Lungeabsces sekundært til aseptisk lungeemboli


Nanna Holm1, Eline Kirstine Gantzhorn2 & Stefan Posth1
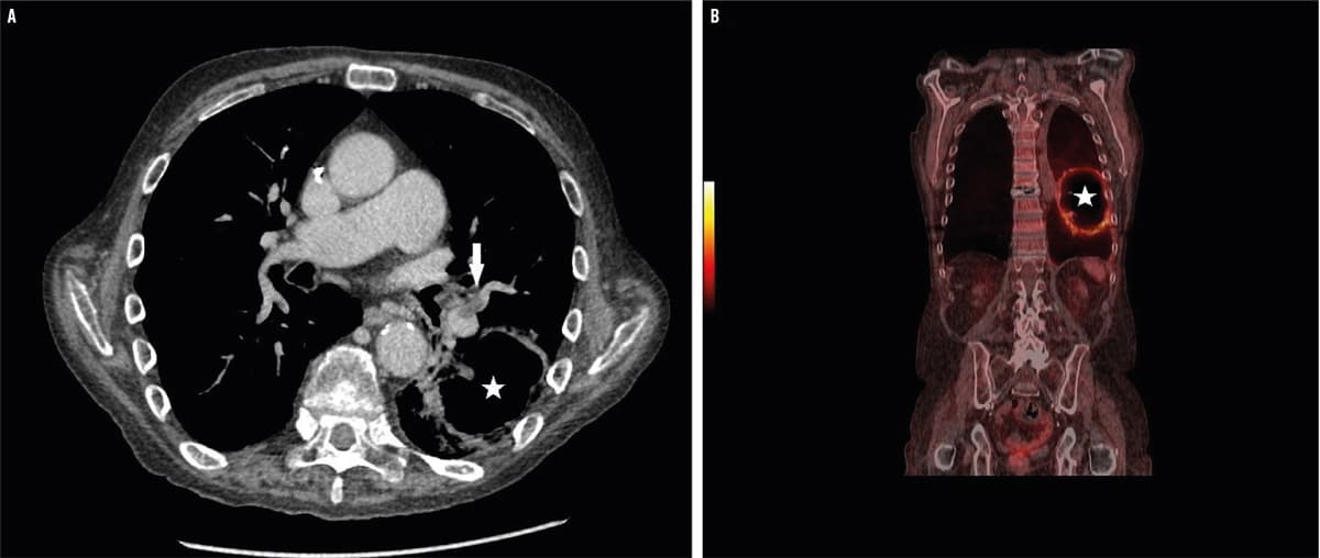
En 60-årig mand blev indlagt med forværring i åndenød gennem en måned, rygsmerter samt et vægttab på 10 kg. Ved indlæggelsen var niveauet af C-reaktivt protein 400 mg/l, og ved en røntgenoptagelse påviste man en 8 x 8 cm stor kavitet i venstre lunge. Dette gav mistanke om en tømt absces, hvilket blev bekræftet ved en CT, hvor man i tillæg påviste flere lungeembolier (LE) bilateralt (A, pilen viser LE, stjernen viser absces). Abscessen var ikke synlig på et røntgenbillede taget fire dage forinden. En supplerende PET/CT viste opladning af abscessens kapsel og afkræftede malignitet (B, stjernen viser absces). Bakteriel agens blev ikke identificeret, og patienten bedredes på behandling med bredspektret antibiotika i seks uger samt warfarin i seks måneder.
Det er estimeret, at 10-31% af patienter med LE vil udvikle lungeinfarkt [1, 2], og 4-7% af infarkterne vil være kaviterende [3]. Disponerende faktorer er bl.a. hjertesvigt, KOL og infektion [4]. Pga. multiple LE og kun én absces formodes et aseptisk infarkt at være grobund for den efterfølgende abscesdannelse hos denne patient. Sammenhængen er velkendt, men sjælden og bør primært haves in mente hos disponerede personer og ved behandlingssvigt.
Korrespondance: Nanna Holm. E-mail: nanna.holm@regionh.dk
Publiceret på Ugeskriftet.dk: 27. juni 2020
Interessekonflikter: ingen. Forfatternes ICMJE-formularer er tilgængelig sammen med artiklen på Ugeskriftet.dk
Taksigelser: Radiologisk Afdeling, Odense Universitetshospital, takkes for billede A, og Nuklearmedicinsk Afdeling, Odense Universitetshospital, takkes for billede B.
Teng E, Bennett L, Morelli T et al. An unusual presentation of pulmonary embolism leading to infarction, cavitation, abscess formation and bronchopleural fistulation. BMJ Case Rep 2018;2018:bcr-2017-222859.
Rajagopala S, Devaraj U, D'Souza G. Infected cavitating pulmonary infarction. Respir Care 2011;56:707-9.
Libby LS, King TE, LaForce FM et al. Pulmonary cavitation following pulmonary infarction. Medicine (Baltimore) 1985;64:342-8.
Butler MD, Biscardi FH, Schain DC et al. Pulmonary resection for treatment of cavitary pulmonary infarction. Ann Thorac Surg 1997;63:849-50.