Skip to main content

Mediastinal cyste som årsag til dårlig trivsel hos en ti måneder gammel dreng

Fanny Edit Maria Hård1, Cristel Maria Sørensen Hjortshøj2, Hilde Hylland Uhlving1, Per Albertsen1, Morten Helvind3 & Inger Merete Jørgensen1

24. sep. 2018
4 min.

Lymfatiske malformationer (LM) ses hos ca. en ud af 5.000 nyfødte [1]. Hovedparten, 70-80%, diagnosticeres i kraniocervikalområdet. De øvrige 20% findes i aksilregionen, det superiore mediastinum, mesenteriet, den retroperitoneale region, bækkenet eller underekstremiteterne [2]. Isoleret lokalisering i mediastinum
er meget sjælden. LM kan være associeret med kromosomanomalier som trisomi 21 og Turners syndrom
[1, 2].

SYGEHISTORIE

En ti måneder gammel dreng blev henvist til børneambulatoriet pga. dårlig trivsel og recidiverende nedre luftvejs-infektioner. Da drengen var fem uger, diagnosticerede egen læge på basis af lungestetoskopi pneumoni for første gang. Efterfølgende blev han behandlet med antibiotika for øvre og nedre luftvejs-infektioner i omtrent 100 dage. På tidspunktet for henvisning til ambulatoriet var han i behandling med spray-fluticasonpropionat og salbutamol samt tablet montelukast mod astmatisk bronkitis og jerndråber pga. jernmangelanæmi. Forældrene havde observeret cirkumoral cyanose og svedtendens i relation til måltider. Da han var ti måneder gammel, foretrak han fortsat at blive ammet. Han spiste begrænsede mængder fast føde og kastede op efter måltider. Han sov sjældent mere end tre timer ad gangen om natten. Ved den primære objektive undersøgelse fandtes en lille, spinkel dreng med vigende vækstkurve (8,53 kg (–1,41 SD)). Ved stetoskopi af hjertet hørtes kraftigt dæmpet hjertelyd, mens der ved lungestetoskopi hørtes ronchi og forlænget eksspiration.

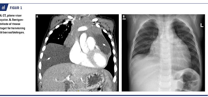
En røntgenoptagelse af thorax gav mistanke om et stort hjerte, der fyldte det meste af venstre thoraxhalvdel. Elektrokardiogrammet var normalt for patientens alder. En efterfølgende transtorakal ekkokardiografi viste en cystisk masse i den højre kardiofreniske vinkel med nær relation til perikardiet, hvilket dislokerede hjertet. En CT af thorax viste to store cyster indeholdende talrige septae i mediastinum (Figur 1). Den ene cyste (10,3 × 2,4 cm) displacerede thymus og omgav perikardiet. Den anden cyste (13,6 × 9,2 cm) strakte sig ind i højre hemithorax og komprimerede trachea i niveau med carina trachea. De tentative diagnoser efter CT var perikardiecyste, thymuscyste eller lymfangiom.

Cysterne blev ultralydvejledt dræneret for 200 ml væske med to pig tail-katetre. Den ene cyste indeholdt klar væske og den anden serosangvinøs væske. Væske fra begge cyster blev undersøgt cytologisk, histologisk og mikrobiologisk. Diagnosen var fortsat uafklaret.

Patienten blev udskrevet en uge efter proceduren, men genindlagt tre dage senere med respirationsbesvær og apnøer. En røntgenoptagelse af thorax viste progression og gendannelse af cysterne.

Syv uger efter den første konsultation i børneambulatoriet gennemgik patienten en ukompliceret sternotomi med total fjernelse af cysterne. En patologisk undersøgelse af vævet bekræftede diagnosen multicystisk LM. Kontrol-CT af thorax to måneder efter operationen viste ingen tegn til recidiv. Drengen begyndt derefter at spise fast føde og kom i bedre trivsel. Der var fortsat en del øvre luftvejs-infektioner, og han blev behandlet for astmatisk bronkitis.

DISKUSSION

LM er benigne tumorer, der er karakteriseret ved unormale cystiske kanaler i det lymfatiske system, og de er ofte multicystiske [2]. LM i mediastinum med tæt relation til hjertet er meget sjældne [3]. LM diagnosticeres oftest i de to første leveår, men kan være asymptomatiske i flere år. Mediastinale LM er i litteraturen hovedsageligt beskrevet som tilfældige fund hos voksne [3].
Indikationer for behandling er tilbagevendende infek-
tioner i cysterne, vejrtrækningsbesvær, dysfagi eller blødning inde i cysterne [1]. Sygehistorien illustrerer, at et barn, som har vedvarende luftvejssymptomer, patologisk stetoskopi allerede fra femugersalderen og dårlig trivsel kombineret med langvarig antibiotikabehandling, bør henvises i tidlig fase til videreudredning snarere end fortsat behandling af symptomer. Mediastinale LM er sjældne, men kan overvejes ved dårlig trivsel og et eller flere af følgende symptomer eller fund: forstørret hjerte set på røntgenoptagelse af thorax, hyppige nedre luftvejs-infektioner og behandlingsresistent astmatisk bronkitis. Tegn på luftvejskompression og/
eller mediastinale udfyldninger øger mistanken. I disse tilfælde anbefales videreudredning med ekkokardiografi og CT af thorax.

Korrespondance: Fanny Edit Maria Hård.
E-mail: fanny.haard@gmail.com

Antaget: 12. juli 2018

Publiceret på Ugeskriftet.dk: 24. september 2018

Interessekonflikter: ingen. Forfatternes ICMJE-formularer er tilgængelige sammen med artiklen på Ugeskriftet.dk

Summary

Fanny Edit Maria Hård, Cristel Maria Sørensen Hjortshøj,
Hilde Hylland Uhlving, Per Albertsen, Morten Helvind &
Inger Merete Jørgensen:

Mediastinal cystic component as cause of deviating growth in a ten-month-old boy

Ugeskr Læger 2018;180:V03180200

We present a case report of a ten-month-old boy, who was referred due to deviating growth and recurrent respiratory tract infections. Computed tomography of the thorax showed two large, cystic components in the mediastinum. He underwent surgical removal of the cysts. Pathological examination confirmed the diagnosis lymphatic malformation. This case illustrates that intrathoracic tumors such as lymphatic malformations, although rare, should be considered in children with deviating growth curves and respiratory problems. Rather than continuous symptomatic treatment children with symptoms early in life should be prompted in further investigations.

Referencer

LITTERATUR

  1. Perkins JA, Manning SC, Tempero RM et al. Lymphatic malformations: current cellular and clinical investigations. Otolaryngol Head Neck Surg 2010;142:789-94.

  2. Sierre S, Teplisky D, Lipsich J. Vascular malformations: an update on imaging and management. Arch Argent Pediatr 2016;114:167-76.

  3. Wright C, Cohen M, King DFL. Cystic hygroma: a report of three cases.
    J Pediatr Surg 1996;31:1430-2.