Skip to main content

Operativ behandling af hoftenære femurfrakturer

Reservelæge Henrik Palm, overlæge Michael Krasheninnikoff & overlæge Steffen Jacobsen H:S Hvidovre Hospital, Hvidovre Hoftefrakturgruppe, Ortopædkirurgisk Afdeling

16. okt. 2006
18 min.

I Danmark indlægges der årligt 11.000 patienter med hoftenære femurfrakturer. Disse patienter tegner sig for 2,2% af sengedagsforbruget. Patienterne er oftest ældre med høj komorbiditet og 10% dør inden 30 dage. Ud fra klassificering opereres hoftenære femurfrakturer med artroplastik eller osteosyntese med forskellige implantater. Internationalt reopereres 10-20%. Trods omfattende litteratur er der stadig ikke konsensus om behandlingen, om end der ved en gennemgang af de seneste års studier kan opstilles forbedrede behandlingsalgoritmer. Dertil har man påvist optimerede patientforløb på specialiserede centre for hoftenære femurfrakturer.

Patienter med hoftenære femurfrakturer (HF) er en af de mest resursekrævende patientgrupper i det danske sundhedsvæsen. Med den demografiske udvikling må det forudses, at de behandlings- og rehabiliteringsrelaterede omkostninger for denne patientgruppe vil stige progressivt i de kommende år [1]. Efter offentliggørelsen af Referenceprogrammet om hoftebrud i 1999 [1] er der iværksat initiativer til optimering af HF-behandlingen i Danmark, herunder oprettelsen af det Nationale Indikator Projekt (NIP) [2] og af standardiserede accelererede indlæggelsesforløb [3, 4]. De kirurgiske behandlingsmuligheder af HF har udviklet sig i de seneste år, hvorfor vi i denne oversigtsartikel anviser nye retningslinjer baseret på en systematisk gennemgang af aktuel epidemiologi, frakturklassificering og operativ behandling.

Metode

Artiklen er baseret på litteratursøgning i MEDLINE og EMBASE. Da der sjældent er tale om belysning af absolutte, objektive effektmål inden for samme frakturtype, har forfatterne foretaget udvalget af artikler på baggrund af disses aktualitet, seriernes størrelse, kriterier og longitudinalitet, samt relevans for danske forhold. Metaanalyser og randomiserede studier er favoriseret.

Patienter

HF opstår ved fald direkte på hofteregionen og som regel hos patienter med osteoporose [1]. Patienternes gennemsnitsalder er 80 år, og tre ud af fire er kvinder [2, 5]. HF-patienter har ofte komplicerende komorbiditet med kardiovaskulære (60%), neurologiske (30%) og respiratoriske lidelser (10%) [6, 7]. Til indlæggelsen knytter sig dertil hyppigt medicinske komplikationer. Således angiver man i NIP 30-dages-mortaliteten til 10% [2], og som anført i Referenceprogrammet var etårsmortaliteten tidligere meget høj; omkring 30% [1], men siden midt i 1990'erne er der internationalt sket en reduktion til omkring 20% [7-9].

HF medførte i 2003 ca. 11.000 indlæggelser i Danmark. Heraf var 10.000 af patienterne over 65 år, hvilket svarer til, at der er en årlig incidens på 0,6% for 65-80-årige og 3,1% for 80+-årige [5]. Fra 1995 til 2003 er antallet af ældre patienter med HF steget med over 30% og må med aldersudviklingen forventes fortsat at stige [1, 5]. Udgifterne er betragtelige; idet patienter over 65 år med diagnosen HF i 2003 anvendte ca. 120.000 sengedage, eller 2,2% af det samlede antal sengedage på danske hospitaler [5]. Hertil kommer aflastnings- og genoptræningsophold samt boligskifte især til plejebolig. Indlæggelsesforløbene har traditionelt været langvarige. Imidlertid har man med accelererede, tværfaglige patientforløb på afdelinger med særlig interesse og ekspertise i HF opnået en reduktion af den mediane indlæggelsestid på 50% [4].

