Skip to main content

Livstruende Pneumocystis-pneumoni hos en tidligere rask gravid

Sara Trier-Mørch1, Nicki Broholm Holst Sørensen2, Martin Rostgaard-Knudsen3, Helle Larsen1 & Anne Nødgaard Sørensen1

16. jan. 2017
5 min.

Pneumocystis-pneumoni (PCP, tidligere carinii) er en af de hyppigste infektioner hos patienter med hiv. Den forårsages af Pneumocystis jiroveci, en opportunistisk svampeinfektion, som formodes at smitte fra person til person via aerosoler. P. jirovecii giver sjældent symptomer hos immunkompetente personer, som kan være raske bærere og derfor fungere som reservoir [1]. PCP er rapporteret hos personer, der har immunsuppression af anden årsag end hiv, for eksempel pga. systemisk immunsuppresiv behandling, maligne lidelser og inflammatoriske tilstande [2].

SYGEHISTORIE

En 18-årig kvinde, der var flygtning fra Syrien og havde været bosat i Danmark i fire måneder, blev akut indlagt i graviditetsuge 31 + 0 pga. højresidige flankesmerter og respirationsbesvær. Sidstnævnte gav sig til udtryk ved hyperventilation og blev initialt tolket som smertebetinget. En arterieblodgasanalyse viste saturation på 99% og pO2 på 15,7 mmHg uden ilttilskud. En kardiotokografi viste normale forhold, men en transvaginal ultralydskanning viste collumafkortning (17 mm).
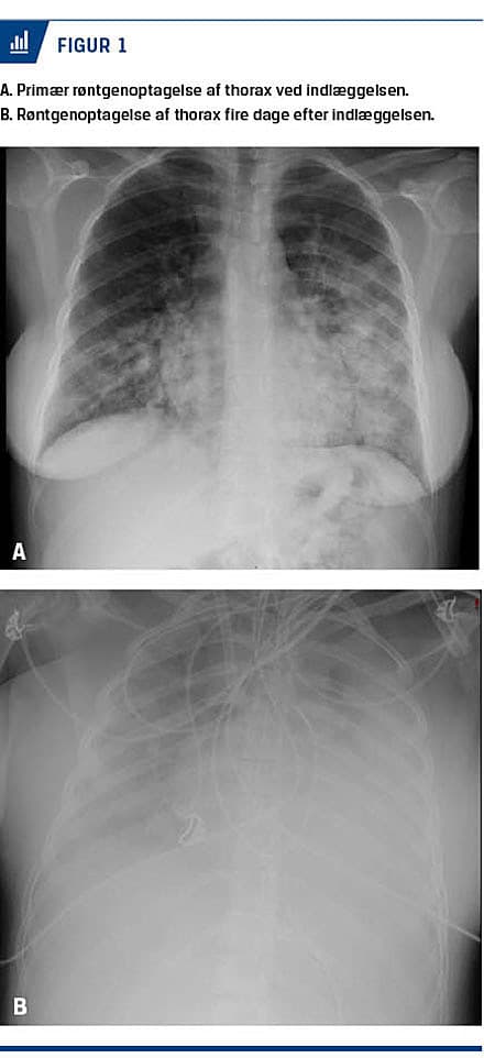
På mistanke om præterm fødsel blev der givet lungemodnende behandling med et højpotent steroid, betamethason, 12 mg × 2. Desuden blev hun behandlet med pivmecillinam på mistanke om cystitis acuta. En urindyrkning viste vækst af Escherichia coli med resistens for pivmecillinam, hvorfor behandlingen blev ændret til cefuroxim. Efter to døgns indlæggelse forværredes hendes respirationsbesvær. En røntgenoptagelse af thorax viste bilaterale infiltrative forandringer (Figur 1A). I tillæg hertil fandt man stigende infektionstal
(C-reaktivt protein-niveau 64 mg/l og neutrofil leukocytose-niveau 19,4 mia./l). Sammenholdt med formodning om sepsis på grund af det kliniske billede blev
den antibiotiske behandling ændret til piperacillin/tazobactam. En ekkokardiografi viste ingen tegn på lungeemboli. På grund af tiltagende hypoksisk respirationsinsufficiens blev patienten overflyttet til en intensivafdeling, hvor der initialt blev forsøgt noninvasiv ventilation. Da dette ikke viste sig holdbart, blev der behandlet med invasiv ventilation på respirator.

Trods optrappet respiratorbehandling forværredes hendes respiratoriske tilstand yderligere, og på grund af desaturation til under 66% blev der på tredje døgn på maternel indikation udført akut sectio i generel anæstesi. Operationen var kompliceret, idet patienten flere gange desaturerede til under 50%, og med en pO2 på 5,58 mmHg blev der iværksat behandling med veno-venøs ekstrakorporal membranøs oxygenering (ECMO) (Figur 1B). Herefter rettede saturationen sig til 100%, og patienten blev overflyttet til Aarhus Universitetshospital.

