MR-skanning som nøgle til tidlig diagnose af Creutzfeldt-Jakobs sygdom


Fabiana Andrade Melchiori1, Olha Zhygynas2 & Harro Bitterling1
Creutzfeldt-Jakobs sygdom (CJD) er en sjælden, progressiv og fatal prionsygdom med ca. ét nyt tilfælde pr. 1 mio. indbyggere årligt globalt [1]. Vi beskriver et tilfælde af sporadisk CJD (sCJD), hvor mistanken opstod på grund af usædvanlige MR-fund hos en patient med varierende neurologiske symptomer.
En 73-årig mand, som var diagnosticeret med hiv, var velbehandlet og for nylig opereret for malignt melanom. Han blev henvist til neurologisk dagsafsnit med to ugers progredierende finmotorisk forværring i venstre hånd samt intermitterende spjæt i venstre arm, senere tolket som myokloni. Derudover havde patienten i ca. en måned oplevet intermitterende dobbeltsyn, let dysartri, svimmelhed, balancebesvær og grådlabilitet. Ved en objektiv undersøgelse fandtes ataksi i venstre arm og gangbesvær, men ingen sikre kranienerveudfald, sensibilitetsforstyrrelser eller kraftnedsættelse. Ved en kognitiv Montreal Cognitive Assessment-test tre uger efter symptomdebut vistes forværring af korttidshukommelse og ordmobilisering, men testen blev ikke gentaget i forløbet på grund af patientens hurtige udtrætning.
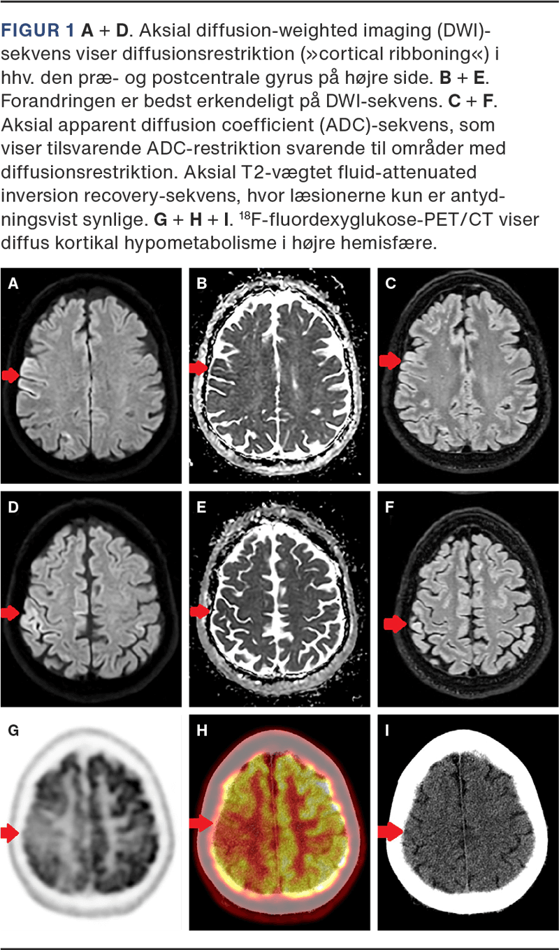
CT af cerebrum med henblik på apopleksi, blødning eller metastaser viste ingen patologiske fund. Supplerende MR-skanning af cerebrum med kontrast (Figur 1) viste kortikale diffusionsrestriktioner i diffusion-weighted imaging (DWI) med tilsvarende apparent diffusion coefficient-restriktion bilateralt, overvejende i højre hemisfære, især i højre centrale og subcentrale region, frontallap, insula, cingulum og venstre postcentrale region. Fund gav mistanke om tidligt stadie af CJD, men paraneoplastisk eller autoimmun encefalitis blev også overvejet som differentialdiagnoser. Det kortikale involveringsmønster uden basalganglieinvolvering var atypisk for CJD, men mistanken blev opretholdt, da læsionerne udelukkende involverede cortex, fordelt i et tilsyneladende tilfældigt mønster uden korrelat til vaskulære territorier.