Frakturklassifikation

En frakturklassifikation bør ideelt differentiere sværhedsgrad, behandling og prognose, være generelt accepteret, reproducerbar og klinisk anvendelig. HF klassificeres ud fra frakturens anatomi på røntgenoptagelser, eventuelt suppleret med computertomografi. HF fordeler sig stort set ligeligt mellem to hovedtyper: 1) intrakapsulære collum femoris-frakturer og 2) ekstrakapsulære basocervikale og pertrokantære frakturer.

Collum femoris-frakturer har siden 1970'erne hyppigst været klassificeret ved Gardens klassifikation i fire typer ud fra frakturens dislokationsgrad bedømt på antero-posteriore røntgenoptagelser [10] (Figur 1 ). Gardens klassifikation har lav intra- og interobservatør reproducerbarhed, og i Referenceprogrammet anbefales det derfor at beskrive frakturerne som udislocerede (Garden 1-2) eller dislocerede (Garden 3-4), hvilket prognostisk set er mest relevant [1]. De pertrokantære frakturer inddeles i Danmark ved hjælp af Jensen/Michaelsens modifikation af Evans klassifikation i fem typer ud fra dislokation og tilstedeværelse af intermediære fragmenter [11] (Figur 2 ). Da de simple frakturer er mest stabile, anbefales her blot en inddeling i stabile frakturer (type 1-2) og ustabile frakturer (type 3-5) [1].

Referenceprogrammets anbefalinger er simplificerende og vanskeliggør kliniske og epidemiologiske studier. For collum femoris-frakturer er prognostisk relevante faktorer som størrelse og posterior vinkling af caput, samt hvorvidt calcar femorale (collums mediale, støttende corticalis) er intakt ikke medtaget [12, 13] (Figur 1). For den inhomogene gruppe af ustabile pertrokantære frakturer inddeles ikke ud fra om den mediale og/eller specielt den laterale støtte er intakt, hvilket er påvist at være vigtigt for valg af kirurgisk procedure [14-17] (Figur 2). Dertil klassificeres de få procent basocervikale frakturer ikke separat, trods separat operationsmetode [18, 19].

Et muligt alternativ er en detaljeret og forskningsegnet klassifikation fra den internationale AO/ASIF-gruppe, hvor HF inddeles i tre frakturzoner (A-B-C), som igen inddeles efter sværhedsgrad (1-2-3). Således klassificeres udislocerede collumfrakturer som B.1, dislocerede som B.3, og frakturer gennem calcar som B.2. De pertrokantære frakturer klassificeres som stabile (A.1) og ustabile uden medial (A.2) og/eller lateral støtte (A.3). I forskningsmæssig henseende kan man yderligere underinddele [20].



Teknikker og komplikationer

Generelt opereres alle HF-patienter hurtigst muligt, mens de tillige behandles med antibiotika [1, 13, 21]. Præoperativ strækbehandling anbefales ikke længere [22]. Målet er, at patienten opnår det tidligere funktionsniveau med fuld vægtbærende støtte ved mobilisering og fysioterapi fra første postoperative døgn. Det er en kirurgisk udfordring, da overførslen af kropsvægten sker via en brækket skrå søjle, ofte med nedsat knoglekvalitet.

Den negative konsekvens for organfunktionerne ved at vente på operation synes at være betyde lig. Referenceprogrammet anbefaler operation inden for 48 timer, men nyere litteratur påviser et yderligere fald i mortaliteten ved operation inden for det første døgn [23] eller endnu hurtigere [7].

Intrakapsulære frakturer

Den udislocerede collumfraktur behandles oftest med intern fiksering. Indgrebet kan kompliceres af manglende heling (non-union ) og frakturskred og efter 3-6 måneder af avaskulær caputnekrose (AVN) [24, 25]. Dette ses i hhv. omkring 5% og 4-10% af tilfældene, hvilket betyder en reoperationsrate på 8-10%, oftest med et udvidet indgreb med indsættelse af en artroplastik [1, 13, 25].

På trods af mange patient- og kadaverstudier er der ikke konsensus om valg (skruer/pinde med modhager) eller antal (to/tre) af implantater [25, 26]. Komplikationsraten nedsættes ved en parallel placering, som muliggør kompression over frakturen. Endvidere ved at implantaterne indsættes så vertikalt som muligt i hver sin kvadrant i caput, og at det mest inferiore implantat placeres, så vægten overføres via trepunktsstøtte fra et subkondralt sæde i caput til calcar femorale og til laterale femur cortex [12, 27, 28]. Et ligeværdigt alternativ hertil er en glideskrue fæstnet til en kort lateral skinne, hvorved vægten overføres til den laterale cortex [1, 25]. Glideskruen placeres centralt i collum med spidsen fæstnet subkortikalt i caput [29]. Metoden medfører sammenlignet med den perkutane osteosyntese et større kirurgisk traume [1], men er en mere stabil fiksering, når frakturlinjen er vertikal eller bryder calcar [18, 27].

AVN skyldes hypoksi, enten på grund af direkte læsion af de arterielle arkader til caput eller ved afklemning af arterierne på grund af det intrakapsulære frakturhæmatom [24]. Præoperativ technetium TC99 -skintigrafi kan ikke anvendes prognostisk [1]. Da hypoksi på grund af frakturhæmatom kunne være temporært, er akut reposition [30] og/eller udtømning af kapselhæmatomet foreslået [24].

Ved den dislocerede collumfraktur viser opgørelserne over komplikationerne i forbindelse med intern fiksation stor variation, dog med let faldende tendens siden midten af 1990'erne [9, 31]. Non-union og AVN ses hos hhv. 20-35% og 5-20% og resulterer i reoperationsrater på 20-35% [1, 9, 31-33]. Artroplastik, oftest i form af en hemialloplastik, anbefales hos hovedparten af patienterne, men er en større kirurgisk procedure i forhold til intern fiksering [32, 33]. Gentagne luksationer ses hos 3%, mens opgørelserne af dyb infektion varierer fra 3-18%. Dertil ses aseptisk løsning af alloplastikkens ossøse sæde og frakturer omkring implantatet, hvilket i alt medfører reoperation hos 6-18% [1, 9, 31-33]. Der hersker trods talrige studier fortsat ikke konsensus om protesetype.

I to metaanalyser konkluderes det, at operation med artroplastik i forhold til intern fiksering nedsætter risikoen for reoperation, men øger infektionsraten, blodtabet og den umiddelbare mortalitet [9, 31]. I det nyeste, større randomiserede studie påviste man nedsat reoperationsrate og bedre funktion ved hemialloplastik uden nedsat etårsmortalitet, dog ikke hos patienter med demens eller hos patienter, der var ældre end 90 år [33]. I et svensk studie med cerebralt velbevarede patienter påviste man lavere reoperationsrate samt større patienttilfredshed og funktionel gevinst ved total alloplastik end ved osteosyntese [34].

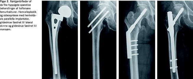
I Referenceprogrammet anbefales intern fiksering ved alle collumfrakturer, fraset hos patienter, der er over 75 år og har en disloceret collumfraktur, hvor der anbefales en hemialloplastik [1]. Gennemgangen af litteraturen gør det muligt at nuancere disse anbefalinger (Figur 1 og Figur 3 ). Således bør en alloplastik tillige overvejes ved den udislocerede fraktur med over 20° posterior frakturvinkling, hvor risikoen for komplikationer efter intern fiksering er øget [13]. For alloplastik taler også tilstedeværelsen af osteoporose eller artrose [1, 27]. For intern fiksation taler derimod anatomisk reposition og et stort caputfragment [26]. Osteosyntese bør også overvejes hos de ældste/demente patienter, som ikke forventes at kunne overholde bevægerestriktionerne ved en hemialloplastik, eller som dårligt tåler den større kirurgiske procedure herved [33]. Om calcar er intakt er dertil essentielt for valg af osteosyntesemetode [18, 27].

