Mesenterielle varicer

En 60-årig mand med alkoholisk levercirrose og øsofagusvaricer blev indlagt med blødning per rectum.
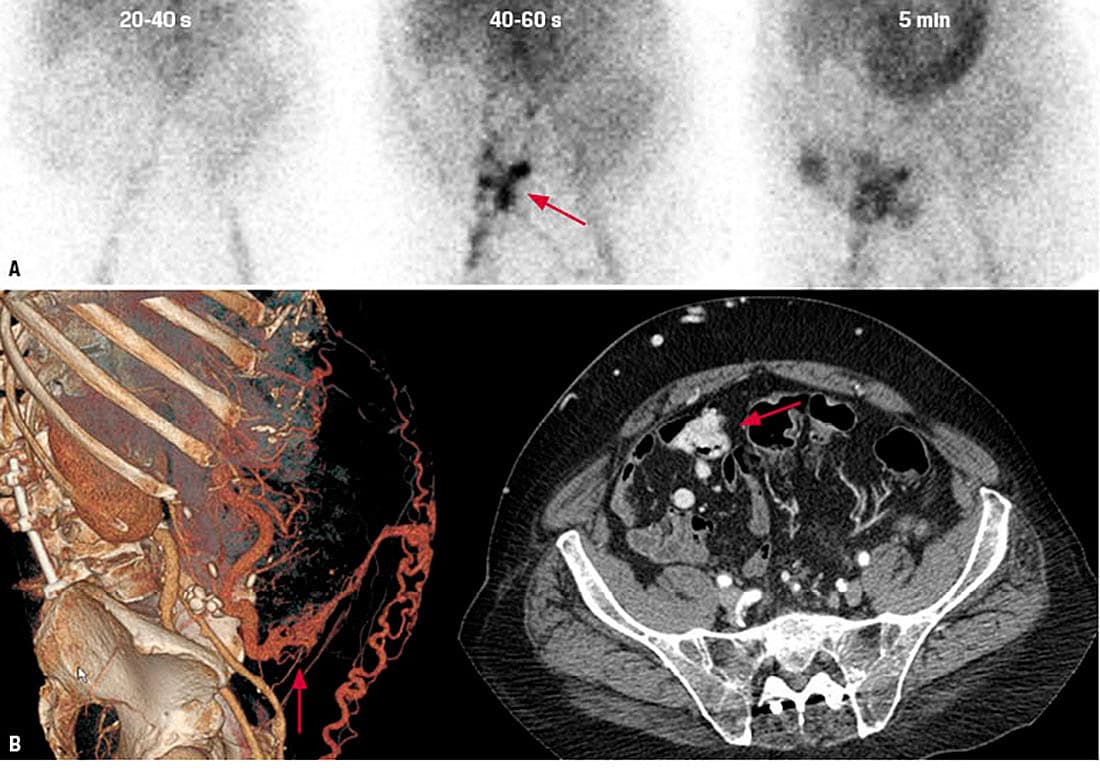
B-hæmoglobinniveauet var faldende trods gentagne blodtransfusioner. Ved gastroskopi, koloskopi og CT-angiografi fandt man ikke blødningskilden. En blødningsscintigrafi afslørede blødning i nedre, højre abdomen (A, rød pil). En gennemgang af CT-angiografien viste svært dilaterede vener i tæt relation til terminale ileum i forbindelse med dilaterede umbilikale og mesenterielle kar (B, røde pile). Ved eksplorativ laparoskopi med tyndtarmsresektion ca. 40 cm fra ileocækalstedet fandtes tarmen adhærent til forreste bugvæg og omgivet af varikøse vener. B-hæmoglobinniveauet var efterfølgende stabilt. En mikroskopisk undersøgelse af tyndtarmsresektatet viste store dilaterede kar i submucosa og krøs, hvilket er foreneligt med varicer.
Hos patienter med portal hypertension kan adhærenser mellem tarm og abdominalvæg medføre portokavale anastomoser og mesenterielle varicer [1]. Selvom tilstanden er en sjælden årsag til hæmatokesi, bør den overvejes differentialdiagnostisk, især hos patienter, som har levercirrose og tidligere har fået foretaget abdominalkirurgi [2]. Blødningsscintigrafi er et godt diagnostisk supplement til udredning af patienter med akut gastrointestinal blødning [3].
Tatiana Kristensen, Mattis Enggaard Jørgensen &
Dan Fuglø
Billeddiagnostisk Afdeling,
Nordsjællands Hospital Hillerød
E-mail: dan@fuglo.com
Publiceret på ugeskriftet.dk: 25. april 2016
Interessekonflikter:
LITTERATUR
Moncure AC, Waltman AC, Vandersalm TJ et al. Gastrointestinal hemorrhage from adhesion-related mesenteric varices. Ann Surg 1976;183:
24-9.
Tai CM, Li HM, Hung CM et al. An unusual cause of obscure gastrointestinal bleeding in a patient with cirrhosis. Gut 2013;62:473-4.
Currie GM, Kiat H, Wheat JM. Scintigraphic evaluation of acute lower gastrointestinal hemorrhage: current status and future directions.
J Clin Gastroenterol 2011;45:92-9.