Aktuelt
Nye behandlingsmuligheder ved posttrombotisk syndrom

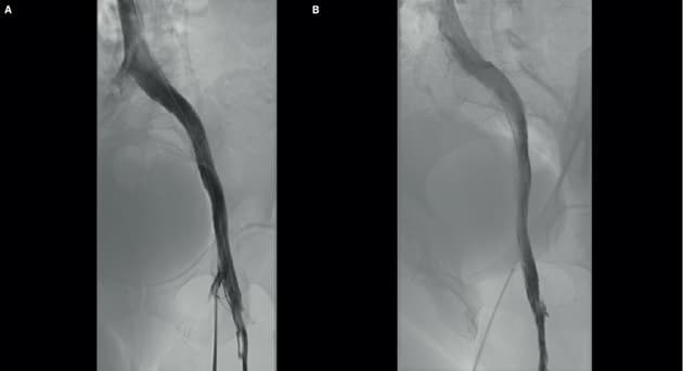
Digital subtraktoinsflebografi. (Ugeskr Læger 2021;183:V01210067)
9. jul. 2021
1 min.

Posttrombotisk syndrom forekommer hyppigt efter dyb venetrombose og kan være årsagen til smerter, hudforandringer og sår. Artiklen af Schmidt et al gennemgår patofysiologien, diagnostikken og behandlingen med fokus på endovaskulær behandling som ballondilatation og stentning. Forfatterne konkluderer, at stentning af bækkenvenerne medfører signifikant symptomlindring og bedre heling af venøse sår.
Læs statusartikel
Posttrombotisk syndrom og endovaskulær behandling
Jens-Ove Schmidt, Marie Hvid Ipsen, Nicolaj Eldrup & Niels Bækgaard