Mikrovaskulær dekompression ved neurovaskulær konflikt med nervus facialis og de nedre kranienerver


Per Rochat, Peter Birkeland & Jacob Bertram Springborg
Mikrovaskulær dekompression (MVD) har siden 1990’erne været en bredt anerkendt behandling af kranienervekompressionssygdomme.
MVD anvendes i dag som behandling af neurovaskulære konflikter, som kan medføre hemifaciale spasmer og glossopharyngeusneuralgi.
Vi vil med artiklen gerne udbrede kendskabet til MVD til læger i Danmark, så muligheden bliver tilgængelig for så mange patienter som muligt.
Med denne statusartikel ønsker vi at oplyse om mulighederne for mikrovaskulær dekompression (MVD) ved forskellige former for neurovaskulære konflikter mellem blodkar og n. facialis eller de nedre kranienerver (kranienerve 9-10) i fossa posterior. I artiklen vil vi særligt komme ind på muligheder for behandling af hemifaciale spasmer, glossopharyngeusneuralgi, og i sjældnere tilfælde n. vagus påvirkning, som alle kan skyldes en neurovaskulær konflikt. Vi ønsker at viderebringe informationen bredt til læger i Danmark, da det er vores indtryk, at de sygdomme, vi omtaler i artiklen, ikke er kendt af alle læger, som kommer i berøring med disse patienter, og det samme gælder behandlingsmulighederne. Det er særligt speciallæger i almen praksis og praktiserende neurologer, artiklen henvender sig til.
Sygdommene er karakteriseret ved kompressionsbetinget dysfunktion af en kranienerve. Hyppigst er trigeminusneuralgi (n. trigeminus), som dog ikke omtales nærmere her, da sygdommen og behandlingsmulighederne synes velkendt af neurologer og andre fagpersoner med kontakt til disse patienter. Svarende til n. facialis ses hemifaciale spasmer (n. facialis), og ved de nedre kranienerver ses glossopharyngeusneuralgi (n. glossopharyngeus/vagus). I de klassiske primære former er kompressionen forårsaget af et blodkar, typisk en arterie, men sekundære former ses ved kompression på grund af andre patologier, f.eks. et cerebellopontint vinkelmeningeom.
De forskellige kompressionssyndromer har samme patogenese [1, 2]. Transitionen fra centralt oligodendrocytderiveret myelin til perifert Schwanncellederiveret myelin sker i den såkaldte Redlich-Obersteiner-zone, der udgør den mest centrale del (ca. 25%) af kranienervernes forløb i de basale cisterner. Denne zone er særligt følsom for tryk, og tryk fra et blodkar bevirkende distortion, dislokalisation eller atrofi af nerven er tydeligt associeret med de klassiske kompressionssyndromer, idet den ledsagende demyelinisering af nerven forårsager hyperexcitabilitet. Ved hemifaciale spasmer er kompressionen hyppigst forårsaget af a. cerebelli anterior inferior (AICA) og ved glossopharyngeusneuralgi af a. cerebelli posterior inferior (PICA). Den neurovaskulære konflikt kan også forårsages af vener.
Hemifaciale spasmer og glossopharyngeusneuralgi ses væsentligt sjældnere end trigeminusneuralgi med incidenstal omkring 0,7-0,8 pr. 100.000 og prævalens på ca. 0,01% [2]. Til sammenligning er incidensen af trigeminusneuralgi 4-8 pr. 100.000. De fleste patienter er ældre end 50 år ved debut af hemifaciale spasmer, og kønsfordelingen er jævn [3]. Nervus intermedius neuralgi er meget sjælden med kun 174 publicerede tilfælde fra 1932 til 2018 [2], og et egentligt kompressionssyndrom af nervus vestibulocochlearis er omdiskuteret.
Hemifaciale spasmer
Hemifaciale spasmer er en tilstand med ufrivillige, toniske eller kloniske trækninger i den ene side af ansigtet med varierende intensitet. Trækningerne starter oftest omkring øjet og breder sig derefter til perinasale, periorale, zygomaticus og platysmamusklerne. Tilstanden skal skelnes fra blefarospasmer, der kun involverer de periorbitale muskler, og typisk er dobbeltsidig, faciale myoklonier samt synkinesier efter facialisparese. De hemifaciale spasmer kan ikke undertrykkes og kan persistere under søvn. Under kontraktionen ses øjenbrynet løftet, mens øjet lukkes, et fænomen, der ikke kan reproduceres voluntært [2, 4].
Typisk stilles diagnosen alene på baggrund af en grundig anamnese og objektiv undersøgelse, men ved tvivl kan diagnosen hemifaciale spasmer underbygges af elektrofysiologisk undersøgelse af ansigtsmuskulaturen og diagnosen glossopharyngeusneuralgi af, at smerterne forsvinder, når det involverede område lokalbedøves under et anfald.
