Skip to main content

Magnetisk resonans-arteriografi i perifer karkirurgi

Jonas P. Eiberg, Erik Lundorf, Carsten Thomsen &_Torben V. Schroeder

2. nov. 2005
17 min.

Med denne oversigt ønsker forfatterne at præsentere magnetisk resonans-arteriografi (MRA) som en nyere teknik og et muligt alternativ til visualisering af arterier i forbindelse med karkirurgisk diagnostik og behandling. På baggrund af en litteratursøgning er MRA sammenlignet med konventionel arteriografi, med værdier for sensitivitet og specificitet på henholdsvis 93% (64-100%) og 88% (57-100%) uden anvendelse af kontrast, og 96% (71-100%) og 96% (63-100%) med anvendelse af kontrast. MRA-kontrast administreres intravenøst og er uden nyretoksicitet. Med MRA kan man hos nogle patienter se arterier, der ikke er synlige med konventionel arteriografi, mens metoden ikke rummer den konventionelle arteriografis mulighed for intervention og terapi. Det kan konkluderes, at MRA med kontrast er en minimalt invasiv, hurtig, præcis og ufarlig metode til visualisering af underekstremitetens arterie, dog er tilgængeligheden nationalt begrænset, hvorfor metoden ikke kan forventes at få rutinemæssig udbredelse foreløbig.

Forud for karkirurgisk eller endovaskulær revaskularisering af underekstremitetsarteriosklerose er en omhyggelig kortlægning af de okklusive forandringer nødvendig. I dag er arteriografi med intraarterielt administreret kontrast (KA) den foretrukne metode og regnes som den billeddiagnostiske standard. Metoden er dog invasiv, med en rapporteret risiko for alvorlige bivirkninger på 2-3% (1). Derudover forudsætter KA flere timers efterfølgende observation og sengeleje.

Magnetisk resonans-arteriografi (MRA) blev i 1990'erne introduceret som et muligt alternativ til arteriografi i forbindelse med karkirurgisk diagnostik og behandling og har siden vist sig lovende. Således har enkelte udenlandske centre i dag erstattet den konventionelle arteriografi med MRA forud for behandling af underekstremitetsiskæmi (2, 3).

Med denne oversigtsartikel ønsker vi at præsentere MRA som en nyere metode og et muligt, ikke-invasivt alternativ til visualisering af underekstremitetens arterier forud for kirurgisk eller endovaskulær revaskularisering. Der er i fremstillingen lagt vægt på de kliniske aspekter, mens detaljer af overvejende radiologisk og MR-teknisk karakter er udeladt.

Metode

Oversigtsartiklen er baseret på en MEDLINE-søgning af alle engelsksprogede artikler, der omhandler MRA til visualisering af underekstremitetsarteriosklerose. Artiklerne er publicerede fra januar 1991 til og med oktober 2000. For at man kunne sammenligne artiklerne indbyrdes, måtte visse på forhånd fastlagte kriterier være opfyldt (Fig. 1). Sensitivitet og specificitet er sammenlignet for MRA uden og med kontrast, og resultaterne er præsenteret som median og spændvidde (range).

Magnetisk resonans-arteriografi

Magnetisk resonans-arteriografi blev eksperimentelt introduceret i midten af 1980'erne til visualisering af store arterier på halsen, i maven og på låret (4). I det efterfølgende årti er der publiceret flere arbejder, der omhandler MRA anvendt inden for det karkirurgiske fagområde - initialt uden anvendelse af kontrast, og senere med kontrastanvendelse.

