Skip to main content

Lungekaviteter forårsaget af Nocardia cyriacigeorgica hos en immunsupprimeret dreng

Dahlia Caroline Berring1 & Ulrikka Nygaard2

29. sep. 2014
4 min.

Ved pneumoni, hvor thoraxoptagelse viser infiltrat med kavitetsdannelse, er det oplagt at tænke på tuberkulose. Infektion med Nocardia kan være en vigtig differentialdiagnose, hvor der ikke samtidig er hilær adenitis.

Nocardia er en sjælden årsag til lungeinfektion. Ofte er der ved pulmonal Nocardia-infektion uspecifikke symptomer på pneumoni. Det karakteristiske radiologiske billede af pulmonal nocardiose er fokale/multifokale noduli med eller uden kavitetsdannelse og/eller infiltrater med kavitetsdannelse – ingen ledsagende adenitis. Ved regulære abscesdannel-
ser kan der opstå fistler til pleura og pneumothorax. Centralnervesystemet er det hyppigste sted for forekomst af ekstrapulmonal nocardiose [1]. Hyppigst forekommer infektionen hos patienter, der er immunsupprimeret – pga. f.eks. aids, kemoterapi, organtransplantation eller binyrebarkhormonbehandling [2]. Kun en tredjedel af tilfældene ses hos patienter, der ikke er immunsupprimeret [1, 3].

I 1888 blev Nocardia-bakterien isoleret fra kvæg og beskrevet af dyrlægen Edmond Nocard [4, 5]. No-cardia er en strikt aerob, grampositiv bakterie med mere end 50 arter [1, 4]. Den forekommer bl.a. i jord, støv samt fersk- og saltvand og smitter ved inhalation.

SYGEHISTORIE

En seksårig dreng af pakistansk oprindelse var i ste-roidbehandling (2 mg/kg) pga. nefrotisk syndrom,
da han fik tiltagende pulmonale symptomer. En røntgenundersøgelse af thorax viste to rundinfiltrater i lungerne: i højre lunge (2,2 cm i diameter) og i venstre underlap (1,2 cm i diameter).

Der var ingen forstørrede lymfeknuder i hili og ingen kendte ekspositioner for tuberkulose, men tidligere rejser til Pakistan. Tre ekspektoratprøver fandtes negative for bakterier, også ved akut mikroskopi og polymerasekædereaktion for Mycobacterieum tuberculosis.

I løbet af en uge fik han voldsomme smerter i venstre skulder, overfladisk respiration, kvalme og opkastninger. En røntgenundersøgelse af thorax viste udtalt venstresidig pneumothorax, og en supplerende CT viste de to rundinfiltrater og en venstresidig pneumothorax, hvilket radiologisk rejste mistanke om Nocardia-infektion.

Under anæstesi blev der anlagt pleuradræn og foretaget bronkoalveolær lavage. Den akutte mikroskopi herfra viste grampositive syrefaste stave, hvilket var foreneligt med Nocardia-infektion. Senere dyrkningssvar viste Nocardia cyriacigeorgica.

Patienten blev sat i intravenøs behandling med linezolid samt sulfamethoxazol og trimetoprim, var indlagt i tre uger og overgik til ambulant kontrol i fortsat behandling med sulfamethoxazol og trimetoprim.

DISKUSSION

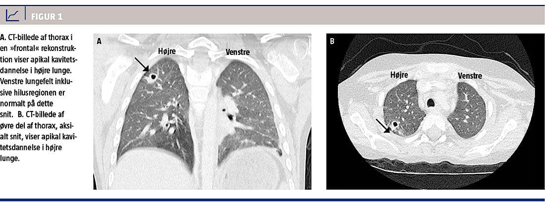
Hos patienter med specifikke eller uspecifikke symptomer på pneumoni og samtidig tilstedeværelse af rundinfiltrater med eller uden kavitetsdannelse påvist ved røntgenundersøgelse af lungerne, er Nocardia-infektion en sjælden, men vigtig differentialdiagnose. CT af lungerne viser ofte flere rundinfiltrater af forskellig størrelse. Infiltraterne kan være uskarpt afgrænsede og kan have kavitetsdannelse (Figur 1) [2]. Diagnosen stilles ved mikroskopi og aerob dyrkning. Prognosen er afhængig af patientens immunstatus, sygdommens varighed og evt. spredning – f.eks. hæmatogent til centralnervesystemet [3].

Ved igangværende lungeinfektion og påvisning af større eller mindre infiltrater med kavitetsdannelse er det oplagt initialt at have mistanke om tuberkulose, men pulmonal nocardiose kan være en vigtig differentialdiagnose. Bronkoalveolær lavage er ofte indiceret hos børn, for at man kan stille diagnosen. Prognosen er god ved tidlig diagnostik og behandling.

Korrespondance: Dahlia Caroline Berring, Radiologisk Klinik, Rigshospitalet, Blegdamsvej 9, 2100 København Ø.
E-mail: Dahlia.caroline.adjal.berring@regionh.dk

Antaget: 2. juli 2014

Publiceret på Ugeskriftet.dk: 29. september 2014

Interessekonflikter:

Summary

Lung cavities caused by Nocardia cyriacigeorgica in an immunosuppressed boy

The identification of nodules and/or cavitations in the chest X-ray of a chronically or acute ill patient will rise the suspicion of tuberculosis. However, it is important to be aware of pulmonary nocardiosis as a rare but important differential diagnosis, especially in case of no hilar adenitis. In this case report, we describe a six-year-old boy receiving prednisolone due to nephrotic syndrome, who developed pneumothorax because of pulmonal nocardiosis. The prognosis is good in case of early diagnosis and antibiotic treatment.

Referencer

LITTERATUR

  1. Wilson JW. Nocardiosis: updates and clinical overview. Mayo Clin Proc 2012;87:403-7.

  2. Buckley JA, Padhani AR, Kuhlman JE. CT faetures of pulmonary nocardiosis.
    J Comput Tomogr 1995;19:726-32.

  3. Blackmon KN, Ravenel JG, Gomez JG. Pulmonary nocardiosis: computed tomo-graphy features at diagnosis. J Thorac Imaging 2011;26:224-9.

  4. Brown-Elliott BA, Brown JM, Conville PS et al. Clinical and laboratory features of the nocardia spp. based on current molecular taxonomy. Clin Microbiol Rev 2006;19:259-82.

  5. Nocard E. Note sur maladie des boeufs de la Guadeloupe connu sous le nom de farcin. Ann Inst Pasteur (Paris) 1888;2:293.