Listeriainfektion og graviditet


Lilian Bostlund Olsen1, Pernille Langkjær Gormsen2, Britta Dolleris3, Anne-Louise Lykke Nielsen3, Hanne Katrine Rosbach3, Kurt Fuursted4, Lise Lotte Torvin Andersen3
Fakta
Listeriainfektion kan give svær sygdom hos gravide og nyfødte.
Antibiotisk behandling er velbeskrevet, men monitorering er mindre velbeskrevet.
Indlæggelse af gravide til antibiotisk behandling, tæt fosterovervågning og neonatal indlæggelse til observation og udredning og evt. behandling anbefales.
Listeria monocytogenes er en intracellulær, bevægelig, ikkesporeformende, fakultativt anaerob, grampositiv stav. Bakterien findes udbredt i miljøet og overføres hyppigst via indtag af kontaminerede fødevarer samt ved vertikal smitte fra gravid til foster. Den kan overleve i saltholdige fødevarer, såsom kødpålæg og røget laks. Den kan vokse ved køleskabstemperatur og er vist at kunne overleve ved temperaturer, der betragtes som pasteuriseringstemperaturer samt overleve lavt pH [1-4]. Den kan forårsage udbrud af smittetilfælde, men infektioner med bakterien forekommer hyppigst som sporadiske cases [4, 5]. Der forekommer omtrent 50 tilfælde med listeriainfektion om året i Danmark, hvoraf 1-3 af disse er hos gravide [6].
Listeriainfektion hos raske voksne er oftest asymptomatisk eller med få symptomer, såsom feber og influenzasymptomer. Sygdommen rammer i højere grad individer med en vis grad af immunsuppression, såsom gravide, nyfødte og småbørn, ældre samt individer, der er i medicinsk immunsupprimerende behandling, hvor tilstanden kan blive ganske alvorlig. Det er især manglende cellemedieret immunitet, som øger risikoen for infektion. Gravide har 12-18 gange så stor risiko for at udvikle listeriainfektion som baggrundsbefolkningen, om end den absolutte risiko er lille [1, 2].
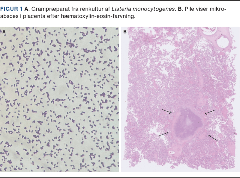
L. monocytogenes invaderer kroppens celler, undgår kroppens initielle immunrespons og kommer ind i cytoplasma, hvor den deler sig frit og kan udføre direkte celle-til-celle-smitte. Når den overføres vertikalt fra mor til foster, kan bakterien adhærere til trofoblastlaget og invadere dette via samme celle-til-celle-smitte. Dette resulterer i chorioamnionitis, hvorved der kan udvikles mikroabscesser. I dyrestudier er placenta vist at kunne fungere som reservoir ved maternel reinfektion. Teoretisk kan dette også være tilfældet hos mennesker, men er foreløbig ikke dokumenteret i humane studier, formodentlig grundet metodologiske og etiske begrænsninger [2, 5, 7-9] (Figur 1).
Både hos den gravide og nyfødte stilles diagnosen hyppigst ved dyrkning fra blod eller spinalvæske. Et dansk studie anbefaler, at man overvejer bloddyrkning ved alle gravide med influenzasymptomer og/eller feber [10].
Dyrkning fra placentavæv, amnionvæske samt podning fra underlivsorganer kan også stille diagnosen [11, 12]. Det er herudover muligt at påvise L. monocytogenes ved molekylærbiologiske teknologier såsom specifik PCR eller broad-range 16S rRNA-PCR, der kan være relevante i visse situationer [13].
Den diagnostiske værdi af fæcesdyrkning er lav, da op til 15% af baggrundsbefolkningen er koloniseret med bakterien [14, 15]. Det anbefales således ikke, ej heller for symptomatiske patienter at undersøge fæces for L. monocytogenes. Her anbefales i stedet bloddyrkninger.