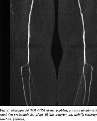
MRA uden kontrast (TOF-MRA)

Den ikke-kontrastforstærkede MRA-teknik er baseret på signalforskellen imellem protoner i bevægelse i karret og stationære protoner i det omgivende væv. Den foretrukne MRA-teknik er den såkaldte time-of-flight-teknik (TOF-MRA) (Fig. 2). På grund af tidsforbruget og risikoen for artefakter har metoden dog aldrig vundet større udbredelse forud for arterielle rekonstruktioner, udtagen i enkelte karkirurgiske centre (2, 5). Artefakter ses specielt i stærkt kurvede arterier, fx i iliacasegmentet, hvor artefakterne vil overdrive stenosegraden og -længden. Trifasisk flow, der er et normalt fænomen i større arterier, kan ligeledes medføre artefakter, ligesom respirationsbevægelser og tarmperistaltik. En fuldstæn- dig TOF-MRA-undersøgelse fra aorta til fod tager 1-2 timer (2).

Fordele og ulemper med MRA

Fordele

  • Nøjagtig diagnostik

  • Ikke nyretoksisk

  • Ikke invasiv

  • Reducerer antallet af amputationer

  • Udgiftsneutralt i forhold til arteriografi

Ulemper

  • Endovaskulær behandling er ikke mulig

  • Begrænset kapacitet

  • Problemer med metalimplantater

  • Problemer med klaustrofobi

MRA med kontrast (CE-MRA)

Siden introduktionen af kontrastforstærket MRA (contrast enhanced MRA, CE-MRA) i midten af 1990'erne, er mængden af MRA-studier vokset støt (Fig. 3 og Tabel 1). Undersøgelsestiden er reduceret til 20-30 min for en komplet aorta til fod-undersøgelse. Da optagelsestiden for et enkelt karsegment, hvor informationerne til billeddannelsen opsamles, tager ca. 20 s kan undersøgelsen gennemføres under inspirationspause. Derved minimeres risikoen for bevægelsesartefakter. Pulsationsartefakter og artefakter pga. slyngede arterier ses ikke .

Som kontraststof anvendes lavmolekylært gadolinium, der administreres intravenøst og forstærker det intravasale signal i forhold til det omgivende væv. Gadolinium er vidtgående atoksisk. Specielt er der ingen kendt nefrotoksisitet ved intravenøst brug, og stoffet kan derfor bruges i maksimale doser hos patienter med nedsat nyrefunktion (20).

Til CE-MRA-undersøgelser anvendes en almindelig 1,5 T MR-scanner samt en signalmodtager (coil), der passer til underekstremiteten. Herudover er anskaffelse af supplerende udstyr, ud over billedbehandlingsprogrammer, ikke strengt nødvendigt. For at opnå tidsmæssig korrekt kontrastinjektion, vil en automatisk injektionssprøjte lette proceduren, selv om man i øvede hænder kan opnå perfekte kontrast- MRA-billeder med to 50-ml-sprøjter. Til en fuldstændig fremstilling af et underekstremitetensarterietræ, vil MRA-undersøgelsen typisk være sammensat af tre optagelser - en for det aortoiliacale segment, en for det femoropopliteale segment og en for det krurale segment. Kontrasten kan gives som tre separate boluskontrastinjektioner forud for hver af de tre optagelser, eller som én kontinuerlig infusion under hvilken patienten flyttes, og de tre karsegmenter scannes - den såkaldte moving bed technique.

MRA-fakta

  • Pris for en velegnet MR-scanner: ca. 15 mio. kr.

  • Pris for gadolinium-kontrast: ca. 1.000 kr. per undersøgelse.

  • Tidsforbrug for en MR-arteriografi af underekstremiteten: 20-30 min.

  • MR-scanner »deles« med andre specialer (fx neuroradiologi).

Resultater

MEDLINE-søgningen resulterede i 57 artikler, hvoraf de 28 opfyldte de i Fig. 1 beskrevne kriterier: 13 der omhandler MRA uden og 14 med anvendelse af kontrast samt et studie, der omhandler begge teknikker.