Ekstrakapsulære frakturer

Den basocervikale fraktur behandles med glideskrue og lateral skinne, normalt fæstnet med to skruer i femurskaftet. Behandling med isolerede parallelle skruer eller pinde bruges ikke, da støtten fra calcar ikke er sufficient [18, 19]. Komplikationerne er som ved de stabile pertrokantære frakturer.

Den pertrokantære fraktur behandles hyppigst med reposition og intern fiksering med en glideskrue og lateral skinne fæstnet med 3-4 skruer i femurskaftet (Figur 2 og Figur 3). AVN ses sjældent. Frakturskred medfører dog reoperation hos 4-12%, afhængigt af frakturtype og operationsmetode [1, 8, 14-17, 35]. Frakturskred skyldes inadækvat reposition og placering af glideskruen, som inden for de første postoperative måneder kan medføre, at caputfragmentet dislocerer i varus, lateraliseres og/eller teleskoperes ned i femurmetafysen med risiko for glideskrueperforation af caput (cut-out ). Dette medfører smerte og forkortet benlængde.

Glideskruen fikseres bedst centralt i collum [1] med skruespidsen subkortikalt i caput [35]. I et studie har man i 2004 påvist bedre fiksering til knoglen, når skruegangen er belagt med hydroxyapatit [36]. Fikseres frakturen i anatomisk stilling, vil en større del af vægtoverføringen ske gennem knoglen. Herunder kan en posterior repositionsstøtte hindre frakturens tendens til at hænge posteriort (sagging ). For at mindske bløddelstraumet er ekstern fiksering i et studie i 2005 vist som muligt alternativ ved stabile frakturer [37], og for nylig er der udviklet et perkutant system med to glideskruer og en lateral skinne, hvor den ofte skrøbelige laterale cortex respekteres ved at undgå frilægning og opboring i stor diameter [15, 38]. Ved de ustabile pertrokantære frakturer uden lateral støtte har en skinne med biaksial dynamisk kapacitet langs glideskruen og den laterale skinne vist sig at medføre nedsat reoperationsrate, men metoden kræver grundig oplæring [14, 16]. Der er yderligere rapporteret om, at man ved at sætte en trokanterplade på den laterale skinne kan hindre caputfragmentets lateralisering [17], men der synes ikke at være konsensus herom.

Det bedst afprøvede alternativ til den laterale skinne er at fæstne glideskruen til et marvsøm, men der er blevet angivet at være en øget risiko for femurskaftfraktur ved denne metode [8]. I studier med nyere design af marvsøm med en eller to glideskruer påvises der dog samme resultater som ved brug af de laterale skinner, og marvsøm kunne være en fordel ved ustabile pertrokantære frakturer uden lateral støtte eller med subtrokantær fragmentering [8, 30, 39] (Figur 2). Der synes ikke at være forskel på resultaterne disse mange nye marvsøm imellem, hvorfor flere studier afventes [39].

Diskussion

I de seneste år er der sket en udvikling inden for operativ teknik og perioperativ behandling [3], hvilket har medført en gunstig indvirkning på morbiditet og kirurgisk resultat. Frakturklassifikationer og operative metoder er præciseret, indlæggelsestiden har kunnet nedbringes ved oprettelsen af HF-enheder [4] og det er påvist, at operation senere end 24 timer efter traumet er forbundet med væsentligt øget mortalitet og morbiditet [7, 23]. Med overordnede reoperationsrater på 10-20% og et årligt forbrug på 120.000 sengedage i Danmark [5] medfører HF dog fortsat betydelige menneskelige og økonomiske omkostninger.