Symptomerne på listeriainfektion hos gravide varierer i sværhedsgrad og udtryk, hvilket gør diagnosen svær at stille. Fælles er, at feber, influenza-symptomer og kontraktioner er hyppige. Op til 30% er asymptomatiske. Morbiditeten er varierende, men overordnet er mortaliteten hos gravide lav. Meningitis og septisk shock er meget sjældent forekommende, og ved litteraturgennemgang er der ikke fundet tilfælde af meningitis hos ellers immunkompetente gravide [7]. Risikoen for kejsersnit er høj, primært på baggrund af abnorm hjertelydskurve, kardiotokografi (CTG). Tegn på intrauterin infektion kan være mindskede fosterbevægelser, kontraktioner eller andre tegn på truende præterm fødsel som smerter, vaginal blødning eller for tidlig vandafgang. Ved manifest intrauterin infektion vil uterus fremstå irritabel, øm og med kontraktioner. Infektion hos fosteret kan mistænkes ved en hjerterytme > 160 slag/min, eventuelt med nedsat variabilitet [8, 11, 12, 15, 16].
Risikoen for fosteret afhænger af gestationsalderen (GA) samt af, om mater har fået antibiotisk behandling. Ved infektion i første trimester er risikoen for abort estimeret til 65%. Risikoen for abort/intrauterin fosterdød (IUFD) og præterm fødsel falder jo længere kvinden er i graviditeten på infektionstidspunktet [5, 11, 15, 17]. Et større fransk studie rapporterede abort eller IUFD hos 24%, dog ingen efter uge 29. Kun 5% havde en normal graviditet og fødsel. Grønt fostervand, feber og påvirket hjertelyd hos fostret optrådte hos 21%, og 40% blev forløst ved kejsersnit [11]. I et dansk retrospektivt studie fandt man en fosterdødelighed på omtrent 30%. Alle mødre overlevede. Af levendefødte fostre til mødre med listeriainfektion udviklede 80% klinisk neonatal listeriainfektion, hvoraf et levendefødt barn GA 30+4 døde inden for to døgn (infektionsfokus og dødsårsag ikke rapporteret). Median GA var 33+5 hos levendefødte. Hos de fostre, der ikke overlevede, var den GA 24+3 [10]. Dette er sammenligneligt med andre studier [11, 12].
Ultrasonografisk kan fosterets tilstand evalueres med tilvækstskanning, flow i føtale kar samt mængde af fostervand. Føtal infektion kan mistænkes ved ekkogene tarme og hydrops, men der er ingen kendte ultrasoniske undersøgelser, der kan identificere listeriainfektion i graviditeten [18].
Neonatal listeriainfektion inddeles i tidlig (0-7 dage) og sen infektion (8-28 dage). Omkring 67% af børn født af mødre med listeriainfektion udvikler symptomer. Alvorsgraden af symptomerne synes afhængig af den eventuelt forudgående behandling. Ved intrauterin smitte er børnene ofte svært syge kort efter fødslen eller udvikler symptomer inden for de første 24 timer [10, 12].
Symptomerne er varierende. Feber og respiratorisk distress-syndrom ses oftere end pneumoni, sepsis og meningitis, som dog er forbundet med et mere alvorligt sygdomsforløb. En sjælden manifestation er granulomatosis infantisepticum, der typisk ses som et erytematøst udslæt med blege papler. Det kan være udbredt til flere organer og er forbundet med dårlig prognose. Biokemisk ses forhøjet CRP, trombocytopeni, leukocytose eller leukopeni, anæmi samt pleocytose og øget proteinindhold i spinalvæsken [10, 19-21].
Sen infektion med L. monocytogenes er mindre hyppig og menes at skyldes infektion i fødselskanalen eller infektion erhvervet efter fødslen. Graviditet og fødsel er ofte uden komplikationer. Mediandebut er 14 dage, og børnene præsenterer sig hyppigere med sepsis eller meningitis [12, 21, 22].