TOF-MRA-resultater

Sammenlignes TOF-MRA med KA opnås der god overensstemmelse (Tabel 2) med mediane værdier for sensitivitet og specificitet på henholdsvis 93% (64-100%) og 88% (57-100%). Dette er sammenligneligt med resultaterne fra et omfattende multicenterstudie, hvor TOF-MRA blev fundet ligeværdig med KA, når intraoperativ arteriografi var guldstandard. I et studie af Huber et al, hvor intraoperativ arteriografi blev anvendt som guldstandard til visualisering af arterier på fod og underben, var sensitiviteten så lav som 51% (29). Dette skyldes, at intraoperativ arteriografi kunne visualisere flere åbne fodarteriesegmenter end MRA, et forhold, der genfindes, når KA sammenlignes med IOA (32).

CE-MRA-resultater

Når CE-MRA sammenlignes med KA (Tabel 1), findes en sensitivitet på 96% (71-100%) og en specificitet på 96% (63-100%), således at CE-MRA-resultaterne er antydningsvis bedre end TOF-MRA-resultaterne. Dette stemmer udmærket overens med tre nylige metaanalyser, hvor CE-MRA blev fundet TOF-MRA let overlegen i diagnostisk nøjagtighed (33-35). Wikström et al finder, at CE-MRA og KA er identiske til diagnosticering arteriosklerose i iliacagebetet når intraarteriel trykmåling anvendes som guldstandard (16).

Diskussion

Den diagnostiske nøjagtighed

I øjeblikket er den kontrastforstærkede MRA (CE-MRA) at betragte som den fremtidige MRA-teknik til visualisering af perifer arteriosklerose i underekstremiteterne - og bedre end TOF-MRA, hvad angår såvel sammenlignelighed med kontrastarteriografi, tidsforbrug som forekomst af artefakter. For begge MR-metoder findes der en meget god overensstemmelse med kontrastarteriografi - såvel konventionel arteriografi som digital subtraktionsarteriografi. Der kan i litteraturen ikke findes holdepunkter for en sammenhæng imellem det anatomiske niveau (fx aortoiliakal, femopopliteal og infrapopliteal) og den diagnostiske nøjagtighed for nogen af MRA-metoderne (3).

Når hele underekstremitetens arterietræ undersøges med CE-MRA-teknik, vil kontrastopladningen fra de forgående kontrastinjektioner kunne forstyrre billeddannelsen af arterierne på crus og fod, ligesom proksimale stenoser og okklusioner vanskeliggør en præcis beregning af kontrastens ankomst til de distale arterier. Hvis derimod kun arterierne på crus og fod ønskes undersøgt, kan man nøjes med en enkelt kontrastinjektion og dermed opnå bedre billeder (19).

Når nye metoder skal sammenlignes, vil kvaliteten af den diagnostiske standard have afgørende betydning for resultatet. Når MRA sammenlignes med arteriografi, kan MRA kun blive næstbedst. Hvis intraarteriel trykmåling derimod anvendes som den diagnostiske standard, findes MRA og arteriografi at være lige gode (16). Flere forfattere har planlagt behandling ud fra enten MRA eller arteriografi og fundet MRA sammenlignelig med arteriografi (29, 36). Selv om sådanne studier kan synes mere klinisk relevante end studier, hvor overensstemmelsen opgøres segment for segment, rummer sådanne design mange mulige fejlkilder, fx kirurgiske traditioner, erfaring samt personlige præferencer.

Kan magnetisk resonans-arteriografi forhindre amputationer?

Indsættelse af en distal bypass er en ofte anvendt metode til at afhjælpe underekstremitetsiskæmi. For at kunne gennemføre en sådan operation, må der være mindst en arterie med uhindret afløb til foden, hvortil den distale anastomose kan fortages. Hvis en sådan arterie ikke kan vises radiologisk, vil konsekvensen ofte blive amputation. At afløbskarrene ikke kan ses, skyldes oftest okklusion, men kan dog også skyldes meget lav kontrastkoncentration i ellers åbne arterier (32) _- et forhold der specielt gør sig gældende hos patienter med okklusion over flere segmenter (19). Intraoperativ arteriografi med selektiv visualisering af kartræet på fod og underben er vist at kunne forbedre billeddiagnostikken af afløbsarterier og hermed øge operabiliteten og sænke amputa- tionsfrekvensen (32). På samme måde har enkelte studier fundet, at MRA i nogle situationer kan vise disse »usynlige« kar og dermed øge operabiliteten med op til 37% (2, 3, 19).

