Månedens billede


Natalia Grundtvig E-mail: grundtvig26@gmail.com & Sanne Nielsen Radiologisk Afdeling, Odense Universitetshospital, Svendborg Sygehus Ugeskr Læger 2014;176:V65175
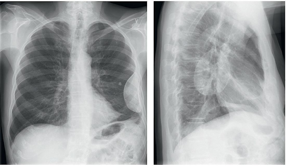
En røntgenoptagelse af thorax i to planer med patienten stående viser en 10 × 4 × 7,5 cm stor halvkugleformet, velafgrænset, pellucid forandring i venstre thoraxvæg lateralt. Forandringen var et tilfældigt fund hos en 83-årig mand, der var henvist pga. langvarig hoste, og behandlingen er en historisk kirurgisk metode, oleothorax.
I første halvdel af 1900-tallet var kollapsterapi af lungetuberkulose udbredt. Formålet var at skabe iatrogen atelektase af den afficerede lungelap via kirurgiske procedurer, hvilket førte til lukning og heling af tuberkulosekavernerne i den kollaberede lungedel [1]. Metoderne var torakoplastik med excision af de øverste 6-8 costae, iatrogen pneumothorax, frenikolyse med destruktion af n. phrenicus, hvilket førte til ipsilateral diafragmaparalyse, ekstrapleural plombering med inert materiale såsom fedt, pingpongbolde, paraffinvoks eller olivenolie [2]. Man oplevede såvel tidlige som sene komplikationer, bl.a. blødninger, ekstrapleural spredning af tuberkulose, infektioner, fisteldannelse og migrering af materiale. De kirurgiske procedurer blev fravalgt efter implementeringen af antibiotikaterapi [2].
Hos denne patient blev der foretaget en succesfuld behandling, da der ses en 6 mm stor parenkymforkalkning lige medialt for »plomben«, hvilket er foreneligt med helet tuberkulosefokus.
Interessekonflikter: