Skip to main content

Magnetisk resonans-kolografi: et nyt diagnostisk værktøj

Reservelæge Michael Patrick Achiam, MR-fysiker Elizaveta Chabanova, overlæge Vibeke Berg Løgager, professor Henrik S. Thomsen & overlæge Ole Haagen Nielsen Amtssygehuset i Herlev, Afdelingen for Diagnostisk Radiologi og Medicinsk-gastroenterologisk Afdeling C

9. nov. 2005
17 min.

Magnetisk resonans-kolografi (MRK) er en tredimensional MR-billeddannelse af colon i distenderet tilstand. Det er en ny ikkeinvasiv billeddannende undersøgelsesteknik, som er nået frem til klinisk vurdering. Teknikken synes at være anvendelig til påvisning af kolorektale tumorer og inflammatorisk tarmsygdom. Metoden er ikkeinvasiv, hurtig og kræver ikke sedering, og i modsætning til ved computertomografi (CT)-kolografi bruges der ikke ioniserede stråler. Udviklingen af MR-teknologi synes at gøre MRK til et realistisk alternativ til diagnostisk koloskopi inden for en kortere årrække.

Oversigten er baseret på systematisk og opdateret litteraturgennemgang efter søgning i PubMed (MEDLINE). Søgeord omfatter: colon cancer, IBD, MRI, MRC, colonography og virtual colonography. Publikationer fra tidsrummet 1. januar 1990 til 30. september 2004 blev gennemgået. Desuden blev litteraturlisterne i de fundne artikler gennemset for relevante publikationer, som ikke var registreret i MEDLINE. Kun de artikler, hvori der blev fokuseret på MR-kolografi, blev anvendt, og de 40 referencer, som forfattergruppen fandt var af højest interesse, blev medtaget i oversigten.

Definition af magnetisk resonans-kolografi

Magnetisk resonans-kolografi (MRK) er en tredimensional billeddannelse af en distenderet colon [1]. Teknikken blev introduceret i 1997 [2, 3] og har siden udviklet sig hurtigt. MRK er stadig under afprøvning; formentlig er teknikken et realistisk alternativ til diagnostisk koloskopi inden for få år. Fordelene er især, at metoden er ikkeinvasiv, kortvarig, ikke kræver sedering og er uden ioniserede stråler i modsætning til computertomografi (CT)-kolografi.

Indikationer for MRK

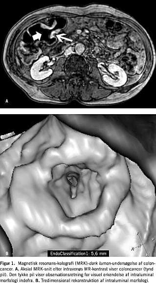
Udviklingen af kraftigere computere og MR-skannere har gjort det klinisk muligt at undersøge hele colon ved hjælp af MRK. Primære undersøgelser tyder på, at MRK er egnet til påvisning af kolorektale tumorer (polypper eller cancer) (Figur 1 ) og diagnostik af inflammatorisk tarmsygdom (IBD) (Figur 2 ).

Screening for kolorektale tumorer

Kolorektal cancer (KRC) er i dag den næsthyppigste cancerform hos mænd og den tredjehyppigste hos kvinder med i alt ca. 3.100 nye tilfælde årlig i Danmark. Den kumulerede femårsoverlevelse er kun på 35-40% [4]. Langt de fleste tilfælde af KRC opstår efter 50-års-alderen, og screening af asymptomatiske personer i denne alder med undersøgelse af afføring for blod (Hæmoccult-II) og koloskopi ved positivt Hæmoccult-fund er i tre store randomiserede undersøgelser påvist at kunne nedsætte dødeligheden af KRC med 15-33% [4]. Det er endvidere alment accepteret, at adenompolypper er forstadier til KRC hos langt de fleste patienter. Adenomer er fundet hos ca. en tredjedel af den amerikanske befolkning over 55 år [5] og er ensbetydende med en 2-8 gange øget risiko for at få KRC sammenlignet med baggrundsbefolkningens risiko. Da fjernelse af adenomer formentlig nedsætter både hyppighed og mortalitet af KRC, er der derfor enighed om at foretage regelmæssig endoskopisk kontrol efter adenomfjernelse [6].

