Meningeom som en sjælden årsag til underliggende klinisk stroke


Leslie Guadalupe Gozá Alfonso1, Ronald Antulov2 & Nataliya Alexandrova Toncheva1
Meningeomer som årsag til underliggende stroke er sjældent blevet beskrevet i den medicinske litteratur. Et meningeom er en langsomtvoksende tumor, hvor den langsomme væksthastighed på den ene side muliggør udvikling af betydelig kollateral cirkulation, mens intima media-tykkelse af a. carotis interna (ICA) på den anden side sædvanligvis yder betydelig modstand mod vaskulær kompromittering. Meningeomer udøver ikke tilstrækkelig ydre kraft til betydelig komprimering af arterievaskulaturen, hvorimod den venøse cirkulation let kan komprimeres eller skades. I sygehistorien beskrives et tilfælde, hvor en kvinde udviklede symptomer på hjerneiskæmi, og et meningeom ved processus clinoideus anterior (PCA) endelig blev fundet som årsag til symptomerne.
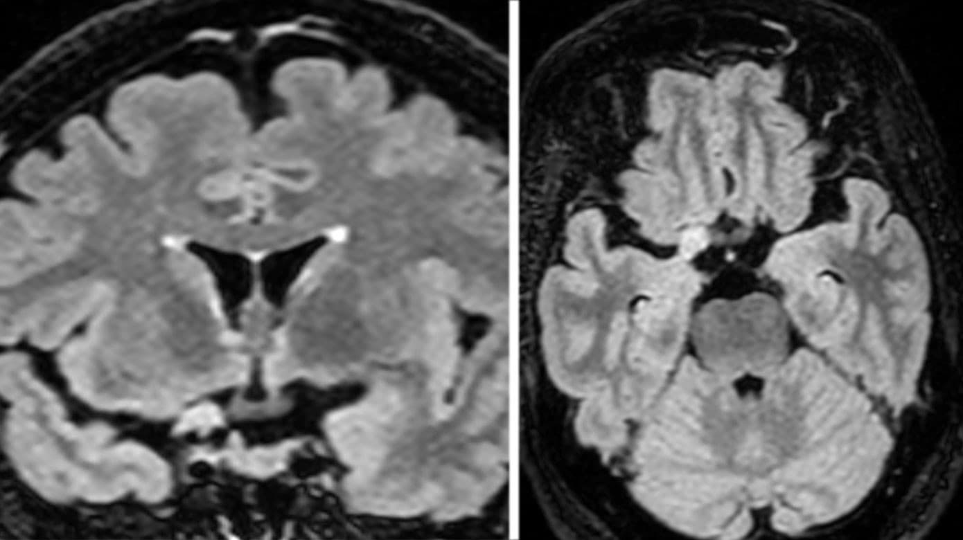
Patienten var en 54-årig kvinde, som tidligere var blevet diagnosticeret med hypertension og dyslipidæmi, havde haft to episoder af formodet vaskulær genese med ensidige sensomotoriske strokelignende symptomer og kraftig hovedpine. Man havde dengang fundet det i uoverensstemmelse med normale forhold på en MR-skanning af cerebrum Figur 1 A og B.
Patienten var nu blevet indlagt pga. pludseligt indsættende hovedpine, venstresidig kraftnedsættelse og hypæstesi. Objektivt fandtes atypiske kraftpræstationer. Ovennævnte og patientens tidligere sygdomshistorie rejste mistanke om en funktionel tilstand. Det blev initialt udredt med CT af cerebrum (CTC), hvor der sås normale hjerneforhold. Patienten fik trombolytisk behandling efter den formodede diagnose af akut iskæmisk stroke, og hendes kliniske status såvel som CTC dagen efter var upåfaldende.
