Skip to main content

Øvre luftvejsobstruktion ved lidelser i gl. thyroidea

Ole Greisen & Jim Thuesen Pedersen

2. nov. 2005
13 min.

Introduktion: Respirationsbesvær (stridor) ved lidelser i gl. thyroidea er et ikke sjældent, men ofte overset symptom specielt hos ældre, hvor det kan forveksles med asthma eller kronisk bronchitis.

Materiale og metoder: For at vurdere værdien af lungefunktionsundersøgelse i differentialdiagnostikken ved øvre luftvejsobstruktion har denne undersøgelse været anvendt hos 33 patienter, der var indlagt med struma og respirationsbesvær på øre-næse-halsafdelingen, Aalborg Sygehus. Den kliniske undersøgelse omfattede en vurdering af respirationen, undersøgelse af stemmebåndenes bevægelighed, thyroideaparametre, Tc-scintigrafi, UL-undersøgelse og røntgenundersøgelse af thorax med trachea op til glottisniveau samt evt. CT. Hos alle patienter blev der udført lungefunktionsundersøgelse præ- og postoperativt i form af konventionel spirometri med registrering af flowvolumenkurven og anvendelse af peak expiratory flow (PEF), maksimalt eksspiratorisk og inspiratorisk flow ved 50% af vitalkapaciteten (MEF 50 og MIF 50) og MEF 50/MIF 50.

Resultater: Den operative behandling bestod i hemityroidektomi i ti tilfælde og total tyroidektomi i 23 tilfælde. I alle tilfælde kom der objektivt en betydelig bedring i respirationen, og røntgenundersøgelsen viste en normalisering af tracheas lumen. I 24 af 33 tilfælde (73%) havde flowvolumenkurven præoperativt en form, der var forenelig med en variabel øvre luftvejsobstruktion (dvs. MIF 50 <MEF 50). Postoperativt fandtes en stigning i PEF hos 21 patienter (64%) og MEF 50/MIF 50 <1 hos 19 patienter (58%).

Diskussion og konklusion: Det er vigtigt at skelne mellem respirationsbesvær, der er forårsaget af obstruktion i de øvre luftveje (stridor) og dyspnø ved kardiopulmonale lidelser. Lungefunktionsundersøgelse med registrering af flow-volumenkurven og måling af MEF, MIF og PEF er et værdifuldt supplement, idet man i ca. 60% af tilfældene finder forhold, som tyder på øvre luftvejsobstruktion. Lungefunktionsundersøgelse præ- og postoperativt kan benyttes som en god kontrol af det operative indgreb på gl. thyroidea.

.

Respirationsbesvær ved lidelser i gl. thyroidea er et ikke sjældent, men ofte overset symptom specielt hos ældre, hvor det kan forveksles med asthma eller kronisk bronchitis. I et 10-års-materiale, der bestod af 1.552 thyroideaoperationer på øre-næse-halsafdelingen på Aalborg Sygehus var indikationerne for kirurgisk indgreb i 9,4% af tilfældene respirationsbesvær, der var forårsaget af kompression af trachea pga. struma. I ca. en tredjedel af tilfældene var der subjektivt respirationsbesvær, i ca. en tredjedel var der objektivt påviselig respirationsbesvær med hørlig respiration og stridor ved forceret respiration, og i ca. en tredjedel var der respirationsbesvær med stridor i hvile (1). Det kræver ofte betydelig klinisk erfaring at vurdere, om et respirationsbesvær skyldes obstruktion i de øvre luftveje, eller om det skyldes dyspnø, der er forårsaget af kardiopulmonale lidelser, eller evt. en kombination af begge. For at vurdere, om objektiv måling af respirationsforholdene kan være nogen hjælp i differentialdiagnostikken, har vi undersøgt en række patienter med obstruktivt respirationsbesvær pga. trakealkompression, der var forårsaget af tryk af en forstørret gl. thyroidea.

Materiale og metoder

Materialet omfatter 33 af de patienter, som gennem de seneste tre år har været indlagt på øre-næse-halsafdelingen på Aalborg Sygehus med obstruktivt respirationsbesvær pga. struma. Alderen var 22-85 år, gennemsnit: 64 år. Der blev foretaget en klinisk vurdering af respirationen, palpation af halsen og undersøgelse af stemmebåndenes bevægelighed ved indirekte laryngoskopi eller ved fiberlaryngoskopi. Patienter med præoperativ recurrensparese indgik ikke i undersøgelsen.

