Skip to main content

Laparoskopisk operation af paraøsofagealt hernie

Reservelæge Jacob Kvist Poulsen, overlæge Mikael Støckel & professor Jacob Rosenberg H:S Hvidovre Hospital, Kirurgisk Gastroenterologisk Afdeling, og Amtssygehuset i Gentofte, Kirurgisk Gastroenterologisk Afdeling

1. nov. 2005
11 min.

Introduktion: Paraøsofagealt hernie er en sjælden, men potentielt livsfarlig lidelse pga. risikoen for inkarceration. Operation er den eneste effektive behandlingsmulighed, og vi præsenterer en serie, hvor operationen blev udført laparoskopisk.

Materiale og metoder: Undersøgelsen omfatter tolv patienter, der i perioden fra april 1999 til og med april 2002 blev opereret for et symptomgivende primært paraøsofagealt hernie på Kirurgisk Gastroenterologisk Afdeling, Hvidovre Hospital. Journalerne blev gennemgået retrospektivt med henblik på at samle demografiske oplysninger, oplysninger om præoperative symptomer, operative komplikationer samt postoperativ morbiditet og mortalitet.

Resultater: Der var et dødsfald 20 dage efter operationen pga. perforation af øsofagus og heraf følgende respirationsinsufficiens. Der var desuden fire erkendte rehernieringer (hhv. i tredje og femte uge samt 21. og 27. måned postoperativt), heraf blev tre reopereret laparoskopisk og en åbent. Af disse patienter blev to efterfølgende symptomfri, mens en atter fik reherniering, og en fik et glidehernie. De resterende patienter blev helbredt for deres symptomer.

Diskussion: Laparoskopisk operation er teknisk mulig og synes på kort sigt at være bedre og mere sikker end den åbne operation. Vores materiale er beskedent, men resultaterne er sammenlignelige med resultaterne i udenlandske opgørelser. Et af de største problemer ved den laparoskopiske metode, både i dette materiale og som beskrevet i litteraturen, er dog risikoen for reherniering, og man bør overveje brug af f.eks. aflastende meche eller fiksering af ventriklen i abdomen for at mindske antallet af rehernieringer i den fremtidige laparoskopiske behandling.

Hernia hiatus esophagi inddeles anatomisk i fire typer. Ved type I (glidehernie) er kun cardia placeret i thorax, mens type II-IV indbefatter lejring af den øvrige ventrikel og evt. andre organer (milt, tarm mv.) i thorax. Udtrykket »paraøsofagealt hernie« (PEH) dækker således hiatus hernie type II, III og IV. PEH udgør ca. 5% af alle hiatushernier [1, 2]. Patienternes gennemsnitsalder er 60-70 år (dog med en betydelig spredning), og lidelsen ses hyppigst hos kvinder [3-5]. PEH er hos voksne typisk en erhvervet lidelse, der opstår pga. en gradvis forstørrelse af hiatus, muligvis grundet en medfødt defekt [2].

PEH kan være symptomfrit, men ofte ses der betydelige symptomer som dysfagi stigende til synkestop, kvalme, regurgitation, opkastning, åndenød og retrosternale smerter. Symptomerne optræder især postprandialt, og der kan forekomme et betydeligt vægttab. Hernieringen kan desuden være kompliceret af volvulus eller ulceration, der medfører blødning og kronisk anæmi, og tilstanden er potentielt livsfarlig pga. risikoen for inkarceration af brokket med efterfølgende perforation eller akut blødning [1, 2].

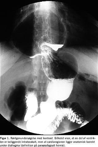
Ved klinisk mistanke bør der foretages røntgenundersøgelse af ventriklen med kontrast (Figur 1 ), hvorved diagnosen kan sikres. Gastroskopi kan benyttes, men de specielle anatomiske forhold gør en præcis beskrivelse vanskelig.

Behandlingen er kirurgisk, og princippet for operationen er fridissektion og fjernelse af broksækken (det freno-øsofageale ligament og peritoneum), reponering af herniet og lukning af hiatusdefekten (cruraplastik). Desuden foretages der ofte en antirefluksoperation [2]. Medicinsk behandling er uden betydning for PEH, men kan lindre enkelte ledsagesymptomer som refluks. Symptomfri PEH som tilfældigt findes ved andre undersøgelser er formentlig ikke behandlingskrævende, men patienterne må oplyses om tilstanden, og tidlig indgriben ved opståen af symptomer må sikres.

