Skip to main content

Luftfyldte levermetastaser som følge af Clostridium septicum-sepsis

Kristina Buchardi Nielsen1 & Hanne Krogh Rose2

17. apr. 2017
4 min.

Kliniske Clostridium septicum-infektioner er sjældne, men der ses en sammenhæng med visse cancerformer [1-5]. En teori bag denne sammenhæng er, at der med en hastigt voksende og nekrotisk tumor pga. anaerob glykolyse opstår et hypoksisk og surt miljø, hvor clostridiumbakterierne kan proliferere [1].

Hvis integriteten af epitelet svækkes, f.eks. pga.
tumorinduceret ulceration eller enterokolitis, kan
C. septicum spredes hæmatogent til lignende miljøer som metastaser.

Infektionen ses derfor hyppigt ved coloncancer [2, 3]. Herudover disponerer immunsuppression, både iatrogen og sygdomsrelateret, til udvikling af infektionen [3, 4]. Infektionen kan vise sig i form af sepsis og gasgangræn [5].

De tidlige symptomer er uspecifikke i form af feber, træthed og mavesmerter, men tilstanden kan i løbet af få timer udvikle sig til fulminant sepsis og shock [2]. Mortaliteten ved C. septicum-sepsis er høj; den nærmer sig 100% for patienter, som har neutropeni eller gasgangræn, hvis ikke antibiotisk behandling påbegyndes straks [2, 4, 5].

SYGEHISTORIE

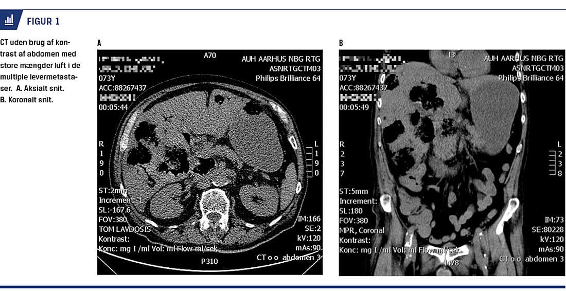
En 73-årig mand, hos hvem der netop var påbegyndt palliativ kemoterapi og epidermal vækstfaktor-receptor (EGFR)-hæmmer for levermetastaserende coloncancer, blev indlagt fire dage efter behandlingsstart med akutte mavesmerter og et døgns febrilia. Ved ankomsten var han respiratorisk påvirket med en respirationsfrekvens på 44 åndedrag pr. min og en saturation på 84% uden ilttilskud. Han var højfebril og takykard, men bleg og perifert kølig. Blodtrykket var initialt stabilt. Ved den objektive undersøgelse var der udtalt ømhed i øvre abdomen samt tiltagende peritoneal reaktion. En arterieblodgasanalyse viste massiv laktatophobning med et laktatniveau på 20 mmol/l, men normal pH-værdi pga. respiratorisk kompensation. Biokemisk var der C-reaktivt protein-niveau på 321 mg/l, men leukocytniveauet var inden for normalom rådet. På indikationen akut abdomen blev der foretaget en CT, som viste store mængder luft i de multiple levermetastaser samt luft i en retroperitoneal lymfeknudemetastase. Der var enkelte små luftbobler frit i peritoneum. Primærtumoren var uændret i forhold til tidligere (Figur 1A og B ).

Da ovenstående ikke gav mistanke om tarm- eller ventrikelperforation, enedes man om konservativ behandling. Der blev påbegyndt behandling med piperacillin-tazobactam, ciprofloxacin og metronidazol, og der blev anlagt en ventrikelsonde. De efterfølgende blodprøver viste progredierende organsvigt.

Patienten sløvede af og døde ca. 12 timer efter indlæggelsen. Efterfølgende bloddyrkningssvar viste vækst af C. septicum.

DISKUSSION

Luft i metastaser indikerer enten massiv nekrose eller anaerob abscesdannelse [5]. Luftudvikling som følge af nekrose kan opstå ved kraftigt respons på kemoterapi. Dette fænomen ses ved EGFR-hæmmere, som patienten i sygehistorien blev behandlet med [5]. Med det efterfølgende dyrkningssvar er det dog mere sandsynligt, at luftudviklingen skyldtes C. septicum.

Patienten i sygehistorien havde ikke neutropeni, men havde haft symptomer gennem et døgn. Trods påbegyndelse af relevant behandling døde han kort tid efter indlæggelse.

Piperacillin-tazobactam og metronidazol er relevant behandling af C. septicum-sepsis. I in vivo-studier har man påvist effekt af clindamycin i behandlingen af gasgangræn, formentligt på grund af nedsat toksinproduktion og cytokinfrigivelse, og man kan således overveje at lægge det til regimet [4].

Man kunne ved obduktionen makroskopisk ikke genfinde større luftfyldte hulrum i metastaserne. Ventriklen og tarmen var uden tegn på perforation, og der var ingen makroskopiske tegn på peritonitis. I relation til den største levermetastase fandt man et område med fokal blødning på overfladen af leveren.

Mikroskopisk sås der i metastaserne spalter på 1-3 mm, der ifølge obduktionsbeskrivelsen kunne repræsentere luftudvikling opstået enten i levende live eller postmortelt. Vi ved fra bloddyrkningerne, at patienten havde C. septicum-sepsis, men pga. manglende bakteriologisk analyse ved obduktionen kan man ikke med sikkerhed konkludere, at der også var tale om C. septicum-gasgangræn i levermetastaserne, om end det er nærliggende at antage. C. septicum-gangræn er en sjælden komplikation, og i international litteratur er der kun rapporteret få cases, hvor C. septicum har medført gasgangræn i metastaser [1, 3, 5].

Kendskabet til C. septicum-sepsis er forholdsvis lavt, og pga. den øgede forekomst ved visse cancere, er det en interessant differentialdiagnostisk årsag til abdominalia primært hos patienter med coloncancer.

Korrespondance: Kristina Buchardi Nielsen. E-mail: krisjeen@rm.dk

Antaget: 14. februar 2017

Publiceret på Ugeskriftet.dk: 17. april 2017

Interessekonflikter: ingen.

Summary

Gas-filled liver metastases caused by Clostridium septicum sepsis

In this case report a 73-year-old male with liver-metastatic colon cancer was admitted to hospital due to severe abdominal pain merely four days after receiving chemo­therapy including epidermal growth factor receptor inhibitors. An acute computed tomography revealed gas-filled liver metastases with two possible diagnoses of either a rapid tumour response resulting in tumour necrosis or severe bacterial infection involving liver metastases. Moreover, the patient had an anaerobic infection with Clostridium septicum, and despite relevant treatment he died within 12 hours after admission.

Referencer

LITTERATUR

  1. Lee CH, Hsieh SY. Case report: Clostridium septicum infection presenting as liver abscess in a case of choriocarcinoma with liver metastasis. J Gastroenterol Hepatol 1999;14;1227-9.

  2. Pelletier JPR, Plumbley JA, Rouse EA et al. The role of Clostridium septicum in paraneoplastic sepsis. Arch Pathol Lab Med 2000;124;353-6.

  3. Kolbeinson ME, Holder WD, Aziz S. Recognition, management, and prevention of Clostridium septicum abscess in immunosuppressed patients. Arch Surg 1991;126;642-5.

  4. Stevens DL, Aldape MJ, Bryant AE. Life-threatening clostridial infections. Anaerobe 2012;18;254-9.

  5. Bozkurt M, Okutur K, Aydin K et al. Fulminant abdominal gas gangrene in metastatic colon cancer. Oncol Let 2012;3;469-71.