Udgifter

Kun få studier har systematisk sammenlignet udgifterne for MRA med fx kontrastarteriografi, og resultaterne har været varierende. Levy et al fandt, at TOF-MRA var lidt billigere (379 USD per patient) end den sædvanlige kontrastarteriografi (37), mens andre har fundet en større besparelse (1.000-1.300 USD per patient) (2, 29). Prisforskellen imellem de to metoder skyldes hovedsageligt udgifterne til en kortvarig indlæggelse i forbindelse med arteriografien, således som det praktiseres flere steder, idet kontrastudgifterne til henholdsvis konventionel arteriografi og CE-MRA er sammenlignelige. Ydermere vil udgifterne til behandling af eventuelle arteriografirelaterede komplikationer hurtigt fordyre proceduren i forhold til den ikke-invasive MRA-teknik. Prisen for en velegnet MR-scanner (ca. 15 mio. kr) er sammenlignelig med prisen for et veludstyret arteriografirum (ca. 12 mio. kr). Almindeligvis vil en MR-scanner kunne deles af flere specialer - fx neurofag, ortopædi, karkirurgi m.m.

Ulemper

Da der ved alle MR-undersøgelser er tale om et meget kraftigt magnetfelt, må der tages forholdsregler over for patienter med visse metalimplantater. For eksempel kan otogene implantater, intracerebrale clips samt pacemakere være forbundet med risiko for patienten ved MR-undersøgelser. Visse andre metalimplantater kan derudover forringe billeddannelsen, fx osteosyntesemateriale og hæmoclips.

Patienter, der lider af klaustrofobi, kan have vanskeligt ved at få foretaget en MR-scanning.

Antallet af endovaskulære procedurer er stigende, og udgjorde i 1998 ca. en sjettedel af alle karkirurgisk procedurer i Danmark (www.karbase.dk, september 2001). Da MR-teknikken endnu ikke rummer den konventionelle arteriografis mulighed for intervention, vil en del patienter alligevel have behov for en røntgenkontrastundersøgelse i forbindelse med en endovaskulær procedure.

Konklusion

Magnetisk resonans-arteriografi er en non-invasiv, præcis og relativ billig metode til at visualisere arterier, og må forventes at vinde større indpas forud for kirurgisk behandling af underekstremitetsarteriosklerose. Selv om magnetisk resonans-arteriografi uden kontrast også er nøjagtig, må den kontrastbaserede metode betragtes som state of the art. Kapaciteten for MRA-diagnostik i forhold til konventionel arteriografi er lav, ligesom metoden ikke rummer mulighed for intervention og terapi.


E-mail: eiberg@dadlnet.dk

Antaget den 3. oktober 2001.

H:S Rigshospitalet, karkirurgisk afdeling og radiologisk afdeling, og

Århus Universitetshospital, Skejby Sygehus, radiologisk afdeling.

This article is based on an article first published in the European Journal of Vascular and Endovascular Surgery 2001 (in press).

Kathrine og Vigo Skovgaards Fond takkes for økonomisk støtte.