Der blev i alle tilfælde taget thyroideaparametre (T3, T4 og TSH) og foretaget technetiumscintigrafi, UL-undersøgelse og røntgenundersøgelse af thorax med fremstilling af trachea op til glottisniveau samt evt. suppleret med CT. Alle patienter var eutyroide og ingen havde tidligere været opereret eller behandlet med J 131. Ca. en måned efter den operative behandling blev der foretaget en ny røntgenundersøgelse af thorax-trachea.

Hos alle patienter blev der udført lungefunktionsundersøgelse præoperativt og ca. en måned efter den operative behandling i form af konventionel spirometri med registrering og visuel vurdering af flowvolumenkurven. Følgende parametre blev anvendt: peak expiratory flow (PEF), maksimalt eksspiratorisk flow ved 50% af vitalkapaciteten (MEF 50) samt maksimalt inspiratorisk flow ved 50% af vitalkapaciteten (MIF 50). På basis af disse parametre blev ratio MEF 50/MIF 50 beregnet. En værdi af denne 1 tyder på øvre luftvejsobstruktion. Lungefunktionsundersøgelsen blev udført efter de kriterier, som er angivet af European Respiratory Society (2).

Resultater

Den operative behandling bestod i hemityroidektomi i ti tilfælde (vægt 46-373 g, gennemsnit: 178 g) og total tyroidektomi i 23 tilfælde (vægt 62-495 g, gennemsnit: 243 g). Det har således i alle tilfælde drejet sig om en relativt stor struma. I intet tilfælde var det nødvendigt at foretage sternumsplit selv ved en stor intratorakal udbredelse af strumaen. Der opstod ikke recurrensparese i noget tilfælde, og det var ikke nødvendigt at foretage trakeostomi i noget tilfælde. I enkelte tilfælde med svær stenose blev patienten holdt nasotrakealt intuberet natten over og kunne herefter ekstuberes morgenen efter operationen.

Den histologiske diagnose var kolloid struma i 28 tilfælde, benignt follikulært adenom i tre tilfælde, follikulært karcinom i et tilfælde og papillært karcinom i et tilfælde, begge karcinomer var uden indvækst i trachea eller i omgivelserne.

Ved klinisk undersøgelse af respirationen var der hos 27 af de 33 patienter objektiv påvirkning af respirationen. I 17 tilfælde var der hørlig eller let stridorøs respiration i inspiriet, i ti tilfælde var der svær stridor. I de resterende seks tilfælde var der ikke objektiv påvirkning af respirationen hverken i hvile eller ved forceret respiration, men der var subjektivt respirationsbesvær ved anstrengelser, eller når patienten indtog visse stillinger, fx et bestemt sideleje eller en bestemt stilling af hoved-hals. Der var i alle disse tilfælde præoperativt røntg enologiske tegn på kompression af trachea, og postoperativt var flowvolumenkurven ved visuel aflæsning i alle tilfælde tydeligt bedret. I fem af seks tilfælde var samtlige eksspiratoriske flowværdier tydeligt bedret.

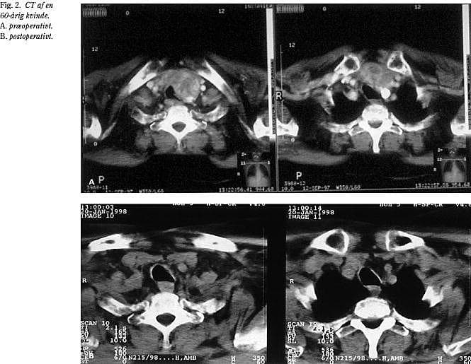
Røntgenundersøgelsen viste kompression af trachea i næsten alle tilfælde. Kun i to tilfælde med symptomer på øvre luftvejsobstruktion viste almindelig røntgenundersøgelse med forfra- og sideoptagelse ingen forsnævring. I de øvrige 31 tilfælde var der kompression af tracheas lumen i varierende grad, ofte med en betydelig dislokation. Den postoperative røntgenundersøgelse viste i alle tilfælde en betydelig bedring og en normalisering af tracheas lumen. Denne effekt indtraf hurtigt, undertiden i løbet af få dage, og subjektivt bedredes respirationen meget hurtigt, ofte i løbet af få timer (Fig. 1 og Fig. 2).

Præoperativt havde flowvolumenkurven i 24 tilfælde former, der var forenelige med en variabel øvre luftvejsobstruktion, dvs. maksimalt inspiratorisk flow mindre end maksimalt eksspiratorisk flow.

MEF 50/MIF 50 var >1 i 20 tilfælde. Inspirationskurverne var i et tilfælde teknisk uegnede præoperativt og var i to tilfælde teknisk uegnede postoperativt. Postoperativt fandtes MEF 50/MIF 50 <1 hos 19 patienter (58%), og der blev fundet en signifikant stigning (20%) i PEF hos 21 patienter (64%) (Fig. 3).

