Skip to main content

Multiple lungeembolier hos en 15-årig med venøst lyskeaneurisme

Thea Ellehammer Hansen & Kaare Engell Lundstrøm

17. jan. 2022
4 min.

Lungeembolier (LE) hos børn er en sjælden, livstruende sygdom med en stigende incidens [1]. Af alle tilfælde har 80-96% mindst én tilstedeværende risikofaktor [2]. De hyppigste risikofaktorer er central venekateter, fedme, immobilitet, større kirurgi og traumer samt tidligere venøs tromboemboli, med immobilitet som den væsentligste enkeltfaktor [2, 3]. Venøse aneurismer er ekstremt sjældne, og især venøse underekstremitetsaneurismer kan føre til LE [4]. De hyppigste symptomer på LE er åndenød og brystsmerter [2, 3]. Vi præsenterer en sygehistorie om en pædiatrisk patient med multiple LE og et venøst lyskeaneurisme.

Sygehistorie

En 15-årig, tidligere rask, normalvægtig dreng og uden familiære dispositioner til tromboemboliske sygdomme eller tidligere kendte lysketraumer blev indlagt akut med åndenød, hoste, smerter i højre side af brystet og i højre lyske. Han blev før indlæggelsen set af sin egen læge to gange hhv. pga. smerter i højre lyske og åndenød, hvor man havde mistanke om astma og ellers så det an.

Ved indlæggelsen var patienten taledyspnøisk, takykard, normotensiv og havde en perifer iltsaturation på 97% uden ilttilskud, og 5 l ilt på næsebrille lindrede åndenøden. Underekstremiteterne var uden hævelse eller misfarvning. I den seneste tid havde han været mere stillesiddende med computerspil og hjemmeundervisning pga. COVID-19-pandemien.

Biokemiske infektionsparametre og myokardiemarkører var forhøjede. Et elektrokardiogram viste sinustakykardi med højresidigt belastningsmønster. Røntgenundersøgelse af thorax var normal. Arteriepunktur viste respiratorisk alkalose og et forhøjet laktatniveau på 2,2 mmol/l.

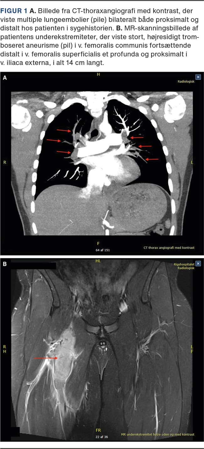
På baggrund af anamnesen og de kliniske fund havde man mistanke om LE. Koncentrationen af fibrin D-dimer var 8,7 mg/l. Torakal CT-angiografi viste multiple LE bilateralt med affektion af samtlige lungelapper (Figur 1A). En transtorakal ekkokardiografi (TTE) viste tegn på øget tryk i lungekredsløbet. Patienten blev overflyttet til en intensivafdeling til observation og sat i behandling med lavmolekylært heparin (tinzaparin 175 IE/kg).

Ultralydskanning af højre underekstremitet, udført på mistanke om dyb venetrombose (DVT), viste en trombe på 4 cm i diameter i v. femoralis communis fortsættende distalt i v. femoralis superficialis et profunda og proksimalt i v. iliaca externa. For at udelukke paraneoplastisk sygdom udførte man en MR-skanning af underekstremiteterne, som viste et 14 cm langt, højresidigt aneurisme i v. femoralis communis med massiv trombedannelse (Figur 1B).

På femte, sjette og tiende indlæggelsesdøgn havde patienten kortvarige episoder med åndenød, takykardi og iltdesaturation til 80-90%. Man havde mistanke om, at tromben stadig emboliserede. Initialt øgedes dosis af tinzaparin, men efter tredje episode besluttede man at behandle det tromboserede aneurisme kirurgisk.

Patienten blev udskrevet i velbefindende på 17.-dagen med tablet rivaroxaban, formentlig livslangt pga. risikoen for posttrombotisk syndrom og ny DVT pga. reduceret flow efter den karkirurgiske behandling i højre iliacavene. Før udskrivelse viste TTE normale forhold.

