Skip to main content

Mortalitet og morbiditet ved alkohol- og galdestensudløst akut pankreatitis

Reservelæge Anders Møller Andersen, reservelæge Srdan Novovic, lektor Annette Kjær Ersbøll & overlæge Mark Berner Hansen Bispebjerg Hospital, Kirurgisk Gastroenterologisk Afdeling K, og Københavns Universitet, Det Biovidenskabelige Fakultet, Institut for Produktionsdyr og Heste, Veterinær Epidemiologi

7. dec. 2007
13 min.

Introduktion: Akut pankreatitis (AP) er en alvorlig sygdom med høj mortalitet. De dominerende ætiologiske faktorer til udvikling af AP er alkohol og galdesten. Hvorvidt ætiologi har indflydelse på mortalitet og morbiditet ved AP er uafklaret.

Materiale og metoder: Formålet med studiet var at undersøge, om der var signifikant forskel i mortalitet ved alkohol- og galdestensudløst AP. Vi inkluderede data retrospektivt fra alle patienter indlagt på vor afdeling med førstegangstilfælde af AP over en femårsperiode (2000-2004).

Resultater: I alt blev 290 patienter inkluderet. tredivedages- og etårsmortalitetsrisiko var henholdsvis 5% og 11% og uafhængig af ætiologi. American Society of Anesthesiologists' physical status (ASA)-score og sværhedsgrad af AP havde en signifikant effekt på 30-dages-mortalitetsrisiko (odds-ratio (OR): 9,2 for ASA-score > 2 og OR: 4,2 for svær grad af AP), mens dagligt forbrug af receptpligtig medicin og ASA-score havde en signifikant effekt på etårsmortalitetsrisiko (OR: 10,4 for brug af medicin og OR: 4,5 for ASA-score > 2). Svær grad af AP var en signifikant prognostisk faktor for behov for indlæggelse på en intensivafdeling (OR: 26,2) og for dagligt forbrug af receptpligtig medicin (OR: 7,3).

Konklusion: Vores data viser, at AP er associeret med betydelig mortalitet, og at der ikke er forskel på mortalitet i relation til alkohol- eller galdestensætiologi.

Akut pankreatitis (AP) er en alvorlig sygdom med en rapporteret mortalitet på omkring 10% [1]. Incidensen synes at være særlig høj i de skandinaviske lande [2]. Der findes ingen direkte kausalt virkende behandling for AP, og der er således et stort behov for bedre behandlingsmuligheder.

De dominerende årsager til AP er alkohol og galdesten. De udgør ca. 80% af tilfældene [3]. Andre kendte årsager er metaboliske abnormiteter (hyperlipidæmi, hyperkalcæmi), medikamenter, endoskopisk retrograd kolangiopankreatografi og genetiske defekter m.fl. [3]. 10-20% af tilfældene klassificeres som idiopatiske [4].

Den grundlæggende patofysiologiske proces ved AP er kun delvist afklaret. Centralt herfor er et autodigestivt forløb med uhensigtsmæssig aktivering af trypsinogen og andre proteolytiske enzymforstadier [3].

Det er ikke klarlagt, hvordan alkohol eller galdesten initierer den grundlæggende patofysiologiske proces, men mekanismen antages at være forskellig.

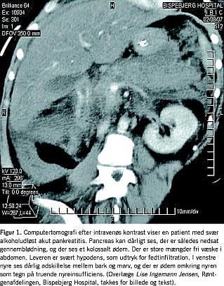
Alkohol metaboliseres i et vist omfang i pancreas, hvor det reducerer blodgennemstrømningen og øger dannelsen af frie oxygenradikaler [5]. Derved øger alkohol risikoen for udvikling af akut inflammation i pancreas (Figur 1). Alkohol alene kan dog ikke forklare, hvorfor sygdomsprocessen begynder. Således får kun ca. 10% af patienterne med svært alkoholmisbrug klinisk erkendelig inflammation i pancreas [5].

Galdesten påvirker pancreas via obstruktion af galdegangssystemet [3]. Herved skabes mulighed for galderefluks over i pancreasgangsystemet. Små galdesten, galdeblæredysmotilitet og hurtig krystallisation af kolesterolkrystaller i galde er associeret med øget risiko for udvikling af AP [6].