En 18F-fluordexyglukose (FDG)-PET/CT (Figur 1) afkræftede recidiv af malignitet og viste nedsat kortikal metabolisme svarende til MR-forandringerne samt asymmetrisk lav aktivitet i højre thalamus, cingulum og occipitallap.
En eeg viste lavfrekvent aktivitet i højre hemisfære, dog uden trifasiske potentialer, hvilket er typisk for CJD.
Der foretoges lumbalpunktur. Cerebrospinalvæsken (CSV) viste normale celle- og proteinforhold samt negativ screening for autoimmun og paraneoplastisk encefalitis. Til endelig diagnostisk afklaring sås et positivt udfald af Real-Time Quaking-Induced Conversion (RT-QuIC), en test specifik for CJD, samt meget forhøjet total-tau til > 2.000 pg/ml (normalgrænsen er < 500 ng/l) – et så højt niveau ses næsten udelukkende ved CJD.
Kombinationen af fundene opfyldte således kriterierne for sandsynlig sCJD. Patienten havde et hurtigt progredierende forløb og døde knap tre uger efter indlæggelsen.
CJD’s kliniske billede er ofte heterogent og gør diagnosen udfordrende. Patienten havde diffuse symptomer med initiale cerebellære symptomer, bl.a. dysartri, svækket finmotorik, koordinations- og balancebesvær ledsaget af myoklonier. Med progression ses ofte tiltagende demens, personlighedsændringer, pyramidebanetegn og ekstrapyramidale symptomer som spasticitet, hypokinesi og dystoni.
I udredningen af CJD indgår eeg, som viser typisk periodiske sharp og slow wave-komplekser, analyse af CSV med henblik på proteinindhold og RT-QuIC samt billeddiagnostik [1, 2].
RT-QuIC er en laboratoriemetode, der opformerer det sygdomsspecifikke misfoldede prionprotein, og et positivt svar indikerer en tilstedeværende sporadisk prionsygdom med en meget høj specificitet på 99% og en høj sensitivitet på 73-89% [2].
En MR-skanning af cerebrum er den foretrukne billeddiagnostikmodalitet på grund af dens stærke korrelation med kliniske og neuropatologiske fund. En MR-skanning kan påvise karakteristiske ændringer allerede tre uger efter symptomdebut [3] og kan identificere abnormiteter, selv før fremkomsten af karakteristiske eeg-forandringer [4]. Typiske MR-fund inkluderer involvering af basalganglierne samt hyperintensitet i DWI-, fluid-attenuated inversion recovery- og T2-vægtede sekvenser i cerebral cortex, kendt som »cortical ribboning« [2]. DWI-sekvensen er den mest følsomme [2-4] med en sensitivitet på 91% og en specificitet på 97% [4]. MR-forandringerne, ligesom symptomerne, er ofte asymmetriske tidligt, men bliver mere bilaterale senere.
18F-FDG-PET/CT kan bidrage til diagnosen ved at differentiere sCJD fra andre demenssygdomme gennem påvisning af diffus kortikal hypometabolisme og basalganglieforandringer [5].
MR-diagnostik muliggjorde symptomlindrende behandling før RT-QuIC-bekræftelse, og selv om CJD er uhelbredelig, er tidlig præcis diagnostik afgørende for rettidig palliation.
Korrespondance Fabiana Andrade Melchiori. E-mail: fabiana.andrademelchiori@hotmail.com
Antaget 4. november 2025
Publiceret på ugeskriftet.dk 19. januar 2026
Interessekonflikter ingen. Alle forfattere har indsendt ICMJE Form for Disclosure of Potential Conflicts of Interest. Disse er tilgængelige sammen med artiklen på ugeskriftet.dk
Referencer findes i artiklen publiceret på ugeskriftet.dk
Artikelreference Ugeskr Læger 2025;187:V08250698
doi 10.61409/V08250698
Open Access under Creative Commons License CC BY-NC-ND 4.0
We present a case of sporadic Creutzfeldt-Jakob disease (sCJD) in a 73-year-old patient, in which initial suspicion arose from unusual magnetic resonance imaging (MRI) findings and was later confirmed by cerebrospinal fluid analysis. This case report highlights the role of MRI in the early diagnosis of sCJD, facilitating timely palliative care, and highlights the key clinical and imaging characteristics of this rare and fatal prion disease.