Opfølgningsprogrammer ved galdeblærepolypper


Marie-Louise Kjærgaard Kjær, Liv Willer Erritzøe, Ulf Frederik Helgstrand & Christian Pállson Nolsøe
Hovedbudskaber
Galdeblærepolypper (GBP) er et hyppigt og oftest tilfældigt fund, som sjældent er associeret med malign transformation. Galdeblærecancer (GBC) er en sjælden sygdom med høj dødelighed grundet sen diagnosticering. For at nedsætte risiko for malign transformation bør patienter med GBP tilbydes et opfølgningsprogram baseret på risikostratificering ud fra individuelle risikofaktorer, og her er malignitetskarakteristik ved transabdominal ultralyd (UL)-skanning et velegnet redskab. I 2005 publicerede Rosenberg & Strandberg en statusartikel [1], som siden har ligget til grund for behandlingen af GBP i Danmark. Nu er der kommet ny viden, og de internationale guidelines er ændret. Med denne statusartikel ønsker vi at belyse dette med henblik på at ændre praksis.
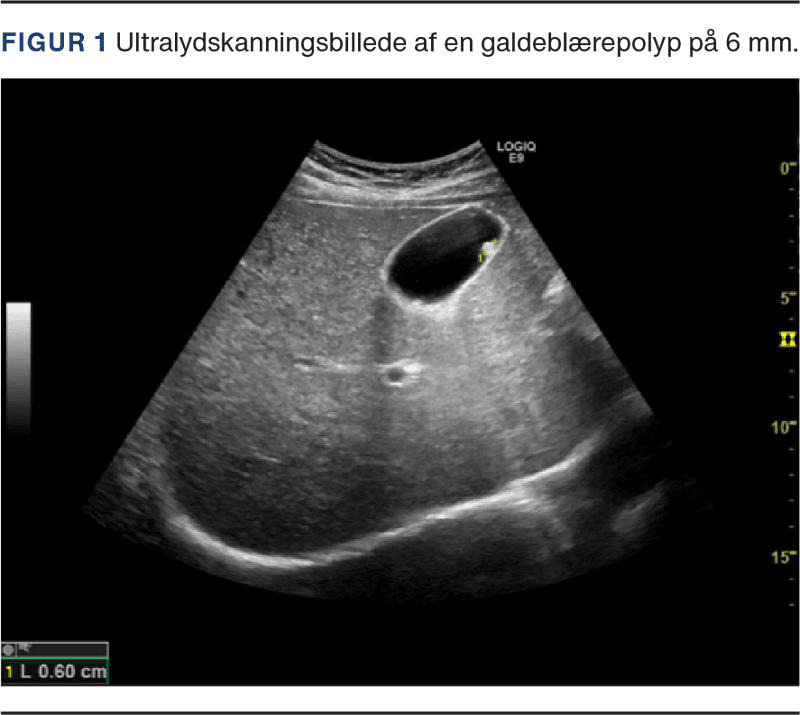
GBP er defineret som en elevation af galdeblærens slimhinde, der prominerer mod lumen uden at kaste slagskygge ved UL-skanning (Figur 1). GBP diagnosticeres oftest som et tilfældigt fund i forbindelse med billeddiagnostiske undersøgelser såsom CT, UL- og MR-skanning eller ved undersøgelse af galdeblærens slimhinde efter kolecystektomi. Der er tale om et hyppigt fund med en prævalens i den globale population på 5-12% [2]. GBP findes tilfældigt i op til 13,8% ved histopatologisk undersøgelse af galdeblæreresektater efter kolecystektomi [3].
I sjældne tilfælde kan GBP give anledning til symptomer. Det gælder især større polypper placeret nær galdeblærens infundibulum og kan give symptomer som ved galdestensanfald eller cholecystitis acuta. I disse tilfælde anbefales laparoskopisk kolecystektomi [4].
GBP inddeles traditionelt i ægte polypper (neoplastiske) og pseudopolypper (PP) (nonneoplastiske) [5].
