Lymfatisk spredning af brystkræft til leveren


Zeina Hadad1, Wasan Wahid2 & Pia Afzelius3, 4
Brystkræft er den hyppigste kræftsygdom og den næsthyppigste årsag til kræftrelateret død hos kvinder, både globalt og i Danmark [1, 2]. Ca. en tredjedel af patienterne har metastaser på diagnosetidspunktet, og en tredjedel af patienterne med metastaser er i live efter fem år [3]. 50-70% af kvinder med metastaserende brystkræft vil få levermetastaser i løbet af deres sygdom [2]. Hos især patienter med invasiv brystkræft kan metastaser forekomme flere år efter endt behandling. Levermetastaser resulterer i behandlingsresistens og højere dødelighed med en medianoverlevelse på 2-3 år hvis behandlet [2, 3] og på 4-8 måneder hvis ubehandlet [3]. Derfor er levermetastaser alvorlige. Tidlig identifikation kan dog give mulighed for helbredende leverresektion og forlænge overlevelsen [2, 3]. Metastasering til leveren fra brystkræft er oftest hæmatogen [3, 4]. Aktuelle kasuistik viser det første tilfælde af usædvanlig visualisering af sandsynlig lymfatisk spredning observeret ved præoperativ sentinel node (SN)-lymfeskintigrafi (LS) bekræftet ved MR-skanning og UL-undersøgelse med biopsi.
En kvinde, der seks år tidligere fik foretaget lumpektomi, aksilrømning (4/14 lymfeknudemetastaser) og neoadjuverende kemoterapi grundet brystkræft, blev genhenvist på mistanke om recidiv ved mammografiscreening. Biopsi fra brystet viste invasivt duktalt karcinom (IDC) med samme receptorprofil som primært. Derfor blev der planlagt SN-LS og mastektomi.
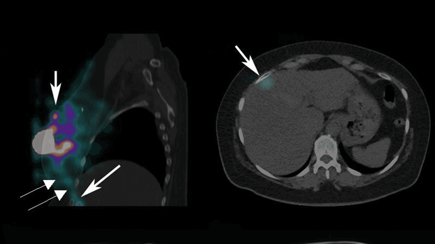
Præoperativ SN-LS med SPECT/dæmpningskorrigerende CT visualiserede ingen SN i aksillerne, mammariagebetet, subpektoralt eller periklavikulært, men aktivitet i en bane lateralt for og parallelt med m. rectus abdominis dxt. strækkende sig fra brystet til et fokus på 3 mm i leverens segment VIII/IVa (Figur 1). Den abnorme drænage rejste mistanke om leverinvolvering. Den efterfølgende MR-skanning viste tre metastasesuspekte foci i henholdsvis leverens segment VIII/IVa, VI og II/III, hvilket blev bekræftet ved UL-vejledt biopsi, som viste IDC med samme receptorprofil som primærtumoren og recidivet.
SN-LS visualiserer lymfedrænage til SN hos patienter med brystkræft, typisk mod samsidige aksil, hvilket er tilfældet hos 97,5% af patienterne. LS kan også identificere ekstraaksillær SN bl.a. subpektoralt, i mammariagebetet og periklavikulært.
Aktuelle patient havde ingen aktivitetsakkumulation, hverken i de enkelte små tilbageværende lymfeknuder i samsidige aksil eller ekstraaksillært, men til gengæld var der unormal og sjældent set aktivitetsakkumulation fra brystet til leveren. Der er kun beskrevet to tidligere tilfælde i litteraturen på trods af de mange SN-LS, der udføres hvert år i hele verden. Vermeeren et al beskrev et tilfælde, hvor præoperativ SN-LS visualiserede en usædvanlig lymfedrænage fra bryst mod lever hos en patient med brystkræft [4]. Tokisawa et al rapporterede kun et tilfælde af usædvanlig aktivitetsakkumulation i leveren ved præoperativ SN-LS blandt 4.659 undersøgte patienter. Lever-MR-skanning tre måneder postoperativt viste ingen tegn på levermetastase i aktivitetsakkumulationen i leveren, men først en metastase to et halvt år senere [5]. Denne patient modtog kemoterapi, lokal protonterapi og havde været recidivfri i fem år, hvilket kan skyldes, at både den lymfatisk spredte levermetastasering og det regionale lymfeknuderecidiv var lokaliserede, hvilket gjorde lokalbehandlingen mere effektiv.
I denne kasuistik, uden regional lymfeknudemetastase, vurderer vi, at levermetastaserne er opstået ved direkte lymfatisk spredning fra brystet til leveren. Trods sjældenhed er det vigtigt at være opmærksom på mulig lymfatisk spredt levermetastase fra brystkræft ved SN-LS, særligt hvis de normale spredningsveje er blokerede, da overlevelsen på længere sigt er bedre ved tidlig opsporing og også kan have en bedre prognose end en hæmatogent spredt metastase.
Korrespondance Zeina Hadad. E-mail: zeina.s.hadad@hotmail.com
Antaget 14. juni 2024
Publiceret på ugeskriftet.dk 2. september 2024
Interessekonflikter ingen. Forfatternes ICMJE-formularer er tilgængelige sammen med artiklen på ugeskriftet.dk
Referencer findes i artiklen publiceret på ugeskriftet.dk
Artikelreference Ugeskr Læger 2024;186:V01240024
doi 10.61409/V01240024
Open Access under Creative Commons License CC BY-NC-ND 4.0
Breast cancer usually metastasizes by haematogenous spread. This is a case report of a woman with unusual liver metastases from a recurrent invasive ductal carcinoma via a lymphatic route draining the outer part of the breast to the liver running parallelly with the right rectus abdominis muscle, depicted by preoperative sentinel node lymphoscintigraphy. Realizing this route of metastasis can impact survival, as it has a favourable prognosis compared with haematogenous metastasis, we want to draw attention to this.