Mortaliteten rapporteres meget varierende. I en dansk opgørelse er den under 1%, mens den i flere andre opgørelser ligger omkring 25%. Mortaliteten er ikke overraskende særlig høj ved tidlig infektion med meningitis, kombinationen af meningitis og sepsis samt hos børn født prætermt [10, 19, 20].
Der foreligger få data angående længerevarende opfølgning af børn med listeriainfektion. En opgørelse fra England fandt, at op mod 40% har senfølger, dog med forbehold for, at followup-tiden ikke er konsekvent [19]. Et fransk studie lavede followup på 53 børn i femårsalderen med neonatal listeriainfektion og fandt, at op mod 67% af børnene havde neurologiske senfølger såsom indlæringsvanskeligheder og manglende sociale færdigheder. Da de sammenlignede populationen med børn født med samme GA uden neonatal infektion, blev der dog ikke fundet væsentlige udviklingsforskelle, hvorfor man må tænke, at præterm fødsel er den primære årsag til den høje rate af udviklingsvanskeligheder [22].
Der foreligger ikke nationale anbefalinger for behandling ved kendt listeriainfektion, men ved behandling af tidligt indsættende neonatal sepsis eller meningitis, er der taget højde for empirisk dække af L. monocytogenes ved anvendelse af højdosis penicillin eller ampicillin. I de fleste internationale opgørelser anvendes i.v.-aminopenicillin som monoterapi eller i kombination med et aminoglykosid med en behandlingslængde på 7-21 dage [10, 12, 21, 23].
Penicilliner med eller uden aminoglykosid
Flere studier viser, at aminopenicillin og penicillin effektmæssigt formodentlig er ligestillede behandlinger til listeriainfektion [24-26]. Aminopenicillin er dog den mest veldokumenterede, både i in vitro og i kliniske studier, hvorfor denne nu er førstevalgsbehandling, eventuelt kombineret med et aminoglykosid, såsom gentamicin [1, 14, 27, 28].
Kombination af penicilliner med et aminoglykosid har vist en synergistisk effekt i in vitro-studier [24, 26]. Den kliniske evidens for dette er dog tvetydig og svær at konkludere præcist på. Der er mangel på randomiserede studier, da listeriainfektion primært forekommer sporadisk og er sjælden. Et større fransk studie viste, at kombinationsbehandling med aminopenicillin og gentamicin > 3 døgn havde en statistisk signifikant protektiv effekt i den samlede patientgruppe [11].
Behandlingsvarighed angives i litteraturen at ligge på mindst 14 dage og gerne længere, især hos immunsupprimerede patienter. Dog er specifikt dosis- og behandlingsinterval meget sparsomt beskrevet [1, 15, 26].
Et fransk studie inkluderede 189 levendefødte børn. Af disse blev 86% behandlet med aminopenicillin og 75% i kombination med aminoglykosid med en medianvarighed på henholdsvis 12 og tre døgn. De nyfødte havde en samlet mortalitet på 3%. Alle dødsfald var hos børn født i GA 27-29. Børn, hvis mødre blev behandlet med antibiotika inden fødsel, havde overordnet markant mildere symptomer generelt ved fødslen, og af de 26 børn, der fra fødslen ikke viste tegn på infektion og ej heller fik antibiotisk behandling, havde 85% af mødrene fået antibiotisk behandling, inden de fødte. Samtidig var det kun 4% af mødre til børn, der udkom med en positiv bloddyrkning eller spinalvæske, der havde fået antibiotisk behandling, inden de fødte [12]. I et studie af samme forskergruppe med 107 tilfælde af maternel listeriainfektion blev over 80% af mødrene behandlet med aminopenicillin i en median varighed på 15 dage. Omkring 30% fik kombinationsbehandling med gentamicin i en median varighed af tre dage. Ti mødre havde asymptomatisk listeriainfektion og blev derfor ikke behandlet med antibiotika forud for fødslen. Her udviklede seks af ti børn late-onset-bakteriæmi. Alle overlevede. Der var ingen svære komplikationer hos de ubehandlede mødre og ingen mortalitet blandt alle mødre i studiet. Samlet set havde 2% af de inficerede mødre behov for intensiv terapi [11].
