Livstruende menstruationsblødning efter opstart af rivaroxaban


Luna Fabricius Ekenberg, Line Markdanner Lindgren & Caroline Pehrson
Direkte orale antikoagulantia (DOAK) bruges i behandlingen af kardiovaskulære sygdomme som atrieflimren og dyb venetrombose. En velkendt bivirkning er øget blødningstendens [1], og præmenopausale kvinder i DOAK-behandling må forvente en kraftigere menstruationsblødning [2]. Ikke uvæsentligt er det, at nogle kvinder i forbindelse med overgangsalderen oplever perioder med kraftigere og længerevarende menstruationsblødninger. Rivaroxaban, et af de oftest anvendte DOAK, medfører den største risiko for kraftige blødningsepisoder [3].
Denne kasuistik, omhandlende en kvinde med livstruende menstruationsblødning efter opstart af behandling med rivaroxaban, belyser vigtigheden af en forudgående gynækologisk anamnese og fraråder rivaroxaban som førstevalgsbehandling til patienter med kraftige menstruationsblødninger.
En 44-årig, præmenopausal kvinde ankom med ambulance til akutmodtagelsen grundet kraftig menstruationsblødning gennem otte dage. Hun var 24 dage forinden sat i behandling med rivaroxaban på grund af et spontant konverteret tilfælde af atrieflimren. Hun havde kraftige menstruationsblødninger som følge af et større, uterint fibrom og havde tre måneder forinden blødt til en hæmoglobinkoncentration (Hgb) = 4,7 mmol/l.
Ved ankomst var hun bleg, svimmel og utilpas og havde Hgb = 4,1 mmol/l. Hun havde sinusrytme under hele forløbet. Transvaginal ultralydskanning viste et intrakavitært fibrom på 34 mm, naturlige ovarier og lidt fri væske i fossa Douglasi. Ved gynækologisk inspektion sås små koagler og mørk blødning skønnet til 50 ml. Da det var tale om medicinsk blødning på baggrund af behandling med rivaroxaban, blev opstartet intravenøs indgift af koagulationsfaktor II, koagulationsfaktor VII, koagulationsfaktor IX, protein C, protein S (koag II-VII-IX, Pro C-S), tranexamsyre, væske samt to portioner saltvand, adenin, glukose og mannitol (SAG-M). Der blev anlagt mèche i vagina i et forsøg på at komprimere uterus.
Halvanden time efter var patienten blødt gennem mèchen, og der skønnedes at være 200 ml i bleen. Nu sås blødning uden koagler. Efter konferering med blødningsvagten blev der gentaget behandling med koag II-VII-IX, Pro C-S. Rivaroxaban blev seponeret efter aftale med kardiologisk afdeling. Efter tre timer var blødningen fortsat kraftig, men aftagende. Patienten havde Hgb = 5,3 mmol/l efter fire portioner SAG-M og en portion frisk, frossen plasma (FFP). Man overvejede hysteroskopisk fibromresektion, men vurderede, at hysteroskopi ikke kunne gennemføres på grund af kraftig blødning. Abrasio forventedes ikke at være effektiv på grund af det intrakavitære fibrom.
Fem timer senere havde patienten igen en blødningsepisode, Hgb = 5,0 mmol/l, og der blev på ny anlagt en komprimerende mèche. Blødningsmængden blev skønnet til 1.500-2.000 ml siden ankomst. Fibrinogenkoncentrationen blev målt til 4,7 µmol/l, og der blev yderligere givet en portion SAG-M, to portioner FFP samt kryopræcipitatpool.
