Metakron coloncancer efter succesfuld behandling af metastaserende coloncancer med mismatch repair-defekt


Line Hansen1, Michael Bødker Lauritzen2, Christian Thomsen3, Inga Makieva4, Malene Lundsgaard5, Lykke Grubach3 & Laurids Ø. Poulsen6
Immunterapi har gennem det seneste årti fået en større plads i behandlingen af gastrointestinale cancere. Kolorektalcancer (KRC) bliver differentieret i forskellige molekylære subgrupper, hvor man har fundet et bedre behandlingsrespons på immunterapi ved KRC med manglende ekspression af et eller flere proteiner i mismatch repair – også kaldet mismatch repair-defekt (dMMR) [1]. Endvidere er dMMR-KRC, som behandles med immunterapi, forbundet med længere overlevelse og progressionsfri overlevelse (PFS) samt bedre livskvalitet sammenlignet med behandling med kemoterapi [2]. På den baggrund blev pembrolizumab godkendt i Danmark i 2023 til førstelinjebehandling til metastatisk KRC (mKRC) med dMMR.
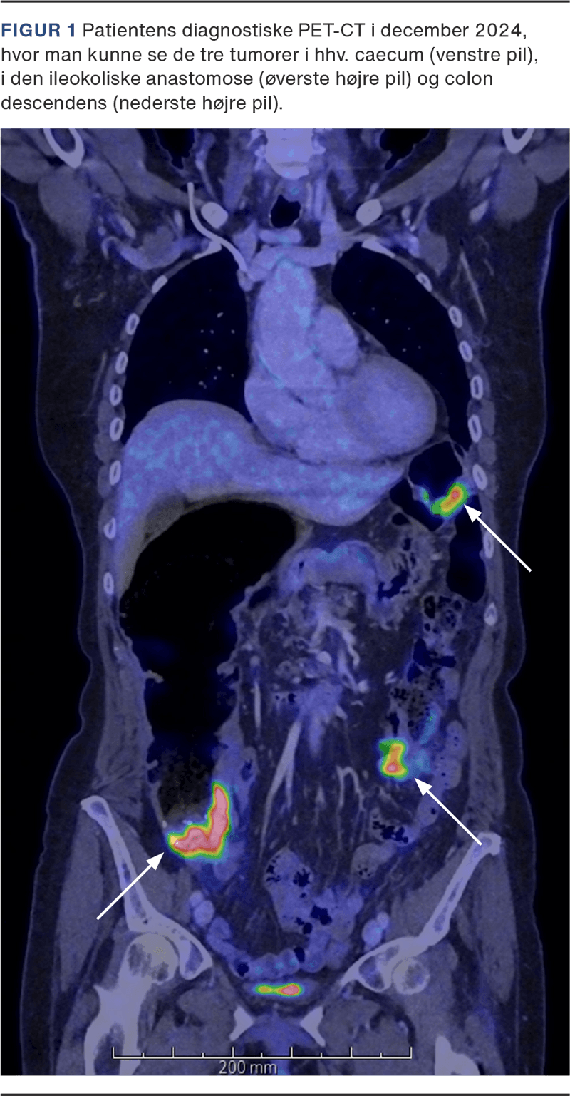
I marts 2019 blev en 67-årig kvinde diagnosticeret med mKRC med primær tumor lokaliseret i højre fleksur og metastaser i lymfeknuder (både over og under diafragma), lever, pancreas og peritoneum. Biopsier viste adenokarcinom med dMMR (immunhistokemisk manglende ekspression af pMLH1 og pPMS2, normal ekspression af pMSH2 og pMSH6) og BRAF-varianten, BRAF c.1799T>A (p.Val600Glu). Der blev påbegyndt pallierende behandling for patienten, hvor der på førstelinjebehandling med kemoterapi var progression med nytilkomne levermetastaser efter kun tre måneder. Derfor skiftede patienten til dengang eksperimentel andenlinjebehandling med pembrolizumab. Behandlingen var veltålt og succesfuld med hurtig regression af primær tumor, og efter 1,5 års behandling var der komplet respons (CR) radiologisk. Patienten blev i december 2020 indlagt med ileus pga. stenose svarende til tumorens lokalisation i højre fleksur. Patienten blev opereret med ileotransversostomi som omkørsel, da man vurderede, at man ikke kunne fjerne tarmsegmentet. I juni 2021 afsluttede patienten behandlingen og overgik til videre kontrolforløb med CT hver tredje måned. Denne viste initialt dilatation af colon ascendens, hvilket blev tolket som følger efter operationen. Grundet tiltagende dilatation blev patienten henvist til PET-CT og koloskopi i december 2024, hvor hun blev diagnosticeret med tre nye tumorer lokaliseret i hhv. caecum, den ileokoliske anastomose og colon descendens (Figur 1). Alle med dMMR i form af manglende ekspression af pMLH1 og pPMS2 og samme (hyppige) BRAF-variant som i den første tumor. Der var en del øvrige mutationer, som var forskellige – både imellem de enkelte tumorer og i forhold til den første tumor. Dette understøttede, at der var tale om tre nye primære karcinomer. PET/CT viste ingen metastatisk sygdom. Patienten fik foretaget radikal og ukompliceret subtotal kolektomi. Der blev for patienten planlagt tætte kontroller med CT og endoskopi. Patienten blev ydermere henvist til klinisk genetisk afdeling, hvor patienten på en blodprøve fik screenet flere gener relateret til KRC, men man fandt ingen genetiske disponerende faktorer for KRC.