Denne gennemgang har bekræftet, at litteraturen, hvad angår valg af operativ behandling af HF, er overordentlig omfattende og svært gennemskuelig med mangel på konsensus. Det skyldes formentlig både multifaktorielle årsagssammenhænge og studiernes inhomogene og relativt små patientgrupper. Dertil er validiteten af studierne svækket af gruppens høje mortalitet.

Forfatterne finder, at Referenceprogrammet fra 1999 med fordel kan opdateres med anbefalinger af den i nærværende artikel skitserede mere præcise frakturklassificering og operative behandling ud fra de seneste internationale studier (Figur 1-3). Disse nationale retningslinjer bør danne udgangspunkt for ensartede, mere detaljerede afdelingsinstrukser, så resultatet i mindre grad afhænger af geografien, den vagthavende ortopædkirurg og størrelsen af dagsprogrammet.

Enkelte hospitaler opererede i 1995 omkring ti patienter med HF om året [1]. Et sådan antal synes ikke at være nok til opretholdelse af rutiner eller indlæring af nye metoder. HF-kirurgien bør derfor samles i større centre med daglige operative indgreb og egne separate afsnit inden for den ortopædkirurgiske afdeling. Dette muliggør en fast tilknyttet flerstrenget tilgang, der involverer specielt uddannede kirurger, anæstesiologer, plejepersonale og fysioterapeuter. Herved opnås også en mere systematisk oplæring. Ofte introduceres yngre ortopædkirurger til specialet netop ved at operere HF. Skal dette fortsætte, er supervision og oplæring helt essentielt [23, 35, 40].

Dedikerede centre vil med det større antal patienter og fastlagte instrukser endvidere muliggøre en optimering af forskning i og kvalitetssikring af behandlingen af HF. Fremtidige studier bør tage afsæt i en opdeling i mere homogene patientgrupper med anførte kriterier som alder, osteoporose, aktivitets- og funktionsniveau, kognitiv funktion, social status etc. Betydningen af operatørens erfaring og supervision bør undersøges. Succesraten bør bl.a. måles på mortalitet og reoperationsrate (herunder om årsagen til reoperation er teknisk-operativ eller må tilskrives patientens biologi) efter 30 dage, et år og to år samt indlæggelsestid, komorbiditet, genoptræningsniveau og udskrivelsesprocent til egen bolig.

NIP er et tiltag i den retning med bl.a. nationale standarder for 30-dages-mortalitet på ≤ 10% og to års reoperationsrater for HF med osteosyntese på < 15% og med hemi- eller total alloplastik på < 10% [2]. Denne angivelse af operationsmetode og af frakturtype (disloceret/udisloceret og medial/pertrokantær/subtrokantær) synes dog at være utilstrækkelig. Dertil er afdelingernes selvrapportering af data forbundet med risiko for selektionsbias og underrapportering. Således synes den indtil videre eneste offentliggjorte reoperationsrate på 2% under primærindlæggelse at være meget lav og er desuden stærkt afhængig af indlæggelsestiden. Optimeret kunne NIP dog potentielt medvirke til en bedring af behandlingen af HF i Danmark.

Den internationale litteratur er fortsat ikke konklusiv, hvad angår operativ behandling af HF. De høje reoperationsrater på 10-20% tyder på, at behandlingen af HF grundet den inhomogene patientpopulation og frakturepidemiologi bør samles i centre, så der er mulighed for forskning og optimering af behandlingsforløbet.


Henrik Palm , Ortopædkirurgisk Afdeling, H:S Hvidovre Hospital, DK-2650 Hvidovre. E-mail: hpalm@dadlnet.dk

Antaget: 7. oktober 2005

Interessekonflikter: Ingen angivet

Taksigelser. Udført med støtte fra IMK-fonden.

