Skip to main content

Nye molekylære markører ved de kroniske myeloproliferative sygdomme

Læge Thomas Stauffer Larsen, ledende molekylærbiolog Niels Pallisgaard, læge Jacob Haaber Christensen, overlæge Paul Gram-Hansen, overlæge Gitte B. Kerndrup, afdelingslæge Michael Boe Møller & professor Hans Carl Hasselbalch Odense Universitetshospital, Patologisk Institut og Hæmatologisk Afdeling X

16. okt. 2006
16 min.

Polycythaemia rubra vera (PRV-1) er en ny molekylær markør ved de Philadelphianegative kroniske myeloproliferative sygdomme - essentiel trombocytose (ET), polycythaemia vera (PV) og idiopatisk myelofibrose (IMF). Markøren kan anvendes til med høj sensitivitet og specificitet at differentiere mellem PV og de sekundære erytrocytoser, ligesom man med PRV -1-analysen tilsyneladende kan finde de PV-patienter, som tidligt i sygdomsforløbet alene har trombocytose i forklædningen af ET. Disse PRV-1 -positive ET-patienters lidelse kan opfattes som »maskeret« PV - eller mere korrekt - tidlig PV. Endvidere synes der at være en sammenhæng mellem PRV-1 -positivitet og høj risiko for tromboemboliske komplikationer ved ET. PRV-1 's biologiske rolle er fortsat ukendt, ligesom betydningen af PRV-1 -genekspressionsændringer under cytoreduktiv behandling er uafklaret.

De kroniske myeloproliferative sygdomme består ifølge den nye WHO-klassifikation ikke kun af kronisk myeloid leukæmi (CML), essentiel trombocytose (ET), polycythaemia vera (PV) og idiopatisk myelofibrose (IMF), men også af kronisk neutrofil leukæmi, kronisk eosinofil leukæmi, det hypereosinofile syndrom og en uklassificerbar gruppe [1]. Sygdommene er erhvervede klonale stamcellesygdomme, karakteriseret ved klonal myeloproliferation med bevaret differentiering og opmodning. Splenomegali forekommer ofte ved især IMF som følge af ekstramedullær hæmatopoiese (myeloid metaplasi). Et andet fælles karakteristikum er risikoen for tiltagende klonal evolution og progression mod knoglemarvsinsufficiens med baggrund i defekt hæmatopoiese og myelofibrose og ultimativt udvikling af den akutte blastkrise, som fænotypisk næsten altid er akut myeloid leukæmi (AML).

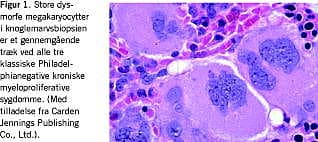
Diagnostikken af de »klassiske« kroniske myeloproliferative sygdomme (PV, IMF, ET, CML) er kompliceret af betydelige overlap i de kliniske, biokemiske og histopatologiske fund. Således ses varierende leuko- og trombocytose næsten altid. I knoglemarven er der en øget forekomst af abnorme megakaryocytter (Figur 1 ), og sekundære stromaforandringer i form af en øget bindevævsdannelse samt karnydannelse (neoangiogenese) er særlig karakteristisk. Dertil kommer, at PV og ET undertiden kan være vanskelige at skelne fra de sekundære/reaktive erytro/trombocytoser. Mens CML er en veldefineret sygdom kendetegnet ved forekomsten af Philadelphiakromosomet (translokation t(9;22)), har de tre øvrige myeloproliferative sygdomme (ET, PV og IMF) ingen specifikke kromosomabnormiteter. Selv om kromosomforandringer også ses ved ET (ca. 5-10%) og IMF (op til 60%), indgår en abnorm karyotype kun som selvstændigt diagnostisk kriterium ved PV [2], hvor det mest konsistente fund er den egenskab ved de hæmatopoietiske progenitorcellers, at de kan proliferere i et medium uden eksogent erytropoietin (EPO) [3]. Dette fænomen er benævnt endogene erytroide kolonier (EEC) og kan også ses hos en subgruppe af ET- og IMF-patienter [4, 5].