Behandling med immunterapi mod mKRC – både som første- og andenlinjebehandling – er særdeles veldokumenteret og viser længere PFS og mindre bivirkningsbyrde sammenlignet med behandling med kemoterapi +/- targeteret behandling. F.eks. har Diaz et al. vist en forlænget PFS på 16,5 måneder i forhold til 8,2 måneder ved førstelinjebehandling med immunterapi sammenlignet med kemoterapi [2]. Lignende resultater genfindes i andre studier, som belyser immunterapi som andenlinjebehandling sammenlignet med kemoterapi [3]. Med disse tal i betragtning er ovenstående sygehistorie et meget positivt eksempel på immunterapiens virkning, hvor man opnåede komplet respons ved dissemineret sygdom.
Denne sygehistorie kan da også sætte spørgsmålstegn ved, hvor længe man bør/skal behandle med immunterapi. Et dansk studie har vist, at kun en enkelt serie med immunterapi præoperativt for lokaliseret dMMR-coloncancer viste patologisk CR hos 46% [4]. Andre studier har påvist en sammenhæng mellem antallet af gennemgåede behandlingsserier og sandsynligheden for patologisk CR. Man kan da overveje, om endoskopi bør være en supplerende procedure i forhold til responsevaluering. Ved præoperativ behandling kan det være med til at differentiere, hvilke patienter som vil kunne profitere af en organbevarende strategi frem for operation. Derudover vil proceduren ved palliativ behandling kunne guide i forhold til behandlingsvarigheden af immunterapi, som i nogle tilfælde vil kunne ophøre tidligere end de for nuværende fastsatte to år.
Slutteligt skal det også nævnes, at der ved behandlingen med pallierende immunterapi også forekommer resistensmekanismer, som indtil videre er relativt ukendte. For at undgå dette problem er der studier, som belyser fordele og ulemper ved behandling med dobbelt immunterapi i forhold til kemoterapi mod dMMR-mKRC, og grundet meget overbevisende fordele ved behandlingen er kombination med ipilimumab og nivolumab netop i april 2025 godkendt af EMA til behandling heraf [5]. Yderligere belysning af dette synes særdeles relevant for fremtidens behandlinger.
Korrespondance Line Hansen. E-mail: lineh8000@gmail.com
Antaget 10. september 2025
Publiceret på ugeskriftet.dk 17. november 2025
Interessekonflikter LØP oplyser økonomisk støtte fra eller interesse i MSD, AstraZeneca, Takeda. Alle forfattere har indsendt ICMJE Form for Disclosure of Potential Conflicts of Interest. Disse er tilgængelige sammen med artiklen på ugeskriftet.dk
Referencer findes i artiklen publiceret på ugeskriftet.dk
Artikelreference Ugeskr Læger 2025;187:V05250368
doi 10.61409/V05250368
Open Access under Creative Commons License CC BY-NC-ND 4.0
Colorectal cancer (CRC) is considered to be a heterogeneous disease with different molecular subtypes based on the expression status of mismatch repair (MMR) e.g. It is well known that tumours with mismatch repair deficiency (dMMR) are associated with better prognosis, as well as a more effective response to immunotherapy. In this case report, a patient is diagnosed with three new dMMR tumors in the colon 3,5 years after successful treatment with immunotherapy for metastatic CRC. Until now, retreatment with immunotherapy has not been described in the literature, and this case report describes the advantages and disadvantages from this perspective.