Den primære behandling af hemifaciale spasmer er botulinum type A toxin-injektioner, der over en tidsperiode kan reducere eller helt fjerne spasmerne i ansigtsmuskulaturen. Medicinsk behandling af hemifaciale spasmer er ikke mulig. Hvis der er manglende eller utilfredsstillende effekt af botulinum type A toxin-behandlingen, kan kirurgisk behandling med MVD overvejes, hvis der påvises en neurovaskulær konflikt. Det samme gør sig gældende, hvis der er et ønske om mulig kurativ behandling hos patienten. Hvis botulinum type A toxin-injektionerne fungerer tilfredsstillende, så vil vi generelt ikke anbefale operation på grund af de alvorlige risici, der er ved operation. Succesraten for botulinum type A toxin-behandling er i en oversigtsartikel fra 2021 angivet til at være mellem 73% og 78,4%. Gennemsnitligt varede effekten af injektionerne i 12 uger. Risici ved botulinum type A toxin-behandling var 23% for let facialis parese, 17% for dobbeltsyn og 15% risiko for ptose. Der var 14%, der oplevede influenzalignende symptomer efter injektionerne. Der kan ses permanent asymmetri af ansigtet efter behandlingerne [5].
Glossopharyngeusneuralgi
Denne lidelse ligner i mange henseender trigeminusneuralgi, bortset fra at de ensidige stikkende smerter er lokaliseret til den ene side af roden af tungen og svælget. Det er langt sjældnere end trigeminusneuralgi. Nogle gange overlapper smerten det n. vagus innerverede område under vinklen på kæben og den ydre øregang og kaldes så vagoglossofaryngeusneuralgi. Anfaldene kan i mange tilfælde udløses af at hoste, gabe, nyse, tygge og synke eller ved tryk på ørets tragus. Anfaldenes varighed er fra få sekunder til få minutter. Sinus bradykardi og synkope kan ses som en manifestation af vagoglossopharyngeal neuralgi.
Carbamazepin og andre antiepileptika, der også benyttes i behandlingen af trigeminusneuralgi, kan bruges til at behandle glossopharyngeusneuralgi, men med lavere succesrate.
Øvrige nedre kranienervekompressionssyndromer
Kompression af n. intermedius kan i nogle tilfælde forklare jagende smerter dybt i øret, evt. ledsaget af tåreflåd og smagsoplevelser, og nogle eksperter mener, at kompression af nervus vestibulococchlearis i nogle tilfælde kan forklare hørenedsættelse, tinnitus eller svimmelhed, men dette er omdiskuteret [2].
Billeddiagnostisk udredning
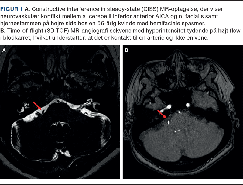
Påvisning af en eventuel strukturel årsag til symptomerne sker ved MR-skanning af hjernen og den relevante kranienerves forløb i de basale cisterner i fossa posterior. En 3 tesla 3D-T2-vægtet optagelse som constructive interference in steady-state (CISS) vil i de fleste tilfælde kunne påvise en eksisterende neurovaskulær konflikt, og 3D-time-of-flight (TOF)-MR-angiografi hjælper med at skelne mellem de relevante vener og arterier i området [1, 2]. Et eksempel på en MR-skanning med neurovaskulær konflikt mellem AICA og n. facialis hos en patient med højresidige hemifaciale spasmer fremgår af Figur 1.
Historisk perspektiv bag mikrovaskulær dekompression
I 1929 beskrev den amerikanske neurokirurg Walter Dandy en serie af patienter i Archives of Surgery, hvor han viste, hvordan man, via en retrosigmoid infratentorial adgang, kunne behandle trigeminusneuralgi ved en delvis neurotomi, også kaldet rhizotomi. Allerede dengang beskrev han, hvordan han i nogle tilfælde havde observeret, at der var et arterielt loop, der begrænsede udsynet til nerven, og ved et enkelt tilfælde foretog han en MVD for bedre at kunne foretage rhizotomien [6]. Efter 1934 publicerede Waler Dandy ikke flere artikler om operationen, delvist på grund af, at den verdensberømte neurokirurg Harvey Cushing ikke anerkendte hans arbejde, hvorefter teknikken i en årrække gik i glemmebogen.
I begyndelsen af 1950’erne opererede den danske neurokirurg Palle Taarnhøj en patient med trigeminusneuralgi og fjernede et epidermoid, der trykkede på trigeminusnerven uden samtidig at foretage rhizotomi [7]. Patientens smerter forsvandt, og dermed blev han den første kirurg, der udførte en intenderet dekompression af trigeminusnerven for trigeminusneuralgi. Den amerikanske neurokirurg W. James Gardner var interesseret i Palle Taarnhøjs arbejde, og i 1962 fremhævede han, at ved at fjerne en læsion, der trykkede på trigeminusnerven, eller ved at flytte et komprimerende blodkar, var der mulighed for at blive smertefri [7].