I de senere år er der identificeret flere molekylære markører, som forventes at kunne bidrage til den diagnostiske klassifikation af de Philadelphianegative kroniske myeloproliferative sygdomme. Således er det fundet, at trombocytter og megakaryocytter fra PV-patienter har nedsat membranekspression af trombopoietinreceptoren c-Mpl [6, 7]. Markørens specificitet og sensitivitet i differentialdiagnostikken mellem de kroniske myeloproliferative sygdomme og reaktive tilstande er ikke endeligt fastlagt. Større prospektive undersøgelser er derfor nødvendige for at afklare c-Mpl's rolle som eventuel diagnostisk markør for de Philadelphianegative kroniske myeloproliferative sygdomme.

I denne artikel beskrives den nye molekylære markør - PRV-1 -genet - ved PV og beslægtede sygdomme, idet hovedvægten er lagt på undersøgelsens værdi i diagnostisk og prognostisk henseende. Andetsteds vil blive beskrevet en netop identificeret molekylær markør - Janus tyrosinkinease (JAK2) -mutationen - ved de Philadelphianegative kroniske myeloproliferative sygdomme [8].

Polycythaemia rubra vera 1-genet

I 2000 blev der identificeret og klonet et helt nyt gen, Polycythaemia rubra vera 1 , PRV-1 [9]. I et forsøg på at afdække molekylærpatogenetiske mekanismer hos PV-patienter, fandt man ved hjælp af subtraktiv hybridisering mRNA fra et hidtil ubeskrevet gen. Dette blev fundet væsentligt opreguleret i oprensede granulocytter fra perifert blod fra 19 ud af 19 PV-patienter sammenlignet med 21 ud af 21 raske kontrolpersoner og et antal øvrige patienter med myeloproliferative lidelser (CML og AML) samt sekundær erytrocytose [9]. Man fandt også, at PRV-1 var opreguleret hos en ud af en med IMF og to ud af seks patienter med ET. Ved hjælp af immunhistokemi med et PRV-1 -antistof viste man, at PRV-1 blev udtrykt i myeloide celler i knoglemarven og i diskrete mængder i føtalt levervæv, men ikke i nonhæmatopoietisk væv. For at undersøge, om PRV-1 -ekspressionen kunne korreleres til myeloid hyperproliferation stimulerede man raske frivillige personer med granulocytkolonistimulerende faktor (G-CSF), hvilket medførte kraftig opregulering af PRV-1 -ekspressionen i granulocytterne [9].

PRV-1 -genet er lokaliseret på kromosom 19q13.1.2-2. Man har ikke kunnet påvise strukturelt genrearrangement (deletioner, amplifikationer) som årsag til overekspressionen [10, 11]. Genet koder for et transmembrant protein bestående af 437 aminosyrer, som er beslægtet med uPAR/Ly6/CD59-receptor-superfamilien. Proteinets funktion er ukendt, men er karakteriseret som en ny membranreceptor på myeloide hæmatopoietiske celler. uPAR-recep torfamilien er karakteriseret ved at være glykosylerede proteiner i den ydre cellemembran uden et transmembrant segment eller cytoplasmatisk domæne. Der er tale om receptorer, som ingår i intracellulær signaltransduktion [9]. Aminosyresekvensen af neutrofilantigenet NB-1 gp , også benævnt HNA-2a, som har været kendt længe, og som menes at spille en rolle i immunmedieret neonatal neutropeni og transfusionsreaktioner, har vist sig at være næsten identisk med PRV-1-sekvensen med undtagelse af kun få aminosyrer. PRV-1 og NB-1 menes således at være to alleler af samme gen, hvis produkt også identificeres som CD177 [9, 10, 12, 13]. CD177 eller NB-1 gp udtrykkes kun i en subpopulation (45-68%) af et individs neutrofile granulocytter. Ekspressionen er fundet at være højere hos kvinder end hos mænd [12]. CD177-ekspressionen bestemt ved flowcytometri er fundet at være betydeligt opreguleret ved PV, alvorlige sepsistilstande og hos raske kontrolpersoner, der bliver stimuleret med G-CSF med en signifikant korrelation mellem CD177-proteinet i cellemembranen bestemt ved flowcytometri og PRV-1 -mRNA-niveauet bestemt ved kvantitativ realtid (qRT)-polymerasekædereaktion (PCR) [14]. Andre har ikke kunnet påvise en øget mængde af PRV-1 -proteinet på overfladen af de cirkulerende neutrofile granulocytter til trods for højt PRV-1 -mRNA-niveau, sandsynligvis fordi CD177 afstødes fra cellemembranen til blodbanen [10]. PRV-1 -ekspressionen er også undersøgt på knoglemarvens myeloide hæmatopoietiske celler hos patienter med kroniske myeloproliferative lidelser (CML, IMF, ET og PV) og hos patienter med reaktive hyperplasier i erytropoiesen og trombopoiesen.

