Lemierres syndrom


Milan Mohammad1, 2, Zakaria Alaoui-Ismaili1, Suhayb Abdi2, 3, Thorbjørn Hermanrud4 & Ayob Farouk Barzanji2
Lemierres syndrom (LS) er kendetegnet ved orofaryngeal infektion med dertil hørende tromboflebitis af v. jugularis interna (VJI). Tilstanden præsenterer sig som en unilateral smertefuld/øm hævelse på halsen [1]. Fra VJI kan septiske mikroembolier spredes hæmatogent, oftest til lunger, abdomen, led eller hjernen med symptomer herfra [2]. Hvis tilstanden ikke diagnosticeres og behandles rettidigt, er der risiko for vidtspredt bakteriæmi og udvikling af septisk shock [1]. Tilstanden blev for første gang beskrevet af André Lemierre i 1936 og var forbundet med høj dødelighed. Efter indførslen af antibiotika faldt forekomsten af LS drastisk og med dette også kendskabet til tilstanden [3].
Vi beskriver et tilfælde af LS, som blev diagnosticeret på baggrund af den kliniske præsentation samt billeddiagnostik.
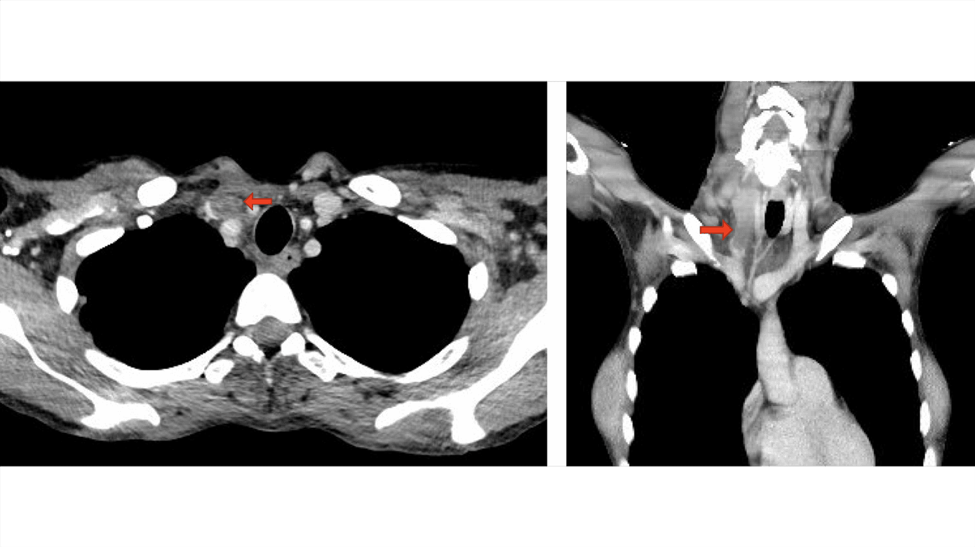
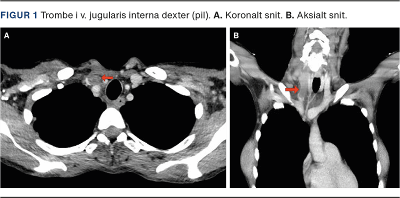
En 48-årig kvinde blev indlagt med kraftige halssmerter, diffus ømhed i nedre del af abdomen samt tiltagende svækkelse og påvirket almentilstand. Objektive fund var højrøde slimhinder i mundhulen og en 6 × 4 cm fast, øm udfyldning på højre side af halsen ved nederste tredjedel af m. sternocleidomastoideus. Patienten var febril (38,5 °C) med forhøjede infektionstal, leukocytter 14,1 × 109/l og et C-reaktivt proteinniveau på 93 mg/l. På formodning om bakteriel infektion blev der påbegyndt behandling med piperacillin/tazobactam. Bloddyrkning taget efter opstart af antibiotikabehandlingen var uden vækst af bakterier. På mistanke om LS blev der udført en CT af hals og thorax. CT’en viste en større trombe i VJI dexter (Figur 1), hvorfor det samlede sygdomsbillede var foreneligt med LS.