Den nu klassiske MVD blev raffineret af den amerikanske neurokirurg Peter Jannetta. Trods stor modstand fra den etablerede neurokirurgiske verden, kom Peter Jannetta i slutningen af 1960’erne i gang med at foretage MVD-operationer via en retrosigmoid infratentorial kraniotomi, og han valgte at anvende teflon for at adskille nerven fra det komprimerende blodkar. Man skulle dog helt frem til 1996, 30 år efter hans første MVD, før han publicerede et stort arbejde om MVD-operationen, der overbeviste den etablerede neurokirurgiske verden om, at operationen er effektiv [8]. Peter Jannetta beskrev også, at en neurovaskulær konflikt mellem et blodkar og n. facialis kunne forklare hemifaciale spasmer.
Kirurgisk teknik
Perkutan behandling, som anvendes ved trigeminusneuralgi, har ingen plads i behandling af kranienervekompressionssyndromer ved de nedre kranienerver.
MVD udføres lidt forskelligt i forhold til, hvilken nerve der skal dekomprimeres. Ved MVD af de nedre kranienerver anvendes en retrosigmoid infratentoriel adgang, der lægges mere kaudalt end ved operation for trigeminusneuralgi. Den neurovaskulære konflikt identificeres, hvorefter der interponeres et stykke teflon mellem nerven og den arterie, der forårsager konflikten. Der kan i nogle tilfælde ses impression i hjernestammen af a. vertebralis, og det er i den situation vigtigt at dekomprimere a. vertebralis fra hjernestammen med teflon interponeret mellem hjernestammen og arterien for at opnå et godt resultat, idet der ellers fortsat kan ske påvirkning af kranienervekernerne i hjernestammen. I andre tilfælde er behandlingen en kombination af både dekompression af hjernestammen og den relevante kranienerve. Der ses et eksempel fra en operation for hemifacialespasmer i Figur 2.
Resultater efter kirurgi
I et systemisk review med 6.249 patienter, indsamlet fra 39 forskellige studier, der fik foretaget MVD for hemifaciale spasmer, forsvandt spasmerne hos 90,5% af de opererede, bedømt efter et år. Man fandt forbigående facialisparese hos 5,9%-15,4% og forbigående nedsat hørelse hos 2,5%-13,8%. Permanent ipsilateralt høretab var til stede hos 1,8%, permanent facialisparese hos 0,7%, apopleksi hos 0,3% og andre kranienerveudfald hos 1,3%-17,9%. Hovedparten af studierne var retrospektive opgørelser [4].
I et retrospektivt studie rapporterede Resnick et al. resultaterne af mikrovaskulær dekompression af n. glossopharyngeus hos 40 patienter, og 76% af patienterne oplevede vedvarende remission efter en gennemsnitlig opfølgning på 4 år [8]. Hvis synkope var forbundet med anfaldene, kunne også synkoperne forventes at ophøre, når smerterne forsvandt. To patienter døde på grund af intrakraniel blødning, og 8% havde permanent n. glossopharyngeusparalyse efter operationen [8].
Behandlingsforløb
Speciallæger i almen praksis bør henvise patienterne til neurologisk vurdering. Neurologer kan henvise patienter med hemifaciale spasmer til botulinum type A toxin-behandling, der i Østdanmark foretages bl.a. på Bispebjerg Hospital. I Vestdanmark foretages botulinum type A toxin-behandlingen på flere hospitaler. Hvis der er tale om glossopharyngeusneuralgi eller utilfredsstillende effekt af botulinum type A toxin-behandling ved hemifaciale spasmer, så kan neurologer og neurokirurger henvise til kirurgisk behandling. MVD er en højtspecialiseret behandling og er matrikelbundet ifølge specialeplanen for neurokirurgi, og operationen foretages kun på Aarhus Universitetshospital og på Rigshospitalet.
Vi håber med denne statusartikel at have bidraget til udbredelse af viden om kompressionssyndromer af n. facialis og de nedre kranienerver og muligheden for at behandle disse med MVD. Som det fremgår af artiklen, tog det lang tid, før behandlingsmetoden blev bredt accepteret i neurokirurgiske kredse, men det er en operation, som har høj succesrate. Der er dog også potentielt alvorlige risici, hvilket selvfølgelig må indgå i en afbalanceret diskussion med patienterne om valg af behandling.
Korrespondance Per Rochat. E-mail: per.bjoernstad.rochat@regionh.dk
Antaget 9. januar 2026
Publiceret på ugeskriftet.dk 6. april 2026
Interessekonflikter ingen. Alle forfattere har indsendt ICMJE Form for Disclosure of Potential Conflicts of Interest. Disse er tilgængelige sammen med artiklen på ugeskriftet.dk
Referencer findes i artiklen publiceret på ugeskriftet.dk
Artikelreference Ugeskr Læger 2026;188:V04250272
doi 10.61409/V04250272
Open Access under Creative Commons License CC BY-NC-ND 4.0
With this review, we aim to provide information about microvascular decompression in various forms of neurovascular conflicts between blood vessels and cranial nerves 7, 9, and 10 in the posterior fossa. Specifically, we will address the treatment of hemifacial spasms, glossopharyngeal neuralgia, and, in rare cases, vagus nerve involvement. We intend to disseminate this information widely to doctors in Denmark, as it is our impression that the diseases mentioned in the article are not well known to all doctors who encounter these patients, and the same applies to the treatment options.