  1. Egglin TK, O'Moore PV, Feinstein AR, Waltman AC. Complications of peripheral arteriography: a new system to identify patients at increased risk. J Vasc Surg 1995; 22: 787-94.
  2. Carpenter JP, Baum RA, Holland GA, Barker CF. Peripheral vascular surgery with magnetic resonance angiography as the sole preoperative imaging modality. J Vasc Surg 1994; 20: 861-9.
  3. Carpenter JP, Golden MA, Barker CF, Holland GA, Baum RA. The fate of bypass grafts to angiographically occult runoff vessels detected by magnetic resonance angiography. J Vasc Surg 1996; 23: 483-9.
  4. Wedeen VJ, Meuli RA, Edelman RR, Geller SC, Frank LR, Brady TJ et al. Projective imaging of pulsatile flow with magnetic resonance. Science 1985; 230: 946-8.
  5. Carpenter JP, Owen RS, Holland GA, Baum RA, Barker CF, Perloff LJ et al. Magnetic resonance angiography of the aorta, iliac, and femoral arteries. Surgery 1994; 116: 17-23.
  6. Snidow JJ, Aisen AM, Harris VJ, Trerotola SO, Johnson MS, Sawchuk AP et al. Iliac artery MR angiography: comparison of three-dimensional gadolinium- enhanced and two-dimensional time-of-flight techniques. Radiology 1995; 196: 371-8.
  7. Rofsky NM, Johnson G, Adelman MA, Rosen RJ, Krinsky GA, Weinreb JC. Peripheral vascular disease evaluated with reduced-dose gadolinium-enhanced MR angiography. Radiology 1997; 205: 163-9.
  8. Quinn SF, Sheley RC, Szumowski J, Shimakawa A. Evaluation of the iliac arteries: comparison of two-dimensional time of flight magnetic resonance angiography with cardiac compensated fast gradient recalled echo and contrast-enhanced three-dimensional time of flight magnetic resonance angiography. J Magn Reson Imaging 1997; 7: 197-203.
  9. Hany TF, Debatin JF, Leung DA, Pfammatter T. Evaluation of the aortoiliac and renal arteries: comparison of breath-hold, contrast-enhanced, three-dimensional MR angiography with conventional catheter angiography. Radiology 1997; 204: 357-62.
  10. Poon E, Yucel EK, Pagan-Marin H, Kayne H. Iliac artery stenosis measurements: comparison of two-dimensional time- of-flight and three-dimensional dynamic gadolinium-enhanced MR angiography. Am J Roentgenol 1997; 169: 1139-44.
  11. Ho KY, de Haan MW, Kessels AG, Kitslaar PJ, van Engelshoven JM. Peripheral vascular tree stenoses: detection with subtracted and nonsubtracted MR angiography. Radiology 1998; 206: 673-81.
  12. Hany TF, Schmidt M, Davis CP, Gohde SC, Debatin JF. Diagnostic impact of four postprocessing techniques in evaluating contrast-enhanced three-dimensional MR angiography. Am J Roentgenol 1998; 170: 907-12.
  13. Yamashita Y, Mitsuzaki K, Ogata I, Takahashi M, Hiai Y. Three-dimensional high-resolution dynamic contrast-enhanced MR angiography of the pelvis and lower extremities with use of a phased array coil and subtraction: diagnostic accuracy. J Magn Reson Imaging 1998; 8: 1066-72.
  14. Sueyoshi E, Sakamoto I, Matsuoka Y, Ogawa Y, Hayashi H, Hashmi R et al. Aortoiliac and lower extremity arteries: comparison of three-dimensional dynamic contrast-enhanced subtraction MR angiography and conventional angiography. Radiology 1999; 210: 683-8.
  15. Meaney JF, Ridgway JP, Chakraverty S, Robertson I, Kessel D, Radjenovic A et al. Stepping-table gadolinium-enhanced digital subtraction MR angiography of the aorta and lower extremity arteries: preliminary experience. Radiology 1999; 211: 59-67.
  16. Wikström J, Holmberg A, Johansson L, Lofberg A, Smedby O, Karacagil S et al. Gadolinium-enhanced magnetic resonance angiography, digital subtraction angiography and duplex of the iliac arteries compared with intra-arterial pressure gradient measurements. Eur J Vasc Endovasc Surg 2000; 19: 516-23.
  17. Lundin P, Svensson A, Henriksen E, Jonason T, Forssell C, Backbro B et al. Imaging of aortoiliac arterial disease. Duplex ultrasound and MR angiography versus digital subtraction angiography. Acta Radiol 2000; 41: 125-32.
  18. Ruehm SG, Hany TF, Pfammatter T, Schneider E, Ladd M, Debatin JF. Pelvic and lower extremity arterial imaging: diagnostic performance of three-dimensional contrast-enhanced MR angiography. Am J Roentgenol 2000; 174: 1127-35.
  19. Kreitner KF, Kalden P, Neufang A, Duber C, Krummenauer F, Kustner E et al. Diabetes and peripheral arterial occlusive disease: prospective comparison of contrast-enhanced three-dimensional MR angiography with conventional digital subtraction angiography. Am J Roentgenol 2000; 174: 171-9.
  20. Prince MR, Grist TM, Debatin JF. 3D Contrast MR Angiography. Berlin: Springer-Verlag, 2000.
  21. Mulligan SA, Matsuda T, Lanzer P, Gross GM, Routh WD, Keller FS et al. Peripheral arterial occlusive disease: prospective comparison of MR angiography and color duplex US

