Neuroendocrine cell hyperplasia of infancy


Amine Abdullah-Roskjær1, Giedre Bøttcher1 & Elisabeth Søgaard Christiansen2
Neuroendocrine cell hyperplasia of infancy (NEHI) er en diffus lungesygdom, som forekommer blandt mature spædbørn. Den er karakteriseret ved persisterende takypnø, indtrækninger, hypoxæmi og dårlig trivsel. Ved NEHI ses en øget forekomst af neuroendokrine celler i de alveolære ducti og bronkiolevæggene, og man formoder, at dette spiller en rolle i patogenesen [1].
Forekomsten af NEHI er ikke kendt, men det anses for at være en sjælden lungesygdom. Sygdommen forekommer blandt spædbørn i alderen 0-2 år, og undersøgelser har vist en mindre overvægt hos drenge [2].
Ætiologien til NEHI kendes endnu ikke, men mutation i NKX2.1 er beskrevet i familier med ophobning af NEHI [3].
Behandling af NEHI er støttende og individualiseres afhængigt af barnets symptomer. Nogle børn profiterer af intermitterende continuous positive airway pressure (CPAP) eller ilt via high-flow næsekateter, mens andre har minimale behov. Inhalationssteroider (ICS) og antibiotika anvendes selektivt og bør ordineres af børnepulmonologer.
NEHI har en god prognose, og man formoder, at de fleste børn vil vokse sig fra respiratorisk støtte inden skolealderen, men længere varighed er også beskrevet [4].
NEHI er en sygdom, som kan forveksles med svær småbarnsastma, og den er ofte underdiagnosticeret [1]. Vi beretter følgende sygehistorie for at øge opmærksomheden på diagnosen NEHI og gøre den lettere at genkende.
SYGEHISTORIER
I
En fire måneder gammel matur pige, som var kendt med dårlig trivsel og indtrækninger siden halvandenmånedersalderen, blev indlagt med takypnø og indtrækninger. Behandling med astmamedicin havde været uden effekt.
Ved ankomst havde pigen en høj respirationsfrekvens og moderate indtrækninger, men var afebril, ikke cyanotisk og ellers alment upåvirket. Blodprøver og ekkokardiografi var normale. Der blev foretaget røntgen af thorax, som viste højresidige infiltrater. High-resolution-CT (HRCT) viste centrale matglasforandringer.
Under indlæggelsen desaturerede hun til under 80% under søvn, og iltbehandling blev iværksat med god effekt på respirationsfrekvens og indtrækninger. Der blev etableret hjemmeilt. Ved followup efter seks måneder havde hun fortsat lette indtrækninger og behov for respiratorisk støtte under søvn, men var i bedre trivsel og alderssvarende i udvikling.
II
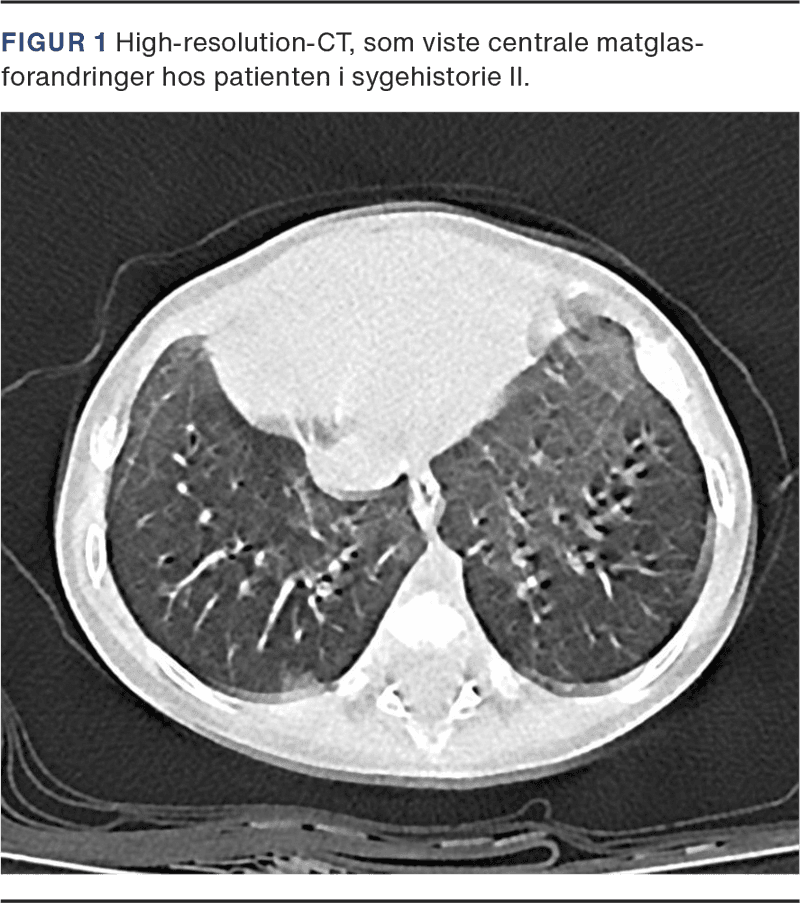
En fem uger gammel matur pige blev indlagt med bronkiolitis, fik behandling med nasal continuous positive airway pressure (N-CPAP) og blev udskrevet efter en uge. Hun blev senere indlagt to gange med bakteriel pneumoni. Røntgen af thorax viste spredte infiltrater og atelektase, som blev behandlet med PEP-maske. Efterfølgende henvendte familien sig gentagende gange, da pigen havde persisterende takypnø og indtrækninger, men var ellers afebril og uden infektionstegn. Der blev målt lav saturation under søvn, og astmamedicin blev givet uden effekt. HRCT viste spredte matglasforandringer bilateralt (Figur 1).