De nuværende metoder til undersøgelse af colon og rectum med henblik på neoplasi (adenom eller karcinom) omfatter rektoskopi, sigmoideoskopi, koloskopi, røntgenundersøgelse af colon og undersøgelse af afføringen for okkult blod. Rektoskopi bliver i stigende omfang erstattet af fleksibel sigmoideoskopi. Ved hjælp af sigmoideoskopi kan op til 50 cm distal colon undersøges. Den forudgående udrensning er begrænset til et fosfatklyster, og undersøgelsen giver beskedne patientgener. Sigmoideoskopi har en høj sensitivitet og specificitet for både karcinomer og adenomer i rectum og colon sigmoideum, hvori omkring halvdelen af KRC-tilfældene er lokaliseret. Koloskopi har en sensitivitet på næsten 100% for adenomer og karcinomer over 10 mm, men en komplet undersøgelse til caecums bund opnås kun hos ca. 80% [7, 8]. Ved inkomplet undersøgelse foretages der derfor supplerende røntgenundersøgelse. Koloskopi forudsætter imidlertid en omfattende udrensning og sedering samt en rutineret endoskopør. Undersøgelsen er ofte ubehagelig, og perforationsrisikoen er omkring 0,2% med efterfølgende øget morbiditet og mortalitet [4]. Røntgenundersøgelse af colon med dobbeltkontrastmetoden har lavere sensitivitet og specificitet for cancer og adenomer end koloskopi og muliggør ikke biopsi [9]. I fremtiden vil røntgenundersøgelse af colon gradvist blive erstattet af endoskopi.

Diagnostik ved inflammatorisk tarmsygdom

Patienter med colitis uclerosa [10, 11] og Crohns sygdom [11, 12] gennemgår hyppige diagnostiske undersøgelser i sygdomsforløbet. Tyndtarmsundersøgelse, røntgenundersøgelse af colon, koloskopi og til dels CT-skanning anvendes i det diagnostiske arsenal. Ulempen ved den konventionelle koloskopi er, at det i ca. 20% af undersøgelserne ikke lykkes visuelt at erkende den proksimale colon [7, 8], mens man ved røntgen- og CT-undersøgelser udsætter patienter for ioniseret stråling.

Forbedringen af MR-skannere og tilgængeligheden af kontraststoffer har i den senere tid ført til stigende anvendelse af MR ved IBD [13, 14]. Ved MR ses den ødematøse, velvaskulariserede aperistaltiske og/eller fortykkede tarmvæg samt læsioner uden for tarmen som fistler og abscesser.

Patientforberedelsen
Udrensning

MRK begynder ligesom konventionel koloskopi med tarmudrensning, da væske og fæces kan skabe artefakter og skjule patologi. Her bruges samme udrensningsmetoder som ved konventionel koloskopi. Alternativt har oral indtagelse af fæcesmærkningskontrast (gadoliniumholdigt kontraststof, jern, mangan eller barium) til markering af fæces været foreslået [15-17]. Herved øges kontrastforskelle mellem fæces, lumen og væg. Efterfølgende kan fæces digitalt »fjernes« fra billederne. Foreløbige resultater vedrørende sensitivitet og specificitet ser lovende ud for denne metodik.

Colonfyldning med kontrast

Til MRK er det nødvendigt med en optimalt udvidet colon for at man kan optage de fleste detaljer af colonvæggen. Væske/vand eller luft/gas gives rektalt. Afhængigt af det indeholdte stof står lumen enten lyst (bright lumen- metode) eller mørkt (dark lumen- metode) på MR-billederne [18-21]. I en nyligt publiceret undersøgelse [22] er det vist, at luft som kontrast giver en bedre dilatation af colon end væske.

Supplerende medicin

Da bevægelsesartefakter på MR-billeder skal undgås, anvendes der intravenøst administreret hyoscinbutylbromid butylscopolamin eller glucagon til at relaksere colon og til at nedsætte peristaltikken [1]. Intravenøs gadoliniumbaseret MR-kontrast kan gives for at fremhæve patologi i de T1-vægtede MR-billeder på grund af stærk kontrastopladning i væv med forhøjet vaskularisering (MR-billeder optages typisk som såkaldt T1- eller T2-vægtede. På T1-vægtede billeder fremstår vandrige væv mørkt, mens T2-vægtede billede fremviser vandrige væv lyst). Hvorvidt dette øger sensitiviteten i forholdt til T2-vægtede optagelser udforskes for tiden [13].

