Skip to main content

Multiple synkrone tumorer med forskellig histologi i de store spytkirtler

Reservelæge Liviu-Adelin Guldfred, overlæge Birgit Claudia Becker & 1. reservelæge Susanne Eiholm Sygehus Øst, Køge, Øre-næse-halskirurgisk Afdeling, og Sygehus Øst, Roskilde, Patologiafdeling

25. apr. 2008
5 min.

Multiple spytkirteltumorer med forskellig histologi er ekstremt sjældne. Vi omtaler en 72-årig kvinde, hvor en Warthins tumor i venstre gl. parotidea blev diagnosticeret synkront med et pleomorft adenom i den homolaterale gl. submandibularis. Så vidt vi ved, er denne kombination af histologi og lokalisation ikke tidligere blevet beskrevet. Samtidig illustrerer sygehistorien vigtigheden af minutiøs objektiv undersøgelse også efter identifikation af en enkelt tumor, da multiple primære tumorer, om end sjældent, er en diagnostisk mulighed.

Multiple synkrone tumorer med forskellig histologi i to forskellige spytkirtler er ekstremt sjældne. Vi beskriver i det følgende en sygehistorie, hvor en Warthins tumor (WT) i venstre gl. parotidea blev diagnosticeret synkront med et pleomorft adenom (PA) i den homolaterale gl. submandibularis. Trods en ekstensiv søgning har vi ikke i litteraturen kunnet finde flere beskrevne tilfælde af denne kombination af histologi og lokalisation.

Sygehistorie

En 72-årig kvinde blev henvist af en praktiserende øre-næse-halslæge til superficiel venstresidig parotidektomi pga. en formodet benign tumor i gl. parotidea. Patienten havde ca. et år forinden bemærket en knude bag venstre angulus mandibulae. Resultatet af en finnålsbiopsi (FNA) i venstre gl. parotidea hos en praktiserende øre-næse-halslæge var inkonklusivt. Patienten havde ikke tidligere fået diagnosticeret eller behandlet spytkirteltumorer.

Ved den objektive undersøgelse i sygehusregi fandt man bag venstre angulus mandibulae en 2 × 1 × 0,5 cm stor, adhærent tumor med glat overflade. Der var normal facialisfunktion og ingen asymmetri eller konsistensforskel parafaryngealt og således ikke tegn på involvering af den dybe parotislap. Som bifund fandt man i venstre gl. submandibularis en 1 × 1 × 0,5 cm stor tumor med glat overflade. Der var ingen palpable lymfeknuder på halsen. Der blev foretaget FNA fra de to beskrevne tumorer. Cytologien fra tumoren bag angulus mandibulae var overensstemmende med WT, mens den cytologiske diagnose for tumoren i gl. submandibularis var PA.

Der blev planlagt superficiel venstresidig parotidektomi med samtidig excision af venstre gl. submandibularis, hvilket forløb ukompliceret. De eneste subjektive gener otte dage postoperativt var let nedsat følesans i venstre aurikel, og objektivt var der sufficient og reaktionsløs cikatrice.

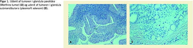
Histologien bekræftede FNA-diagnosen (Figur 1 ). I gl. parotidea fandt man mikroskopisk en tumor, der havde adenopapillære og cystiske strukturer og var beklædt med toradet onkocytært epitel. Subepitelialt blev der fundet lymfoidt væv med kimcentre. Der var ingen tegn på malignitet. I gl. submandibularis var der en tumor, som overalt var velafgrænset mod det omgivende spytkirtelvæv. Selve tumoren havde vekslende udseende med ligeligt fordelt stromal og epitelial komponent og dukter. Der fandtes ingen tegn på malignitet. Der var således tale om WT i gl. parotidea og PA i gl. submandibularis.

Diskussion

PA er den hyppigste spytkirteltumor, idet den udgør 60-70% af alle parotistumorer og ca. 90% af de benigne submandibularistumorer [1]. Navnet refererer til den histologiske fremtræden, som består af både epiteliale og mesenkymale elementer; termen er dog rent deskriptiv, da tumoren menes at have epitelial oprindelse. WT (papillær cystadenolymfom), som undertiden forekommer multipelt, findes næsten udelukkende i parotis, hvor den udgør ca. 12% af de benigne tumorer [1].