Ægte polypper inkluderer benigne tumorer, intrakolecystisk-papillær-tubulær neoplasi (IPTN), maligne tumorer (adenokarcinomer), metastaser og andre mere sjældne, mesenkymale og lymfoide tumorer [5]. IPTN, tidligere kaldet adenomer, er langt oftest benign, men menes at kunne udvikle sig malignt som adenomer i colon. Den tidsmæssige sammenhæng er endnu ukendt, men i 5-23% er IPTN estimeret som et muligt forstadie af GBC [6]. Et nyere populationsstudie sætter dog spørgsmålstegn ved denne relation [7].
I et systematisk review karakteriseres op mod 65-97% af GBP som PP . PP inkluderer kolesterolpolypper, adenomyomatose og inflammatoriske polypper, og da de ikke har malignt udviklingspotentiale, skal de ikke følges [2, 8].
I Danmark er incidensraten for GBC 4/100.000 [9]. Overlevelsen ved GBC er lav, og dødeligheden stiger i takt med stadieinddelingen, således at patienter med T4-tumorer eller N-stadie har en femårsoverlevelse på < 25%, mens femårsoverlevelsen ved T1-tumorer er 100%. Størstedelen diagnosticeres ved udbredt sygdom, og den samlede femårsoverlevelse er opgjort til 29%. En af grundene til den lave overlevelse er sen debut af symptomer [10].
Risikofaktorer for GBC er asiatisk og/eller indisk etnicitet, primær skleroserende kolangitis (PSC), galdestenssygdom (især store sten > 30 mm og in situ > 20 år), adipositas (BMI >30 kg/m2), kronisk infektion af galdeblærens slimhinde med Helicobacter pylori, tyfus eller paratyfus samt alder > 60 år [2, 4].
UL-skanning er den foretrukne undersøgelse til diagnostik og kontrol af GBP med en sensitivitet og specificitet på henholdsvis 83% og 96% for ægte polypper [11]. Endoskopisk UL (EUL)-skanning og UL-skanning med kontrast (CEUS) anbefales ikke rutinemæssigt, men kan eventuelt overvejes til at støtte beslutningstagningen i tvivlstilfælde [2, 4]. EUL-skanning har den højeste sensitivitet [2, 12]. CEUS- og Color-Dopplerskanning (CDI) visualiserer kar og kan i nogle tilfælde bidrage med hjælp til at skelne sludge og småsten i galdeblæren fra neoplasi [13]. CT og MR-skanning har ingen plads i forhold til diagnostik af GBP, men CT og PET-CT anvendes til stadieinddeling af GBC [2].
På grund af let adgang til laparoskopisk kolecystektomi i Danmark har bioptering af GBP ingen plads i diagnostikken af GBC [2].