PRV-1 -ekspressionen fandtes øget hos alle, men der var signifikant mindre spredning i PV-gruppen end hos patienter med de andre hæmatologiske neoplasier og reaktive tilstande. Relativ PRV-1 -overekspression fandtes altså ikke specifik i knoglemarven, måske som udtryk for, at PRV-1 -overekspressionen i perifere granulocytter snarere skyldes manglende nedregulering af PRV-1 i de fra knoglemarven emigrerende granulocytter [15].

PRV-1 som diagnostisk markør

Differentialdiagnostikken mellem PV og sekundær erytrocytose kan være vanskelig. Serum (S)-EPO er oftest forhøjet ved de sekundære erytrocytoser, mens man finder relativt nedsat S-EPO-koncentration hos PV-patienter [16]. Endvidere kan stamceller fra PV-patienter som tidligere nævnt danne EEC i et medium uden EPO. Denne evne til proliferation uden vækstfaktoren EPO er meget specifik, men analysen har trods et kommercielt tilgængeligt assay ikke fundet større klinisk anvendelse.

Ved hjælp af qRT-PCR er det muligt at kvantificere PRV-1 -ekspressionen med meget høj sensitivitet og specificitet. PRV-1 -ekspressionen er fundet at være signifikant højere i granulocytter fra PV-patienter end hos raske personer eller patienter med sekundær erytrocytose [5, 9, 17-20]. PRV-1 -ekspressionen er også øget hos en subgruppe af ET-patienter (2-67%) [5, 9, 19, 21, 24, 25] og hos ca. 40% af patienterne med IMF [21]. I enkelte arbejder har man fundet PRV-1 -overekspression hos alle ET-patienter og normal PRV-1 -ekspression hos patienter med reaktiv trombocytose og sekundær erytrocytose [18, 20]. PCR-metoden var i den ene undersøgelse kun semikvantitativ og dermed ikke så sensitiv som qRT-PCR [18]. I den anden undersøgelse var der analyseret ufraktionerede leukocytter frem for oprensede neutrofile granulocytter [20]. Overekspression af PRV-1 -genet er således ikke specifik for PV, men kan ses i alle sygdomsgrupper inden for det kroniske myeloproliferative syndrom [21-23) og også hos patienter med det myelodysplastiske syndrom [21]. Genets overekspression ved disse tilstande afspejler således måske primært produktionen og frisætningen af neutrofile granulocytter fra knoglemarven [22, 23]. Hos patienter med sekundær erytro- eller trombocytose er fundet normal [5, 18-20] eller forhøjet ekspression af PRV-1 -genet [22, 23].

PRV-1 -ekspressionen korrelerer til dannelsen af EEC [5, 9, 27], og herudfra kan man prædiktere udviklingen af PV fra essentiel trombocytose [4]. Således fandt man, at i en kohorte på 30 ET-patienter var 15 PRV-1 -positive, og alle dannede EEC, mens dette ikke var tilfældet hos de PRV-1 -negative ET-patienter. Hos seks af patienterne udvikledes der senere PV, og alle var PRV-1 /EEC-positive. De resterende ni patienter i den positive gruppe vedblev ligesom de 15 PRV-1 /EEC-negative patienter med at have stabil sygdom, mens signifikant flere tromboemboliske episoder blev registreret i den PRV-1 /EEC-positive gruppe. Det er således sandsynligt, at PRV-1 -positive ET-patienter udgør en patofysiologisk, molekylært og prognostisk selvstændig subgruppe, som senere vil få PV [26]. Tilsvarende udgør de PRV-1 -positive »IMF«-patienter (ca. 67%) [28] måske en gruppe af PV-patienter med et tidligere subklinisk sygdomsforløb, hvor det postpolycytæmiske myelofibrosestadium er det første tegn på sygdommen.

