Skip to main content

Leptomeningeal karcinomatose - en usædvanlig årsag til høretab

Reservelæge Sidse Bregendahl & 1.reservelæge Jens Å. Lindberg Herning Sygehus, Medicinsk Afdeling

14. sep. 2007
5 min.

Erhvervet høretab hos voksne kan have mange årsager. En ikke særlig kendt årsag er leptomeningeal karcinomatose (LC), som kan udløse et perceptivt høretab af retrokokleær type [1]. LC opstår hos omkring 5% af de patienter, der har cancer [2, 3], og ses hyppigst ved adenokarcinom fra lunger og mammae samt ved malignt melanom [1, 2, 4].

Isoleret bilateralt perceptivt høretab sekundært til LC er tidligere kun beskrevet i beskedent omfang [1, 3-5]. Vi ønsker derfor i det følgende at henlede opmærksomheden på denne problemstilling ved at beskrive en sygehistorie, hvor LC viser sig med høretab som hovedsymptom.

Sygehistorie

En 49-årig kvinde blev indlagt på en medicinsk afdeling. Hun havde haft en måned varende progredierende bilateralt høretab efterhånden ledsaget af svimmelhed, kvalme, opkastninger, tiltagende hovedpine og smerter i nakke med udstråling til ryggen. En audiologisk undersøgelse, der blev foretaget henholdsvis 18 dage og fire dage forud for indlæggelsen, vid-nede om progredierende bilateralt høretab af perceptiv type med fald i threshold carhart (TC) fra 55 dB til 70 dB på højre øre og fra 35 dB til 40 dB på venstre øre. Skelnetabet (DL) blev målt til 20 og 24% på henholdsvis højre og venstre øre ved den seneste undersøgelse.

Patienten var et år tidligere blevet opereret for et lavt differentieret adenokarcinom i højre mamma med brystbevarende kirurgi efterfulgt af postoperativ stråle- og kemoterapi. En histologisk undersøgelse viste spredning til ti af de 22 fjernede aksillære lymfeknuder, anaplasigrad 3 og negativ østrogenreceptorimmunmarkering. Ved efterfølgende kontroller kunne der ikke afsløres recidiv.

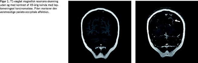
Ved indlæggelsen var patienten i god almentilstand, og de eneste objektive fund var bilateral hørenedsættelse. Samtlige rutineblodprøver var upåfaldende. En computertomografi (CT) af cerebrum med kontrast blev initialt tolket som vi-sende normale forhold, men efterfølgende revidering af bil-lederne gav mistanke om LC. Mistanken blev skærpet ved supplerende magnetisk resonans (MR)-skanning af cerebrum med kontrast (Figur 1 ), der viste meningeal opladning parie-to-occipitalt bilateralt, hvilket er foreneligt med LC. Under-søgelse af cerebrospinalvæsken (CSF) gav følgende resultater: 60 × 106 /l leukocytter med 90% af mononukleær type, CSF-protein 0,8 g/l og CSF-glukose 1,7 mmol/l (serumglukose 5,2 mmol/l). Der kunne ikke påvises maligne celler i CSF.

Differentialdiagnostisk gennemgik patienten en omfattende udredning med biokemiske undersøgelser og direkte mikroskopi, dyrkning, polymerasekædereaktionsteknik og antistofbestemmelser af CSF mhp. bakteriel og viral neuroinfektion, tuberkulose, neuroborreliose og neurosarkoidose, uden at man fandt holdepunkter for disse lidelser. CT af thorax-abdomen og en knogleskintigrafi var uden tegn på recidiv af patientens cancer.

Under indlæggelsen progredierede patientens hørenedsættelse hastigt til udvikling af komplet høretab, og hendes hovedpine, kvalme og opkastninger forværredes betydeligt.

Efter 16 dages indlæggelse blev patienten overflyttet til onkologisk afdeling og gennemgik fire strålebehandlinger mod cerebrum og en kemobehandling i palliativt øjemed.

Trods initial bedring af patientens symptomer inklusive hørelse forværredes hendes tilstand, og der opstod efterhånden udbredte symptomer fra centralnervesystemet. Mors indtrådte ni uger efter indlæggelsen. Der blev ikke foretaget obduktion.