Formålet med herværende studie var således at teste hypotesen, at der ikke er en forskel i mortalitet for førstegangstilfælde af AP forårsaget af enten alkohol eller galdesten.

Materiale og metoder

Vi søgte retrospektivt data fra patienter indlagt på Bispebjerg Hospital, Kirurgisk Gastroenterologisk Afdeling K, i perioden fra den 1. januar 2000 til den 31. december 2004 via søgning på International Classification of Diseases 10, diagnosekode K85 gældende for AP.

Samlet var der 571 registrerede indlæggelser med diagnosen AP hos 512 patienter. Ved efterfølgende journalrekvirering manglede der 11 journaler (3%). Patienter, der tidligere havde været indlagt for AP, og patienter, der havde kendt kronisk pankreatitis blev ekskluderet.

I alt 348 patienter var indlagt med førstegangstilfælde af AP. Ætiologien var usikker, blandet eller af anden oprindelse i 58 tilfælde (17%). Dataanalyse og inklusion blev foretaget på 290 patienter med solitær ætiologi (alkohol eller galdesten) til førstegangstilfælde af AP.

Alle patienter var behandlet i henhold til UK guidelines for the management of AP og efter afdelingens herpå byggende, fastlagte behandlingsalgoritme [4].

En case report form blev oprettet for hver patient inden inklusion. For at sikre høj datavaliditet blev patientoplysningerne kontrolleret to gange af to forskellige investigatorer, før data blev analyseret. Data om mortalitet blev hentet via oplysninger fra Landspatientregisteret. Projektet var anmeldt og godkendt af Datatilsynet (journalnummer 2005-41-5466).

Tidligere engelsksprogede publicerede materialer omhandlende mortalitet ved alkohol- og galdestensudløst AP blev gennemgået. I litteraturgennemgangen anvendtes søgning på PubMed med anvendelse af MESH søgeord pancreatitis og undergrupperne etiology og mortality samt gennemgang af related articles. Søgningen blev begrænset til materialer, der er publiceret inden for de seneste 20 år.

Definitioner

Diagnosen AP blev defineret ved minimum tre gange forhøjelse af den øvre normalgrænse for P-amylase sammenstillet med klinik med øvre abdominalsmerter uden anden forklaring [4].

Alkoholætiologi blev defineret som en klar anamnese med indtagelse af abnormt store mængder af alkohol (> 5 genstan-de/dagligt eller > 21 genstande pr. uge for mænd eller > 14 genstande pr. uge for kvinder) før udvikling af AP og anden ætiologi udelukket. Galdestensætiologi blev defineret som værende billeddiagnostisk påvist galdesten med samtidig initial forhøjelse over øvre normal referenceværdi af aspartataminotransferase (> 50 U/ l) og/eller bilirubin (> 22 μmol/l) [4].

Som et mål for betydelig morbiditet blev behov for indlæggelse på en intensivafdeling (ITA) anvendt. Svær AP blev defineret ved plasma C-reaktivt protein ≥ 210 mg/l inden for de første 72 timer efter indlæggelse [4].

For at vurdere komorbiditet ved indlæggelse blev alle patienter klassificeret i forhold til American Society of Anesthesiologists' physical status (ASA)-score [7].

Statistik

Effektmål var: 1) mortalitet efter 30 dage, 2) mortalitet efter et år og 3) behov for indlæggelse på ITA. Deskriptiv analyse af effektmålene blev udført ved brug af frekvensfordelinger. Den deskriptive analyse var stratificeret for ætiologi, sværhedsgrad af AP, ASA-score, body mass index (BMI) og dagligt forbrug af receptpligtig medicin.

Logistiske regressionsanalyser blev anvendt til test af betydningen af de forskellige risikofaktorer på effektmålene. De faktorer, der var inkluderet i analysen var ætiologi, køn, sværhedsgrad, ASA-score, dagligt forbrug af receptpligtig medicin og nuværende rygestatus. BMI blev ekskluderet fra analysen, da BMI var ukendt for 70 patienter. Ydermere blev alder pga. konfounding med ASA-score ekskluderet fra analysen.