PRV-1 som prognostisk markør

Trombohæmoragiske komplikationer forekommer hyppigt hos patienter med ET og PV og bidrager væsentligt til morbiditet og mortalitet i denne sygdomsgruppe. Det er ikke muligt ud fra klinisk fænotype, leuko- eller trombocyttal at forudsige risikoen for trombose i forløbet. Flere undersøgelser har vist, at PRV-1-positivitet ved ET indebærer en øget risiko for trombose og også for senere udvikling af PV [25, 26]. I samme patientgruppe er der på diagnosetidspunktet fundet en signifikant korrelation mellem PRV-1-positivitet og lave plasma-EPO-koncentrationer. Subnormale plasma-erytropoietin-værdier hos patienter med ET er påvist at være en uafhængig risikofaktor for tromboembolisk sygdom [29]. Disse fund tyder på, at PRV-1 -positivitet hos patienter med ET kan være en prognostisk markør for senere udvikling af tromboembolisk sygdom og PV, hvor PRV-1 -positive ET-patienter med lav endogen S-EPO repræsenterer en tidlig fase af PV [30].

Essentiel trombocytose er således en meget heterogen sygdomsgruppe, som består af tidlig præfibrotisk IMF, tidlig PV og genuin ET. Kun halvdelen af patienterne med genuin ET vil have monoklonal sygdom, som - sammenlignet med polyklonal ET - er forbundet med en høj risiko for tromboemboliske komplikationer [29, 31]. Sidstnævnte relation er blevet bekræftet i en nylig publiceret undersøgelse, hvori man dog ikke kunne påvise sammenhæng mellem PRV-1 -positivitet, EEC og en øget risiko for trombose [32].

PRV-1 som markør for behandlingseffekt

Ændringer i PRV-1 -ekspressionen som følge af behandling er kun bes krevet i få arbejder [33-35]. De højeste værdier er fundet hos patienter behandlet med venesectio og/eller hydroxyurea, hvor der tidligt (1-4 måneder) efter påbegyndelse af behandling af PV- og ET-patienter med hydroxyurea er registreret en opregulering af PRV-1 [34], mens reduktion og eventuel normalisering af PRV-1 -ekspressionen kan ses efter ca. et halvt års behandling med alpha-interferon (IFN) (33, 35). Det er uafklaret, om normaliseringen af PRV-1 -niveauet under IFN-behandling også ledsages af elimination/suppression af en eventuel cytogenetisk markør for den maligne klon [5]. En mulig forklaring på det heterogene behandlingsrespons skal sandsynligvis findes i de forskellige virkemåder på myelopoiesen og en måske langsommere indsættende nedregulerende effekt på PRV-1 -ekspressionen.

Diskussion

PRV-1 bestemt ved qRT-PCR er en ny molekylær markør for PV og beslægtede sygdomme. De divergerende resultater med hensyn til analysens specificitet og sensitivitet inden for det kroniske myeloproliferative sygdomsspektrum og i afgrænsningen over for sekundær polyglobuli og reaktive leuko- og trombocytoser kan bl.a. forklares ud fra forskelle i de anvendte metoder. Der er tale om et meget følsomt assay, hvor faktorer som RNA-instabilitet, valg af PCR-primere og valg af referencegener har stor betydning for resultatet [36, 37]. Det undersøgte materiales art (celletype, fuldblod m.m.) og fastsættelse af reference- og skæringsværdier har ligeledes betydning for tolkningen af undersøgelsesresultatet. Andre årsager til forskellene i PRV-1 -ekspressionen mellem studierne inden for de kroniske myeloproliferative sygdomme kan være forskelle mellem studierne i valget af diagnostiske kriterier, en betydelig variation i sygdomsvarighed, behandling på prøvetidspunktet og tidligere behandling, herunder også behandling med busulphan eller IFN, hvor blodværdierne kan være normale i mange måneder efter behandlingsophør. Det er således uafklaret, om busulphan ligesom IFN kan reducere eller normalisere PRV-1 -ekspressionen.

