Øjensmerter forårsaget af hjernestammeinfarkt


Asher Lou Isenberg & Steven Haugbøl
Et stroke i pons kan give svære smerter i øjet ipsi- eller kontralateralt til læsionen, enten sammen med øvrige symptomer på et stroke eller som forvarsel herpå [1]. Smerterne kan også involvere ansigt, øjne eller næse. Mekanismen bag smerterne, der fortsat ikke er fuldt afklaret, menes at skyldes påvirkning af de trigeminale nociceptive fibre i pons [2].
Symptomet er vigtigt at kende, da et stroke i det bagre gebet er en differentialdiagnose ved uafklarede øjensmerter, og tæt observation for udvikling af yderligere symptomer bør iværksættes.
En 73-årig kvinde blev indlagt grundet perakut debut af dysartri, højresidig hemiparese, nedsat sensibilitet og styringsbesvær på højre side samt smerter i venstre øje. Symptomerne debuterede halvanden time forud for ankomst til hospitalet. Patienten beskrev øjensmerterne som brændende svarende til grad 9 ud af 10 på numerical rating scale (NRS), og hun følte sig meget lysfølsom.
Patienten var aktiv ryger, havde type 2-diabetes, arteriel hypertension, hyperkolesterolæmi og cancer mammae dissemineret til lunger samt var tidligere kataraktopereret på begge øjne. Kvinden blev konfereret med trombolysevagt, men var ikke kandidat til trombolysebehandling pga. høj blødningsrisiko ved dissemineret cancer.
Den initiale National Institutes of Health Stroke Scale (NIHSS)-score var 8 grundet højresidig hemiparese, ataksi og sensibilitetstab. Inden for 15 minutter oplevede patienten spontan bedring, men havde fortsat nedsat sensibilitet og ataksi i højre arm.
Øjensmerterne vedblev uforandrede natten over, om end patienten ingen klager havde over nedsat eller sløret syn fraset let regnbuefarvning af lys omkring pencillygte. Objektivt var der normal pupilreaktion og ingen rødme i øjet. Der blev taget kontakt til oftalmologisk vagthavende, der anbefalede fluoresceinfarvning med henblik på udelukkelse af spontan abrasio, og farvningen var uden fund. Patienten havde ikke haft forudgående øjentraume, der var ikke rødme af øjet, og pupillen reagerede for lys, hvorfor der blev rekvireret oftalmologisk tilsyn næste dag. Den oftalmologiske undersøgelse var upåfaldende med normalt visus og intraokulært tryk, og øjensmerterne var spontant bedret til NRS 3. Patienten blev tilbudt behandling med paracetamol for smerterne, men det var uden effekt.
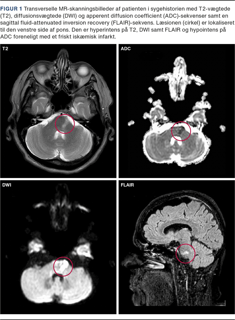
MR-skanning af cerebrum to dage efter debut viste et friskt venstresidigt pontint infarkt (Figur 1) foreneligt med patientens symptomer. UL-skanning af halskar viste forkalkninger bilateralt uden stenoser. Blodprøvescreening, ekg, telemetri, urinstiks og SARS-CoV-2-podning ved indlæggelse var upåfaldende. CT-angiografi blev ikke udført, da patienten hverken havde nakkesmerter, hovedpine, Horners syndrom eller fluktuerende symptomer.
Symptomerne bedredes under indlæggelsen, men ved udskrivelsen to dage efter var der fortsat diskret højresidig hemiparese og sensibilitetstab. Patienten fik udarbejdet genoptræningsplan ved fysioterapeut og ergoterapeut. Smerterne i øjet svandt yderligere, men patienten oplevede fortsat intermitterende svie i øjet ved træthed.
Smerter i øjet er et sjældent, men velbeskrevet symptom på stroke i hjernestammen. På engelsk beskrives dette som »salt-and-pepper eye pain« eller »salt-and-pepper stroke«, da patienterne spontant klager over en fornemmelse af at have fået kastet salt og/eller peber i øjet [3]. Større områder inklusive ansigt, næse eller mund er også beskrevet. Smerterne er især bekymrende i relation til samtidig nyopstået svimmelhed, styringsbesvær eller balanceusikkerhed, og patienterne bør i dette tilfælde udredes for hjernestammestroke.
Patofysiologien bag smerterne er fortsat uafklaret, men på baggrund af den anatomiske lokalisation er der fremlagt en række mulige årsager. Øjensmerter er primært associeret med læsioner i den paramediane del af pons og den ventrale pontine tegmentum. Her findes trigeminale kerner samt nociceptive fibre til ansigtet.
Læsioner i dette område skyldes ofte iskæmi som følge af okklusion af perforanter fra a. basilaris. Denne sygehistorie understøtter tidligere kasuistikker i forhold til lokalisation og symptomatologi. Der er ikke beskrevet smertelindrende behandlingsforsøg. Der kan overvejes behandling med lamotrigin som beskrevet efter talamiske smerter, men dette er ikke undersøgt.
Symptomet er vigtigt at kende, da dette er en vigtig differentialdiagnose hos patienter med akut opståede øjensmerter uden tegn på oftalmologisk sygdom.
Korrespondance Asher Lou Isenberg. E-mail: asher.isenberg@gmail.com
Antaget 14. december 2022
Publiceret på ugeskriftet.dk 30. januar 2023
Interessekonflikter ingen. Forfatternes ICMJE-formularer er tilgængelige sammen med artiklen på ugeskriftet.dk
Referencer findes i artiklen publiceret på ugeskriftet.dk
Artikelreference Ugeskr Læger 2023;185:V09220576
Asher Lou Isenberg & Steven Haugbøl
Ugeskr Læger 2023;185:V09220576
Sudden pain of the eye, nose or face can be a symptom of stroke located to the pons. This case report is about a 73-year-old women with acute debut of right-sided hemiparesis, ataxia, gait disturbance, dysarthria, hemisensory defects and contralateral burning eye pain. MRI showed acute ischaemia of the left pons. The case adds to the growing literature of this rare presentation of posterior circulation stroke.