  1. Christensen SB. Referenceprogram om hoftebrud. Ugeskr Læger 1999;161(suppl 11).
  2. www.nip.dk /september 2005.
  3. Hvidovre Hoftefrakturgruppe. Perioperativ behandling ved hoftefraktur. Ugeskr Læger 2003;165:2288-90.
  4. Rasmussen S, Kristensen BB, Foldager S et al. Accelereret operationsforløb efter hoftefrakturer. Ugeskr Læger 2003;165:29-33.
  5. www.statistikbanken.dk / maj 2005.
  6. Cornwall R, Gilbert MS, Koval KJ et al. Functional outcomes and mortality vary among different types of hip fractures: a function of patient characteristics. Clin Orthop Relat Res 2004;425:64-71.
  7. Dorotka R, Schoechtner H, Buchinger W. The influence of immediate surgical treatment of proximal femoral fractures on mortality and quality of life. J Bone Joint Surg Br 2003;85-B:1107-13.
  8. Parker MJ, Handoll HHG. Gamma and other cephalocondylic intramedullary nails versus extramedullary implants for extracapsular hip fractures The Cochrane Database of Systematic Reviews 2005, Issue 4. Art. No.: CD000093.pub3. DOI: 10.1002/14651858.
  9. Bhandari M, Devereaux PJ, Swiontkowski MF et al. Internal fixation compared with arthroplasty for displaced fractures of the femoral neck. J Bone Joint Surg Am 2003;85-A:1673-81.
  10. Garden, RS. Low-angle fixation in fractures of the femoral neck. J Bone Joint Surg Br 1961;43-B:647-63.
  11. Jensen JS, Michaelsen M. Trochanteric femoral fractures treated with McLaughlin osteosynthesis. Acta Orthop Scand 1975;46:795-803.
  12. Alho A, Benterud JG, Ronningen H et al. Prediction of disturbed healing in femoral neck fracture. Radiographic analysis of 149 cases. Acta Orthop Scand 1992;63:639-44.
  13. Conn KS, Parker MJ. Undisplaced intracapsular hip fractures: results of internal fixation in 375 patients. Clin Orthop 2004;421:249-54.
  14. Watson JT, Moed BR, Cramer KE et al. Comparison of the compression hip screw with the Medoff sliding plate for intertrochanteric fractures. Clin Orthop Relat Res 1998;348:79-86.
  15. Gotfried Y. The lateral trochanteric wall: a key element in the reconstruction of unstable pertrochanteric hip fractures. Clin Orthop Relat Res 2004;425:82-6.
  16. Lunsjö K, Ceder L, Thorngren KG et al. Extramedullary fixation of 569 unstable intertrochanteric fractures: a randomized multicenter trial of the Medoff sliding plate versus three other screw-plate systems. Acta Orthop Scand 2001;72:133-40.
  17. Madsen JE, Naess L, Aune AK et al. Dynamic hip screw with trochanteric stabilizing plate in the treatment of unstable proximal femoral fractures: a comparative study with the Gamma nail and compression hip screw. J Orthop Trauma 1998;12:241-8.
  18. Mallick A, Parker MJ. Basal fractures of the femoral neck: intra- or extra-capsular. Injury 2004;35:989-93.
  19. Deneka DA, Simonian PT, Stankewich CJ et al. Biomechanical comparison of internal fixation techniques for the treatment of unstable basicervical femoral neck fractures. J Orthop Trauma 1997;11:337-43.
  20. www.mullerfoundation.org / juni 2005.
  21. Parker MJ, Handoll HHG, Bhargara A. Conservative versus operative treatment for hip fractures The Cochrane Database of Systematic Reviews 2000, Issue 4. Art. No.: CD000337. DOI: 10.1002/14651858.
  22. Par

Summary

Summary Operation for proximal femoral fracture Ugeskr L&aelig;ger 2006;168(35):2891-2896 In Denmark, 11,000 patients with proximal femoral fractures are admitted to hospital each year, using 2.2% of the national hospitalisation capacity. The patients are generally old and have a high degree of co-morbidities. In Denmark, the 30-day mortality rate is 10%, and on an international level, reoperation rates of 10-20% are reported. This article reports on current treatment stategies, classifications and surgical techniques and presents possible guidelines. The use of specialized centres and accelerated clinical programmes in Denmark is recommended.