Multiple synkrone spytkirteltumorer med forskellig histologi i gl. parotidea og gl. submandibularis er yderst sjældne. I en population på 2.072 patienter med spytkirteltumorer fandt Turnbull et al kun en patient (0,05%), som havde multiple tumorer med forskellig histologi i parotis (adenokarcinomer) og submandibularis (pleomorfe adenomer) [2]. Regner man både de synkrone og de metakrone tumorer med, er der i litteraturen beskrevet 20 tilfælde af den histologiske kombination PA og WT hos samme patient; i alle tilfælde var tumorerne beliggende i gll. parotideae (enten i samme kirtel eller bilateralt) [3]. Det er interessant i denne sammenhæng at bemærke, at to (2,8%) af tilfældene stammer fra Danmark og er fundet i en serie på 72 patienter [4]. Da forekomsten af multiple spytkirteltumorer med forskellig histologi i andre større serier var meget lavere [2-5], kunne det tyde på en hyppigere forekomst af disse tumorer i Danmark, en hypotese, som kunne afklares ved gennemgang af en større serie patienter med spytkirteltumorer. Alternativt kunne tallene fra Danmark forklares ved underrapportering/underdiagnosticering af multiple spytkirteltumorer andetsteds. Vi har ikke kunnet finde flere beskrevne tilfælde af kombinationen WT i gl. parotidea og PA i gl. submandibularis, hvorfor vi mener, at dette er det først rapporterede tilfælde af denne kombination af histologi og lokalisation.

Samtidig illustrerer sygehistorien også vigtigheden af minutiøs objektiv undersøgelse også efter identifikation af en enkelt tumor, da multiple tumorer, om end sjældent, er en diagnostisk mulighed.


Liviu-Adelin Guldfred , Moserøjel 4, DK-2670 Greve. E-mail: liviu@dadlnet.dk

Antaget: 29. august 2007

Interessekonflikter: Ingen

  1. Yuan-Shin Butt F. Benign Diseases of the Salivary Glands. I: Lawani AK, red. Current Diagnosis & Treatment in Otolaryngology - Head & Neck Surgery. New York: McGraw Hill, 2004;307-24.
  2. Turnbull AD, Frazell EL. Multiple tumors of the major salivary glands. Am J Surg 1969;118:787-9.
  3. Lefor AT, Ord RA. Multiple synchronous bilateral Warthin's tumors of the parotid glands with pleomorphic adenoma. Oral Surg Oral Med Oral Pathol 1993;76:319-24.
  4. Krogdahl AS, Bretlau P, Hastrup N. Multiple tumours of the parotid gland. J Laryngol Otol 1983;97:1035-7.
  5. Main JH, Orr JA, McGurk FM et al. Salivary gland tumors: review of 643 cases. J Oral Pathol 1976;5:88-102.

Summary

Summary Multiple tumours of different histological type of the salivary glands: Ugeskr Læger 2008;170(18):1571 Multiple tumours of different histological type of the salivary glands are extremely rare. Here we report a 72-year-old woman who was diagnosed with simultaneously occurring Warthin's tumour of the left parotid and mixed tumour of the homolateral submandibular gland. To our knowledge this combination of histology and localization has not been reported previously. This case also illustrates the importance of thorough examination even after the identification of a single tumour, as multiple synchronous primary tumours - even if rare - can be a diagnostic possibility.

Referencer

  1. Yuan-Shin Butt F. Benign Diseases of the Salivary Glands. I: Lawani AK, red. Current Diagnosis & Treatment in Otolaryngology - Head & Neck Surgery. New York: McGraw Hill, 2004;307-24.
  2. Turnbull AD, Frazell EL. Multiple tumors of the major salivary glands. Am J Surg 1969;118:787-9.
  3. Lefor AT, Ord RA. Multiple synchronous bilateral Warthin's tumors of the parotid glands with pleomorphic adenoma. Oral Surg Oral Med Oral Pathol 1993;76:319-24.
  4. Krogdahl AS, Bretlau P, Hastrup N. Multiple tumours of the parotid gland. J Laryngol Otol 1983;97:1035-7.
  5. Main JH, Orr JA, McGurk FM et al. Salivary gland tumors: review of 643 cases. J Oral Pathol 1976;5:88-102.