Initialt var alle risikofaktorer inkluderet i analysemodellen for hver af de tre effektmål. De resulterende statistiske modeller blev opnået ved backward elimination af nonsignifikante risikofaktorer. For signifikante risikofaktorer blev odds-ratio (OR) og tilhørende 95% konfidensinterval udregnet. Et 5%-signifikansniveau blev anvendt. Alle analyser blev udført ved brug af Statistical Analysis System (SAS, version 9.1)

Resultater

I studiet indgik der 157 kvinder og 133 mænd, kønsratio 1,2:1. Medianalderen var 57 år (variationsbredde: 16-96 år). 69% (201 patienter) havde galdestensudløst AP, og 31% (89 patienter) havde alkoholudløst AP. 35% (102 patienter) fik svær AP.

Den samlede 30-dages-mortalitet var 5,2% (15 patienter) uden signifikant forskel mellem patienter med alkohol- og patienter med galdestensudløst AP. 11% (31 patienter) døde inden for det første år efter indlæggelsen, igen uden signifikant forskel mellem patienter med henholdsvis alkohol- og galdestensudløst AP (Tabel 1). Kun 6% (to patienter) blev obduceret, hvorfor sektionsdiagnoser ikke er vist.

5,9% (17 patienter) blev indlagt på ITA. Indikation herfor var respiratorisk insufficiens (fire patienter), multiorgandysfunktion (fire patienter), septisk shock (fire patienter), nyresvigt (to patienter), arytmi (to patienter) og apopleksi (en patient).

Prognostiske faktorer

Ætiologi havde ikke signifikant effekt på mortalitetsrisiko eller behov for indlæggelse på ITA. Derimod var der en signifikant effekt på 30-dages-mortalitetsrisiko af ASA-score (OR = 9,2 for ASA-score > 2) og sværhedsgrad af AP (OR = 4,2 for svær AP). Hertil havde dagligt forbrug af receptpligtig medicin en signifikant effekt på etårsmortalitetsrisiko (OR = 10,4 for brug af medicin), ligesom ASA-score havde en signifikant effekt (OR = 4,5 for ASA-score > 2). Svær grad af AP var en signifikant prognostisk faktor for behov for indlæggelse på ITA (OR = 26,2), ligesom dagligt forbrug af receptpligtig medicin (OR = 7,3) (Tabel 2).

Diskussion

Herværende studie bekræfter, at både alkohol- og galdestensudløst AP er alvorlige sygdomme med en høj mortalitetsrisiko. Det er i ældre litteratur beskrevet, at forløbet af AP synes at være afhængigt af den underliggende ætiologi [8]. Studierne har dog metodologisk væsentlige mangler i henhold til definition af AP eller behandlingsregimener [8].

Flere faktorer influerer på opgørelser af mortalitetsrisiko. En valid og sammenlignelig opgørelse forudsætter standardiserede behandlingsregimener, hvilket ikke fremgår af tidligere publicerede studier [8-14]. Dog viste et nyligt publiceret dansk retrospektivt studie med et lignende patientmateriale som vort en samlet mortalitetsrate på 15% over en seksårsobservationsperiode, som var uafhængig af galdestens versus nongaldestens ætiologi [15].

I vort studie var diagnosticering og behandling af AP standardiseret i henhold til internationale kliniske retningslinjer [4]. Der blev foretaget en systematisk registrering og vurdering af patienternes komorbiditet og tidligere indlæggelser. Herværende studie synes derfor at være metodologisk korrekt designet for disse forhold. Dog er vort studie, som andre lignende studier, belastet af bias ved definition og dermed diagnosticering af AP. Sensitivitet og specificitet er afhængig af den valgte grænseværdi for amylase. Ved tre gange forhøjelse af amylase over øvre normalgrænse, som anvendt i dette studie, er specificiteten omkring 95%, mens sensitiviteten i nogle studier er så lav som 61% [16].

I nyere international litteratur beskrives en øget mortalitetsrisiko ved alkoholudløst AP sammenlignet med galdestensudløst AP [1]. Denne formodning kan der imidlertid sættes spørgsmålstegn ved. En litteraturgennemgang viste 11 nyere studier, der direkte omhandlede alkohol- eller galdestensætiologiens indflydelse på mortalitet ved AP (Tabel 3). Studierne imellem er der stor variation i observationsperiode og studiepopulation. Fraset i den danske opgørelse [15] er mortalitetsrisiko i alle tilfælde opgjort som mortalitet under hospitalsindlæggelse (case mortality), hvilket kan være problematisk, da tidskurven for mortalitet ved AP er bifasisk med højdepunkter inden for de første dage efter indlæggelse og igen efter anden uge [1]. I ingen af disse studier fandt man signifikant forskel på mortalitetsrisiko for alkohol- og galdestensudløst AP, hvilket er i overensstemmelse med resultaterne i vort materiale. Dog med forbehold for at en type 2-statistisk fejl ikke kan udelukkes i vort studie grundet det relativt lave antal inkluderede patienter.