MR-skanning
Patientlejring

Patienten placeres i bugleje [13, 22]. Herved undgås bevægelsesartefakter fra vejrtrækning, og samtidig forbedres udvidelsen af colon sigmoideum ved kompression af tyndtarm og colon transversum. Endvidere begrænses billedfeltet til et minimum, hvilket forbedrer billedopløsningen. Nogle MRK-undersøgelser udføres på en sådan måde, at patienten skifter stilling under MRK, og data optages i både bug- og rygleje.

MR-skannings-protokol

Til MRK bør der anvendes en moderne MR-skanner, hvor hurtige gradienter og spoler muliggør en snittykkelse på 2-3 mm. Af hensyn til rekonstruktion bør tredimensionale sekvenser optimeres til maksimal opløsning. Maksimal opløsning er også afhængig af MR-skanneren. Primært monitoreres fyldningen af colons lumen [1]. Herefter optages med T2- eller T1-vægtede billeder afhængigt af bright- eller dark lumen- metode. Efter indgift af intravenøs kontrast optages T1-vægtede billeder, således at det højvaskulariserede væv fremstår signalrigt (ligner CT efter intravenøs kontrast).

Billedanalyse

Behandling af højopløsnings tredimensionelle data forudsætter en hurtig computer som arbejdsstation.

Planar rekonstruktion

På grund af tredimensionelle data kan anatomien blive gennemgået interaktivt på arbejdstationen. Med det tilsvarende software kan man lave planar rekonstruktion, dvs. vise todimensionelle snitbilleder i de ønskede retninger og i de ønskede tykkelser. Da MR-metoden har en god kontrast mellem forskellige væv, er det en fordel ved planar rekonstruktion at kunne observere ekstraluminal patologi og abnorme processer ved at gennemse colon i flere forskellige planer.

Virtuel koloskopi

Intraluminal morfologi kan undersøges med »virtuel koloskopi«-datarekonstruktion [23]. Ved hjælp af computerteknologi kan billederne omdannes til tredimensionelle billeder, således at tarmens overflade kan gennemses som ved en »almindelig« koloskopi. Metoden giver et billede, der ligner det optiske billede i et endoskop.

Kliniske resultater
Screening for kolorektale tumorer

Sensitiviteten af MRK er i nærheden af eller over sensitiviteten for konventionel koloskopi for polypper ≥ 1 0 mm (Tabel 1 ). Ved næsten samtlige evalueringer er der anvendt konventionel koloskopi som guldstandard, men i en undersøgelse [27] er polypfund ved MRK kontrolleret både ud fra endoskopiske og operative fund.

Koloskopi som reference medfører i sig selv bias, idet oversete polypper og karcinomer giver mulighed for en underestimering af den sande sensitivitet og specificitet ved MRK. Ved konventionel koloskopi sker der i op til 5-10% af tilfældene en fejlvurdering af polypstørrelsen, ligesom lokalisationen ofte fejlvurderes [32]. Dette er også med til at forvrænge bedømmelsen af MR-undersøgelsen, da polypper i de publicerede undersøgelser registreres som falsk positive, hvis deres størrelse eller lokalisation er forkert i forhold til polypper fundet ved konventionel koloskopi.

Der er kun få større, prospektive, kliniske undersøgelser af sensitivitet og specificitet ved MRK (Tabel 1). Specificiteten pr. patient er lav i enkelte af undersøgelserne. Hvis MRK var standardundersøgelsen i et større screeningsprogram, ville dette medføre unødvendige koloskopier. Falsk positive fund skyldes ofte dårlig udrensning (hvis der ikke bruges fæcesmærkning), utilstrækkelig distention og væske eller mucosafolder, som ligner polypper. Den samlede sensitivitet påvirkes af den lave sensitivitet for polypper < 10 mm. Fokuseres der kun på polypper ≥ 10 mm, er undersøgelsen lige så pålidelig som koloskopi og langt mere følsom og specifik end eksempelvis en røntgenundersøgelse af colon.