Patienten udviklede senere på natten septisk shock og blev overflyttet til et intensivt terapiafsnit mhp. stabilisering. Behandling med væsketerapi, vasopressor, engangsordination af dalteparin samt tillæg af metronidazol blev iværksat. Efter omtrent en uges behandling rettede patienten sig med aftagende hævelse og halssmerter samt normalisering af infektionstal og ingen febrilia. Ved udskrivelse overgik patienten til peroral antibiotisk behandling med kontrol af blodprøver samt telefonisk opfølgning frem til fuld remission.
Man bør have mistanke om LS hos unge og midaldrende med nylig øvre luftvejsinfektion med vedvarende feber, almen påvirkning og øm unilateral hævelse på halsen svarende til forløbet af VJI [1, 3]. Parakliniske fund omfatter oftest forhøjede infektionstal, positive bloddyrkninger og/eller svælgpodning samt billeddiagnostisk fund af trombose i VJI. Der kan optræde septiske mikroembolier, som hyppigst spredes hæmatogent til lunger, abdomen, led og hjernen, hvorfor der i mange tilfælde også ses respirationsinsufficiens, uspecifikke mavesmerter, ledsmerter og sjældent meningitis [1, 3]. Hos patienten i denne sygehistorie havde man mistanke om et muligt abdominalt fokus, da patienten havde diffuse mavesmerter, som remitterede spontant i løbet af indlæggelsen. Bloddyrkningerne var negative, hvilket kan forklares med påbegyndelse af antibiotisk behandling inden udtagelse af blod til dyrkning.
LS er yderst sjælden med en forekomst på ca. fem tilfælde årligt i Danmark [4]. Generelt er mortaliteten på ca. 5%, men den kan reduceres betragteligt ved tidlig diagnostik og behandling [1]. Den hyppigste ætiologiske agens er infektion med den anaerobe bakterie Fusobacterium necrophorum, og de fleste tilfælde opstår sekundært til tonsillitis eller pharyngitis [2]. LS udvikler sig hurtigt med alvorlige komplikationer til følge, hvilket kræver resolut og multidisciplinær behandling af tilstanden. Antibiotika er grundstenen i behandlingen, og den anbefalede empiriske behandling er med β-laktamantibiotika, f.eks. benzylpenicillin i kombination med metronidazol. Alternativt kan clindamycin anvendes ved penicillinallergi [5]. Intensiv terapi med understøttelse af respirationen samt cirkulationen kan blive nødvendig ved sepsis og multiorganpåvirkning. Behandling med antikoagulantia er omdiskuteret og har hidtil ikke vist signifikant effekt på hverken remission af trombosen eller forbedring i mortalitet. Kirurgisk sanering af eventuelle infektionsfoci kan være nødvendigt [1].
Med denne kasuistik præsenteres et typisk billede af LS, som må overvejes hos unge eller midaldrende voksne med øvre luftvejsinfektion, vedvarende febrilia samt unilateral hævelse og ømhed/udfyldning på halsen. Større kendskab til LS øger sandsynligheden for tidlig diagnostik, rettidig behandling og dermed patientens overlevelse.
Korrespondance Milan Mohammad. E-mail: milanmohammad@hotmail.com
Antaget 4. juli 2023
Publiceret på ugeskriftet.dk 21. august 2023
Interessekonflikter ingen. Forfatternes ICMJE-formularer er tilgængelige sammen med artiklen på ugeskriftet.dk
Referencer findes i artiklen publiceret på ugeskriftet.dk
Artikelreference Ugeskr Læger 2023;185:V0523304
Milan Mohammad, Zakaria Alaoui-Ismaili, Suhayb Abdi, Thorbjørn Hermanrud & Ayob Farouk Barzanji
Ugeskr Læger 2023;185:V05230304
Lemierre's syndrome is rare and characterized by an oropharyngeal infection with thrombophlebitis of the internal jugular vein (IJV). Septic microemboli can spread to the lungs or abdomen. This case describes a patient who presented with a sore throat, unilateral swelling on the neck and diffuse abdominal pain. Imaging showed a thrombus in the right IJV. The patient developed septic shock and was treated with antibiotics, anticoagulants, and intensive care support. The most common causative organism is Fusobacterium necrophorum. Early diagnosis and treatment are crucial for reducing mortality.