Operation for store PEH (mere end en tredjedel af ventriklen lejret intratorakalt) har hidtil været udført ved åben operation transabdominalt eller transtorakalt. Patienterne er imidlertid hyppigst gamle med konkurrerende lidelser og høj operativ risiko [2]. Vi har derfor fundet det vigtigt at vurdere muligheden for at indføre en minimalt invasiv operativ teknik ved operation for PEH, hvor symptomerne i sig selv afgav behandlingsindikation. Vore præliminære erfaringer med laparoskopisk operation for store symptomgivende PEH fremlægges i nærværende artikel.

Materiale og metoder

I perioden fra april 1999 til og med april 2002 behandlede vi 12 patienter, som var henvist med PEH og svære ledsagesymptomer . Disse patienter fik foretaget herniotomia paraoesophagealis laparoscopica. Der blev ikke foretaget åbne indgreb for samme tilstand i perioden. Retrospektivt registreredes demografiske oplysninger, præoperative symptomer, operative komplikationer samt postoperativ morbiditet og mortalitet. Præoperative undersøgelser inkluderede for alle gastroskopi og røntgenundersøgelse af den øvre mave-tarm-kanal med kontrast. Desuden fik ti patienter foretaget øsofagusmanometri, og fire patienter fik lavet 24-timers pH-undersøgelse vejledt af de kliniske forhold.

Indikation for operation var hos alle patienter et stort PEH (mere end en tredjedel af ventriklen i thorax), der medførte svære symptomer, og en acceptabel operationsrisiko (afvejning af livskvalitet uden operation versus risiko ved operation). Alle patienterne blev opereret elektivt, og ingen havde kliniske tegn på inkarceration af herniet.

Alle operationerne blev udført på Kirurgisk Gastroenterologisk Afdeling på Hvidovre Hospital af den samme operatør. Operationerne foregik med patienterne i universel anæstesi. Verres kanyle indførtes 5-6 cm over umbilicus, og der blev etableret pneumoperitoneum. Herefter indførtes fem trokarer: fire ti mm arbejdsporte til kamera, assistent og operatør (to porte) samt en port til leverholder. Eventuelle adhærenser blev delt, og frilægningen fortsatte, begyndende ved højre crus og hele vejen rundt langs kanten af hiatus. Vasa gastricae breves blev delt. Broksækken blev herefter fridissekeret intratorakalt, indtil der til sidst var fuld mobilitet af ventriklen og den nedre del af øsofagus, og disse kunne reponeres tilbage i abdomen. Broksækken blev så vidt muligt komplet eksstirperet. Cruraplastik blev udført ved suturering af de to crura med ikkeresorberbar sutur. Herefter blev der udført fundoplikation med fiksering til diafragma/crura. Postoperativt blev der rutinemæssigt taget røntgen af thorax. Overgang til fast føde skete typisk på den første postoperative dag. Alle patienterne blev rutinemæssigt set af kirurgen efter ca. tre måneder.

Resultater

De 12 patienter fordelte sig med 11 kvinder og en mand. Medianalderen var 64 år (spændvidde 45-77 år). De hyppigst rapporterede præo perative symptomer var retrosternale smerter (11 patienter), opkastninger (syv patienter), ructus (fem patienter), vægttab (fem patienter) og dysfagi (fire patienter). Ingen patienter var asymptomatiske. To patienter havde tidligere fået foretaget laparoskopisk kolecystektomi, og en patient med akalasi havde fået foretaget gentagne dilatationsbehandlinger.

Alle patienter fik foretaget cruraplastik. Cruraplastikken blev udført med typisk 5-6 knuder posteriort for øsofagus. Der blev foretaget antirefluksoperation hos ti patienter. Der blev ikke benyttet kunststofmecher. Der blev ikke foretaget nogen akutte operationer, og der var ingen konverteringer til åben operation. Blødningerne var beskedne, og ingen patienter modtog blodtransfusion. Alle patienterne indledte mobilisering og fødeindtagelse i operationsdøgnet. Den eneste erkendte intraoperative komplikation var en lille rift på undersiden af leveren, der skete i forbindelse med placering af leverholderen hos en patient. Hæmostase sikredes med kompression, og der blev anlagt dræn i det første døgn.

Den mediane postoperative indlæggelsestid var på to dage (spændvidde 1-8 dage). En patient oplevede et tilfælde af atrieflimren dagen efter operationen og kunne efter digoxinbehandling udskrives på ottendedagen. En anden, tidligere hjertesyg patient fik konstateret perforation af øsofagus dagen efter operationen og blev reopereret akut. Patienten måtte efter operationen overføres til intensivafdelingen, hvor hun grundet respirationsinsufficiens døde på 20. dagen efter den første operation.