Størstedelen af de hidtidige undersøgelser lider af svagheder i form af selektiv patientrekruttering, forhåndsviden om abnormiteter hos patienterne og manglende vurdering af intra- og interobservatørvariation. Kun i få af undersøgelserne har patienterne ikke fået diagnosticeret polypper eller tumorer før den virtuelle koloskopi. Endvidere foreligger der kun få randomiserede studier, ligesom metodevalget ikke er konsistent med hensyn til skanningsparametre, udrensning et cetera. I mange af opgørelserne i litteraturen med CT-/MR-kolografi er der angivet sensitivitet pr. polyp (Tabel 1) [33, 34]. Dette er imidlertid mindre relevant i kliniske studier. Ved at udregne sensitiviteten pr. polyp begår man en grundlæggende statistisk fejl, såkaldt wrong sampling bias, ved at tælle samme patient med flere gange, såfremt der findes mere end en polyp i (samme) colon. Den sande sensitivitet beskriver sandsynligheden for at finde en eller flere polypper hos en patient og ikke sandsynligheden for at finde alle polypper hos samme patient. Når der med MRK er fundet en polyp over en vis størrelse, bør dette udløse en efterfølgende terapeutisk koloskopi. Sensitivitet med hensyn til større polypper er så høj i nogle studier, at en klinisk anvendelse venter lige om hjørnet. Det må antages, at sensitiviteten for mindre polypper forbedres i de nærmeste år.

MRK kan vise sig at være værdifuld ved præoperativ stadieinddeling af cancer. Ved præoperativ stadieinddeling med CT-kolografi blev 81% af cancerne således vurderet korrekt, hvilket har præ- og postoperative terapeutiske konsekvenser. Tilsvarende resultater forventes med MRK [35].

Diagnostik ved inflammatorisk tarmsygdom

MR anvendtes i stigende omfang til diagnostik af tyndtarmsforandringer ved Crohns sygdom [1, 13, 14]. I de senere år er MRK, som benytter planar rekonstruktionsdataanalyse, også blevet anvendt ved IBD i colon [10, 12-14, 36]. Ved IBD koncentreres interessen om de tre kriterier: tykkelsen af colonvæg [10, 14, 37], tarmforsnævring og øget optagelse af kontrast givet intravenøst [10, 14, 38, 39]. Intensitetsstigningen i inflammeret tarmvæg er mindst dobbelt så stor som i en rask tarmvæg, hvilket giver metoden en høj sensitivitet. Tarmforsnævring og colonvægtykkelsen korrelerer med de inflammatoriske ændringer. Desuden er det muligt at identificere inflammerede tarmområder i jejunum og den proksimale ileum, som det kan være problematisk at finde med den konventionelle koloskopi [14]. Intensitetsstigningen er dog afhængig af sygdomsaktiviteten på undersøgelsestidspunktet. Det er derfor ikke mærkeligt, at Schreyer et al [13] fandt, at der er lige så mange publikationer, som viser en god korrelation mellem MR og Crohns sygdom-aktivitetsindeks (CDAI), som publikationer, der viser ringe korrelation. Området er således langtfra færdigudforsket.

Der forligger ikke opgørelse r, der er fokuseret på anvendelsen af virtuel koloskopi ved IBD. Ved virtuel koloskopi finder man kun intraluminal morfologi med detaljer > 5 mm [13]. Derfor kan små colonoverfladedeformationer og erosioner ikke erkendes visuelt.

Fordele og perspektiver ved MRK

De umiddelbare fordele ved MRK er, at det er en ikkeinvasiv metode, undersøgelsestiden er kort, og sedering er unødvendig, hvilket gør det muligt for patienterne at tage hjem umiddelbart efter undersøgelsen i stedet for at optage sengeplads, indtil sederingen ophører. Desuden må det antages, at næsten alle patienter finder MRK langt mindre ubehagelig end koloskopi og røntgenundersøgelse af colon, da man i flere studier har fundet dette for CT-kolografi [27, 40]. Hvis MRK i fremtiden vil kunne foretages uden foregående udrensning, vil patientkompliansen stige yderligere, da flertallet af patienterne angiver, at udrensningen før koloskopi er det mest ubehagelige ved undersøgelsen. MRK kan endvidere - i modsætning til konventionel røntgenundersøgelse - foretages umiddelbart før eller efter en koloskopi.

En anden væsentlig fordel ved MRK frem for CT-kolografi er, at patienter spares for stråledosis. Selv om det ved CT-kolografi er muligt at bruge lavere stråledoser end ved en almindelig CT, og selv om doserne kun er ca. halvt så store som ved en røntgenundersøgelse af colon, kan der ved gentagne undersøgelser, f.eks. som led i en screening eller hos en IBD-patient, alligevel blive tale om ret betragtelige doser.

Af tekniske fordele kan nævnes muligheden for at se retro/antegradt for derved at opdage patologiske forandringer, der er skjult bag mucosafolder. Herudover eksisterer muligheden for at vurdere morfologiske ændringer, herunder vægtykkelse og diameter af lumen, samt lokalisation af mulig patologi i forhold til ekstraluminale kendemærker. Desuden åbner MRK mulighed for vurdering af ekstraintestinale patologiske forandringer, specielt med brug af intravenøs kontrast.