Den heterogene ekspression af PRV-1 blandt de kroniske myeloproliferative sygdomme kunne også være reel og således afspejle et patogenetisk og patofysiologisk fællesskab, JAK2 -mutationen, som definerer nye subgrupper af de kroniske myeloproliferative sygdomme [40] og beskrives nærmere andetsteds [8]. Et eksempel på sådanne nye subgrupper kunne være de PRV-1 -positive »ET«-patienter, hvor PRV-1 -analysen sandsynligvis kan anvendes, når man ønsker at finde de patienter, som senere får PV. Denne information er vigtig at indhente i det tidlige forløb af ET, idet disse patienter formentlig har en øget tromboserisiko, måske fordi deres hæmatokrit ikke monitoreres optimalt, og en stigende hæmatokritværdi og stigende leuko- eller trombocyttal derfor ikke tidligt korrigeres. Et andet eksempel er de PRV-1 -positive »IMF«-patienter, som måske udgør en subgruppe af PV-patienter med et tidligere indolent forløb uden udvikling af markant symptomgivende pancytose, hvorfor de diagnostiseres som havende »IMF« i stedet for postpolycytæmisk myelofibrose. Det er velkendt, at sidstnævnte patientgruppe har en dårligere prognose end patientgruppen med genuin IMF - en sammenhæng, som foreløbig understøttes af den tilsyneladende dårlige prognose for PRV-1 -positive »IMF«-patienter [28]. Hvis resultaterne af prospektive undersøgelser bekræfter, at PRV-1 -overekspression ved ET er forbundet med en øget risiko for tromboembolisk sygdom og senere udvikling af PV, samt at PRV-1 -overekspression ved IMF indebærer en dårlig prognose, ville en rationel behandling umiddelbart indebære et forsøg på at normalisere PRV-1 -ekspressionen. Dette er indtil videre kun vist med alpha-interferon, mens hydroxyurea i hvert fald tidligt i behandlingsforløbet er ledsaget af en opregulering af PRV-1 , som således skulle disponere til en øget tromboserisiko. Sidstnævnte samstemmer ikke med resultaterne af flere store kliniske studier, hvori man har vist, at hydroxyurea signifikant reducerer risikoen for arteriel trombose hos patienter med ET [38, 39]. Det er uafklaret, om hydroxyurea senere i behandlingsforløbet er ledsaget af en nedregulering af PRV-1 -genet. Yderligere undersøgelser af den biologiske betydning af PRV-1/CD177 er således påkrævet, herunder også undersøgelser af den mulige patogenetiske sammenhæng mellem PRV-1 -genets opregulering og en øget tromboserisiko samt effekten af cytoreduktiv behandling herpå ved de Philadelphianegative myeloproliferative sygdomme. Foreløbigt tyder det på, at analysen kan anvendes til monitorering af den molekylærbiologiske effekt af alpha-interferon-behandling [33, 35].

Sammenfattende er PRV-1 -genekspressionen bestemt ved qRT-PCR på leukocytter (granulocytter eller mononukleære celler) isoleret fra en blodprøve et vigtigt nyt diagnostisk redskab til differentiering mellem de sekundære polycytæmier og klassisk PV. Den kvantitative analysemetode er karakteriseret ved en meget høj sensitivitet og specificitet. Kun ved hjælp af prospektive studier med konsekutive PRV-1 -analyser i sygdomsforløbet kan man afklare, om PRV-1 kan anvendes til subklassifikation af de kroniske myeloproliferative sygdomme samt som markør for behandlingsrespons og prognose.


Thomas Stauffer Larsen , Hæmatologisk Afdeling X, Odense Universitetshospital, DK-Odense C. E-mail: thomas.stauffer.larsen@ouh.fyns-amt.dk

Antaget: 15. august 2005

Interessekonflikter: Ingen angivet

Summary

Summary New molecular markers within the chronic myeloproliferative disorders. I: The PRV-1 gene Ugeskr Læger 2006;168(39):3295-3299 PRV-1 is a new molecular marker within the Ph-negative chronic myeloproliferative disorders. PRV-1 is a useful, highly sensitive and specific marker in the differentiation between polycythaemia vera (PV) and secondary erythrocytosis (ET), and seems to identify those PV patients presenting in the early phase of the disease with dominating thrombocytosis and thus a clinical phenotype of ET. These PRV-1 positive ET patients can be regarded as having ``masked'' PV or, more accurately, as having early PV. Moreover, PRV-1 positivity may be associated with a particular risk of thromboembolic complications. The biological role of PRV-1 and the significance of alterations in PRV-1 gene expression levels during treatment remain to be clarified.