Der var til og med april 2004 fire erkendte rehernieringer. En patient blev genindlagt efter tre uger med gastroenteritis og gentagne opkastninger. En røntgenundersøgelse og en gastroskopi viste reherniering, men da patientens symptomer aftog, var der ikke operationsindikation. Patientens symptomer, primært astma og retrosternale smerter, tiltog dog senere, og patienten blev knap fire år efter den primære operation opereret åbent på en thoraxkirurgisk afdeling. Forløbet var langt og kompliceret, og der blev efterfølgende fundet reherniering. En anden patient blev genindlagt 5-6 uger efter operationen pga. smerter. Reherniering blev diagnosticeret, og ved reoperationen, som blev gennemført laparoskopisk, kunne man konstatere, at cruraplastikken var gået op. Den blev genskabt ved brug af posteriore og anteriore knuder. Patienten fik efterfølgende reflukssymptomer, og kom i medicinsk behandling. Patienten fik 31 måneder efter reoperationen konstateret et glidehernie. Patient nr. 4 var asymptomatisk i ca. 21 måneder, hvorefter hun fik recidiv og måtte reopereres laparoskopisk. Patienten var efterfølgende symptomfri. Syvogtyve måneder efter operationen fik patient nr. 5 foretaget laparoskopisk re-operation med indsættelse af meche. Patienten kunne udskrives på fjerdedagen og var efterfølgende symptomfri.

En patient havde øvre dyspepsi ved tremånedersbesøget, og ved en gastroskopi blev der fundet ulcus ventriculi. Ved et senere kontrolbesøg 11 måneder efter operationen var patienten symptomfri. Fraset en kortvarig genindlæggelse af en patient på femtedagen grundet urinvejsinfektion var de resterende patienters forløb komplikations- og symptomfrit.

Diskussion

Indikationen for operation af PEH har været omdiskuteret. Nogle mener, at den blotte tilstedeværelse af en anatomisk defekt med eller uden symptomer begrunder operation [6, 7], mens andre mener, der bør være betydelige symptomer før operation [3, 8]. Den reelle risiko ved en konservativ holdning over for et symptomfrit PEH er imidlertid uafklaret, og med baggrund i den teknisk vanskelige operation, den vulnerable patientgruppe og muligheden for svære komplikationer forekommer det rimeligt at reservere indgreb til patienter med symptomgivende, store PEH (som i denne serie). Der synes dog ikke at være tvivl om, at indføringen af en minimalt invasiv operationsteknik har rykket operationsindikationen i retning af flere operationer. Schauer et al rapporterede således om en seksdobling i antallet af operationer efter indførelse af denne nye teknik [9].

I andre opgørelser har man indikeret, at den laparoskopiske teknik på flere måder er den åbne teknik overlegen [4, 9, 10]. Der er især rapporteret om mindre blodtab, færre postoperative smerter, kortere indlæggelsestid, hurtigere tilbagevenden til normal kost og aktivitetsniveau, pænere kosmetisk resultat samt bedre livskvalitet og patienttilfredshed.

Metoden er fortsat så ny, at langsigtede resultater endnu ikke foreligger. En af ulemperne ved det laparoskopiske indgreb har været en længere operationstid. Operationstiden er dog med tiden faldet fra gennemsnitligt over fire timer [9] til under to timer [11], hvilket er tegn på den betydelige indlæringskurve, der beskrives [12]. Det laparoskopiske indgreb er en teknisk vanskelig operation, og i litteraturen anbefales der betydelig erfaring med laparoskopiske indgreb i samme region, før laparoskopiske operationer for store PEH foretages [8, 13]. Morbiditet og mortalitet ved det laparoskopiske indgreb har vist sig at være sammenlignelige med eller bedre end resultaterne fra åbne operationer [9, 14]. Et stort problem har vist sig at være risikoen for reherniering. I nyere opgørelser med objektiv followup (kontrastrøntgen) over minimum et par år har man fundet et stort antal asymptomatiske rehernieringer og en samlet rehernieringstendens på 24-42% mod ca. 15% ved tilsvarende åbne operationer [5, 11, 15]. Andre har dog rapporteret om rehernieringsrater på under 15% efter indføring af kunststofsmeche til forstærkelse af cruraplastikken ved hiatusdefekten [16, 17]. Den laparoskopiske teknik til behandling af store PEH er under fortsat udvikling, og resultater af langtidsopgørelser, hvor modificerede teknikker har været anvendt, må afventes.

Den laparoskopiske teknik til operation for store symptomgivende PEH er gennemførlig, om end der ligesom ved de åbne indgreb kan ses alvorlige komplikationer. Da antallet af kandidater til operation i Danmark er lille, og da operationen kræver en vis rutine, synes det at være rimeligt at samle behandlingen på en eller højst to afdelinger i landet. Herved kan behandlingen dokumenteres i valide prospektive serier, da man pga. patientantallet ikke kan gennemføre randomiserede studier uden et samarbejde mellem flere lande.