MRK har også ulemper og svagheder, som skal minimeres/ fjernes, før metoden kan vinde generelt indpas. Indtil videre er metoden dyr, men den eksplosive teknologiske udvikling vil formentlig gradvis afhjælpe dette. Herudover er der stadig tekniske problemer med artefakter og utilstrækkelig billedmæssig opløsning, hvilket betyder, at små patologiske forandringer kan blive overset. Residualluft og fæces volder stadig problemer, ligesom dårligt dilaterede segmenter af colon på grund af mangelfuld indhældning også er problematisk. Dette er dog afhjulpet betydeligt ved brugen af dark lumen- metoden og fæcesmærkning. Det er endnu uafklaret, hvilke fordele og ulemper tilfældige ekstraintestinale fund kan få.

MRK er endnu kun i sin vorden, men med de hastige teknologiske fremskridt vil fremtiden formentlig snart bringe yderligere forbedringer af teknikken. Allerede nu sker der udvikling med henblik på bedre fækal »mærkning«, øget billedopløsning og kraftigere skannere, som muliggør billeddannelse af hele abdomen på under 30 sekunder. Herudover vil mulig computerassisteret diagnostik være en hjælp til undersøgeren i forbindelse med polypdetektion ved monitorering af colonvæggens tykkelse, så man dermed kan være opmærksom ved patologiske forandringer. I takt med udviklingen af nye og forfinede teknikker har MRK potentialet til at blive et af fremtidens diagnostiske værktøjer. Det er dog nødvendigt med yderligere forskning, herunder randomiserede undersøgelser.


Elizaveta Chabanova, Afdelingen for Diagnostisk Radiologi 54E2, Amtssygehuset i Herlev, DK-2730 Herlev.
E-mail: elcha@herlevhosp.kbhamt.dk

Antaget: 7. maj 2005

Interessekonflikter: Ingen angivet

  1. Luboldt W, Morrin MM. MR colonography: status and perspective. Abdom Imag 2002;27:400-9.
  2. Schoenberger AW, Bauerfeind P, Krestin GP et al. Virtual colonoscopy with magnetic resonance imaging: in vitro evaluation of a new concept. Gastroenterology 1997;112:1863-70.
  3. Debatin JF, Schoenberger AW, Luboldt W et al. In vivo exoscopic and endoscopic MR imaging of the colon. Am J Radiol 1997;169:1085-8.
  4. Statens institut for medicinsk teknologivurdering. Kræft i tyk- og endetarm. Diagnostik og screening. Medicinsk Teknologivurdering 2001;3:1.
  5. Eide TJ. Natural history of adenomas. World J Surg 1991;15:3-6.
  6. Kronborg O, Fenger C. Clinical evidence for the adenoma-carcinoma sequence. Eur J Cancer Prev 1999;8:S73-S86.
  7. Cirocco WC, Rusin LC. Factors that predict incomplete colonoscopy. Dis Colon Rectum 1995;38:964-8.
  8. Bowles CJ, Leicester R, Romaya C et al. A prospective study of colonoscopy practice in the UK today: are we adequately prepared for national colorectal cancer screening tomorrow? Gut 2004;53:277-83.
  9. Winawer SJ, Stewart ET, Zauber AG et al. A comparison of colonoscopy and double-contrast barium enema for surveillance after polypectomy. National Polyp Study Work Group. N Engl J Med 2000;342:1766-72.
  10. Sardanelli F, Cicco EDe, Renzetti P et al. Double-contrast magnetic resonance examination of ulcerative colitis. Eur Radiol 1999;9:875-9.
  11. Satsangi J, Sutherland LR. Inflammatory bowel diseases. Philadelphia: Churchill Livingstone, 2003:1-792.
  12. Low RN, Sebrechts CP, Politoske DA et al. Crohn disease with endoscopic correlation: single-shot fast spin-echo gadolinium enhanced fat-suppressed spoiled gradient-echo MR imaging. Radiology 2002;222:652-60.
  13. Schreyer AG, Seitz J, Feuerbach S et al. Modern imaging using computer tomography and magnetic resonance imaging for inflammatory bowel disease. Inflamm Bowel Dis 2004;10:45-54.
  14. Narin B, Ajaj W, Göhde S et al. Combined small and large bowel MR imaging in patients with Crohn's disease: a feasibility study. Eur Radiol 2004;14: 1535-42.
  15. Weishaupt D, Patak MA, Fröhlich J et al. Faecal tagging to avoid colonic cleansing before MRI colonography. Lancet 1999;354:835-6.
  16. Lauenstein T, Holtmann G, Schoenfelder D et al. MR colonography without colonic cleansing: a new strategy to improve patient acceptance. Am J Roentgenol 2001;177:823-7.
  17. Lauenstein TC, Goehde SC, Ruehm SG et al. MR colonography with barium-based fecal tagging: initial clinical experience. Radiology 2002;223:248-54.
  18. Luboldt W, Frohlich JM, Schneider N et al. MR colonoscopy: optimised enema composition. Radiology 1999;212:265-9.
  19. Luboldt W, Bauerfeind P, Wildermuth S et al. Contrast optimisation for assessment of the colonic wall and lumen in MR colonography. J Magn Res Imaging 1999;9:745-50.
  20. Ajaj W, Dabetin JF, Lauenstein T. Dark-lumen MR colonography. Abdom Imag 2004;29:429-33.
  21. So NMC, Lam WWM, Mann D et al. Feasibility study of using air as a contrast medium in MR colonography. Clin Rad

