Skip to main content

Månedens billede

Caroline Ewertsen, e-mail: caroline.ewertsen@dadlnet.dk, Dorte Levin Pedersen, Eva Fallentin, Radiologisk Klinik, Rigshospitalet, André Wettergren, Kirurgisk-gastroenterologisk Klinik C, Abdominalcentret, Rigshospitalet

1. apr. 2011
2 min.

En 80-årig mand, der havde fået reseceret et T4-adenokarcinom i colon, fik foretaget leverresektion af tre metastaser. Proceduren var ukompliceret. Patienten havde komorbiditet i form af Parkinsons sygdom, kronisk obstruktiv lungesygdom, tidligere bypassoperation og lungeembolier. Han var i behandling med magnyl, prednisolon og nonsteroide antiinflammatoriske præparater (NSAID).

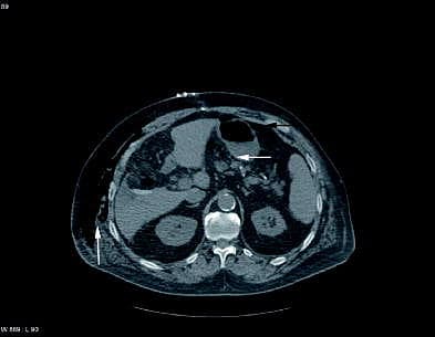
To dage efter operationen blev der bemærket luft i sugedrænet, hvilket tolkedes som falsk luft fra en drænsamling. Luftmængden tiltog, og på tredjedagen postoperativt blev der foretaget akut computertomografi (CT) af abdomen. CT'en viste store mængder fri luft intraabdominalt, en smule luft i lille sæk og subkutant emfysem. Patienten fik foretaget eksplorativ laparotomi, og man fandt et perforeret ulcus på bagsiden af ventriklen højt på curvatura minor.

Subkutant emfysem og luft i sugedrænet er en sjælden manifestation af fri intraabdominal luft. Risikoen for perforeret ulcus skal haves in mente ved kirurgi hos patienter, der er i behandling med NSAID, magnyl og prednisolon [1].

Billedet viser en CT af abdomen. Vandret hvid pil: luft i lille sæk, vandret sort pil: fri intraabdominal luft, lodret hvid pil: subkutant emfysem.

Månedens billede redigeres af: Tove Agner, Margrethe Herning, Jens Otto Lund, Margit Mantoni og Peter Skinhøj

Referencer

  1. Malfertheiner P, Chan FKL, McCall KEL. Peptic ulcer disease. Lancet 2009;374:1449-61.