Om ætiologi alligevel i anden sammenhæng kan spille en rolle for sygdomsforløbet af AP er derimod ikke afklaret. Idiopatisk AP har således i nogle opgørelser vist sig at være associeret med en signifikant højere mortalitetsrisiko end alkohol- og galdestensudløst AP [9, 17].

Det virker naturligt, at alder har indflydelse på sygdoms-forløbet af AP. Alder indgår også som faktor i de fleste scoringssystemer af sværhedsgraden af AP [1]. Alderens betydning for sygdomsforløbet hos patienter med AP er dog uafklaret [1]. I nogle studier har man påvist, at høj alder var associeret med øget mortalitet [15, 17], mens man i andre studier ikke har fundet nogen eller kun en svag sammenhæng [10, 11]. I herværende studie var der konfundering mellem ASA-score, alder og dagligt medicinforbrug (faktorer signifikante i univariabel, men ikke i multivariabel model, korrelationskoefficient > 0,35). Det er derfor vanskeligt isoleret at vurdere, om alder er en uafhængig risikofaktor for sygdomsforløbet hos patienter med AP. Disse fund tyder på, at det i højere grad er patienternes komorbiditet, der er afgørende for forløbet af AP. Det understøttes af, at patienter, som ikke dagligt brugte receptpligtig medicin, som sådan havde en bedre prognose med hensyn til etårsmortalitet end patienter med et dagligt medicinforbrug. Dermed synes alder kun at have en begræn set indflydelse på sygdomsforløbet af AP.

Os bekendt er ASA-score ikke tidligere beskrevet i relation til AP. ASA-score har i andre sammenhænge vist sig som en pålidelig variabel i den perioperative vurdering af patienter med henblik på risiko for udvikling af postoperative komplikationer [7]. Høj ASA-score havde i vort studie en signifikant effekt på både 30-dages- og etårsmortalitetsrisiko. Vores data tyder på, at ASA-score er en variabel, der med fordel kunne inddrages i den initiale vurdering af patienterne. Flere prospektive studier er dog nødvendige for at fastslå dette.

Det er uklart, om der er forskel i morbiditet ved alkohol- og galdestensudløst AP. Et indirekte sekundært effektmål for betydelig morbiditet er behov for indlæggelse på ITA. Vore resultater viser ingen signifikant forskel i behov for indlæggelse på ITA for patienter med alkohol- og patienter med galdestensudløst AP. Dette er i overensstemmelse med studier, hvori forekomsten af pulmonale, renale, kardiovaskulære og gastrointestinale komplikationer blev belyst [11, 12]. I modstrid hermed findes rapporter med højere frekvens af respiratorisk insufficiens og klinisk forværring hos patienter med alkoholudløst AP [13, 14]. Baggrunden herfor antages at være en større forekomst af komorbid lungesygdom hos denne patientgruppe. Noget overraskende havde ASA-score > 2 ikke signifikant effekt på behov for indlæggelse på ITA i vort studie.

Det skal understreges, at baggrunden for, at der ikke kunne påvises ætiologiske forskelle i morbiditet, kan være det relativt lave antal patienter, som blev indlagt på ITA i herværende studie. Årsagen hertil kan dække over flere forhold, herunder monitorering af patienter, tidspunkt for overflytning og kapacitet på ITA. Større prospektive studier er således nødvendige for at afklare disse forhold endeligt.

Konklusion

Vores data viser, at AP er associeret med betydelig mortalitet, og at der ikke er forskel i mortalitet i relation til alkohol- eller galdestensætiologi.