Referencer

  1. Luboldt W, Morrin MM. MR colonography: status and perspective. Abdom Imag 2002;27:400-9.
  2. Schoenberger AW, Bauerfeind P, Krestin GP et al. Virtual colonoscopy with magnetic resonance imaging: in vitro evaluation of a new concept. Gastroenterology 1997;112:1863-70.
  3. Debatin JF, Schoenberger AW, Luboldt W et al. In vivo exoscopic and endoscopic MR imaging of the colon. Am J Radiol 1997;169:1085-8.
  4. Statens institut for medicinsk teknologivurdering. Kræft i tyk- og endetarm. Diagnostik og screening. Medicinsk Teknologivurdering 2001;3:1.
  5. Eide TJ. Natural history of adenomas. World J Surg 1991;15:3-6.
  6. Kronborg O, Fenger C. Clinical evidence for the adenoma-carcinoma sequence. Eur J Cancer Prev 1999;8:S73-S86.
  7. Cirocco WC, Rusin LC. Factors that predict incomplete colonoscopy. Dis Colon Rectum 1995;38:964-8.
  8. Bowles CJ, Leicester R, Romaya C et al. A prospective study of colonoscopy practice in the UK today: are we adequately prepared for national colorectal cancer screening tomorrow? Gut 2004;53:277-83.
  9. Winawer SJ, Stewart ET, Zauber AG et al. A comparison of colonoscopy and double-contrast barium enema for surveillance after polypectomy. National Polyp Study Work Group. N Engl J Med 2000;342:1766-72.
  10. Sardanelli F, Cicco EDe, Renzetti P et al. Double-contrast magnetic resonance examination of ulcerative colitis. Eur Radiol 1999;9:875-9.
  11. Satsangi J, Sutherland LR. Inflammatory bowel diseases. Philadelphia: Churchill Livingstone, 2003:1-792.
  12. Low RN, Sebrechts CP, Politoske DA et al. Crohn disease with endoscopic correlation: single-shot fast spin-echo gadolinium enhanced fat-suppressed spoiled gradient-echo MR imaging. Radiology 2002;222:652-60.
  13. Schreyer AG, Seitz J, Feuerbach S et al. Modern imaging using computer tomography and magnetic resonance imaging for inflammatory bowel disease. Inflamm Bowel Dis 2004;10:45-54.
  14. Narin B, Ajaj W, Göhde S et al. Combined small and large bowel MR imaging in patients with Crohn's disease: a feasibility study. Eur Radiol 2004;14: 1535-42.
  15. Weishaupt D, Patak MA, Fröhlich J et al. Faecal tagging to avoid colonic cleansing before MRI colonography. Lancet 1999;354:835-6.
  16. Lauenstein T, Holtmann G, Schoenfelder D et al. MR colonography without colonic cleansing: a new strategy to improve patient acceptance. Am J Roentgenol 2001;177:823-7.
  17. Lauenstein TC, Goehde SC, Ruehm SG et al. MR colonography with barium-based fecal tagging: initial clinical experience. Radiology 2002;223:248-54.
  18. Luboldt W, Frohlich JM, Schneider N et al. MR colonoscopy: optimised enema composition. Radiology 1999;212:265-9.
  19. Luboldt W, Bauerfeind P, Wildermuth S et al. Contrast optimisation for assessment of the colonic wall and lumen in MR colonography. J Magn Res Imaging 1999;9:745-50.
  20. Ajaj W, Dabetin JF, Lauenstein T. Dark-lumen MR colonography. Abdom Imag 2004;29:429-33.
  21. So NMC, Lam WWM, Mann D et al. Feasibility study of using air as a contrast medium in MR colonography. Clin Radiol 2003;58:555-9.