Summary

Summary Magnetic resonance arteriography in peripheral vascular surgery Ugeskr Læger 2002; 164: 2490-4. Based on a MEDLINE search, we present the current status of magnetic resonance arteriography (MRA) and peripheral vascular surgery. Non-enhanced MRA (TOF-MRA) is more time-consuming than is gadolinium-enhanced MRA (CE-MRA), and the gadolinium-enhanced technique seems to perform more accurately and pose fewer problems. The sensitivity and specificity of TOF-MRA are 93% (range 64-100%) and 88% (range 57-100%) respectively, and that of CE-MRA 96% (range 71-100%) and 96% (63-100%), respectively, with conventional arteriography as the gold standard. Some studies report an incidence of run-off vessels suitable for distal bypass that are visible on MRA, but invisible on conventional arteriography. Gadolinium contrast is given intravenously and is not nephrotoxic. CE-MRA is accurate, compared to conventional arteriography, has the potential to increase the limb salvage rate for selected patients, is non-invasive, and well tolerated.

Referencer

  1. Egglin TK, O'Moore PV, Feinstein AR, Waltman AC. Complications of peripheral arteriography: a new system to identify patients at increased risk. J Vasc Surg 1995; 22: 787-94.
  2. Carpenter JP, Baum RA, Holland GA, Barker CF. Peripheral vascular surgery with magnetic resonance angiography as the sole preoperative imaging modality. J Vasc Surg 1994; 20: 861-9.
  3. Carpenter JP, Golden MA, Barker CF, Holland GA, Baum RA. The fate of bypass grafts to angiographically occult runoff vessels detected by magnetic resonance angiography. J Vasc Surg 1996; 23: 483-9.
  4. Wedeen VJ, Meuli RA, Edelman RR, Geller SC, Frank LR, Brady TJ et al. Projective imaging of pulsatile flow with magnetic resonance. Science 1985; 230: 946-8.
  5. Carpenter JP, Owen RS, Holland GA, Baum RA, Barker CF, Perloff LJ et al. Magnetic resonance angiography of the aorta, iliac, and femoral arteries. Surgery 1994; 116: 17-23.
  6. Snidow JJ, Aisen AM, Harris VJ, Trerotola SO, Johnson MS, Sawchuk AP et al. Iliac artery MR angiography: comparison of three-dimensional gadolinium- enhanced and two-dimensional time-of-flight techniques. Radiology 1995; 196: 371-8.
  7. Rofsky NM, Johnson G, Adelman MA, Rosen RJ, Krinsky GA, Weinreb JC. Peripheral vascular disease evaluated with reduced-dose gadolinium-enhanced MR angiography. Radiology 1997; 205: 163-9.
  8. Quinn SF, Sheley RC, Szumowski J, Shimakawa A. Evaluation of the iliac arteries: comparison of two-dimensional time of flight magnetic resonance angiography with cardiac compensated fast gradient recalled echo and contrast-enhanced three-dimensional time of flight magnetic resonance angiography. J Magn Reson Imaging 1997; 7: 197-203.
  9. Hany TF, Debatin JF, Leung DA, Pfammatter T. Evaluation of the aortoiliac and renal arteries: comparison of breath-hold, contrast-enhanced, three-dimensional MR angiography with conventional catheter angiography. Radiology 1997; 204: 357-62.