Mark Berner Hansen, Kirurgisk Gastroenterologisk Afdeling K, Bispebjerg Hospital, DK-2400 Købehavn NV. E-mail: mbh@dadlnet.dk

Antaget: 14. marts 2007

Interessekonflikter: Ingen angivet

Summary

Summary Mortality and morbidity in patients with alcohol and biliary-induced acute pancreatitis Ugeskr Læger 2007;169(50):4351-4354 Introduction: Acute Pancreatitis (AP) is a serious disease with a high mortality. The main aetiological factors involved in development of AP are alcohol and gallstones. Whether aetiology influences mortality and morbidity in AP is not clarified. Materials and Methods: The aim of the present study was to determine if there was a significant difference in mortality in alcohol or biliary-induced AP. We retrospectively analysed data comprising all patients admitted to our department with a first attack of AP registered in a 5-year period (2000-2004). Results: A total of 290 patients were included. The 30-day and 1-year mortality risks were 5% and 11% and independent of aetiology. ASA-score and severity of AP had a significant effect on the 30-day mortality risk (OR = 9.2 for ASA-score > 2 and OR = 4.2 for severe AP), while daily use of prescribed medicine and ASA-score had a significant effect on the 1-year mortality risk (OR = 10.4 for medicine and OR = 4.5 for ASA-score > 2). Severe AP was a significant predictor for treatment at the Intensive Care Unit (OR = 26.2), as was daily use of prescribed medicine (OR = 7.3). Conclusion: Our data shows that AP is associated with considerable mortality and that there is no significant difference in mortality in relation to alcohol or biliary aetiology.

Referencer

  1. Pitchumoni CS, Patel NM, Shah P. Factors influencing mortality in acute pancreatitis. J Clin Gastroenterol 2005;39:798-814.
  2. Halvorsen FA, Ritland S. Acute pancreatitis in Buskerud County, Norway. Scand J Gastroenterol 1996;31:411-4.
  3. Sakorafas GH, Tsiotou AG. Etiology and pathogenesis of acute pancreatitis. J Clin Gastroenterol 2000;30:343-56.
  4. United Kingdom guidelines for the management of acute pancreatitis. Gut 1998;42(suppl 2):S1-13.
  5. Schneider A, Singer MV. Alcoholic pancreatitis. Dig Dis 2005;23:222-31.
  6. Venneman NG, Renooij W, Rehfeld JF et al. Small gallstones, preserved gallbladder motility, and fast crystallisation are associated with pancreatitis. Hepatology 2005;41:738-46.
  7. Wolters U, Wolf T, Stutzer H et al. ASA classification and perioperative variables as predictors of postoperative outcome. Br J Anaesth 1996;77:217-22.
  8. Svensson JO, Norback B, Bokey EL et al. Changing pattern in aetiology of pancreatitis in an urban Swedish area. Br J Surg 1979;66:159-61.
  9. Talamini G, Bassi C, Falconi M et al. Risk of death from acute pancreatitis. Int J Pancreatol 1996;19:15-24.
  10. Gullo L, Migliori M, Olah A et al. Acute pancreatitis in five European countries. Pancreas 2002;24:223-7.
  11. Lankisch PG, Burchard-Reckard S, Petersen M et al. Etiology and age have only a limited influence on the course of acute pancreatitis. Pancreas 1996;13:344-9.
  12. Uhl W, Isenmann R, Curti G et al. Influence of etiology on the course and outcome of acute pancreatitis. Pancreas 1996;13:335-43.
  13. Lankisch PG, Assmus C, Pflichthofer D et al. Which etiology causes the most severe acute pancreatitis. Int J Pancreatol 1999;26:55-7.
  14. Lankisch PG, Pflichthofer D, Lehnick D. Acute pancreatitis. Pancreas 1999;19:321-4.
  15. Lund H, Tønnesen H, Tønnesen MH et al. Long-term recurrence and death rates after acute pancreatitis. Scand J Gastroenterol 2006;41:234-8.
  16. Matull WR, Pereira SP, O'Donohue JW. Biochemical markers of acute pan-creatitis. J Clin Pathol 2006;59:340-4.
  17. Thomson SR, Hendry WS, McFarlane GA et al. Epidemiology and outcome of acute pancreatitis. Br J Surg 1987;74:398-401.
  18. De Beaux AC, Palmer KR, Carter DC. Factors influencing morbidity and mortality in acute pancreatitis. Gut 1995;37:121-6.
  19. John KD, Segal I, Hassan H et al. Acute pancreatitis in Sowetan Africans. Int J Pancreatol 1997;21:149-55.
  20. Bank S, Singh P, Pooran N et al. Evaluation of factors that have reduced mortality from acute pancreatitis over the past 20 years. J Clin Gastroenterol 2002;35:50-60.