Skip to main content

Oral fokal epitelial hyperplasi

Jeppe U. Schwenger, Christian von Buchwald & Henning Lindeberg

2. nov. 2005
7 min.

Introduktion: Fokal epitelial hyperplasi er en oral virussygdom, som skyldes humant papillomvirus type 13 eller 32. Den er hverken særlig almindelig eller kendt i Danmark, skønt den oprindelig er beskrevet af en dansker. I andre områder af verden ses sygdommen hyppigere, og forekomsten i Danmark må forventes at stige i takt med indvandringen. Fokal epitelial hyperplasi viser sig som eksofytiske elementer i oral mucosa og kan forveksles med fx kondylomer og papillomer, hvorfor der præsenteres metoder til præcis diagnostik.

Materiale og metoder: Der præsenteres fem patienter, som har fået diagnosticeret fokal epitelial hyperplasi ved in situ-hybridisering eller ved PCR med konsensusprimere, efterfulgt af analyse af restriktionsfragmentpolymorfien.

Resultater: Hos alle fem patienter kunne diagnosen stilles ved en af de to metoder, dog er begge udført på tre patienter. Tre patienter var inficeret med humant papillomvirus type 32 og to patienter med humant papillomvirus type 13. Der var ikke blandingsinfektion med flere humant papillomvirustyper hos nogen af patienterne.

Diskussion: En kliniker, som sjældent møder sygdommen, vil ofte være i tvivl om diagnosen. I tvivlstilfælde bør der foretages diagnostik med humant papillomvirustypebestemmelse af orale elementer. Ved mistanke om orale kondylomer, især hos børn, er præcis diagnostik et værdifuldt redskab, så evt. mistanke om seksuelt misbrug kan afkræftes. Materiale til diagnostik er nemt at høste; nemlig ved skrab med en spatel på elementet.

I 1894 omtalte den danske læge Helms (1) nogle forandringer i mundslimhinden hos grønlændere. Han mente, at det drejede sig om forandringer, der var forårsaget af tobak eller syfilis, og dette er sandsynligvis den første omtale af den eksofytiske slimhindeforandring, der siden 1965 er blevet betegnet som fokal epitelial hyperplasi (FEH) eller Hecks disease. Siden er tilstanden blevet beskrevet mange steder i verden, inklusive i de skandinaviske lande (2). FEH synes at være hyppigst blandt indianere, hos inuitter samt i landene omkring Middelhavet (3, 4).

Klinisk kan slimhindeelementerne forveksles med egentlige papillomer - de adskiller sig dog fra papillomernes blomkålsagtige overflade og faste konsistens ved som regel at være glatte på overfladen og føles bløde ved palpation. Farven er som den omgivende slimhindes eller lidt lysere, og det er karakteristisk, at elementerne »forsvinder«, når slimhinden strækkes. Histologisk ses akantose, koilocytlignende celler samt lejlighedsvist »mitosoide« celler i str. spinosum (5). Hyperplasierne er ikke keratiniserede på overfladen, medmindre de bliver udsat for vedvarende mekanisk påvirkning. Histologisk kan forandringerne forveksles med planocellulære papillomer eller kondylomer, idet fravær af papillomatose måske vil kunne opfattes som et lejringsfænomen.

FEH indeholder altid humant papillomvirus (HPV) type 13 eller type 32, som næsten aldrig ses uden for mundhulen (6). Dette i modsætning til de orale papillomer, hvor adskillige andre HPV-typer er fundet, først og fremmest HPV type 6 og HPV type 11, der i øvrigt forekommer bredt i papillomer på slimhinder i hoved-hals-området (7-9).

Da det kan være vanskeligt at stille diagnosen FEH ud fra det kliniske billede, kan sygdommen fejlagtigt tolkes som orale kondylomer eller en anden papillomlidelse. Vi finder det således relevant at præsentere metoder til HPV-typebestemmelse, som kan udføres af enhver kliniker.