Dog blev der set en ekstraaksial forandring lokaliseret i relation til sella turcica på højre side. Der blev derfor undersøgt med MR-skanning af cerebrum med angiografi (Figur 1 C-F), hvor der sås en lille proces i relation til højre PCA, hvilket var foreneligt med meningeom, og ud fra beskrivelsen kunne det ses, at meningeomet også var synligt på de tidligere MR-skanninger, men var blevet overset. Der fandtes normale blodprøver og ingen halskaranomalier, kardial embolikilde, arytmi eller hyperkoagulable tilstande. Knap tre mdr. senere blev der foretaget kirurgisk fjernelse af et højresidigt meningeom ved PCA. Den seneste opfølgning var 16 mdr. efter indgrebet, og her var patienten symptomfri.
Meningeomer er kendt for deres potentiale til at omslutte ICA, indsnævre dets lumen og kompromittere cerebral perfusion, hvilket forårsager forbigående neurologiske symptomer såsom bevidsthedstab, hemiparese, paræstesier og global amnesi. Forekomst af stroke pga. meningeom er sjældent rapporteret, og udviklingshastigheden af cerebral iskæmi som en komplikation som følge af meningeom er fortsat ukendt. I et forsøg på at estimere forekomsten af cerebral iskæmi pga. ICA-kompression af meningeomer gennemgik Komotar et al i 2003 retrospektivt de medicinske journaler fra deres institution for 1.617 patienter med meningeom og identificerede tre med meningeominvolvering af ICA. Forfatterne vurderede, at forekomsten af meningeomrelateret cerebral iskæmi ved kompression af halspulsåren var 0,19% (3/1.617) [1]. Masouka et al [2] og Ossou-Nguiet et al [3] har rapporteret om hhv. en patient med transitorisk cerebral iskæmi (TCI) og en patient med akut iskæmisk infarkt relateret til meningeomer omsluttende og infiltrerende a. cerebri anterior (ACA). Lévêque et al observerede, at 32,7% af midtlinjemeningeomer forårsagede infiltration til ACA [4]. Hamed rapporterede om en patient med infarkt i a. cerebri medias forsyningsområde ved ICA-kompression af et meningeom omsluttende sinus cavernousus [5].
Mekanismerne for stroke forbundet med meningeom er ikke godt belyst, hverken for direkte kompression, vaskulær infiltration af tumoren, indirekte af koagulationsforstyrrelser eller en kombination af hypoperfusion og tromboembolisering [1, 2, 5].
Hos patienten i sygehistorien kunne et meningeom være årsagen til et klinisk stroke, på trods af at man ikke med sikkerhed kan afgøre, om alle symptomer skyldtes dets tilstedeværelse, eller hvilken/hvilke af de antydede patofysiologiske mekanismer der gav anledning hertil. Hos patienter, der har atypiske strokesymptomer – tilbagevendende og/eller modstridende med de radiologiske fund, er det afgørende med en grundig kritisk klinisk og radiologisk gennemgang, og eventuelt bør man overveje at anmode om en second opinion. Det er vigtigt, at man øger opmærksomheden på stroke mimics, hvor meningeomer udgør en lille, men vigtig del, da de kan føre til ændringer i behandlingen.
Korrespondance Leslie Guadalupe Gozá Alfonso. E-mail: Leslie.Guadalupe.Goza.Alfonso@rsyd.dk
Antaget 29. august 2023
Publiceret på ugeskriftet.dk 9. oktober 2023
Interessekonflikter ingen. Forfatternes ICMJE-formularer er tilgængelige sammen med artiklen på ugeskriftet.dk
Referencer findes i artiklen publiceret på ugeskriftet.dk
Artikelreference Ugeskr Læger 2023;185:V05230295
Leslie Guadalupe Gozá Alfonso, Ronald Antulov & Nataliya Alexandrova Toncheva
Ugeskr Læger 2023;185:V05230295
In this case report a 54-year-old woman had an anterior clinoid process meningioma. She was initially diagnosed as having a cerebrovascular disease, however, her stroke-like symptoms were most likely caused by internal carotid artery compression or vasospasm due to meningiomal involvement, but initially overlooked. Meningiomas are rarely reported as a cause of a stroke. A detailed evaluation can provide a high degree of confidence in differentiating stroke and non-stroke medical conditions, known as stroke mimics or chameleons, to be considered when a diagnosis of stroke has not been confirmed.