Markant symptomlindring efter aspiration af en stor simpel nyrecyste


Jakob Kristian Jakobsen,e-mail: jkjakobsen@gmail.com, Ernst Øyvind Østraat, Urinvejskirurgisk Afdeling, Aarhus Universitetshospital, Arne Hørlyck, Billeddiagnostisk Afdeling, Aarhus Universitetshospital & Nina Madsen, Billeddiagnostisk Afdeling, Regionshospitalet Randers Ugeskr Læger 2015;177:V66287
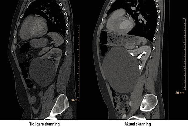
En 59-årig mand med dilateret aorta ascendens, mekanisk aotaklap og hypertension blev indlagt akut med smerter under venstre skulderblad. Han havde gennem flere måneder være plaget af træthed, synkebesvær, opkastninger, 5-6 natlige opvågninger med svedeture og uro, smerter i maven, begge ben, balder og lænderyg samt skiftende afføringsmønstre. Han havde ikke åndenød eller vandladningssymptomer. Ved undersøgelser fandt man normalt ekg, ekkokardiografi med en uddrivningsfraktion på > 70%, koronare iskæmimarkører i normalområdet og upåfaldende biokemi. En CT viste ingen progression af aortadilatationen, men størrelsestilvækst af en simpel venstresidig nyrecyste fra 6 cm fem år tidligere til nu 19 cm i diameter. Ved en ultralydvejledt aspiration blev der udtømt tre liter klar cystevæske. Tre uger senere kunne patienten fortælle om »et helt nyt liv«, hvor smerterne var fuldstændig forsvundet, fødeindtag og afføringsmønster normaliseret og nattesøvnen uafbrudt. Der blev planlagt en laparoskopisk masupialisering af cystesækken.
Simple nyrecyster er den hyppigste benigne nyresygdom, som findes hos 41% af alle voksne [1]. Oftest er tilstanden symptomfri og uden klinisk betydning. I sjældne tilfælde kan tilstanden forårsage hypertension og smerte. Ved udtømning alene er toårsrecidivfrekvensen 80%, og den falder ved laparoskopisk masupialisering til 2% [2-5].
Interessekonflikter:
Carrim ZI, Murchison JT. The prevalence of simple renal and hepatic cysts detected by spiral computed tomography. Clin Radiol 2003;58:626-9.
Hanna RM, Dahniya MH. Aspiration and sclerotherapy of symptomatic simple
renal cysts: value of two injections of a sclerosing agent. Am J Roentgenol 1996;167:781-3.
Bryniarski P, Kaletka Z, Zyczkowski M et al. Ten-year treatment outcomes including blood cell count disturbances in patients with simple renal cysts. Med Sci Monit 2013;19:518-23.
Kilinc M, Tufan O, Guven S et al. Percutaneous injection sclerotherapy with tetracycline hydrochloride in simple renal cysts. Int Urol Nephrol 2008;40:609-13.
Shao Q, Xu J, Adams T et al. Comparison of aspiration-sclerotherapy versus laparoscopic decortication in management of symptomatic simple renal cysts. J Xray Sci Technol 2013;21:419-28.