Den postoperative antibiotiske behandling blev ændret til meropenem, ciprofloxacin, oseltamivir i sonde og hydrokortison. Bronkoalveolær lavage (BAL) viste ved kvalitativ polymerasekædereaktion i tre uafhængige prøver betydelig forekomst af pneumocyster på et niveau, der blev tolket som værende utvetydigt positivt, hvorfor kolonisering ikke var under mistanke, og der blev igangsat behandling med sulfatrim 400/80 4 tabl. × 4. Guldstandarden er mikroskopi af BAL-væske, hvilket ikke blev udført. Blodprøvesvar viste både negativ hiv-RNA og hiv-antistoffer, normal CD4+- og CD8+-status, marginalt nedsat immunglobulinniveau (6,8) samt forhøjet IgM (3,0 g/l). Trods et særdeles kritisk forløb bedredes patientens tilstanden langsomt, og mor og barn blev udskrevet i velbefindende efter 20 dages indlæggelse.

DISKUSSION

I sygehistorien beskrives et sjældent tilfælde, hvor en rask immunkompetent gravid kvinde får fulminant lungesvigt pga. P. jirovecii-infektion.

Forskning tyder på, at graviditet inducerer et ændret immunrespons, med en øget differentiering af Th2 CD4+-lymfocytter fremfor Th1 CD4+-lymfocytter og deraf følgende øget morbiditet og mortalitet [3]. Årsagen hertil formodes at være en kombination af moduleret cytokin- og hormonproduktion samt nedsat immunitet over for specifikke infektioner [4].

PCP er i litteraturen beskrevet efter systemisk indgift af kortikosteroider i forbindelse med behandlingskrævende sygdom. Der er fundet tilfælde af PCP op til otte uger efter daglig indgift af 16-30 mg prednisolon [2].

I et enkelt studie har man via podning fra næse og svælg fundet, at gravide, især multipara, er hyppigere bærer af P. jirovecii, hvilket medfører øget risiko for smitte hos disponerede personer, f.eks. den nyfødte [3]. Patogenesen bag PCP i denne sygehistorie må antages at være multifaktoriel [5]. Patienten havde følgende risikofaktorer, der supprimerer immunsystemet: graviditet, behandling med højpotent steroid i form af celeston og konkurrerende urinvejsinfektion.

Mange problemer, såsom incidensen af global bærerstatus, risiko for vertikal smitte, nødvendighed af profylaksebehandling hos udsatte patientgrupper og isolation under aktiv infektion er ufuldstændig klarlagt og indikerer et behov for yderligere fokus.

Vi ønsker med denne kasuistik at henlede opmærksomheden på, at gravide i nogle tilfælde kan sidestilles med immunsupprimerede, hvorfor man bør inkludere mere opportunistiske infektioner i sine differentialdiagnostiske overvejelser.

Korrespondance: Sara Trier-Mørch. E-mail: s.trier.m@gmail.com

Antaget: 19. februar 2016

Publiceret på Ugeskriftet.dk: 16. januar 2017

Interessekonflikter:

Taksigelse: Benedict Kjærgaard, Thoraxkirurgisk Afdeling, Aalborg Universitetshospital, takkes for gennemlæsning, kommentar og udlån af billedmateriale.

Summary

Life-threatening Pneumocystis pneumonia in a previously healthy pregnant woman

Pneumocystis pneumonia (PCP) is one of the most common infections in patients with HIV. Pneumocystis jirovecii rarely gives rise to symptoms in immunocompetent individuals. PCP has been reported in individuals with immunosup­pres­sion. We report a case of life-threatening PCP in an other­wise healthy pregnant woman. Pregnant patients should be considered to be relatively immunosuppressed, and more opportunistic infections should be included in differential diagnosis considerations.

Referencer

Litteratur

  1. Thomas CF, Limper AH. Pneumocystis pneumonia. N Engl J Med 2004;
    350:2487-98.

  2. Yale SH, Limper AH. Pneumocystis carinii pneumoni in patients without acquired immunodefiency syndrome: associated illnesses and prior corticosteroid therapy. Mayo Clin Proceed 1996;71:5-13.

  3. Vargas S, Ponce CA, Sanchez CA et al. Pregnancy and asymptomatic carriage of Pneumocystis jiroveci. Emerg Infect Dis 2003;9:605-6.

  4. Poole JA, Claman HN. Immunology of pregnancy. Totowa: Human Press, 1993.

  5. Deresiewicz RL, Katz J, Zaroff J et al. Pneumocystis carinii pneumoni in a pregnant woman without predisposing condition. Infect Dis Clin Pract 1996;5:449-52.