Skip to main content

Månedens billede

Kristoffer Lindskov Hansen E-mail: lindskov@gmail.com & Ming-Yuan Nielsen Billeddiagnostisk Afdeling, Hillerød Hospital

11. jan. 2013
2 min.

En 21-årig kvinde blev indlagt akut på mistanke om infarkt efter en uges hovedpine samt tiltagende parese og paræstesier i venstre underekstremitet.

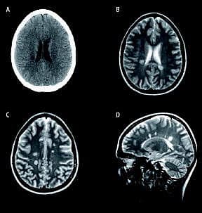
Computertomografi (CT) af cerebrum viste to hypodense områder omkring 1 cm store i højresidig corona radiata og centrum semiovale uden opladning efter kontrastindgift ( A ). Efterfølgende magnetisk resonans (MR)-skanning viste på T2-vægtet optagelse hyperintense, ovoide forandringer op til 1 cm store i hvid substans periventrikulært ( Dawson fingers ) og i corpus callosum med opladning i en enkelt forandring efter kontrastindgift ( B + C + D ). Forandring-erne blev tolket som en akut, demyeliniserende lidelse suspekt for multipel sklerose (MS) [1]. Spinalvæsken viste let forhøjet immunglobulin G-indeks, men fravær af oligoklonale bånd, hvilket er foreneligt med en autoimmun reaktion, der disponerer for udvikling af MS.

Sensitivitet for påvisning af plaques i cerebrum ved MR-skanning og CT er henholdsvis 95% og 38%, hvor alle CT-påviste plaques også ses med MR [2]. Efter initial CT, der ofte er udført i den helt akutte fase, er MR førstevalg ved billeddiagnostisk udredning og opfølgning af patienter med demyeliniserende forandringer og formodet eller verificeret MS.

Ved CT-påviste hypodense forandringer i hvid substans og relevante resultater af klinisk undersøgelse hos især yngre patienter, skal MS overvejes som diffentialdiagnose, og supplerende MR-skanning tilrådes.

INTERESSEKONFLIKTER: Forfatternes ICMJE-formularer er tilgængelige sammen med artiklen på Ugeskriftet.dk

Redigeres af: Tove Agner, Margrethe Herning, Jens Otto Lund og Peter Skinhøj.

Referencer

  1. Traboulsee AL, Li DK. The role of MRI in the diagnosis of multiple sclerosis. Adv Neurol 2006;98:125-46.
  2. Achten E, Deblaere K. Health technology assessment on the use of magnetic resonance imaging (MRI) and computed tomography (CT) in the diagnosis of multiple sclerosis (MS) and clinically isolated syndromes (CIS). Eur J Radiol 2008;65:211-3.