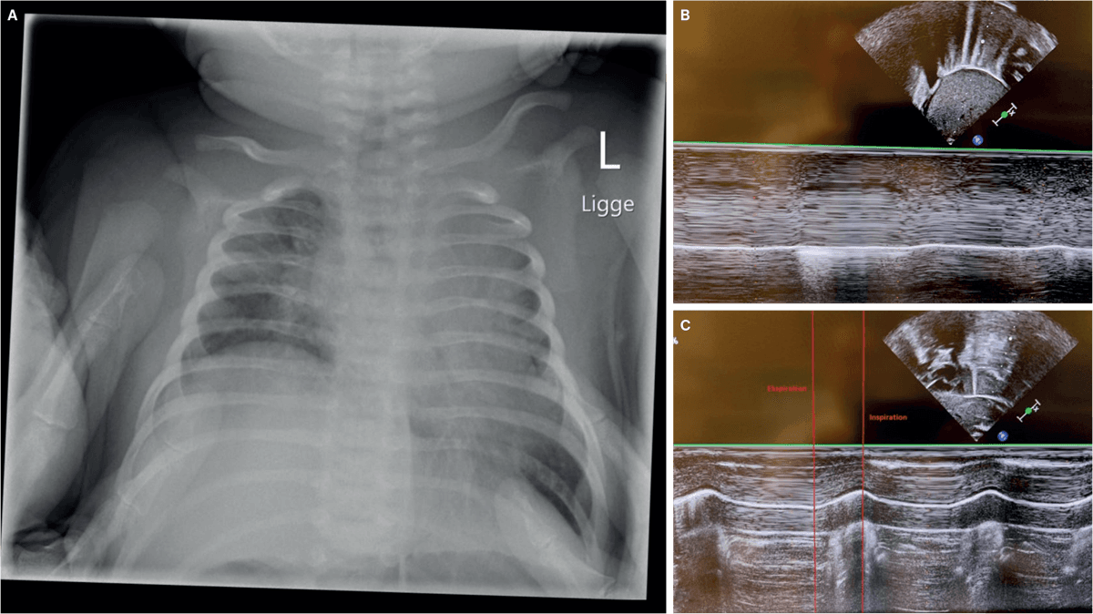
En 13 dage gammel pige blev henvist med besværet vejrtrækning. Moren var diagnosticeret med gestationel diabetes, og pigen var født ved manuel forløsning efter kortvarig skulderdystoci, med en fødselsvægt på 4,2 kg. Forældrene beskrev, at hun virkede øm i nakken. Hun fandtes med let besværet vejrtrækning og asymmetriske thorax-bevægelser, men var alment upåvirket og havde normal ilt-saturation. En blodprøve viste CO2-ophobning, og på røntgen af thorax sås ensidigt højtstående diafragmakuppel (A), hvilket rejste mistanke om paralyse af diafragma. En UL-skanning med M-mode bekræftede ensidigt stillestående diafragma (højre: B, normalt venstre: C).
Ved opfølgning efter fire mdr. var barnets vejrtrækning normaliseret, og en UL-skanning viste normale diafragmabevægelser.
Parese af diafragma ses ved fødselsskade med læsion af n. phrenicus, ofte efter vanskelig forløsning, især hos store børn af mødre med diabetes mellitus [1, 2]. Det kan ses sammen med andre skader på plexus brachialis, f.eks. Duchenne-Erbs lammelse, men kan også som i dette tilfælde forekomme isoleret og kan medføre respiratorisk distress og respirationssvigt [3-5].
Tilstanden er vigtig at kende som sjælden differentialdiagnose ved respirationsbesvær hos nyfødte.
Korrespondance Maren Johanne Heilskov Rytter. E-mail: mjry@regionsjaelland.dk
Antaget 27. januar 2025
Publiceret på ugeskriftet.dk 7. april 2025
Interessekonflikter Der er anført potentielle interessekonflikter. Forfatternes ICMJE-formularer er tilgængelige sammen med artiklen på ugeskriftet.dk
Artikelreference Ugeskr Læger 2025;187:V72069
doi 10.61409/V72069
Open Access under Creative Commons License CC BY-NC-ND 4.0