Skip to main content

Magnetisk resonans-skanning i neuropædiatrien

Overlæge John R. Østergaard, overlæge Thorkil Christensen & professor Peter O. Schøitz Århus Universitetshospital, Skejby Sygehus, Børneafdelingen og MR-Centret

1. nov. 2005
10 min.

Såvel med X-ray computed tomography (CT) som magnetic resonance imaging (MR-skanning) er det muligt at følge hjernens udvikling, modning og eventuel nedbrydning in vivo. Størstedelen af de neuropædiatriske sygdomme, der er relateret til centralnervesystemet, udvikles enten præ- eller perinatalt eller har deres årsag i modningsmæssige eller degenerative forstyrrelser. CT og MR-skanning spiller således som diagnostisk redskab en betydelig rolle i forbindelse med udredningen af disse sygdomme.

Gennem mange år var CT den eneste modalitet, som billeddiagnostisk kunne tilbydes. Inden for de seneste år har man i stedet anvendt MR-skanning i mange cerebrale undersøgelser. Over for CT er MR-skanning kendetegnet ved, at man ikke gør brug af ioniserende stråling. Endvidere kan man med MR-skanning visuelt erkende såvel normalanatomi som patologi i alle tænkelige planer, og kontrastforskelle mellem normalt og patologisk væv kan optimeres teknisk. Hertil kommer, at man med MR-skanning har mulighed for mere specifikt at karakterisere en eventuel patologi [1]. Inden for neuropædiatrien har MR-skanning derfor store fordele frem for CT. De begrænsende faktorer i brugen af MR-skanning er dels begrænset kapacitet, men også i forhold til CT et øget behov for at foretage undersøgelsen under sedation/anæstesi, hvilket i sig selv er vanskeligt i et magnetfelt. Til påvisning af en kraniefraktur og til bedømmelse af kraniesynostoser er CT stadig altid nødvendig. Det samme gør sig gældende til påvisning af mikroforkalkninger. I den akutte situation, hvor der er behov for en skanning inden for få timer til afklaring af tilstedeværelsen af en akut blødning eller en tumor vil man ofte primært vælge en CT.

I denne artikel beskrives MR-skanningens rolle, idet der er lagt vægt på udvalgte områder af neuropædiatrien, hvor MR-skanning bør foretrækkes primært, idet den i disse situationer er CT langt overlegen.

Strukturelle misdannelser

Centralnervesystemets udvikling kan som bekendt groft inddeles i seks faser, neurolations-: kanalisations-, proliferations-, migrations-, organisations- og myeliniseringsfasen, hver med sine karakteristiske udviklingsanomalier. De hyppigst forekommende luknings- og kanalisationsanomalier, encefalocele, myelomeningocele, Dandy-Walker-malformation og holoprosencefali volder ikke de store diagnostiske vanskeligheder og kan afsløres ved både CT og MR-skanning [1]. MR-skanning er dog at foretrække i disse udredninger, da man ved CT har svært ved visuelt at erkende fossa posterior- og midtlinjeforandringer detaljeret, og man med MR-skanning i modsætning til CT kan afsløre, om der er ledsagende udviklingsforstyrrelser i faserne 3-6. Ud fra de strukturelle forandringer kan man fastslå tidspunktet for en eventuelt udefrakommende påvirkning. Er udviklingsforstyrrelsen betinget af en genetisk defekt, vil der ofte ske en påvirkning af flere faser i hjernens udvikling, hvilket resulterer i, at der eksempelvis både er migrationsdefekter og myelinforandringer [2]. Typeinddeling af migrationsdefekter, hvilket kun er muligt at foretage med MR, er essentiel i den neuropædiatriske udredning. Dels er migrationsdefekter hyppigt forekommende ved mental retardering, epilepsi og cerebral parese, dels er nogle mønstre syndromspecifikke [2].

Neonatalperioden

Den primære billeddiagnostiske undersøgelse i neonatalperioden er og bliver ultralydskanning. Imidlertid er der en række situationer, hvor anden billeddiagnostik ønskes som supplement til ultralydskanningen.

