Skip to main content

Malignt melanom med metastaser til hjertet

Martin Frydland, Hanne Elming & Ole Ahlehoff

16. jun. 2014
4 min.

Primær cancer i hjertet forekommer sjældent med en incidens på ca. 0,05% [1], hvorimod sekundære tumorer i hjertet forekommer langt hyppigere med en incidens på op imod 1% [2]. Malignt melanom (MM) udgør et voksende sundhedsproblem blandt unge kaukasider med en incidens i Nordeuropa på ca. 5:100.000 og en årlig incidensforøgelse på 3-7% [3]. I obduktionsstudier er det påvist, at MM metastaserer til hjertet i > 50% af tilfældene – ofte uerkendt [4].

SYGEHISTORIER

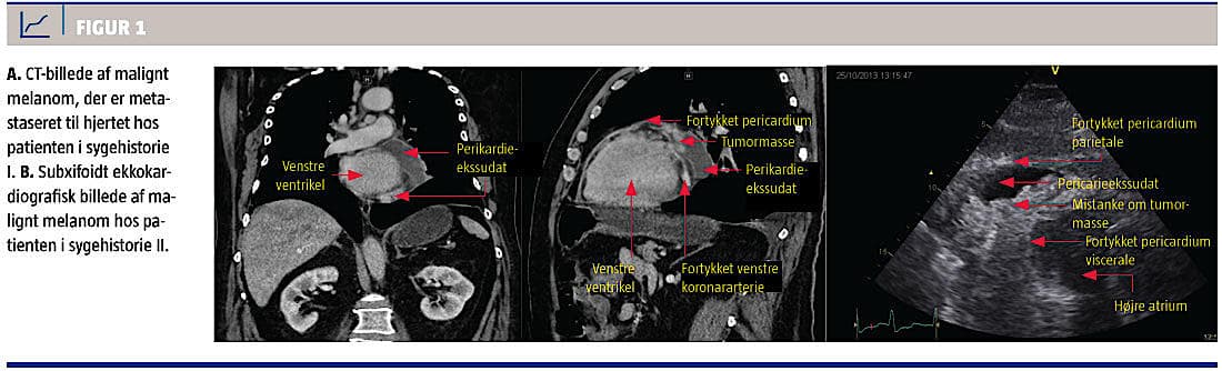
I. En 66-årig mand med colitis ulcerosa og type 2-diabetes blev i 2012 behandlet med kurativt sigte for et MM ved venstre clavicula uden tegn til spredning. Han blev mindre end et år senere indlagt med tiltagende dyspnø og brystsmerter gennem 14 dage. Initialt havde man mistanke om lungeemboli pga. forhøjet D-dimer (6,5 mg/l, referenceværdi: < 0,5 mg/l), elektrokardiogram, der viste inverterede T-takker i V2-V4, og klinisk mistanke om dyb venetrombose. Mistanken om lungeemboli blev frafaldet efter normale fund ved CT af thorax. Ekkokardiografisk fandt man en venstre ventrikel-uddrivningsfraktion (LVEF) på 35%, ingen klapsygdom, men et hæmodynamisk ubetydende perikardieekssudat (PE). Troponin I-niveauet var 139 mM (referenceværdi: < 14 mM), og der var forhøjelse af det C-reaktive proteinniveau (49 mg/l, referenceværdi: < 8,0 mg/l) samt leukocytose (13,0 × 109/l, referenceværdi: 3,5-8,8 × 109/l). En koronarangiografi viste normale koronarkar, og ud fra en samlet betragtning stilledes diagnosen perimyokarditis. Patienten fik i dagene efter symptomforværring og arytmi i form af intermitterende atrieflimren og perioder med sinoatrialt blok. En fornyet ekkokardiografi viste betydeligt tiltagende PE og påvirkning af hjertes fyldning. Man foretog derfor perikardiecentese med udtømning af 1 l hæmoragisk væske. Trods udtømning fik han tiltagende arytmiproblemer herunder ventrikulær takykardi og klinisk hjertestop med succesfuld genoplivning. Arytmitendensen bedredes under amiodaronbehandling.

