Øjensymptomer ved underliggende sinonasal sygdom


Nisoba Kandiah & Veronica Holm Thomassen
Præseptal cellulitis (PræC) og dacryocystitis er almindeligt forekommende, infektiøse tilstande i øjenomgivelserne, som læger kan møde i den kliniske hverdag.
PræC er en tilstand med infektion af det subkutane væv anteriort for det orbitale septum og skyldes ofte spredning fra nærliggende infektion [1]. Tilstanden præsenterer sig typisk med hævelse af øjenlågene/periorbitalt. Synet er upåvirket, og der er normal pupilrespons og motilitet af øjet [1]. Diagnosen stilles klinisk, og der er ikke indikation for billeddiagnostik udredning, hvis man ikke mistænker involvering posteriort for det orbitale septum [1]. Postseptal cellulitis, som er spredning posteriort for det orbitale septum, er en alvorlig tilstand, der kan være både syns- og livstruende [1]. Diagnosen postseptal cellulitis stilles ved billeddiagnostisk undersøgelse, enten CT eller MR-skanning.
Dacryocystitis er infektion af tåresækken og optræder oftest sekundært til obstruktion af den nasolakrimale ductus [2]. Tilstanden præsenterer sig typisk med ømhed, hævelse og rødme neden for mediale, kantale ligament. Diagnosen stilles primært klinisk, og behandlingen omfatter perorale antibiotika [2].
Diagnosen af begge tilstande stilles som nævnt klinisk, men man bør overveje andre differentialdiagnoser ved manglende fremgang og atypisk klinisk præsentation. Vi præsenterer to sygehistorier, hvor der klinisk var mistanke om henholdsvis præC og akut dacryocystitis, men grundet atypisk sygdomsforløb og klinisk præsentation var det indikationen for billeddiagnostik udredning, der viste den underliggende årsag.
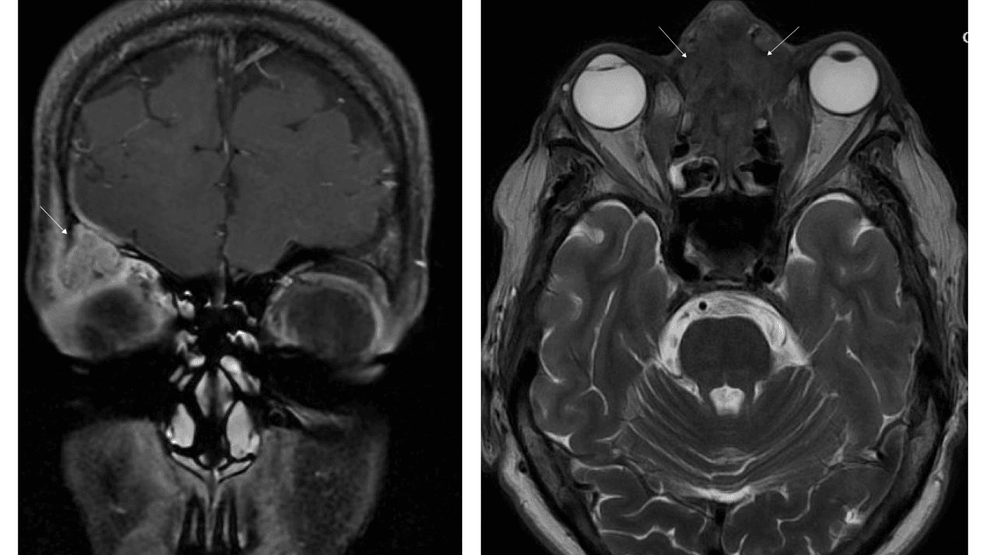
I. En otteårig, ellers sund og rask pige blev henvist til øjenafdelingen på grund af rødme og hævelse omkring det højre øje igennem en måned. Der var ingen næse-bihule-symptomer eller symptomer i øvrigt, og behandling med fusidin-creme eller phenoxymethylpenicillin havde ingen effekt. Objektivt fandtes rødme og hævelse omkring det højre øje, visus 1,0, normal tension, farvesyn, H-konfiguration, naturlig spaltelampeundersøgelse og oftalmoskopi. Patienten blev opstartet i amoxicillin/clavulansyre efter vægt på mistanke om præC. Grundet manglende fremgang efter endt kur blev der udredt med MR-skanning af orbita. Denne viste en 15 × 16 × 12 tumorsuspekt forandring superolateralt i orbita (Figur 1 A). Patienten blev henvist til Øjensygdomme, Aarhus Universitetshospital, og herfra videre til Neurokirurgisk Afdeling. På udredningstidspunktet på Neurokirurgisk Afdeling, hvor der var gået ca. tre uger, var hævelsen svundet helt. Ved gennemgangen af skanningen var der mistanke om, at forandringen kunne repræsentere et mucocele. Kontrol-MR-skanning tre måneder efter viste fuld regression af forandringen.
