Månedens billede


Heidi Kammerlander E-mail:heidikammerlander@gmail.com Gynækologisk og Obstetrisk Afdeling, Sydvestjysk Sygehus, Esbjerg
Lars Koch Hansen Kardiovaskulær og Renal Forskningsenhed, Syddansk Universitet, Odense Ugeskr Læger 2014;176:V63813
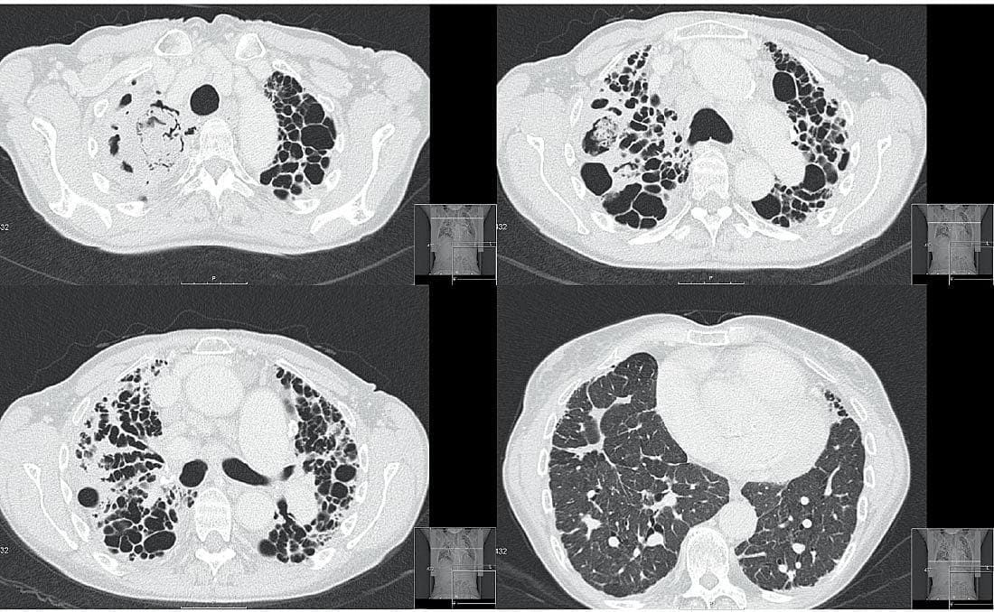
Der blev foretaget en CT af thorax hos en 64-årig kvinde, der havde haft sarkoidose gennem 20 år. Sygdommen blev initialt diagnosticeret ved lymfeknudebiopsi fra mediastinum, forhøjet niveau af S-angiotensinkonverterende enzym, radiologiske forandringer og udelukkelse af differentialdiagnoser.
Billedet viser snit fra fire niveauer, hvor man ser forandringer svarende til lungesygdom i sidste stadium. Apikalt ses der svære fibrotiske forandringer med »bikagetegning« og cystiske forandringer.
I mediastinum ses forstørrede glandler. Basalt ses lungevæv med mere normalt udseende.
Trods de meget svære forandringer var hendes ventilatoriske kapacitet relativt velbevaret med forceret eksspiratorisk volumen i første sekund (FEV1)
på 1,7 l og forceret vitalkapacitet (FVC) på 1,9 l svarende til henholdsvis 67% og 65% af forventet værdi. Ifølge Tiffeneauindex (FEV1/FVC) på 0,87 er der således tale om en restriktiv lungesygdom.
Sarkoidose er en multiorgansygdom, der typisk viser sig i 20-40–årsalderen [1]. Ætiologien er ukendt, men sygdommen er kendetegnet ved ikke-nekrotiserende granulomer i de involverede organer. Lungerne er hyppigst (> 90%) involveret ved diagnosetidspunktet [2]. Hos ca. 20% af patienterne med et kronisk forløb udvikles der lungefibrose [3, 4].
INTERESSEKONFLIKTER:
Iannuzzi MC, Rybicki BA, Teirstein AS. Sarcoidosis. N Engl J Med 2007;357: 2153-65.
Baughman RP, Teirstein AS, Judson MA et al. Clinical characteristics of patients in a case control study of sarcoidosis. Am J Respir Crit Care Med 2001;164:1885-9.
Crystal RG, Roberts WC, Hunninghake GW et al. NIH conference. Pulmonary sarcoidosis: a disease characterized and perpetuated by activated lung T-lymphocytes. Ann Intern Med 1981;94:73-94.
Criado E, Sanchez M, Ramirez J et al. Pulmonary sarcoidosis: typical and atypical manifestations at high-resolution CT with pathologic correlation. Radiographics 2010;30:1567-86.