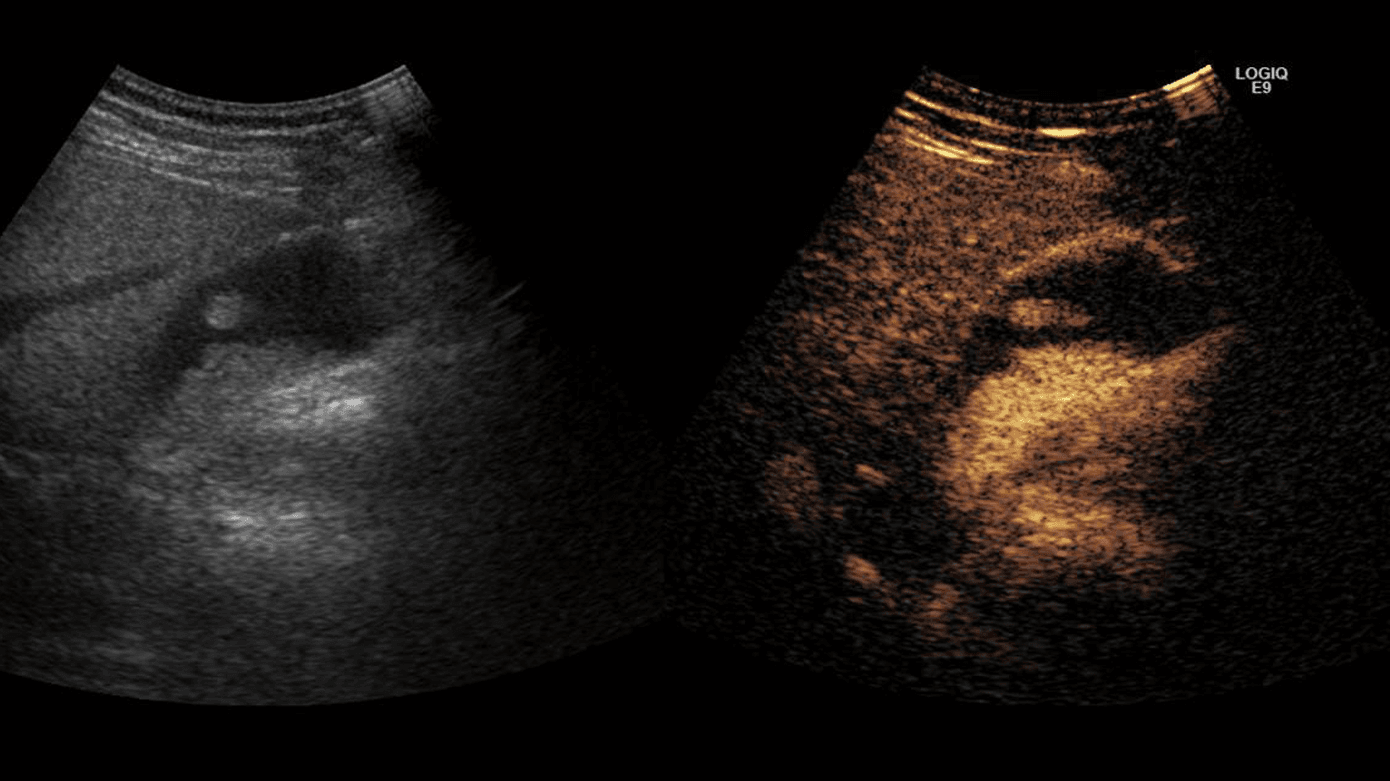
Risikofaktorer for GBC ved UL-skanning er solitære polypper, størrelse > 10 mm, sessil (bredbaset) form, samtidig lokalfortykkelse af galdeblærevæggen > 4 mm og/eller opbrydning af den normale lagdeling af galdeblærevæggen (Figur 2). Ved brug af CEUS-skanning og/eller CDI kan øget vaskularisering bestyrke mistanke om malignitet, men ikke bidrage med definitiv diagnose [2] (Figur 2).
Påvisning af det karakteristiske UL-artefakt comet tail – en slags »posterior reverberation« i relation til uregelmæssigheder i galdeblærevæggen – er et benignt fund og indikerer, at der er tale om kolesterolaflejringer, hyppigst i forbindelse med adenomyomatose eller kolesterolose, og derfor findes ikke indikation for yderligere opfølgning [2].
Det er generelt ikke muligt med sikkerhed at skelne mellem PP og ægte polypper ved UL-skanning, særligt ikke mindre GBP, ej heller ved anvendelse af CDI eller CEUS-skanning.
Laparoskopisk kolecystektomi er et sikkert indgreb med lav mortalitet. Risikoen for alvorlige komplikationer er lav (0,4-0,5%) [14-16]. Rekonvalescensen er 2-3 dage hos raske mennesker [17], og derfor anbefales laparoskopisk kolecystektomi til patienter i øget risiko for GBC. Er der mistanke om eller påvist malignitet, skal patienten henvises til multidisciplinært team (MDT)-konference ved et hepatobiliært center [2, 4, 8].
I 2022 udgav både World Federation of Ultrasound in Medicine & Biology (WFUMB) og de europæiske radiologiske og gastrointestinale selskaber European Society of Gastrointestinal and Abdominal Radiology, European Association for Endoscopic Surgery and other Interventional Techniques, International Society of Digestive Surgery – European Federation og European Society of Gastrointestinal Endoscopy nye anbefalinger om opfølgningsprogrammer ved fund af GBP. Sidstnævnte er en opdatering af tidligere anbefalinger fra 2017, som hidtil er anbefalet af Dansk Kirurgisk Selskab til bestemmelse af opfølgningsprogrammer for GBP [1, 2, 4, 8]. Her frafaldes den tidligere anbefaling om opfølgning af GBP på < 6 mm, såfremt patienten ikke har risikofaktorer for malignitet [4]. Society of Radiologists in Ultrasound udgav samme år de hidtil mindst restriktive anbefalinger, hvori GBP < 9 mm afsluttes uden opfølgning [18].
