Massiv solitær fibrøs intratorakal tumor fremstod som primær lungekræft


Iman Badreldin1, Christian Lysne2, Karen Ege Olsen3, Jatinder Singh Sidhu4, Carsten Sloth1 & Kirsten Neckelmann5
Solitære fibrøse tumorer (SFT) er sjældne og oftest benigne, mesenkymale neoplasier, der udgør ca. 4% af bløddelstumorer [1]. De kan forekomme i alle aldre, men præsenterer sig sædvanligvis i 50-60-årsalderen og er hovedsageligt lokaliseret intratorakalt og intraabdominalt [2]. Intratorakale SFT er ofte asymptomatiske, men kan også give uspecifikke symptomer i form af hoste, dyspnø, brystsmerter samt kompressionssymptomer [1]. Kirurgi er den eneste kurative behandling [2].
En 75-årig mand, kendt med hypertension, hyperkolesterolæmi, 45 pakkeår samt tidligere, akut myokardieinfarkt (> 10 år siden), blev henvist af egen læge til kræftpakkeforløb efter en røntgenundersøgelse af thorax, som viste en stor proces i venstre lunges underlap. Patienten havde gennem fire måneder haft hoste og et utilsigtet vægttab på 10 kg.
Objektivt fandt man patienten kakektisk og med udtalt svækket almentilstand, performancestatus 3 og et forceret eksspiratorisk volumen i første sekund på 80% af forventet normalværdi. Blodprøverne var præget af patientens pneumoni med forhøjede infektionstal.
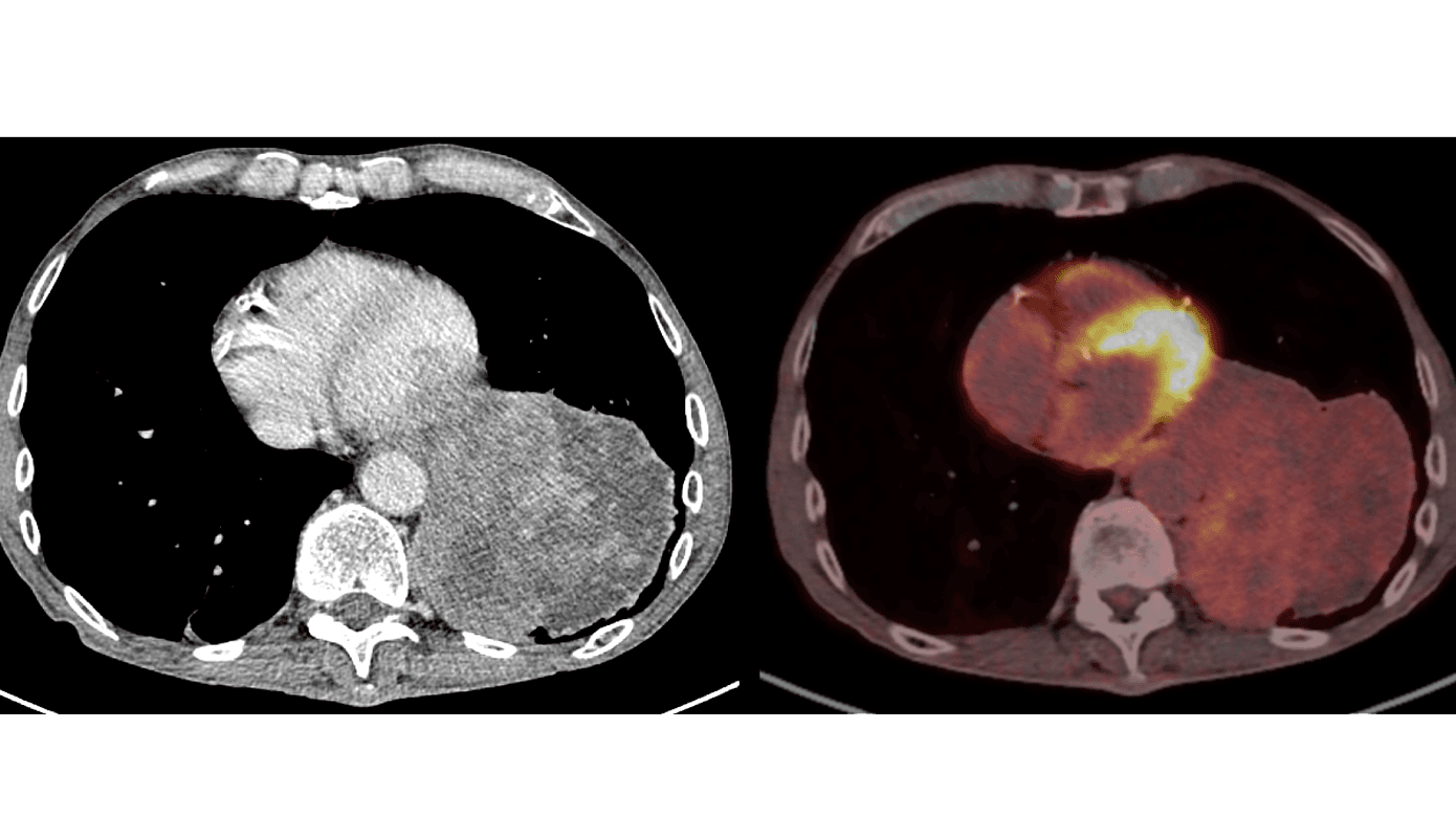
CT viste en heterogen tumorproces, der inddrog næsten hele venstre underlap uden tegn til invasion af de omgivende strukturer (Figur 1A). PET med lavdosis-CT viste kun svag fluordeoxyglukose (FDG)-optagelse forenelig med lavmalign proces (Figur 1B). De efterfølgende nålebiopsier fra tumoren blev vurderet bedst forenelige med SFT.