  22. Ajaj W, Lauenstein T, Pelster G et al. MR colonography: how does air compare to water for colonic distention? J Magn Reson Imag 2004;19:216-21.
  23. Rogalla P, Meiri N, Bartram CI. Virtual endoscopy of the colon. I: Rogalla P, Terwisscha van Scheltinga J, Hamm B, red. Virtual endoscopy and related 3d techniques. Berlin: Springer-Verlag, 2002:101-57.
  24. Luboldt W, Luz O, Vonthein R et al. Three-dimensional double-contrast MR colonography: a display method simulating double-contrast barium enema. Am J Roentgenol 2001;176:930-2.
  25. Luboldt W, Steiner P, Bauerfeind P et al. Detection of mass lesions with MR colonography: preliminary report. Radiology 1998;207:59-65.
  26. Luboldt W, Bauerfeind P, Wildermuth S et al. Colonic masses: detection with MR colonography. Radiology 2000;216:383-8.
  27. Pappalardo G, Polettini E, Frattaroli FM et al. Magnetic resonance colonography versus conventional colonoscopy for the detection of colonic endoluminal lesions. Gastroenterology 2000;119:300-4.
  28. Lauenstein TC, Herborn CU, Vogt FM et al. Dark lumen MR-colonography: initial experience. Rofo Fortschr Geb Rontgenstr Neuen Bildgeb Verfahr 2001;173:85-9.
  29. Meier C, Wildermuth S. Feasibility and potential of MR-Colonography for evaluating colorectal cancer. Swiss Surg 2002;8:21-4.
  30. So NM, Lam WW, Mann D et al. Feasibility study of using air as a contrast medium in MR colonography. Clin Radiol 2003;58:555-9.
  31. Ajaj W, Pelster G, Trechel U et al. Dark lumen magnetic resonance colonography: comparison with conventional colonoscopy for the detection of colorectal pathology. Gut 2003;52:1738-43.
  32. Gopalswamy N, Shenoy VN, Choudhry U et al. Is in vivo measurement of size of polyps during colonoscopy accurate? Gastrointest Endosc 1997;46:497-502.
  33. Royster AP, Fenlon HM, Clarke PD et al. CT colonoscopy of colorectal neoplasms: two-dimensional and three-dimensional virtual-reality techniques with colonoscopic correlation. Am J Roentgenol 1997;169:1237-42.
  34. Fenlon HM, Nunes DP, Clarke PD et al. Colorectal neoplasm detection using virtual colonoscopy: a feasibility study. Gut 1998;43:806-11.
  35. Morrin MM, Farell RJ, Raptopoulos V et al. Role of virtual computed tomography in patients with colorectal cancers and obstructing colorectal lesions. Dis Colon Rect 2000;43:303-11.
  36. Hansmann HJ, Hess T, Hahmann M et al. MRI in chronic inflammatory bowel disease. Rofo Fortschr Geb Rontgenstr Neuen Bildgeb Verfahr. Rofo Fortschr 2001;173:4-11.
  37. Gourtsoyannis N, Papanikolau N, Grammatikalis J et al. Assessment of Crohn's disease activity in the small bowel with MR and conventional enteroclysis: preliminary results. Eur Radiol 2004;14:1017-24.
  38. Schunk K, Kern A, Oberholzer K et al. Hydro-MRI in Crohn's disease: appraisal of disease activity. Invest Radiol 2000;35:431-7.
  39. Maccioni F, Viscido A, Brogila L et al. Evaluation of Crohn's disease with magnetic resonance imaging. Abdom Imaging 2000;25:219-28.
  40. Svensson MH, Svensson E, Lasson A et al. Patient acceptance of CT colonography and conventional colonoscopy: prospective comparative study in patients with or suspected of having colorectal disease. Radiology 2002;222:337-45.