Neuroborreliose tolket som multipel sklerose ved MR-skanning


Mario Ranjeevan1, Thor Petersen1, Sigurdur Skarphédinsson2 & Henrik Boye Jensen3
En dansk opgørelse af 431 patienter med neuroborreliose fra 2017 viste, at middelincidensen af Lyme-neuroborreliose (LNB) var 4,7 pr. 100.000 indbyggere pr. år på Fyn. De mest almindelige, kliniske symptomer var smertefuld radikulitis (66%), kranienerveparese (43%) og hovedpine (28%). Undersøgelsen viste uændret forsinkelse fra debutsymptom til diagnosticering gennem 20 år [1]. Sikker diagnose af LNB kræver neurologiske symptomer forenelige hermed, lymfocytær pleocytose i spinalvæsken og intratekal Borrelia burgdorferi-specifik immunglobulin (Ig) G- og/eller IgM-antistofsyntese.
Udredning for multipel sklerose (MS) foretages efter et symptom, som tiltager over timer til dage og varer i flere uger, hvorefter det som regel langsomt forsvinder. Disse symptomer opstår som regel hos yngre voksne, og typisk er de relateret til opticusneuritis, cerebellart syndrom, rygmarvssyndrom eller hjernestammesyndrom. Symptomet skal således være lokaliseret i centralnervesystemet (CNS) og vare i mindst 24 timer, og patienten må ikke være febril. Et sådant symptom tillader at stille diagnosen MS, hvis MR-skanning af CNS viser disseminering i rum, og der er oligoklonale bånd i cerebrospinalvæsken (CSV) [2].
Vi beskriver i denne artikel en patient, der opfyldte kriterierne for begge diagnoser, og foretager et review over MR-skanningsforandringer ved LNB.
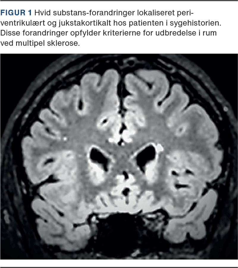
En 27-årig mand, tidligere rask, blev henvist i november 2021 på grund af tiltagende hovedpine. Han relaterede hovedpinen til et mindre hovedtraume under boldspil i juli 2021. Ved anamneseoptagelsen fremgik det dog, at hovedpinen opstod en uge efter hovedtraumet, som ikke var forbundet med bevidsthedspåvirkning. Samtidig kom det frem, at patienten havde deltaget i et overlevelseskursus en måned før, men han huskede ikke at have observeret hudforandringer. Han oplevede dobbeltsyn ved blik ligefrem, havde intermitterende svimmelhed, vedvarende lysfølsomhed og paræstesier i fingrene samt generelt nedsat energiniveau. Undersøgelserne viste latent udadskelen og indskrænket indaddrejning af øjnene. MR-skanning af cerebrum i april 2022 viste jukstakortikale og periventrikulære læsioner (Figur 1).
På mistanke om MS blev der foretaget spinalvæskeundersøgelse i maj 2022, som viste otte mononukleære celler, forhøjet IgG-indeks og oligoklonale bånd. Endelig fandtes positivt, intratekalt Borrelia-antistofindeks. Patienten startede behandling med doxycyclin 200 mg dagligt i tre uger. Ved opfølgning efter 12 måneder anførte han betydelig bedring af hovedpinen og tydelig mindskning af lysoverfølsomheden, men fortsat påvirkning af livskvaliteten, da han ofte måtte selektere i, hvad han kunne overkomme. Hukommelsen var god, men der var fortsat koncentrationsbesvær. Øjenlægeundersøgelse i juni 2023 viste helt normale forhold. Kontrol-MR-skanninger viste uændrede forhold i september 2022 og i september 2023.
Denne sygehistorie viser, at selv en meget lille stigning i antal mononukleære celler i CSV kan ses ved LNB. I ovennævnte danske opgørelse fandtes normalt celletal i CSV hos omkring 11% af patienterne med LNB [1]. Dette gjorde, at behandlingstiden blev forsinket, og dermed var der øget risiko for vedvarende symptomer. Med til forsinkelsen ved aktuelle patient var, at han hørte med til både de omkring 80%, der ikke husker et udslæt, og de mere end 60%, som ikke husker nogensinde at være blevet bidt af en flåt.
Ved søgning i PubMed fandt vi syv kasuistikker, som beskrev jukstakortikale læsioner, periventrikulære læsioner, hjernestammelæsioner og rygmarvslæsioner i relation til LNB. Disse forandringer var forbundet med de ovenfor beskrevne symptomer, men også med symptomer på synsnervebetændelse [3]. I en af artiklerne skelnede man LNB-forandringerne fra MS-forandringer ved speciel MR-skanningsteknik [4]. Demyeliniserende forandringer periventrikulært ved LNB blev også fundet histologisk [5]. Dette støtter en sekundær, autoimmun reaktion, som er en af de patogenetiske hypoteser ved MS.
Yderligere 15 kasuistikker beskrev MR-skanningsforandringer ved LNB i form af opladning i kranienerver, meningoencefalitis, meningoradikulitis, encefalitis, vaskulitis og tumorlignende forandringer.
Vi må således konkludere, at der ved MR-skanning kan være overlap mellem LNB og MS, men større, prospektive case-kontrol-studier er nødvendige for bedre at belyse forandringer ved LNB. Ved mindste mistanke om LNB skal der foretages lumbalpunktur, og normalt celletal i spinalvæsken afkræfter ikke LNB.
Korrespondance Thor Petersen. E-mail: Thor.Petersen@rsyd.dk
Antaget 20. februar 2024
Publiceret på ugeskriftet.dk 25. marts 2024
Interessekonflikter Der er anført potentielle interessekonflikter. Forfatternes ICMJE-formularer er tilgængelige sammen med artiklen på ugeskriftet.dk
Referencer findes i artiklen publiceret på ugeskriftet.dk
Artikelreference Ugeskr Læger 2024;186:V11230744.
doi 10.61409/V11230744
Open Access under Creative Commons License CC BY-NC-ND 4.0
Lyme neuroborreliosis (LNB) is the most prevalent nervous system bacterial infection in Denmark. In a young man with LNB, brain MRI and cerebrospinal fluid (CSF) demonstrated findings compatible with multiple sclerosis. This case report underlines the requirement for testing for intrathecal Borrelia antibody production when the number of cells in the CSF is low or even normal. It also demonstrates the unchanged diagnostic delay of NBL observed during the last 20 years.