Referencer

  1. WHO. Tumors of the hemopoietic and lymphoid tissues. Geneve: WHO, 2001.
  2. Murphy S. Diagnostic criteria and prognosis in polycythemia vera and essential thrombocythemia. Semin Hematol 1999;36:9-13.
  3. Weinberg RS. In vitro erythropoiesis in polycythemia vera and other chronic myeloproliferative disorders. Semin Hematol 1997;34:64-69.
  4. Shih L-Y, Lee C-T. Identification of masked polycythemia vera from patients with idiopathic marked thrombocytosis by endogeneous erythroid colony assay. Blood 1994;83:744-8.
  5. Liu E, Jelinek J, Pastore YD et al. Discrimination of polycythemias and thrombocytoses by novel, simple, accurate clonality assays and comparison with PRV-1 expression and BFU-E response to erythropoietin. Blood 2003;101:3294-301.
  6. Moliterno AR, Hankins WD, Spivak JL. Impaired expression of the thrombopoietin receptor by platelets from patients with polycythemia vera. N Engl J Med 1998;338:572-80.
  7. Tefferi A, Yoon SY, Li CY. Immunohistochemical staining for megakaryocyte c-mpl may complement morphological distinction between polycythemia vera and secondary erythrocytosis. Blood 2000;96:771-2.
  8. Larsen TS, Pallisgaard N, Christensen JH et al. Nye molekylære markører ved de kroniske myeloproliefrative sygdomme. II. JAK2-mutationen. Ugeskr Læger 2006;168:3299-303.
  9. Temerinac S, Klippel S, Strunck E et al. Cloning of PRV-1, a novel member of the uPAR receptor superfamily, which is overexpressed in polycythemia rubra vera. Blood 2000;95:2569-76.
  10. Klippel S, Strunck E, Busse CE et al. Biochemical characterization of PRV-1, a novel hematopoietic cell surface receptor, which is overexpressed in polycythemia rubra vera. Blood 2002;100:2441-8.
  11. Najfeld V, Fuchs S, Merando P et al. Fluorescense in situ hybridization analysis of the PRV-1 gene in polycythyemia vera: Implications for its role in the diagnosis and pathogenesis. Exp Hematol 2003;31:118-21.
  12. Stroncek DF, Carrucio L, Bettinotti M. CD177: A member of the Ly-6 gene superfamily involved with neutrophil proliferation and polycythemia vera. J Trans Med 2004;2,8.
  13. Kissel K, Santoso S, Hoffman C et al. Molecular basis of the neutrophil glycoprotein NB1 (CD177) involved in the pathogenesis of immune neutrpenias and transfusion reactions. Eur J Immunol 2001;31:1301-9.
  14. Göhring K, Wolff W, Doppl K et al. Neutrophil CD177 (NB1 gp, HNA-2a) expression is increased in severe bacterial infections and polycythemia vera. Br J Haematol 2004;126:252-4.
  15. Bock O, Serinsöz E, Neusch M et al. The polycythemia rubra vera-1 gene is constitutively expressed by bone marrow cells and does not discriminate polycythemia vera from reactive and other chronic myeloproliferative disorders. Br J Haematol 2003;123: 472-4.
  16. Mossuz P, Giridon F, Donnard M et al. Dagnostic value of serum erythropoietin level in patients with absolute erythrocytosis. Haematologica 2004; 89:1194-8.
  17. Klippel S, Strunck E, Temerinac S et al. Quantification of PRV-1 mRNA distinguishes polycythemia vera from secondary erythrocytosis. Blood 2003;102:3569-74.
  18. Teofili L, Martini M, Luongo M et al. Overexpression of polycythemia rubra vera-1 gene in essential thrombocythemia. J Clin Oncol 2002;20:4249-54.
  19. Ricksten A, Palmqvist L, Wasslavik C et al. High PRV-1 mRNAExpression, a diagnostic marker for polycythemia vera. Blood 2002;100:3156.
  20. Cilloni D, Carturan S, Gottardi E et al. Usefulness of the quantitative assesment of PRV-1 gene expression for the diagnosis of polycythemia vera and essential thrombocythemia patients. Blood 2004;103:2428.
  21. Tefferi A, Lasho T.L, Wolanskyj AP et al. Neutrophil PRV-1 expression across the chronic myeloproliferative disorders and secondary or spurious polycythemia. Blood 2004;103:3547-8.