En hyppig årsag til neonatale kramper er hypoksisk-iskæmisk encefalopati. Herudover er der tale om strukturelt, metabolisk, infektiøs, abstinensudløst eller familiært betingede anfaldsfænomener. En grundig anamnese, klinisk vurdering, parakliniske undersøgelser inklusive lumbalpunktur er essentiel, men er årsagsforholdene usikre, spiller MR-skanning en vigtig rolle. Det kan dreje sig om strukturelle misdannelser, tegn på intrauterin infektion eller specifikke syndromforandringer (Figur 1 ). MR-skanning giver et væsentligt bidrag til en hurtig diagnostisk afklaring, hvilket i nogle situationer kan få behandlingsmæssige konsekvenser, allerede mens barnet ligger på neonatalafsnittet. I tilfælde af hypoksisk-iskæmisk hjernepåvirkning kan omfanget af de hypoksiske skader påvises umiddelbart efter skadens optræden med MR-skanning ved hjælp af såkaldte diffusionsoptagelser (en afbildning af vandets molekylbevægelser) [1] (Figur 2 ). Med spektroskopi kan man bedømme graden af neurontab og graden af anaerobt stofskifte [1], hvilket er vigtige prognostiske indikatorer. Undertiden afslører man med spektroskopien abnorme metabolitter, og det kan i disse situationer give en vigtig vejledning i påvisningen af en metabolisk sygdom. CT bør som hovedregel ikke anvendes i neonatalperioden undtagen i helt specielle tilfælde for at påvise store, behandlingskrævende blødninger på tidspunkter, hvor der ikke er mulighed for at foretage en MR-skanning.

Mental retardering

Årsagerne til mental retardering skal primært findes i den præ- og perinatale periode. Det drejer sig om en relativ stor patientgruppe. Langtfra alle sygdomme, der medfører mental retardering, opdages ved metaboliske, elektrofysiologiske eller genetiske undersøgelser [3]. I store retrospektive undersøgelser har man vist, at CT har diagnostisk værdi hos omkring 30% af børnene med mental retardering. MR-skanning giver positivt resultat hos 50-70%, størst mulighed er der i de tilfælde, hvor der er ledsagende mikro- eller makrocefali, dysmorfologi, neurologiske udfald eller i de tilfælde, hvor der er anfaldsfænomener som epilepsi og dystoni [3]. Ud over at MR-skanning kan giver oplysninger om eventuelle strukturelle forandringer, kan man ved undersøgelsen vise specielle forandringer i den hvide substans, som det kan ses det ved nogle specifikke syndromer. Van der Knaap et al [4] har gennem en lang årrække minutiøst undersøgt forandringer i den hvide substans set ved MR-skanning og har derigennem kunnet definere arvelige sygdomsenheder, som man ikke tidligere har kunnet erkende [4]. Et øget kendskab til og forståelse af de forandringer i såvel den grå som den hvide substans, der undertiden afsløres med MR-skanning, vil betyde, at årsagen til mental retardering i fremtiden oftere kan afklares.

Sandsynligheden for at erkende ætiologiske bagvedliggende sygdomme ved mental retardering er meget større ved brug af MR-skanning end ved f.eks. metaboliske eller genetiske undersøgelser, hvorfor billeddiagnostiske undersøgelser rekommanderes som et væsentligt element i udredningen af mental retardering [3].

Cerebral parese

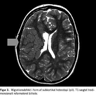
Med MR-skanning har man unikke muligheder for at afklare årsagen til cerebral parese. Med MR-skanning kan man meget sikkert differentiere imellem migrationsdefekter (Figur 3 ) og anoksiskader opstået sent antenatalt eller perinatalt i form af porencefali og periventrikulær leukomalaci.

Epilepsi

En MR-skanning er førstevalg i den billeddiagnostiske udredning af epilepsi [5]. CT kan anvendes i den akutte situation, hvor barnet indbringes efter det første anfald med efterfølgende neurologiske udfald. Dette for at udelukke tumor eller blødning. I alle andre situationer bør MR-skanning anvendes som primær metode, idet den er langt mere sensitiv, når migrationsdefekter, små benigne tumorer, anoksiskader og karmalformationer skal erkendes visuelt [5]. Strukturelle hippocampusforandringer ses endvidere kun ved MR-skanning. Kvantificering af hippocampusgliose i form af volumetri, spektroskopi og relaksometri er vigtige undersøgelser før en eventuel epilepsikirurgi.