Alle patienter med GBP > 10 mm anbefales laparoskopisk kolecystektomi uanset symptombillede. Ved mistanke om malignitet skal patienten henvises til MDT-konference ved et hepatobiliært center. I tvivlstilfælde kan EUL- og CEUS-skanning overvejes til yderligere karakterisering, men definitive kriterier for malignitet kan ikke forventes. Øvrige patienter tilbydes operation på et lokalt sygehus.
Patienter med symptomgivende GBP ≤ 10 mm bør tilbydes laparoskopisk kolecystektomi. Her anbefales udredning af differentialdiagnoser, da GBP kun sjældent giver anledning til symptomer.
Ved GBP på 6-9 mm uden individuelle risikofaktorer eller malignitetskarakteristika på UL-skanning anbefales kontrol efter seks, 12 og 24 måneder. Kontrolforløbet kan afsluttes, såfremt der ikke er konstateret vækst > 2 mm og ikke er konstateret malignitetskarakteristika ved UL-skanning inden for 24 måneder.
Patienter med GBP på 6-9 mm med individuelle risikofaktorer eller malignitetskarakteristika ved UL-skanning tilbydes laparoskopisk kolecystektomi. Sidstnævnte patienter henvises til et leverkirurgisk center.
Patienter med GBP < 6 mm uden risikofaktorer eller malignitetskarakteristika på UL-skanning kan afsluttes. Hos patienter med risikofaktorer anbefales kontrol efter seks, 12 og 24 måneder. Opfølgningsprogrammet afsluttes, hvis GBP ikke genfindes ved UL-skanning.
Individuelle risikofaktorer, som kræver opfølgning, er ifølge WFUMB indisk etnicitet og kendt PSC [2]. Foley et al anbefaler desuden opfølgning hos patienter > 60 år [4]. Kontrol består af UL-skanning og telefonkonsultation med fokus på symptomer og risikofaktorer.
Der eksisterer ikke specifikke malignitetskriterier, men som malignitetskarakteristika ud over størrelse > 10 mm ved UL-skanning kan anvendes sessil polyp, og der er basis for yderligere mistanke ved fokal opbrydning af galdeblæren, lagdeling eller lokaliseret vægfortykkelse > 4 mm. WFUMB nævner desuden, at solitær polyp og øget vaskularisering ved CEUS-skanning og/eller CDI har været anvendt som indikator for mulig øget risiko, men dette er ikke evidensbaseret.
Ovenstående anbefalinger fra WFUMB og Wiles et al [8] er samlet i et flow chart for at lette den kliniske forståelse og anvendelse (Figur 3).
De seneste internationale guidelines anbefaler at frafalde anbefalingen om at følge GBP < 6 mm hos patienter uden risikofaktorer med halvårlig UL-skanning. Dette baseres på udgivelsen af et større populationsstudie med 20-årsopfølgning, som sætter spørgsmålstegn ved selve teorien omkring udviklingen fra IPTN til adenokarcinom og under alle omstændigheder understøtter, at små GBP yderst sjældent udvikler sig til GBC, særligt ikke hos patienter uden risikofaktorer [7]. Det samme populationsstudie danner også baggrund for endnu en anbefaling til håndtering af GBP, nemlig Society of Radiologists in Ultrasound, som i 2022 publicerede de hidtil mindst restriktive anbefalinger med henblik på håndtering af ukomplicerede GBP: ingen opfølgning op til 9 mm og kirurgisk vurdering ved GBP > 15 mm [18]. Et dansk kohortestudie af 154 patienter med tiårs-UL-skanningskontrol af små GBP < 6 mm viste ingen cancerudvikling og understøtter således denne hypotese [19].
Der er enighed om, at høj alder muligvis er en risikofaktor for GBC [2, 4], men tærskelværdien er omdiskuteret. Wiles et al anser alder > 60 år som risikofaktor baseret på et systematisk review [20] af 12 studier med i alt 5.482 patienter, men med moderat datakvalitet støttet af en aldrende befolkningsgruppe på globalt plan. I 2017 angav samme forfattere alder > 50 år som tærskelværdi, men understregede dengang, at dette var besluttet på baggrund af konsensus og ikke evidens [8].