  10. Poon E, Yucel EK, Pagan-Marin H, Kayne H. Iliac artery stenosis measurements: comparison of two-dimensional time- of-flight and three-dimensional dynamic gadolinium-enhanced MR angiography. Am J Roentgenol 1997; 169: 1139-44.
  11. Ho KY, de Haan MW, Kessels AG, Kitslaar PJ, van Engelshoven JM. Peripheral vascular tree stenoses: detection with subtracted and nonsubtracted MR angiography. Radiology 1998; 206: 673-81.
  12. Hany TF, Schmidt M, Davis CP, Gohde SC, Debatin JF. Diagnostic impact of four postprocessing techniques in evaluating contrast-enhanced three-dimensional MR angiography. Am J Roentgenol 1998; 170: 907-12.
  13. Yamashita Y, Mitsuzaki K, Ogata I, Takahashi M, Hiai Y. Three-dimensional high-resolution dynamic contrast-enhanced MR angiography of the pelvis and lower extremities with use of a phased array coil and subtraction: diagnostic accuracy. J Magn Reson Imaging 1998; 8: 1066-72.
  14. Sueyoshi E, Sakamoto I, Matsuoka Y, Ogawa Y, Hayashi H, Hashmi R et al. Aortoiliac and lower extremity arteries: comparison of three-dimensional dynamic contrast-enhanced subtraction MR angiography and conventional angiography. Radiology 1999; 210: 683-8.
  15. Meaney JF, Ridgway JP, Chakraverty S, Robertson I, Kessel D, Radjenovic A et al. Stepping-table gadolinium-enhanced digital subtraction MR angiography of the aorta and lower extremity arteries: preliminary experience. Radiology 1999; 211: 59-67.
  16. Wikström J, Holmberg A, Johansson L, Lofberg A, Smedby O, Karacagil S et al. Gadolinium-enhanced magnetic resonance angiography, digital subtraction angiography and duplex of the iliac arteries compared with intra-arterial pressure gradient measurements. Eur J Vasc Endovasc Surg 2000; 19: 516-23.
  17. Lundin P, Svensson A, Henriksen E, Jonason T, Forssell C, Backbro B et al. Imaging of aortoiliac arterial disease. Duplex ultrasound and MR angiography versus digital subtraction angiography. Acta Radiol 2000; 41: 125-32.
  18. Ruehm SG, Hany TF, Pfammatter T, Schneider E, Ladd M, Debatin JF. Pelvic and lower extremity arterial imaging: diagnostic performance of three-dimensional contrast-enhanced MR angiography. Am J Roentgenol 2000; 174: 1127-35.
  19. Kreitner KF, Kalden P, Neufang A, Duber C, Krummenauer F, Kustner E et al. Diabetes and peripheral arterial occlusive disease: prospective comparison of contrast-enhanced three-dimensional MR angiography with conventional digital subtraction angiography. Am J Roentgenol 2000; 174: 171-9.
  20. Prince MR, Grist TM, Debatin JF. 3D Contrast MR Angiography. Berlin: Springer-Verlag, 2000.
  21. Mulligan SA, Matsuda T, Lanzer P, Gross GM, Routh WD, Keller FS et al. Peripheral arterial occlusive disease: prospective comparison of MR angiography and color duplex US with conventional angiography. Radiology 1991; 178: 695-700.
  22. Yucel EK, Kaufman JA, Geller SC, Waltman AC. Atherosclerotic occlusive disease of the lower extremity: prospective evaluation with two-dimensional time-of-flight MR angiography. Radiology 1993; 187: 637-41.