Diskussion

Den kliniske præsentation af LC er yderst variabel afhængigt af lokalisationen af den leptomeningeale infiltration og kan inddeles i tre hovedgrupper:

  1. cerebral dysfunktion med bl.a. hovedpine, træthed, kvalme, opkastninger og mentale forstyrrelser

  2. kranienerveudfald hyppigst med påvirkning af kranienerve III, V og VII

  3. udsæd til spinale nerverødder resulterende i radikulopati med bl.a. paræstesier, pareser og smerter [1-4].

Man vil ofte se en kombination af ovenstående symptomer og fund, men tilstanden kan fremstå med forholdsvis få symp-tomer jf. sygehistorien. Kranienervepåvirkningen skyldes formentlig direkte tumorinfiltration under nervens forløb gennem spatium subarachnoideum [1, 5].

LC kan være vanskelig at diagnosticere. Cytologisk undersøgelse af CSF med påvisning af maligne celler er forsat det vigtigste redskab i diagnostikken, men gentagne punkturer kan være påkrævet [1-5]. Maligne celler i CSF forekommer således kun hos 50% af patienterne med LC ved første lumbalpunktur stigende til 85% ved tredje lumbalpunktur [2]. Er det ikke muligt at påvise maligne celler i CSF, skal mistanken vækkes ved følgende fund i CSF: 1) forhøjet proteinindhold (hos 75%), 2) let lymfocytær pleocytose, 3) forhøjet åbningstryk (50%) og 4) nedsat glukoseindhold (40%) [1, 3, 5]. Disse fund er alle karakteristiske for og forenelige med LC, men ses også ved neuroinfektioner og visse systemsygdomme med intrakranial affektion [3].

Til yderligere belysning af diagnosen kan billeddiagnostikken anvendes, hvor MR-skanning med kontrast (sensitivitet 70%) har vist sig at være mere sensitiv end CT [1, 4]. Disse billeddiagnostiske undersøgelser er dog ikke i sig selv diagnostiske, da meningeal kontrastopladning kan være udtryk for andre tilstande som f.eks. inflammation/neuroinfektion.

Såfremt det ikke er muligt at påvise maligne celler i CSF, må diagnosen LC i stedet sandsynliggøres ud fra en kombination af klinik, billeddiagnostiske fund og de nævnte abnormiteter i CSF.

Behandling af LC er palliativ og omfatter stråleterapi rettet mod centralnervesystemet og/eller intratekal kemoterapi suppleret med behandling mod den systemiske cancersygdom [1, 2, 4, 5].

Prognosen for patienter med LC er ugunstig, og den gennemsnitlige overlevelse varierer fra 4-6 uger uden behandling til 3-6 måneder med behandling [1, 2, 4].

Sygehistorien understreger, at monosymptomatisk kranienervepåvirkning, herunder hørenedsættelse, kan være første og eneste symptom på cancerrecidiv, og at adskillige og eventuelt gentagne differentialdiagnostiske undersøgelser er påkrævet for at sikre den korrekte diagnose.


Sidse Bregendahl, Gunilsskov 39, DK-8600 Silkeborg. E-mail: sidse.bregendahl@get2net.dk

Antaget: 2. februar 2006

Interessekonflikter: Ingen angivet

Summary

Summary Leptomeningeal carcinomatosis: an infrequent cause of hearing loss Ugeskr Læger 2007;169(38):3207-3209 The causes of acquired hearing loss may be many. We present a case of sudden onset of bilateral sensorineural hearing loss due to leptomeningeal carcinomatosis. The most common clinical features and typical CSF changes are reviewed, and the potential difficulties in reaching the diagnosis are discussed. Modes of therapy and prognosis are briefly mentioned.

Referencer

  1. Uppal HS, Ayshford CA, Wilson F. Sudden onset bilateral sensorineural hear-ing loss: a manifestation of occult breast carcinoma. J Laryngol Otol 2001; 115:907-10.
  2. Grossman SA, Krabak MJ. Leptomeningeal carcinomatosis. Cancer Treat Rev 1999;25:103-19.
  3. Zeller JA, Zunker P, Witt K et al. Unusual presentation of carcinomatous men-ingitis: case report and review of typical CSF findings. Neurol Res 2002;24: 652-4.
  4. Morgan MK, Zammit-Maempel I, Hill J. Meningeal carcinomatosis: an unusual cause of deafness. J R Coll Surg Edinb 1998;43:119-21.
  5. Alberts MC, Terrence CF. Hearing loss in carcinomatous meningitis. J Laryngol Otol 1978;92:233-41.