Referencer

  1. Christensen SB. Referenceprogram om hoftebrud. Ugeskr Læger 1999;161(suppl 11).
  2. www.nip.dk /september 2005.
  3. Hvidovre Hoftefrakturgruppe. Perioperativ behandling ved hoftefraktur. Ugeskr Læger 2003;165:2288-90.
  4. Rasmussen S, Kristensen BB, Foldager S et al. Accelereret operationsforløb efter hoftefrakturer. Ugeskr Læger 2003;165:29-33.
  5. www.statistikbanken.dk / maj 2005.
  6. Cornwall R, Gilbert MS, Koval KJ et al. Functional outcomes and mortality vary among different types of hip fractures: a function of patient characteristics. Clin Orthop Relat Res 2004;425:64-71.
  7. Dorotka R, Schoechtner H, Buchinger W. The influence of immediate surgical treatment of proximal femoral fractures on mortality and quality of life. J Bone Joint Surg Br 2003;85-B:1107-13.
  8. Parker MJ, Handoll HHG. Gamma and other cephalocondylic intramedullary nails versus extramedullary implants for extracapsular hip fractures The Cochrane Database of Systematic Reviews 2005, Issue 4. Art. No.: CD000093.pub3. DOI: 10.1002/14651858.
  9. Bhandari M, Devereaux PJ, Swiontkowski MF et al. Internal fixation compared with arthroplasty for displaced fractures of the femoral neck. J Bone Joint Surg Am 2003;85-A:1673-81.
  10. Garden, RS. Low-angle fixation in fractures of the femoral neck. J Bone Joint Surg Br 1961;43-B:647-63.
  11. Jensen JS, Michaelsen M. Trochanteric femoral fractures treated with McLaughlin osteosynthesis. Acta Orthop Scand 1975;46:795-803.
  12. Alho A, Benterud JG, Ronningen H et al. Prediction of disturbed healing in femoral neck fracture. Radiographic analysis of 149 cases. Acta Orthop Scand 1992;63:639-44.
  13. Conn KS, Parker MJ. Undisplaced intracapsular hip fractures: results of internal fixation in 375 patients. Clin Orthop 2004;421:249-54.
  14. Watson JT, Moed BR, Cramer KE et al. Comparison of the compression hip screw with the Medoff sliding plate for intertrochanteric fractures. Clin Orthop Relat Res 1998;348:79-86.
  15. Gotfried Y. The lateral trochanteric wall: a key element in the reconstruction of unstable pertrochanteric hip fractures. Clin Orthop Relat Res 2004;425:82-6.
  16. Lunsjö K, Ceder L, Thorngren KG et al. Extramedullary fixation of 569 unstable intertrochanteric fractures: a randomized multicenter trial of the Medoff sliding plate versus three other screw-plate systems. Acta Orthop Scand 2001;72:133-40.
  17. Madsen JE, Naess L, Aune AK et al. Dynamic hip screw with trochanteric stabilizing plate in the treatment of unstable proximal femoral fractures: a comparative study with the Gamma nail and compression hip screw. J Orthop Trauma 1998;12:241-8.
  18. Mallick A, Parker MJ. Basal fractures of the femoral neck: intra- or extra-capsular. Injury 2004;35:989-93.
  19. Deneka DA, Simonian PT, Stankewich CJ et al. Biomechanical comparison of internal fixation techniques for the treatment of unstable basicervical femoral neck fractures. J Orthop Trauma 1997;11:337-43.
  20. www.mullerfoundation.org / juni 2005.
  21. Parker MJ, Handoll HHG, Bhargara A. Conservative versus operative treatment for hip fractures The Cochrane Database of Systematic Reviews 2000, Issue 4. Art. No.: CD000337. DOI: 10.1002/14651858.
