Mediastinalt emfysem efter tandudtrækning


Carolina Maria Helena Hilton E-mail: carro_hilton@hotmail.com Andreas Vejen Lønborg
Piotr Dominek & Even Nisja Ugeskr Læger 2018;180:V69348
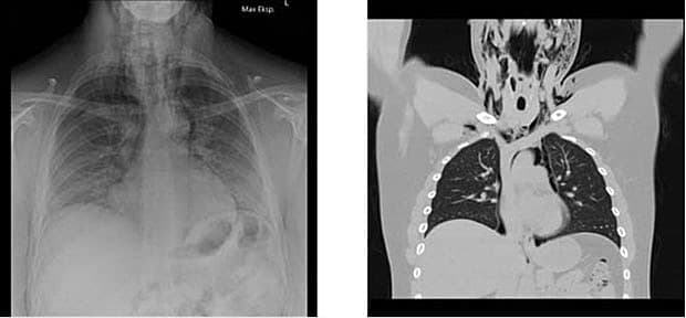
En 23-årig mand blev indlagt på mistanke om en allergisk reaktion. Han havde fået fjernet en molar i venstre underkæbe og herunder fået profylaktisk penicillin samt lokalbedøvelse. Få minutter efter proceduren tilkom der hævelse af venstre del af ansigtet, hvilket to timer senere blev kompliceret af dyspnø. Objektivt fandt man krepitation over kæbe, hals og øverste del af thorax på venstre side. En røntgenoptagelse af thorax viste luft i mediastinum. En akut CT
af thorax viste pneumomediastinum (PM). Man påbegyndte profylaktisk behandling med amoxicillin + clavulansyre og metronidazol. Efter fire dages observation på en intensivafdeling blev han udskrevet i velbefindende.
PM og/eller cervikofacialt emfysem (CE) efter dentale procedurer blev beskrevet første gang i 1900 [1]. Tilstanden er sjælden og begrænser sig oftest til CE. Siden 1960‘erne er PM/CE beskrevet ca. 100 gange [2], bl.a. i Danmark [3]. Oftest er der tale om udtrækning af molarer i underkæben, hvor der er brugt luftdrevne bor, der presser luft ned mellem fascielagene i kæben og halsen [4]. Behandlingen er
oftest konservativ med profylaktisk givet antibiotika [3].
Carolina Maria Helena Hilton
E-mail: carro_hilton@hotmail.com
Andreas Vejen Lønborg
Piotr Dominek
Akutafdelingen, Nykøbing F. Sygehus
Even Nisja
Klinik for Tand-, mund- og kæbekirurgi,
Rigshospitalet
Publiceret på ugeskriftet.dk: 29. januar 2018
Interessekonflikter: ingen.
Turnbull A. A remarkable coincidence in dental surgery. Br Med J 1900;1:1131.
Ban C. Severe cervicofacial emphysema and pneumomediastinum caused by a dental handpiece. N Y State Dent J 2016;82:22-5.
Bro SP, Thorn JJ, Larsen K. Emfysem på hoved-hals og i mediastinum efter brug af airrotor. Tandlægebladet 2015;119:828-30.
Arai I, Aoki T, Yamazaki H et al. Pneumomediastinum and subcutaneous emphysema after dental extraction detected incidentally by regular medical checkup: a case report. Oral Surg Oral Med Oral Pathol Oral
Radiol Endod 2009;107:e33-e38.