Materialer og metoder

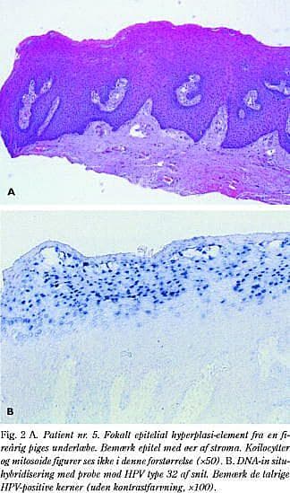
Der er udvalgt fem patienter, på hvem der er udført diagnostik på orale papillomatøse elementer og påvist FEH. En patient var henvist til øre-næse-hals-kirurgisk klinik på Rigshospitalet, i april 2000; de øvrige fire var henvist til Århus Tandlægeskole i perioden 1982-2000 (Tabel 1 ). På fire af de fem patienter blev der foretaget biopsi af elementerne, men hos en patient blev der ikke opnået samtykke hertil, hvorfor der er udført diagnostik på et celleskrab med træspatel fra elementerne. Biopsierne blev udført skarpt, mhp. at excidere elementerne; de kan evt. være fulgt af suturering. Patienten på Fig. 1 fik med CO2 -laser evaporeret restelementer efter den kirurgiske biopsi. Biopsierne blev undersøgt med mikroskopi af hæmatoksilin-eosinfarvede snit (Fig. 2A ).

Et eller flere snit benyttes til in situ-hybridisering (10). Man udnytter her, at dobbeltstrenget DNA denaturerer ved opvarmning og danner enkeltstrenget DNA. De opvarmede (kogte) snit med denatureret, enkeltstrenget DNA inkuberes natten over ved 42 °C med mærkede, enkeltstrengede DNA-prober mod HPV type 2, 6, 11, 13, 16, 18 og 32 (nogle kan udelades eller tilføjes afhængig af den kliniske og mikroskopiske mistanke), og vil således hybridisere med komplementært eller såkaldt target -DNA i det histologiske snit - såfremt dette er til stede i vævet. DNA-proberne er mærket med digoxigenin, der er et digoxinlignende protein. Snittene inkuberes nu med antidigoxigenin, der er konjugeret til basisk fosfatase, som herefter kan reagere med Nitro Blue Tetrazolium (NBP) og 5-Bromo-4-Chlor-3-Indolyl-Phosfat (BCIP) og danne et blå-sort præcipitat. Ved tilstedeværelse af HPV af en af de typer, der er testet for, ses således mørke kerner i epitelets øverste lag (Fig. 2B ).

Der blev i fire tilfælde ekstraheret DNA til PCR og efterfølgende gelelektroforese. Fra histologiske snit oprenses DNA ved behandling med proteinase K, tre timer ved 65 °C, efterfulgt af centrifugering for at adskille den vandige komponent fra paraffinen. Derefter inaktiveres proteinasen ved opvarmning til 95 °C i 10 min. Den vandige komponent kan herefter anvendes til PCR. Fra skrabespatler overføres skrabet direkte til fysiologisk saltvand. Herefter udføres PCR med HPV-konsensusprimere MY09 og MY11 (11). Dette fører til amplificering af et 450 bp. stort HPV-DNA-stykke, som efter gelelektroforese isoleres, udskæres af gelen og oprenses, hvorefter det skæres med DNA-restriktionsenzym, i dette tilfælde Hae III. Ved fornyet ge lelektroforese identificeres HPV-typen ved sit restriktionsfragmentmønster (Fig. 3 ).

Resultater

Fem patienter fra fire til 56 år, i gennemsnit 16 år, fik diagnosticeret FEH (Tabel 1). Patient nr. 1 fik som den eneste foretaget kirurgisk fjernelse af alle FEH-elementerne, men der opstod recidiv kort tid efter. Ved kontrol et år senere blev der fundet komplet remission. Hos alle fem patienter blev diagnosen konfirmeret ved in situ-hybridisering eller ved PCR med konsensusprimere, efterfulgt af en analyse med restriktionsfragmentpolymorfi. I tre tilfælde blev begge metoder udført og alle med positivt resultat (Tabel 1). I to tilfælde fandtes HPV type 13, og hos tre fandtes HPV type 32. Der var ikke superinfektion med flere HPV-typer i nogen tilfælde. Kun hos patient nr. 1 var der familiær disposition, idet mater havde haft lignende som barn.

Diskussion

FEH forekommer sjældent i Danmark, men med det stigende antal tilflyttere må tilstanden forventes at forekomme med tiltagende hyppighed. Da en del tilfældene netop findes hos børn, og da der er en vis mulighed for at forveksle FEH med kondylom (tilfældene 1 og 4) (12), har vi fundet det relevant at gøre opmærksom på problematikken, samt nogle af de DNA-diagnostiske muligheder, der findes (13). Klinisk er diagnosen FEH som regel let at stille, når man en gang har set de karakteristiske elementer.