II. En 57-årig kvinde blev henvist til øjenafdelingen, obs venstresidig dacryocystitis. Patienten havde gennem en måned en voksende hævelse ved den øvre, mediale øjenkrog uden smerter eller feber. Hun blev opstartet i amoxicillin/clavulansyre, og grundet manglende fremgang på behandlingen og den atypiske placering ved den øvre del af næseryggen blev der henvist til MR-skanning af orbita. Skanningen viste udbredte tumorforandringer i sinus ethmoidales (Figur 1B), kranielle del af cavum nasi og medialt i begge orbita. Canceren havde udgangspunkt i etmoidalcellerne og var på stadie T4b, N1, M0. Patienten blev opstartet palliativt i højdosisstråleterapi og kemobehandling.
Mucocele fra de paranasale sinus er mucusindeholdende forandringer. De opstår, når drænagen af sinussekretion obstrueres, hvilket medfører retention af mucus. Inflammation, allergi, traume, kirurgi og neoplasi er nogle af de potentielle årsager [3]. Ved mucocele er orbitale symptomer i form af proptose, bevægeindskrænkning, diplopi, påvirket syn og periorbital hævelse beskrevet [3]. Behandling af mucocele omfatter kirurgisk intervention [3]. I sygehistorie I opstod der på grund af skanningen mistanke om, at forandringen kunne repræsentere et mucocele, men hvis forandringen svandt af sig selv, var det atypisk. Hos børn, der præsenterer med ensidig hævelse og rødme omkring øjet, er akut ethmoiditis en vigtig differentialdiagnose, men tidsperspektivet taler imod dette i sygehistorie I.
Sinonasal cancer er sjældent forekommende og udgør 3-5% af hoved-hals-cancer med ca. 60 tilfælde om året i Danmark [4]. Det udgør en histologisk heterogen gruppe og kan være lokalt udbredt ved diagnosetidspunktet på grund af stille vækst [4]. Grundet den tætte anatomiske lokalisation præsenterer en del af patienterne sig med øjensymptomer [5].
Orbital involvering er ofte forbundet med dårligere prognose forårsaget af udbredt sygdom med en femårsoverlevelse på lidt over 50% [5]. Orbitale symptomer kan således være de første symptomer på underliggende, sinonasal sygdom som følge af den tætte, anatomiske lokalisation. Vores budskab med disse sygehistorier er, at det er vigtigt at gå videre med udredningen, hvis den iværksatte behandling er uden effekt, eller hvis den kliniske præsentation er atypisk.
Korrespondance Nisoba Kandiah. E-mail: nisoba@hotmail.com
Antaget 18. oktober 2023
Publiceret på ugeskriftet.dk 18. december 2023
Interessekonflikter ingen. Forfatternes ICMJE-formularer er tilgængelige sammen med artiklen på ugeskriftet.dk
Referencer findes i artiklen publiceret på ugeskriftet.dk
Artikelreference Ugeskr Læger 2023;185:V07230482
Nisoba Kandiah & Veronica Holm Thomassen
Ugeskr Læger 2023;185:V07230482
In this case report, two patients were initially presented with orbital symptoms due to undiagnosed sinonasal disease. An eight-year-old girl was suspected of preseptal cellulitis due to swelling and redness around the right eye for a month. MRI of the orbit showed a change in the orbit suspected to be a tumour. Regression in symptoms was seen after three months and a mucocele was suspected. The other patient was a 57-year-old woman suspected of left-side acute dacryocystitis with a palpable mass above the medial canthus for a month. MRI was performed due to atypical presentation and showed tumour changes originating from the ethmoid sinus.