Sulfamethoxazol med trimethoprim
Flere studier konkluderer, at sulfamethoxazol med trimethoprim er virksomt over for L. monocytogenes ved penicillinallergi, både til bakteriæmi og meningitis samt til at krydse placentabarrieren [12, 24, 26]. Det er angivet, at det om nødvendigt kan anvendes under graviditet [29]. Behandling forudsætter beslutning i multidisciplinært fællesskab.
Cefalosporiner og meropenem
Det er velkendt, at cefalosporiner ikke har en plads i behandling af L. monocytogenes, som må betragtes at være resistent [24, 28]. Hurtig indsætning af relevant behandling har væsentlig betydning for outcome, og hvor nogle lande nu bruger cefalosporiner som empirisk akutbehandling, taler ovenstående for at beholde penicilliner som empirisk behandling [25, 27]. Overordnet set har meropenem en inferior effekt sammenlignet med penicillinerne, inkl. forhøjet 30-dages mortalitet. Der er set behandlingssvigt på meropenem, og det bliver ikke brugt som definitiv terapi mod L. monocytogenes [25, 30] (Figur 2).
Listeriainfektion udgør en potentiel risiko for den gravide og det ufødte barn. Behandlingslængde, fosterovervågning, forløsningstidspunkt samt undersøgelse og behandling af det nyfødte barn er ikke veldefineret. Der er få tilfælde af infektion hos gravide og nyfødte om året i Danmark, og det kan foranledige tvivl, når der dukker et sporadisk tilfælde op.
Ud fra litteraturgennemgang er der fremsat forslag til behandling og håndtering af den gravide og nyfødte. Overordnet anbefales hurtig indsætning af ofte langvarig i.v.-behandling med aminopenicillin under tæt monitorering af både gravide og nyfødte. Hos gravide anbefales CTG-overvågning to gange dagligt indtil GA 37+0, hvor der kan tilbydes forløsning. Herefter indlægges barnet på neonatalafsnit til udredning, overvågning og eventuel opstart i antibiotisk behandling.
Korrespondance Lilian Bostlund Olsen. E-mail: lilian.bostlund.olsen@rsyd.dk
Antaget 12. august 2025
Publiceret på ugeskriftet.dk 6. oktober 2025
Interessekonflikter BBD oplyser økonomisk støtte fra eller interesse i CampusPharma. LLTA oplyser økonomisk støtte fra eller interesse i DSOG. Alle forfattere har indsendt ICMJE Form for Disclosure of Potential Conflicts of Interest. Disse er tilgængelige sammen med artiklen på ugeskriftet.dk
Taksigelser Tak til Iben Johnsen, Afdeling for Klinisk Patologi, Odense Universitetshospital, for god sparring og billeder af mikroabsces i placenta. Tak for god faglig sparring til Rune Micha Pedersen, Kasper Klein, Gitte Nyvang Hartmeyer og Flemming Rosenvinge, Klinisk Mikrobiologisk Afdeling, Odense Universitetshospital
Referencer findes i artiklen publiceret på ugeskriftet.dk
Artikelreference Ugeskr Læger 2025;187:V02250139
doi 10.61409/V02250139
Open Access under Creative Commons License CC BY-NC-ND 4.0
L. monocytogenes causes listeriosis, leading to bacteremia, meningitis, and foeto-maternal disease. This review focuses on foeto-maternal infections, presenting an algorithm for investigation, treatment, and follow-up. Treatment involves at least three weeks of IV aminopenicillin, combined with an aminoglycoside for the first three days. Blood cultures are recommended for all patients, and a lumbar puncture for immunocompromised mothers and all infants. The right time for delivery can be discussed, but induction/delivery after GA 37+0 is proposed, preferably after timely antibiotic treatment.