Neurokutane sygdomme

Generelt er MR-skanning mere følsom end CT til diagnosticeringen af tuberøs sklerose (TS), neurofibromatosis Recklinghausen, type 1 og type 2 (NF-1 og NF-2). Med CT får man i de fleste situationer en god fremstilling af opticusgliom ved NF-1. I den primære udredning af denne sygdom er man ved MR-skanning i stand til, foruden at påvise et eventuelt opticusgliom, visuelt at erkende de såkaldte unidentified bright objects (UBO'er), der viser sig som højsignalforandringer typisk i cerebellum og basalganglierne. De repræsenterer umoden hvid substans og er langt den hyppigste cerebrale manifestation ved NF-1. De erkendes kun sjældent ved CT. Med MR-angiografi kan man afsløre en eventuelt ledsagende intrakranial kardysplasi. De bilaterale acusticusneurinomer ved NF-2 kan sjældent diagnosticeres med CT. Med CT påvises kun kortikale og subependymale tubera ved TS, hvis de er forkalkede. Med MR-skanning kan man detektere selve den bløddelsforandring, som en tuber er, hvorfor MR-skanning er bedst egnet i den primære diagnostik, og i øvrigt hvis man ønsker en nærmere redegørelse for antallet af tubera og deres lokalisation [6]. Udbredelsen af de leptomeningeale forandringer ved Sturge Webers sygdom vurderes bedst med MR-skanning. En billedmæssig påvisning af de meget sjældne neurokutane sygdomme hypomelanosis of Ito og incontinentia pigmenti kan kun foretages med MR-skanning, idet migrationsdefekter og hvid substans-forandringer kan påvises ved disse to sygdomme.

Infektioner

Klinik, spinalvæskefund og elektroencefalogram er vigtige parametre i udredningen af encefalitis. Billeddiagnostik er efterfølgende vigtig i differentieringen af, om der er tale om en primær eller en sekundær encefalitis eller eventuelt en meningoencefalitis. Ved primær encefalitis er kortex involveret, mens den hvide substans er involveret ved de sekundære encefalitisformer [7]. Højsignalforandringer lokaliseret såvel i den hvide substans som i de basale kerner ses ved akut dissemineret encefalomyelitis (ADEM). ADEM er en særlig og hyppig forekommende undergruppe af de postinfektiøse encefalitformer. Med indførelsen af MR-skanning, som er CT langt overlegen i disse situationer, har man opnået langt bedre og sikrere diagnosticerings- og behandlingsgrundlag end tidligere [7].

Metaboliske og degenerative sygdomme

Antallet af metaboliske og degenerative sygdomme er mangfoldigt, hvorimod den enkelte sygdom er sjælden. MR-skanning har en stigende rolle i udredningen af disse [8]. Ud fra det kliniske billede kan klinikeren få mistanke om, at den grå eller den hvide substans er primært afficeret, og om at sygdommen primært involverer hemisfærerne, cerebellum eller måske basalganglierne (Figur 4 ). Med MR-skanning kan man påvise fordelingen af eventuelle strukturelle forandringer, hvilket sammen med de kliniske fund kan danne en solid basis for en snæver supplerende metabolisk eller genetisk udredning. En supplerende spektroskopi kan give vigtige informationer, der indsnævrer de diagnostiske stier yderligere. Nogle af de degenerative sygdomme, hvoraf ikke alle kan påvises ved gentest eller biokemiske analyser, udviser særlige signalændringer, hvor specifikke MR-skanningsfund kan være patognomiske og derfor medvirkende til, at man kan stille en sjælden diagnose in vivo [4, 9]. Fører MR-skanningen ikke primært til en endelig diagnose, kan man ofte med fordel gentage skanningen 1-2 år senere.

Stroke

I den akutte fase anvendes CT ofte med henblik på at udelukke et hæmatom. I den situation er CT og MR-skanning ligeværdige, men det er mindre kompliceret at foretage en CT i den akutte situation. Såfremt der ikke påvises en blødning, er næste trin en MR-skanning, med hvilken man er i stand til at påvise infarktforandringer allerede inden for den første time, såfremt undersøgelsen suppleres med specielle teknikker (diffusionsoptagelser). I disse situationer vil man altid supplere med en MR-angiografi for at få indtryk af okklusionens eller stenosens lokalisation. En detaljeret fremstilling af de iskæmiske forandringer sammen med de angiografiske fund kan give værdifulde oplysninger om, hvorvidt der er tale om mere sjældne sygdomme som f.eks. vaskulitis, sinus trombose eller mitokondrieencefalopati karakteriseret af laktatacidose og stroke (MELAS) [10].

