Skip to main content

Målrettet behandling af mundhulekræft

Reservelæge Anders Bilde & overlæge Christian von Buchwald

14. mar. 2008
3 min.

Incidensen af mundhulekræft i Danmark er ca. 300 nye tilfælde om året, hvoraf størstedelen er planocellulære karcinomer. Mundhulekræft er omfattet af den nye 48-timers-garanti, og behandlingen heraf er blevet opprioriteret på landets øre-næse-hals-kirurgiske afdelinger. Mundhulekræft er generelt en lokoregional sygdom, hvilket vil sige, at kræften primært findes i lokalisationen af primærtumoren og de regionale lymfeknuder, mens fjernmetastaser primært til lungerne på diagnosetidspunktet er sjældne. Risikoen for subklinisk lymfeknudemetastasering i tilfælde af klinisk ikkeerkendelige metastaser angives at være 30% [1]. Betydningen af subklinisk metastasering kendes ikke, men tilstedeværelsen af lymfeknudemetastaser betyder generelt en reduktion af femårsoverlevelsen med 50%. Behandlingen af de tidlige stadier af mundhulekræft i henhold til de nationale retningslinjer er kirurgi med excision af primærtumoren foruden en dissektion af halsens lymfeknuder med henblik på påvisning af lymfeknudemetastaser [2]. Imidlertid medfører denne behandling, at ca. 70% af patienterne overbehandles.

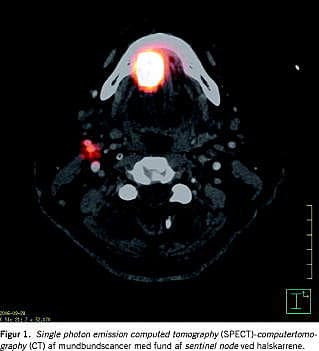
Den første lymfeknude, som modtager lymfedrænagen fra primærtumoren, benævnes sentinel node (SN), på dansk vogter- eller skildvagtknude, fjernelse af den er en ny kirurgisk behandlingsmetode. SN antages at være den lymfeknude, der har størst sandsynlighed for at modtage metastaser fra primærtumoren [3]. Enten dagen før operationen eller samme dag injiceres der radioaktivt mærkede partikler peritumoralt, hvorefter SN identificeres ved brug af lymfeskintigrafi, evt. med single photon emission computed tomography (SPECT)-computertomography (CT) (Figur 1 ), hvorved den præcise lokalisation fastsættes. De ved lymfoskintigrafien fundne SN identificeres under operationen ved brug af en håndholdt gammaprobe, hvorefter de eksstirperes og sendes til histologisk undersøgelse. SN undersøges efterfølgende minutiøst histologisk ved brug af tynde seriesnit og supplerende immunhistokemi, til identifikation af mikrometastaser foruden isolerede tumorceller. Teknikken er velkendt i behandlingen af modermærkekræft og brystkræft.

Behandlingen muliggør en målrettet behandling af halsens lymfeknuder og er med til at individualisere behandlingen, således at alene de patienter, som har lymfeknudemetastaser herunder mikrometastaser, får foretaget en efterfølgende fuld dissektion af halsens lymfeknuder.

Patienter med mundhulekræft får p.t. behandlingen tilbudt på Plastikkirurgisk Afdeling, Odense Universitetshospital, og Øre-Næse-Halskirurgisk Klinik, Rigshospitalet. For bedre at kunne vurdere om implementering af SN-biopsiteknikken reducerer antallet af halsdissektioner, søges metoden etableret som en national protokol under Danish Head and Neck Cancer Group (DAHANCA). De danske resultater indgår allerede i en større international protokol under European Organisation for Research and Treatment of Cancer (EORTC).



Korrespondance: Anders Bilde , Øre-næse-halskirurgisk Klinik, afsnit 2071, Rigshospitalet, DK-2100 København Ø. E-mail: bilde@rh.dk

Interessekonflikter: Ingen

Referencer

  1. Ferlito A, Devaney KO, Devaney SL et al. What is the incidence of occult metastasis in patients with stage N(0) cancers of the head and neck? ORL J Otorhinolaryngol Relat Spec 2001;63:1-5.
  2. Bilde A, von Buchwald C, Johansen J et al. The Danish national guidelines for treatment of oral squamous cell carcinoma. Acta Oncol 2006;45:294-9.
  3. Morton DL, Wen DR, Wong JH et al. Technical details of intraoperative lymphatic mapping for early stage melanoma. Arch Surg 1992;127:392-9.