Obstruktivt shock og diafragmaruptur


Lasse Rehné Jensen1, 2, Emma Possfelt-Møller1, Christian Snitkjær2 & Luit Penninga1
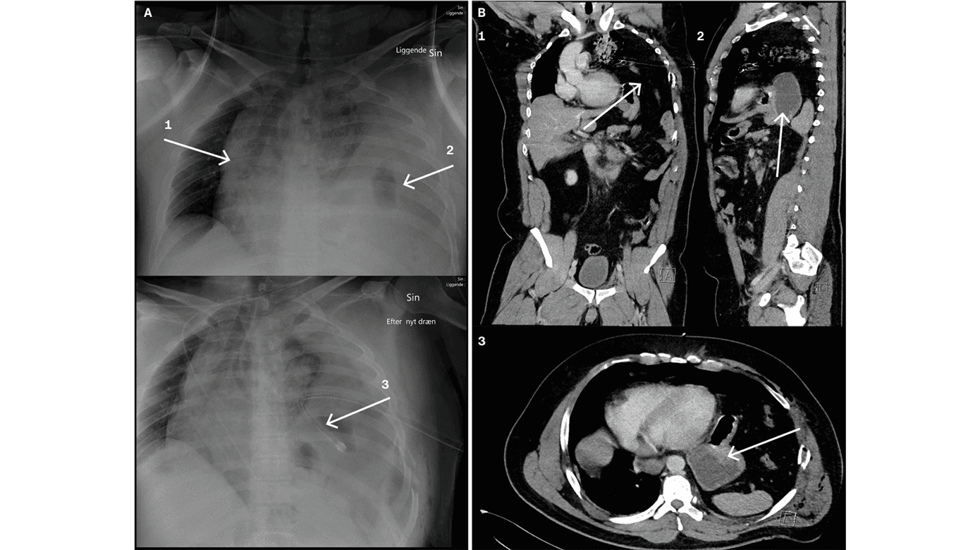
En 38-årig mand var involveret i en trafikulykke og havde bl.a. pådraget sig en venstresidig diafragmaruptur med herniering af colon, ventrikel og milt op i thoraxhulen. A viser traume-CT med hhv. 1) koronalt plan, 2) sagittalt plan og 3) aksialt plan af diafragmaruptur og herniering af abdominalorganer op i thorax. Pilene peger på intraabdominale organer i thoraxhulen på niveau med hjertet. Dette gav forskydning af mediastinum mod højre. Patienten udviklede en svær obstruktiv shocktilstand. Tilstanden lignede til forveksling traumatisk hjertetamponade eller en trykpneumothorax grundet den mekaniske kompression af de intratorakale organer [1, 2]. Der blev taget røntgenbilleder, anlagt et pleuradræn uden effekt, og patienten blev overflyttet til traumecenteret. Der blev foretaget en akut laparotomi med hurtig reponering af de intraabdominale organer. Herefter forsvandt den obstruktive shocktilstand. Diafragmarupturen blev sutureret med nonresorberbar sutur, og det postoperative forløb var ukompliceret. Røntgenbillederne i B viser 1) mediastinal overskydning med trachea devierende mod højre, 2) luftholdigt intraabdominalt organ og 3) intraperitonealt anlagt pleuradræn. Normalvis forventes luftfyldt lungehule på den afficerede side ved pneumothorax, hvilket står i kontrast til B.
Hurtig diagnostik og operation er vigtig hos den multitraumatiserede patient med en traumatisk diafragmalæsion, herniering af abdominale organer og cirkulatorisk kollaps [3]. Tilstanden overses i nogle tilfælde i den akutte fase [4], og vi ønsker hermed at skabe opmærksomheden om denne alvorlige obstruktive shocktilstand.
Korrespondance Lasse Rehné Jensen. E-mail: lasse.rehne.jensen@regionh.dk
Publiceret på ugeskriftet.dk 23. oktober 2023
Interessekonflikter ingen. Forfatternes ICMJE-formularer er tilgængelige sammen med artiklen på ugeskriftet.dk
Artikelreference Ugeskr Læger 2023;185:V72003