Konklusion

Man kan i dag stille flere specifikke diagnoser med MR-skanning i den store gruppe af patienter, der ikke tidligere fik en entydig diagnose. Med tiltagende brug af MR-skanning vil et stigende antal børn med udviklingsproblemer kunne få en mere specifik diagnose, og vores viden om årsagssammenhænge vil stige. Der forestår et stort arbejde med at registrere MR-skanningsfund og kliniske fund hos diagnostisk uafklarede patienter for herigennem at kunne definere nye sygdomsenheder. Klinisk er spektroskopiske undersøgelser kun i sin spæde, men lovende start. Betydelig længere fremme er de såkaldte diffusionsundersøgelser. Perfusionsundersøgelser er i dag teknisk mulige at foretage, men man mangler afprøvning i et pædiatrisk klientel. Det samme gør sig gældende for funktionel MR-skanning. Da der er tale om meget sjældne sygdomme, er det vigtigt, at der foregår et meget tæt samarbejde på tværs af amtsgrænser neuropædiatere og neurologisk interesserede radiologer imellem. Dette er forudsætningen for at udnytte og ikke mindst udbygge de enorme diagnostiske muligheder, der ligger i brugen af MR-skanning.


Summary

Magnetic resonance imaging in neuropediatrics

Ugeskr Læger 2005;167:382-385

The majority of the CNS diseases in childhood develop either pre- or perinatally or are related to diseases concerning the maturation or degeneration of the brain. Advances in neuroimaging, especially MRI, have had a significant impact on diagnostic evaluation in children with neurological diseases. We describe the significance of MRI in the majority of the neurological diseases in childhood, focusing especially on those where MRI is more sensitive than CT. An optimal use of the new and evolving modalities of imaging requires a close working relationship between neuropediatricians and neuroradiologists, and such investigations should be centralised to a small number of specialised centres.


John R. Østergaard, Pædiatrisk Afdeling A, Skejby Sygehus, Århus Universitetshospital, DK-8200 Århus N.

E-mail: joa@sks.aaa.dk

Antaget: 18. marts 2004

Interessekonflikter: Ingen angivet

Summary

Summary Magnetic resonance imaging in neuropediatrics Ugeskr Læger 2005;167:382-385 The majority of the CNS diseases in childhood develop either pre- or perinatally or are related to diseases concerning the maturation or degeneration of the brain. Advances in neuroimaging, especially MRI, have had a significant impact on diagnostic evaluation in children with neurological diseases. We describe the significance of MRI in the majority of the neurological diseases in childhood, focusing especially on those where MRI is more sensitive than CT. An optimal use of the new and evolving modalities of imaging requires a close working relationship between neuropediatricians and neuroradiologists, and such investigations should be centralised to a small number of specialised centres.

Referencer

  1. Hoon AH Jr, Melhem ER. Neuroimaging: applications in disorders of early brain development. J Dev Behav Pediatr 2000;21:291-302.
  2. Sarnat HB. Central nervous system malformations: gene locations of known human mutations. Eur J Paediatr Neurol 2003;7:43-5.
  3. Shevell M, Ashwal S, Donley et al. Practice parameter: Evaluation of the child with global developmental delay. Neurology 2003;60:367-80.
  4. Van der Knaap MS, Breiter SN, Naidu S et al. Defining and categorizing leukoencephalopathies of unknown origin: MR imaging approach. Radiology 1999;213:121-33.
  5. Berg AT, Testa FM, Levy SR et al. Neuroimaging in children with newly diagnosed epilepsy: A community-based study. Pediatrics 2000;106:527-32.
  6. Inoue Y, Nemoto Y, Murata R et al. CT and MR imaging of cerebral tuberous sclerosis Brain Dev 1998;20:209-21.
  7. Wingerchuck DM. Postenfectious encephalomyelitis. Curr Neurol Neurosci Rep 2003;3:256-64.
  8. Kahler GS, Fahey MC. Metabolic disorders and mental retardation. Am J Med Genet 2003;117C:31-41.
  9. Østergaard JR, Christensen T, Hansen KN. In vivo diagnosis of Hallervorden- Spatz disease. Dev Med Child Neurol 1995;37:827-33.
  10. Scully, RE, Mark EJ, McNeely WF et al. Case 39 - 1988. N Engl J Med 1998;339:1914-23.