  23. McDermott VG, Meakem TJ, Carpenter JP, Baum RA, Stolpen AH, Holland GA et al. Magnetic resonance angiography of the distal lower extremity. Clin Radiol 1995; 50: 741-6.
  24. Baum RA, Rutter CM, Sunshine JH, Blebea JS, Blebea J, Carpenter JP et al. Multicenter trial to evaluate vascular magnetic resonance angiography of the lower extremity. American College of Radiology Rapid Technology Assessment Group. JAMA 1995; 274: 875-80.
  25. Cortell ED, Kaufman JA, Geller SC, Cambria RP, Rivitz SM, Waltman AC. MR angiography of tibial runoff vessels: imaging with the head coil compared with conventional arteriography. Am J Roentgenol 1996; 167: 147-51.
  26. Glickerman DJ, Obregon RG, Schmiedl UP, Harrison SD, Macaulay SE, Simon HE. Cardiac-gated MR angiography of the entire lower extremity: a prospective comparison with conventional angiography. Am J Roentgenol 1996; 167: 445-51.
  27. Hoch JR, Tullis MJ, Kennell TW, McDermott J, Acher CW, Turnipseed WD. Use of magnetic resonance angiography for the preoperative evaluation of patients with infrainguinal arterial occlusive disease. J Vasc Surg 1996; 23: 792-800.
  28. Davis CP, Schopke WD, Seifert B, Schneider E, Pfammatter T, Debatin JF. MR angiography of patients with peripheral arterial disease before and after transluminal angioplasty. Am J Roentgenol 1997; 168: 1027-34.
  29. Huber TS, Back MR, Ballinger RJ, Culp WC, Flynn TC, Kubilis PS et al. Utility of magnetic resonance arteriography for distal lower extremity revascularization. J Vasc Surg 1997; 26: 415-23.
  30. Ho KY, de Haan MW, Oei TK, Koster D, Kessels AG, Janevski BK et al. MR angiography of the iliac and upper femoral arteries using four different inflow techniques. Am J Roentgenol 1997; 169: 45-53.
  31. Eklof H, Smedby O, Ljungman C, Karacagil S, Bergqvist D, Ahlstrom H. 2D inflow MR angiography in severe chronic leg ischemia. Acta Radiol 1998; 39: 663-8.
  32. Patel KR, Semel L, Clauss RH. Extended reconstruction rate for limb salvage with intraoperative prereconstruction angiography. J Vasc Surg 1988; 7: 531-7.
  33. Nelemans PJ, Leiner T, de Vet HC, van Engelshoven JM. Peripheral arterial disease: meta-analysis of the diagnostic performance of MR angiography. Radiology 2000; 217: 105-14.
  34. Koelemay MJ, Lijmer JG, Stoker J, Legemate DA, Bossuyt PM. Magnetic resonance angiography for the evaluation of lower extremity arterial disease: a meta-analysis. JAMA 2001; 285: 1338-45.
  35. Visser K, Hunink MG. Peripheral arterial disease: gadolinium-enhanced MR angiography versus color-guided duplex US - a meta-analysis. Radiology 2000; 216: 67-77.
  36. Hoch JR, Kennell TW, Hollister MS, Sproat IA, Swan JS, Acher CW et al. Comparison of treatment plans for lower extremity arterial occlusive disease made with electrocardiography-triggered two-dimensional time-of-flight magnetic resonance angiography and digital subtraction angiography. Am J Surg 1999; 178: 1