De cytologiske undersøgelser af PE viste metastasering af v-raf murine sarcoma viral oncogene homolog B1 (BRAF)-positivt MM. CT af thorax, abdomen og cerebrum viste ingen spredning fraset til perikardiet (Figur 1A). Man så ikke fornyet PE, men patienten fik vanskeligt behandlelig ventrikulær takykardi, multiple lungeembolier samt multiorgansvigt og afgik ved døden.

II. En 68-årig tidligere rask mand fik i 2010 diagnosticeret MM ved venstre scapula med lokal lymfeknudespredning, som blev excideret med kurativt sigte.
Patologisvar viste BRAF-mutation. Han blev efterfølgende kontrolleret hver tredje måned og ca. to år senere konstaterede man lokalrecidiv, som igen blev excideret. Ved en PET-CT afviste man yderligere metastasering.

Ca. et halvt år efter konstaterede man fornyet kutan metastase på venstre humerus. En PET-CT viste nu mere diffus spredning til flere lymfeknuder, lunger og hud. Man betragtede derfor sygdommen som dissemineret og henviste patienten til onkologisk vurdering og behandling, hvilket indebar påbegyndelse af interferon- og interleukin-2-behandling. Han klagede over dyspnø, og man fandt bradykardi ned til 36 slag/minut. Han blev derfor vurderet i kardiologisk regi, hvor man ved ekkokardiografi fandt en LVEF på 15-20% med ukendt ætiologi. Pga. hjertesvigt seponerede man interleukin-2. Han blev henvist til kardiologisk ambulatorium og samtidig sat i behandling med vemurafenib (BRAF-proteinkinasehæmmer).

Patienten blev nogle måneder senere indlagt med hurtig atrieflimren og forværring af hjerteinsufficiens. Han havde gennem nogle måneder haft tiltagende dys- og ortopnø. En ekkokardiografi viste nu LVEF 5-10% samt et hæmodynamisk ubetydeligt PE og et malignitetssuspekt, ekkorigt epikardielt element (Figur 1B). Han blev frekvensreguleret og udskrevet i sin habituelle tilstand efter nogle dage. Han blev i efter udskrivelsen fulgt i onkologisk og kardiologisk ambulant regi med stationær sygdom.

DISKUSSION

MM er en sjælden cancerform, der har en hastigt stigende incidens blandt yngre personer i Norden. Sygdommen er karakteriseret ved ukontrolleret proliferation af atypiske melanocytter i epidermidis. Der er identificeret adskillige potentielle onkogener, herunder BRAF, der har pådraget sig særlig opmærksomhed, idet behandling med en BRAF-kinasehæmmer har vist sig at gavne overlevelsen ved metastaserende MM [5]. Diagnosticering af MM med kardial involvering kan være vanskelig pga. den uklare kliniske og parakliniske præsentation. Patienter, der tidligere har haft MM og får kardiopulmonale symptomer, bør derfor på lav tærskel henvises til kardiologisk udredning mhp. diagnosticering af evt. spredning til hjertet.

Korrespondance: Martin Frydland, Istedgade 121, 2. th., 1650 København V. E-mail: martin.frydland@me.com

Antaget: 18. marts 2014

Publiceret på Ugeskriftet.dk: 16. juni 2014

Interessekonflikter: ingen.

Summary

Malignant melanoma with metastatic melanoma to the heart

Primary cancer of the heart is rare with an incidence of approximately 0.05%. Secondary tumours are more frequent with an incidence up to 1%. Malignant melanoma (MM) is causing an increasing health concern among young, white, Caucasians with an increasing incidence in Northern Europe of 5:100.000 so far. In autopsy-studies MM have shown a metastasis rate to the heart higher than 50%. We present two case stories with metastatic melanoma to the heart. Physicians addressing patients presenting with cardiac symptoms and a history of MM should be aware of the possibility of cardiac metastasis.

Referencer

LITTERATUR

  1. Reynen K. Frequency of primary tumors of the heart. Am J Cardiol 1996;77:107.

  2. Lam KY, Dickens P, Chan AC. Tumors of the heart. Arch Pathol Lab Med 1993;117:1027-31.

  3. Diepgen TL, Mahler V. The epidemiology of skin cancer. Br J Dermatol 2002;146(suppl 61):1-6.

  4. Glancy DL, Roberts WC. The heart in malignant melanoma. Am J Cardiol 1968;21:555-71.

  5. Kunz M. Oncogenes in melanoma. Eur J Cell Biol 31. dec 2013 (epub ahead of print).