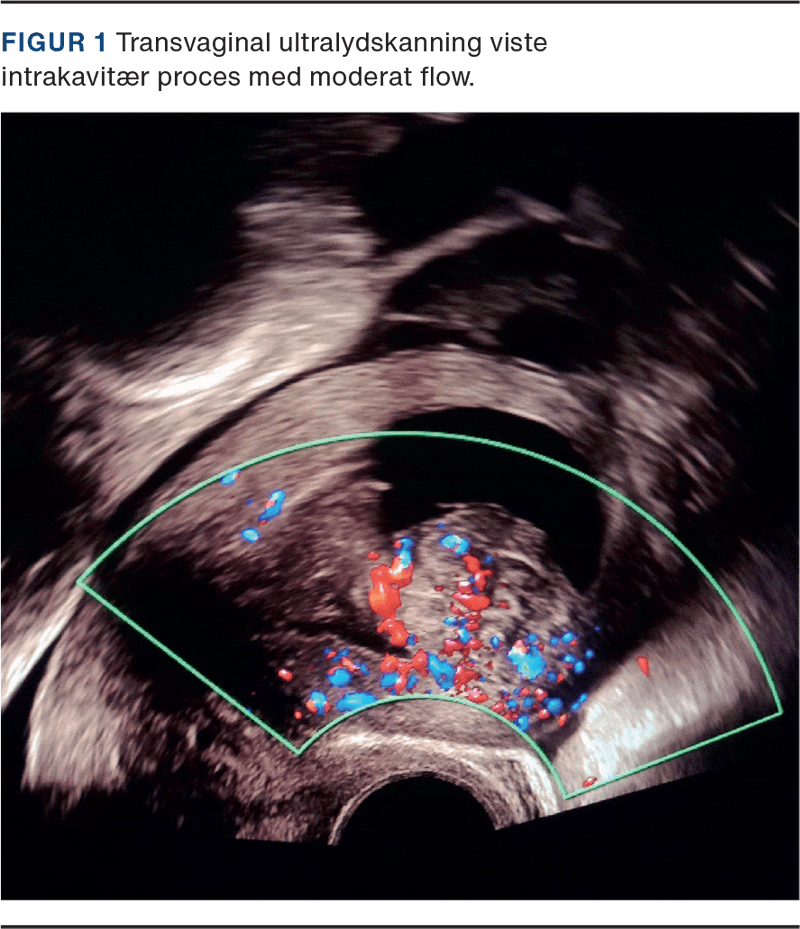
Ved stuegang seks timer senere sås fortsat pågående blødning, som blev estimeret til 600 ml på lejet. Transvaginal ultralydskanning viste moderat flow i den intrakavitære process (Figur 1) og det underliggende myometrium. Rigeligt flow i kombination med kraftig blødning rejste mistanke om sarkom. Man konfererede med onkogynækolog på højtspecialiseret sygehus, som anbefalede at undgå hysteroskopi. Hgb = 4,0 mmol/l efter i alt fem portioner SAG-M, men rotationel tromboelastometri var normal, og der var således ikke længere tale om medicinsk blødning. Der blev givet yderligere to portioner SAG-M og en portion trombocytter. Man forberedte at anlægge en komprimerende ballon i uterus. Patienten blev informeret om, at der ved ukontrollabel blødning var risiko for, at man måtte foretage hysterektomi. Da patienten ikke samtykkede til hysterektomi og på det tidspunkt var transportabel med lægefølge, blev det i samråd med højtspecialiseret sygehus besluttet at udføre akut CT-angiografi og overflytning med henblik på embolisering.
Ved ankomst til højtspecialiseret sygehus blev der foretaget akut, bilateral embolisering af aa. uterinae, og blødning ophørte i løbet af fire timer. Efter et døgn blev patienten flyttet tilbage til stamsygehus og udskrevet efter nogle dage. Ved kardiologisk opfølgning blev der ikke fundet indikation for tromboseprofylakse. MR-skanning på onkogynækologisk afdeling afkræftede sarkom. Ved kontrol på stamhospital efter tre måneder havde patienten recidiv af kraftige blødninger, og man tilbød hysteroskopisk fibromresektion eller hysterektomi. Patienten ønskede aktuelt ikke kirurgi, men ville forsøge at opnå blødningskontrol med ibuprofen og tranexamsyre.
En vigtig bivirkning til antikoagulansbehandling hos præmenopausale kvinder er alvorlige blødningsepisoder i forbindelse med menstruation, og det er derfor vigtigt med en gynækologisk anamnese, før behandling opstartes. Rivaroxaban er associeret med større risiko for alvorlige blødninger [3-5] og bør ikke være førstevalg hos præmenopausale kvinder.
Korrespondance Caroline Pehrson. E-mail: acp@regionsjaelland.dk
Antaget 16. april 2024
Publiceret på ugeskriftet.dk 27. maj 2024
Interessekonflikter ingen. Forfatternes ICMJE-formularer er tilgængelige sammen med artiklen på ugeskriftet.dk
Referencer findes i artiklen publiceret på ugeskriftet.dk
Artikelreference Ugeskr Læger 2024;186:V01240012.
doi 10.61409/V01240012
Open Access under Creative Commons License CC BY-NC-ND 4.0
This is a case report of a 44-year-old premenopausal woman who was admitted to hospital due to uncontrollable and life-threatening vaginal bleeding after starting rivaroxaban treatment for atrial fibrillation. She had a medical history with menorrhagia due to an intrauterine fibroma. She did not respond sufficiently to factor X supplement or other non-surgical medical interventions. The bleeding subsided after bilateral embolization of aa. uterinae.