WFUMB opfordrer til, at ved alder > 50 år kan man overveje at lade andre UL-teknikker indgå i risikovurderingen, uden at dette alene kan tjene som sikkert diagnostisk udslagsgivende [21-24]. Opfordringen er blandt andet baseret på et systematisk review med 21 studier, hvor der var en signifikant sammenhæng mellem GBC og alder > 50 år [21].
Etnicitet som risikofaktor er undersøgt i et større systematisk review, som angiver indisk etnicitet som risikofaktor [20], mens et andet systematisk review finder, at asiatisk etnicitet er en risikofaktor [25]. WFUMB anbefaler, at indisk etnicitet indregnes som risikofaktor, mens Wiles et al anbefaler asiatisk etnicitet. Af øvrige risikofaktorer anses PSC som risikofaktor for begge grupper [26].
Der er enighed om sessil form af GBP associeret med ændret vægstruktur og lokaliseret galdeblærevæg > 4 mm som risikofaktor ved UL-skanning. Anbefalingerne fra Wiles et al inkluderer aktuelt ikke solitære polypper som risikofaktor for GBC, men understreger, at dette fund med samtidig forekomst af øvrige risikofaktorer for GBC bør øge mistanken. WFUMB inkluderer denne parameter som risikofaktor ved UL-skanning og foreslår eventuelt at inddrage brug af CEUS-skanning og/eller CDI i den samlede vurdering i tvivlstilfælde.
Evidens vedrørende den tidsmæssige udvikling fra GBP til GBC er sparsom. I ingen studier har man hidtil kunnet påvise, at opfølgningsprogrammer for GBP øger overlevelsen for GBC, ligesom sammenhængen mellem vækst på UL-skanning og malign transformation er tvivlsom [7]. I det hidtil største populationsstudie med 20-års opfølgning er der ikke fundet forskel i antallet af GBC i gruppen med og uden GBP [7].
Der er behov for nye studier af høj kvalitet, der belyser både risikofaktorer og den tidsmæssige udvikling fra GBP til GBC.
GBP er et hyppigt, tilfældigt fund ved billeddiagnostiske undersøgelser, og vi bruger betydelige ressourcer i sundhedsvæsenet på opfølgning. Baseret på nylige internationale guidelines anbefaler vi, at danske patienter med GBP tilbydes et opfølgningsprogram baseret på risikostratificering ud fra individuelle risikofaktorer. For små GBP < 6 mm støtter alle ovenstående studier et mere begrænset behov for opfølgning end hidtil. Størstedelen af GBP er PP, som aldrig vil udvikle sig malignt, og disse skal afsluttes. Ægte GBP kan dog formentligt i sjældne tilfælde udvikle sig malignt. Grundet den høje mortalitet ved GBC bør disse følges, og patienter med individuelle risikofaktorer eller malignitetskarakteristika ved UL-skanning bør tilbydes kirurgisk vurdering med henblik på laparoskopisk kolecystektomi.
Korrespondance Marie-Louise Kjærgaard Kjær. E-mail: mkjar@regionsjaelland.dk
Antaget 24. maj 2023
Publiceret på ugeskriftet.dk 3. juli 2023
Interessekonflikter Der er anført potentielle interessekonflikter. Forfatternes ICMJE-formularer er tilgængelige sammen med artiklen på ugeskriftet.dk
Referencer findes i artiklen publiceret på ugeskriftet.dk
Artikelreference Ugeskr Læger 2023;185:V03230216
Marie-Louise Kjærgaard Kjær, Liv Willer Erritzøe, Ulf Frederik Helgstrand & Christian Pállson Nolsøe
Ugeskr Læger 2023;185:V03230216
Gallbladder polyp (GBP) is a common yet often incidental finding in abdominal imaging. Gallbladder cancer is a rare disease with a high mortality due to late onset of symptoms and diagnostics. Most GBPs are pseudopolyps which do not undergo malignant transformation, however some are true neoplastic polyps with a malignant potential. In this review based on newly published international guidelines we recommend management in terms of assessment of individual risk factors as well as ultrasound features associated with risk of malignancy. A diagram with suggested algorithm is provided.