Efterfølgende trombofiliudredning viste heterozygoti for den trombosedisponerende G20210A-mutation i genet for koagulationsfaktor II, hvilket kan have været en medvirkende faktor i ætiologien til trombedannelsen. Aneurismet har sandsynligvis været den afgørende årsag til DVT. Udredning for genetiske tilstande, der disponerer til aneurismedannelse, var negativ.

Diskussion

LE-diagnosen er hos børn ofte forsinket [3]. Det kan skyldes uspecifikke, ikkeeksisterende symptomer eller symptomer, der ligner anden sygdom, samt lav klinisk mistanke [3]. Diagnosen bør overvejes, når der er risikofaktorer og symptomerne dyspnø og brystsmerter. En nylig, lignende case report fra 2018 beskriver en 12-årig dreng med debut af bilaterale, multiple LE pga. et poplitealt veneaneurisme [4]. Trods trombolyse recidiverede LE, og aneurismet blev behandlet kirurgisk. Ingen case reports om primære, venøse aneurismer i v. femoralis hos børn er blevet identificeret. Sandsynligvis har immobilisering i det aktuelle tilfælde været en medvirkende faktor til udviklingen af tromboembolierne. Størstedelen af patienter med venøse aneurismer i underekstremiteterne får recidiverende LE, hvorfor kirurgisk behandling anbefales [4]. I Danmark følges Dansk Pædiatrisk Selskabs vejledning [5]. Klinisk mistanke om LE hos børn med en forudgående periode med immobilitet er afgørende for tidlig diagnostik, behandling og overlevelse.



Korrespondance Thea Ellehammer Hansen. E-mail: theaeh94@hotmail.com, theaeh94@gmail.com
Antaget 4. november 2021
Publiceret på ugeskriftet.dk 17. januar 2022
Interessekonflikter ingen. Forfatternes ICMJE-formularer er tilgængelige sammen med artiklen på ugeskriftet.dk
Referencer findes i artiklen publiceret på ugeskriftet.dk
Artikelreference Ugeskr Læger 2022;184:V08210662

Summary

Multiple pulmonary emboli in a 15-year-old boy with a femoral venous aneurysm

Thea Ellehammer Hansen & Kaare Engell Lundstrøm

Ugeskr Læger 2022;184:V08210662

Pulmonary embolism (PE) in childhood is rare and correlated with high morbidity and mortality, and diagnosis is often delayed. This is a case report of a 15-year-old boy presenting with chest pain, dyspnoea and pain in the right inguinal region, who was found to have multiple pulmonary emboli secondary to a 14 cm long femoral venous aneurysm. Two weeks before he had seen his GP due to dyspnoea, where asthma was suspected. He was treated with low molecular weight heparin but developed recurrent PE and underwent vascular surgery. Clinical suspicion to PE is the key to a rapid diagnosis, treatment and survival.

Referencer

Referencer

  1. Carpenter SL, Richardson T, Hall M. Increasing rate of pulmonary embolism diagnosed in hospitalized children in the United States from 2001 to 2014. Blood Adv. 2018;2:1403-8.

  2. Pelland-Marcotte MC, Tucker C, Klaassen A et al. Outcomes and risk factors of massive and submassive pulmonary embolism in children: a retrospective cohort study. Lancet Haematol. 2019;6:e144-e153.

  3. Rajpurkar M, Biss T, Amankwah EK et al. Pulmonary embolism and in situ pulmonary artery thrombosis in paediatrics. A systematic review. Thromb Haemost. 2017 Jun 2;117:1199-207.

  4. George M, Ghali Z, Taylor JA et al. Popliteal venous aneurysm presenting with bilateral pulmonary thromboembolism. Vasc Endovascular Surg. 2018 May;52:287-90.

  5. Tuckiviene R, Helgestad J, Clausen N et al. Tromboser hos børn. Diagnostik og antitrombotisk behandling. Dansk Pædiatrisk Selskab, 2016.