  22. Parker MJ, Handoll HHG. Pre-operative traction for fractures of the proximal femur in adults. The Cochrane Database of Systematic Reviews 2003, Issue 3. Art. No.: CD000168. DOI: 10.1002/14651858.
  23. Weller I, Wai EK, Jaglal S et al. The effect of hospital type and surgical delay on mortality after surgery for hip fracture. J Bone Joint Surg Br 2005;87-B:361-6.
  24. Bachiller FG, Caballer AP, Portal LF. Avascular necrosis of the femoral head after femoral neck fracture. Clin Orthop Relat Res 2002;339:87-109.
  25. Parker MJ, Stockton G, Gurusamy K. Internal fixation implants for intracapsular proximal femoral fractures in adults. The Cochrane Database of Systematic Reviews 2001. Issue 4. Art. No.: CD0001467. DOI: 10.1002/14651858.
  26. Alho A, Benterud JG, Solovieva S. Internally fixed femoral neck fractures. Acta Orthop Scand 1999;70:141-4.
  27. Gardner MJ, Lorich DG, Lane JM. Osteoporotic femoral neck fractures: management and current controversies. Instr Course Lect 2004;53:427-39.
  28. Bosch U, Schreiber T, Krettek C. Reduction and fixation of displaced intracapsular fractures of the proximal femur. Clin Orthop Relat Res 2002;399:59-71.
  29. Levi N, Kofoed H. Fracture of the femoral neck: identification of the optimal screw position by migration ratio. Injury 1993;24:393-6.
  30. Kyle RF, Cabanela ME, Russell TA et al. Fractures of the proximal part of the femur. Instr Course Lect 1995;44:227-53.
  31. Lu-Yao GL, Keller RB, Littenberg B et al. Outcomes after displaced fractures of the femoral neck. A meta-analysis of one hundred and six published reports. J Bone Joint Surg Am 1994;76-A:15-25.
  32. Masson M, Parker MJ, Fleischer S. Internal fixation versus arthroplasty for intracapsular proximal femoral fractures in adults. The Cochrane Database of Systematic Reviews 2003, Issue 2. Art. No: CD001708. DOI: 10.1002/14651858.
  33. Parker MJ, Khan RJ, Crawford J et al. Hemiarthroplasty versus internal fixation for displaced intracapsular hip fractures in the elderly. J Bone Joint Surg Br 2002;84-B:1150-5.
  34. Tidermark J, Ponzer S, Svensson O et al. Internal fixation compared with total hip replacement for displaced femoral neck fractures in the elderly. J Bone Joint Surg Br 2003;85-B:380-8.
  35. Baumgaertner MR, Solberg BD. Awareness of tip-apex distance reduces failure of fixation of trochanteric fractures of the hip. J Bone Joint Surg Br 1997;79-B:969-71.
  36. Moroni A, Faldini C, Pegreffi F et al. HA-coated screws decrease the incidence of fixation failure in osteoporotic trochanteric fractures. Clin Orthop Relat Res 2004;425:87-92.
  37. Moroni A, Faldini C, Pegreffi F et al. Dynamic hip screw compared with external fixation for treatment of osteoporotic pertrochanteric fractures. J Bone Joint Surg Am 2005;87-A:753-759.
  38. Kosygan KP, Mohan R, Newman RJ. The Gotfried percutaneous compression plate compared with the conventional classic hip screw for the fixation of intertrochanteric fractures of the hip. J Bone Joint Surg Br 2002;84-B:19-22.
  39. Parker MJ, Handoll HHG. Intramedullary nails for extracapsular hip fractures in adults. The Cochrane Database of Systematic Reviews 2005, Issue 2. Art. No.: CD004961. DOI: 10.1002/14651858..
  40. Parker MJ, Pryor GA, Myles JW. The value of a special surgical team in preventing complications in the treatment of hip fractures. Int Orthop 1994;18:184-8.