Ved mistanke om FEH (eller kondylom) er det muligt at bekræfte diagnosen ud fra PCR på et afskrab fra tumorens overflade, som sendes ufikseret til analyse. Denne undersøgelse udmærker sig ved at være smertefri og ikkeinvasiv, nem at udføre og forsende, billig og med høj specificitet og sensitivitet.

Når diagnosen er stillet, giver sygdommen ikke nævneværdige problemer, og der er ikke tale om noget malignt potentiale. Man kan dog ikke i alle tilfælde gå ud fra, at slimhindeelementerne vil regrediere spontant. Det er vor opfattelse, at når diagnosen er stillet, er der ikke indikation for at fjerne eventuelle residualelementer, medmindre de er kosmetisk skæmmende eller er funktionshindrende.

Mistanke om seksuelt misbrug kan være meget belastende for alle parter, og såfremt mistanken alene baseres på mere eller mindre kondylomlignende orale forandringer, forekommer det os rimeligt at gennemføre en HPV-typebestemmelse.

Det skal dog nævnes, at vi ikke opfatter tilstedeværelsen af kondylomlignende forandringer som nogen indikator for, at barnet har været udsat for seksuelt misbrug.


Jeppe U. Schwenger , Kovangen 108, DK-3480 Fredensborg. E-mail: jeppe.schwenger@get2net.dk

Antaget den 20. marts 2002.

H:S Rigshospitalet, øre-næse-halskirurgisk klinik, og

Aarhus Universitet, Odontologisk Institut, Laboratoriet for Oral Patologi.

Referencer

  1. Helm O. Syfilis i Grønland. Ugeskr Læger 1894; 1: 5. rk.: 265-76.
  2. Lindeberg H. Fokal epitelial hyperplasi. Den norske Tannlægeforenings Tidende 1976; 86: 207-10.
  3. Clausen FP. Geografical aspects of oral focal epithelial hyperplasia. Path Microbiol 1973; 39: 204-13.
  4. Archard HO, Heck JW, Stanley HB. Focal epithelial hyperplasia. Oral Surg Oral Med Oral Pathol 1965; 20: 201-14.
  5. Prætorius F. HPV-associated diseases of oral mucosa. Clin Dermatol 1997; 15: 399-413.
  6. Rolighed J, Sørensen IM, Jacobsen NO, Lindeberg H. The presence of HPV types 6/11, 13, 16 and 33 in bowenoid papulosis in an HIV-positive male, demonstrated by DNA in-situ hybridization. APMIS 1991; 99: 583-5.
  7. Sjø N, Lindeberg H, Heegaard S, Buchwald C. Human papillomavirus in conjunctival papillomas. Br J Ophtal 2001; 85: 785-7.
  8. Lindeberg H, Johansen L. The presence of human papillomavirus (HPV) in solitary adult laryngeal papillomas demonstrated by in-situ DNA hybridization with sulphonated probes. Clin Otolaryngol 1990; 15: 367-71.
  9. Buchwald C, Franzmann M-B, Jacobsen GH, Lindeberg H. Human papillomavirus (HPV) in sinonasal papillomas: a study of 78 cases using in situ hybridisation and PCR. Laryngoscope 1995; 105: 66-71.
  10. Rolighed J, Lindeberg H. Human papilloma virus (HPV) type 11 DNA in laryngeal papillomas and in condylomatous lesions demonstrated by in-situ hybridization with non-radioactive Digoxi-genin labelled DNA probes. Mannheim: Boehringer, 1992.
  11. Tieben L, Schegget J, Minnaar RP, Bouwes-Bavinck JN, Berkhout RJ, Vermeer BJ et al. Detection of cutaneous and genital HPV types in clinical samples by PCR using consensus primers. J Virol Methods 1993; 42: 265-79.
  12. Flaitz CM. Focal epithelial hyperplasia: a multifocal oral human papilloma virus infection. Pediatr Dent 2000; 22: 153-4.
  13. Lindeberg H. Påvisning af humant papilloma virus: anvendt molekylær patologi. Tandlægebladet 1997; 101: 186-91.