Grundet patientens svækkede almentilstand anså man operation som risikofyldt, men at undlade operation ville under alle omstændigheder være fatalt. Der blev foretaget venstresidig torakotomi med lobektomi af venstre underlap. Tumoren målte 12,5 × 11,5 × 8 cm og vejede 1,7 kg. Patienten var kredsløbsinstabil under operationen, men var i klar fremgang, efter at trykket fra tumoren på cor og de store kar blev lettet. Histologi og immunhistokemi var forenelige med en SFT uden mistanke om indvækst i pleura og uden lymfeknudemetastaser. Ud fra WHO-klassifikationen fra 2020 opfyldte tumoren kriterierne for en tumor med intermediær risiko for at metastasere [3].
Patienten overgik til et kontrolforløb med halvårlig CT af thorax i op til to år, og derefter årlig CT-kontrol. Ved seksmånederskontrollen var han i god almentilstand med vægtstigning til sin habituelle vægt, fortsat let dyspnøisk, men ikke begrænset i sin hverdag, og han havde performancestatus 0. CT af thorax var uden tegn til recidiv.
I denne sygehistorie gav patientens symptomer samt røntgen- og CT-fund mistanke om symptomatisk avanceret lungekræft, som ses langt hyppigere end SFT og ofte er inoperabel på diagnosetidspunktet. Patientens tumor voksede delvist helt ud til pleura, men der var ikke set tumorvæv på den pleurale overflade ved den histologiske undersøgelse. Det kan dog ikke udelukkes, at tumoren kan være udgået fra pleura (SFTP), da SFTP udgør størstedelen af de intratorakale SFT og til tider kan ligne tumorer udgående fra lungeparenkym [2, 4].
På grund af tumorernes variable udseende og forskellige lokalisationer i thorax kan CT-fund ved SFTP være diagnostisk udfordrende. Større SFTP er typisk heterogene, som hos patienten i sygehistorien, og i disse tilfælde kan både benigne og maligne SFTP minde om andre maligne processer [4]. PET-CT kan muligvis bidrage til at differentiere mellem SFTP og andre maligne lidelser, og mindre studier har vist svagere FDG-optagelse ved maligne SFTP sammenlignet med andre maligne tumorer i thorax [4]. En endelig diagnose kræver dog histologisk bekræftelse [1].
Tumorernes biologiske adfærd er uforudsigelig, og histologisk benigne SFTP kan endda recidivere og metastasere [1]. Desuden kan senrecidiver forekomme op til 20 år efter primær resektion af tumoren, og i litteraturen anbefales der derfor langvarig opfølgning, men der findes ikke evidensbaserede guidelines for opfølgning [1]. Ikke desto mindre er den overordnede prognose bedre end for mange adenokarcinomer [2].
Lav performancestatus og svækket almen tilstand hos patienter med lungetumorer er associeret med øget postoperativ risiko og kan føre til afståelse fra videre udredning og operation. Sikker og kurativ kirurgisk behandling er dog mulig ved SFTP til trods for lav performancestatus [5]. I denne sygehistorie viste tumoren sig ikke at være højmalign, og patientens dårlige almentilstand var formentlig forårsaget af tryk fra tumoren mod de øvrige organer, herunder oesophagus og cor.
Udredning og kirurgisk behandling af SFTP bør således overvejes på trods af lav performancestatus og høj alder, og SFTP bør haves in mente som differentialdiagnose hos patienter med en lungetumor.
Korrespondance Iman Badreldin. E-mail: badreldin.iman@gmail.com
Antaget 31. maj 2023
Publiceret på ugeskriftet.dk 10. juli 2023
Interessekonflikter ingen. Forfatternes ICMJE-formularer er tilgængelige sammen med artiklen på ugeskriftet.dk
Referencer findes i artiklen publiceret på ugeskriftet.dk
Artikelreference Ugeskr Læger 2023;185:V02230079
Iman Badreldin, Christian Lysne, Karen Ege Olsen, Jatinder Singh Sidhu, Carsten Sloth & Kirsten Neckelmann
Ugeskr Læger 2023;185:V02230079
Solitary fibrous tumours (SFT) are rare soft tissue tumours with a primarily benign course. Complete surgical resection is the mainstay treatment. In this case report, a 75-year-old man had a massive intrathoracic SFT which was subsequently surgically resected without complications. Although the clinical presentation and CT features of these tumours can mimic lung cancer, the clinical course is significantly more favourable. Diagnostic examination and surgical treatment of intrathoracic SFT should be considered even in patients with increased post-operative risk.