Ved followup efter seks måneder havde pigen lette indtrækninger og normal stetoskopi af lungerne, men havde fortsat behov for respiratorisk støtte under søvn. Hun var i bedre trivsel og alderssvarende i sin udvikling.
Patienterne i sygehistorierne havde symptomer med debut få uger efter fødslen, og symptomerne persisterede i flere måneder uden bedring. NEHI er en sjælden sygdom, og derfor er der ofte en vis forsinkelse i diagnosen. Den persisterende takypnø, konstante indtrækninger og lav saturation uden infektionssygdom skal give anledning til yderligere undersøgelser.
Differentialdiagnostisk er andre interstitielle lungesygdomme som surfaktant dysfunktion mutation nærliggende, hvor man typisk ser symptomer umiddelbart efter fødslen med akut respirationsbesvær, mens NEHI præsenterer sig som persisterende, men ikke nødvendigvis akut respirationsbesvær, som debuterer senere.
Begge børn fik foretaget genetiske undersøgelser for primær ciliedyskinesi, cystisk fibrose og interstitielle lungesygdomme, og alle genetiske analyser var normale.
Efter at mere almindelige årsager var udelukket, opstod mistanke om NEHI, og der blev foretaget HRCT af lungerne. I begge tilfælde viste HRCT centrale matglasforandringer.
Diagnosen NEHI baseres primært på kliniske symptomer og karakteristiske fund ved HRCT. Brugen af lungebiopsi er blevet mindre almindelig og varierer mellem lande [5].
Børn, hvor man har mistanke om NEHI, bør vurderes af børnepulmonologer i højtspecialiseret regi. Såfremt diagnosen er usikker, og symptomerne persisterer, bør barnet yderligere udredes med eventuel lungebiopsi og individualiseret behandling.
Korrespondance Amine Abdullah-Roskjær. E-mail: Amine.Jamal.Abdullah@rsyd.dk
Antaget 11. juni 2025
Publiceret på ugeskriftet.dk 1. september 2025
Interessekonflikter ingen. Alle forfattere har indsendt ICMJE Form for Disclosure of Potential Conflicts of Interest. Disse er tilgængelige sammen med artiklen på ugeskriftet.dk.
Referencer findes i artiklen publiceret på ugeskriftet.dk
Artikelreference Ugeskr Læger 2025;187:V05250379
doi 10.61409/V05250379
Open Access under Creative Commons License CC BY-NC-ND 4.0
This case report describes two infants with persistent tachypnea, retractions, hypoxemia during sleep, and failure to thrive. After excluding common causes, high-resolution CT revealed ground-glass opacities in the lingula and perihilar regions. The infants were diagnosed with NEHI, and their treatment was mainly supportive. The prognosis of NEHI is typically of gradual improvement. The cases highlight the need for accurate diagnosis, individual treatment, and referral to highly specialized pediatric pulmonology centers. Lung biopsy should be considered in uncertain or prolonged cases.