  22. Passamonti F, Pietra D, Malabarba L et al. Clinical significance of neutrophil CD177 mRNA expression in Ph-negative chronic myelorpoliferative disorders. Br J Haematol 2004;126:650-6.
  23. Zhang J, Pellagati A. Campbell L et al. Neutrophil PRV-1 gene expression in myeloproliferative, myelodysplastic and reactive blood disorders. Br J Haematol 2004;125(suppl. 1),abstract no. 53.
  24. Kralovics R, Buser AS, Teo SS et al. Comparison of molecular markers in a cohort of patients with chronic myeloproliferative disorders. Blood 2003;102:1869-71.
  25. Johansson P, Ricksten A, Wennström L et al. Increased risk for vascular complications in PRV-1 positive patients with essential thrombocythemia. Br J Haematol 2003;123:513-6.
  26. Grieshammer M, Klippel S, Strunck E et al. PRV-1 mRNA expression discriminates two types of essential thrombocythemia. Ann Hematol 2004; 83:364-70.
  27. Florensa L, Besses C, Zamora L et al. Endogeeous erythroid and megakaryocytic circulating progenitors, HUMARA clonality assay, and PRV-1 expression are useful tools for diagnosis of polycythemia vera and essential thrombocythemia. Blood 2004;103:2427.
  28. Gisslinger H, Heimpel H, Kees M et al. Neutrophil mRNA overexpression in chronic idiopathic myelofibrosis may be associated with poor prognosis. Blood 2004;104:4762 part 2.
  29. Andreasson B, Harrison C, Lindstedt G et al. Monoclonal myelopoiesis and subnormal erythropoietin concentration are independent risk factors for thromboembolic complications in essential thrombocythemia. Blood 2003;101:783-4.
  30. Johansson P, Andreasson B, Safai-Kutti S et al. The presence of a significant association between elevated PRV-1 mRNA expression and low plasma erythropoietin concentration in essential thrombocythemia. Eur J Haematol 2003;70:358-62.31. Shih LY, Lin TL, Lai CL et al. Predictive values of X-chromosome inactivation patterns and clinicohematologic parameters for vascular complications in essential thrombocythemia. Blood 2002;100: 1596-601.
  31. Vannucchi A, Grossi A, Pancrazzi A et al. PRV-1, erythroid colonies and platelet Mpl are unrelated to thrombosis in essential thrombocythemia. Br J Haematol 2004;107:214-9.
  32. Fruehauf S, Topaly J, Villalobos M et al. Quantative real-time polymerase chain reaction shows that treatment with interferon reduces the initially upregulated PRV-1 expression in polycythemia vera patients. Haematologica 2003;88:349-51.
  33. Johansson P, Ricksten A, Wasslavik C et al. The effects of hydroxyurea on PRV-1 expression in patients with essential thrombocythemia and polycythemia vera. Haematologica 2004;89:1264-6.
  34. Samuelsson J, Hasselbalch H, Bruserud O et al. A phase II trial og pegylated interferon-alfa-2b in polycythemia vera and essential thrombocythemia. Clinical responses, effects on PRV-1 xpression and impact on quality of life. ASH 2004 abstract no 1518.
  35. Klippel, S, Goerttler PS, Pahl H. Quantification of PRV-1 mRNA in unfractioned blood leukocytes can lead to false negative results. Blood 2004;103:2429.
  36. Jelinek J, Jedlickova K, Guan Y et al. Instability of PRV-1 mRNA: a factor to be considered in PRV-1 quantification for the diagnosis of polycythemia vera. Haematologica 2004;89:749-51.
  37. Cortelazzo S, Finazzi G, Ruggeri M et al. Hydroxyurea for patients with essential thrombocythemia and a high risk of thrombosis. N Eng J Med 1995;332:1132-6.
  38. Harrison CN, Campbell PJ, Buck G et alet al for the United Kingdom Medical Research Council. Primary Thrombocythemia 1 Study. N Engl J Med 2005;353:33-45.
  39. Goerttler PS, Steimle C, Marz E et al. The Jak2V617F mutation, PRV-1 overexpression and EEC formation define a similar cohort of MPD patients. Blood 2005;106:2862-4.