Summary

Laparoscopic operation for paraesophageal hernia

Ugeskr Læger 2005;167: 506-8

Introduction: Paraesophageal hernia is a rare disorder, but it is potentially lethal because of the risk of incarceration. Operation is the only effective treatment, and it can now be performed laparoscopically.

Materials and methods: Between April 1999 and April 2002, in our department, 12 patients were operated on for a symptomatic primary paraesophageal hernia. The medical records were reviewed retrospectively with regard to demographic information, preoperative symptoms, operative complications, and postoperative morbidity and mortality.

Results: There was one death 20 days after surgery due to a perforation of the esophagus and subsequent respiratory insufficiency. Furthermore, there were four known reherniations (in the third and fifth weeks and in the 21st and 27th months after surgery, respectively); of these four patients, three underwent laparoscopic operation and one open reoperation. Two of the patients have subsequently been without symptoms, one is once more suffering from reherniation, and the fourth has developed a sliding hiatal hernia. All the remaining patients were cured of their symptoms.

Discussion: The laparoscopic approach is technically feasible and seems more effective and safer than the open approach, at least in the short term. Our material is modest, but the results are comparable to those published in international reports. One of the biggest problems with the laparoscopic approach, however, in this material as well as in the literature, is the risk of reherniation. The use of, e.g., tension-free mesh repair or fixation of the stomach in the abdomen should be considered to reduce the number of reherniations in future laparoscopic operations.


Jacob Kvist Poulsen, Ryesgade 73B, 1., DK-2100 København Ø. E-mail: jkvist@poulsen.dk

Antaget: 24. maj 2004

Interessekonflikter: Ingen angivet

Referencer

  1. Oddsdottir M. Paraesophageal hernia. Surg Clin North Am 2000;80:1243-52.
  2. Oelschlager BK, Pellegrini CA. Paraesophageal hernias: open, laparoscopic, or thoracic repair? Chest Surg Clin N Am 2001;11:589-603.
  3. Horgan S, Eubanks TR, Jacobsen G et al. Repair of paraesophageal hernias. Am J Surg 1999;177:354-8.
  4. Velanovich V, Karmy-Jones R. Surgical management of paraesophageal hernias: outcome and quality of life analysis. Dig Surg 2001;18:432-8.
  5. Mattar SG, Bowers SP, Galloway KD et al. Long-term outcome of laparoscopic repair of paraesophageal hernia. Surg Endosc 2002;16:745-9.
  6. Wiechmann RJ, Ferguson MK, Naunheim KS et al. Laparoscopic management of giant paraesophageal herniation. Ann Thorac Surg 2001;71:1080-7.
  7. Hui TT, David T, Spyrou M et al. Mesh crural repair of large paraesophageal hiatal hernias. Am Surg 2001;67:1170-4.
  8. Perdikis G, Hinder RA, Filipi CJ et al. Laparoscopic paraesophageal hernia repair. Arch Surg 1997;132:586-1.
  9. Schauer PR, Ikramuddin S, McLaughlin RH et al. Comparison of laparoscopic versus open repair of paraesophageal hernia. Am J Surg 1998;176:659-65.
  10. Willekes CL, Edoga JK, Frezza EE. Laparoscopic repair of paraesophageal hernia. Ann Surg 1997;225:31-8.
  11. Freeman ME, Hinder RA. Laparoscopic paraesophageal hernia repair. Semin Laparosc Surg 2001;8:240-5.
  12. Wu JS, Dunnegan DL, Soper NJ. Clinical and radiologic assessment of laparoscopic paraesophageal hernia repair. Surg Endosc 1999;13:497-502.
  13. Trus TL, Bax T, Richardson WS et al. Complications of laparoscopic paraesophageal hernia repair. J Gastrointest Surg 1997;1:221-8.
  14. Edye MB, Canin-Endres J, Gattorno F et al. Durability of laparoscopic repair of paraesophageal hernia. Ann Surg 1998;228:528-35.
  15. Hashemi M, Peters JH, DeMeester TR et al. Laparoscopic repair of large type III hiatal hernia: objective followup reveals high recurrence rate. J Am Coll Surg 2000;190:553-61.
  16. Khaitan L, Houston H, Sharp K et al. Laparoscopic paraesophageal hernia repair has an acceptable recurrence rate. Am Surg 2002;68:546-52.
  17. Frantzides CT, Madan AK, Carlson MA et al. A prospective, randomized trial of laparoscopic polytetrafluoroethylene (PTFE) patch repair vs simple cruroplasty for large hiatal hernia. Arch Surg 2002;137:649-52.