Diskussion

Respirationsbesvær hos ældre er et hyppigt forekommende symptom, som oftest skyldes kardiopulmonale tilstande. Obstruktion i de øvre luftveje er imidlertid ikke sjældent forekommende hos patienter med struma (3, 4). Tilstanden udvikler sig sædvanligvis langsomt og gradvist og kan give symptomer, som af den ikke-øvede kan forveksles med dyspnø ved kardiopulmonale lidelser (5). Det er vigtigt at kunne skelne mellem denne dyspnø og stridor. Ved obstruktion i de øvre luftveje er respirationen på karakteristisk måde hørlig eller stridorøs, først i inspiriet og i svære tilfælde også i eksspiriet. Obstruktionen kan skyldes lidelser i larynx fx tumor, ødem, infektion, dobbeltsidig recurrensparese eller larynx-tracheastenose, men kan også skyldes udefrakommende tryk pga. en tumor eller en struma, specielt hvis denne er lokaliseret i apertura thoracis superior. Tilstanden er vigtig at erkende, da den er relativt enkel at behandle. I flere af de publicerede arbejder (3, 6) er der ikke skelnet mellem disse tilstande.

Spirometri bruges i udstrakt grad ved udredning af patienter med lungesygdomme, men har kun fundet beskeden anvendelse ved mistanke om øvre luftvejsobstruktion. Fra dansk side foreligger der to publikationer om spirometri ved øvre luftvejsobstruktion, hver med en enkelt patient, der er undersøgt før og efter regression af obstruktionen, som var henholdsvis en dobbeltsidig stemmebåndsparese og en stemmebåndspolyp (7, 8).

I et materiale på 13 tilfælde af multinodøs struma har Nygård et al (6) i 11 tilfælde fundet flowvolumenkurver, der var typiske for øvre luftvejsobstruktion forud for behandling med J131. Hos ni patienter var FEF 50/FIF 50 (forced expiratory flow/forced inspiratory flow) >1,2 før behandlingen og hos fire patienter efter behandlingen. Gennemsnitlig aftog FEF/FIF fra 1,45 til 1,03. Hos alle var der subjektiv bedre respiration. Ved røntgenundersøgelse var lumen før og efter behandlingen normal i fem tilfælde (i to af disse var respirationen normal, men med flowvolumenkurver, der var typiske for øvre luftvejsobstruktion, og abnorme respirationsparametre). I de øvrige otte tilfælde var der stenose ned til 38% af de normale. Ejendommeligt nok var der røntgenologisk ingen ændring af lumen i noget tilfælde på trods af klinisk normal eller forbedret respiration. FIF var bedret hos ti og forværret hos tre. Det blev konkluderet, at flowvolumenkurverne var mere sensitive end røntgenundersøgelsen.

Aflæsning af flowvolumenkurven, ratio MEF 50/MIF 50 og PEF kan støtte vurderingen af øvre luftvejsobstruktion. I vort arbejde var PEF og/eller ratio MEF 50/MIF 50 postoperativt forenelig med aftagende luftvejsobstruktion i 28 tilfælde (85%).

Anvendelse af flowvolumenkurver til bedømmelse af øvre luftvejsobstruktion er ikke uden tekniske og fortolkningsmæssige problemer. Karakteristiske kurveformer kan ses ved forskellige typer af øvre luftvejsobstruktion (9-11). Den maksimale inspirationskurve er langt sværere at udføre korrekt end den tilsvarende maksimale eksspirationskurve, således kan inspirationskurven blive teknisk uegnet, hvis patienten ikke koopererer optimalt. Samtidig kronisk obstruktiv lungesygdom (KOL) eller asthma kan forstyrre tolkningen af eksspirationskurven, således at den karakteristiske kurveform kan maskeres.Ved mistanke om asthma kan en reversibilitetstest være af differentialdiagnostisk betydning.

Det maksimale eksspiratoriske flow svarende til de første 25% af vitalkapaciteten er afhængig af den respiratoriske muskelkraft, mens lungernes mekaniske egenskaber bestemmer størrelsen af det maksimale flow over resten af vitalkapaciteten. Det maksimale inspiratoriske flow er derimod helt afhængig af den anvendte muskelkraft over hele vitalkapaciteten og beror således på en god patientkooperation, som ikke altid er til stede, specielt da det ofte drejer sig om ældre patienter i dårlig almentilstand (9, 11, 12).

Ved en variabel øvre luftvejsobstruktion fx pga. struma kommer der yderligere kompression af trachea under inspirationen, da det intraluminale tryk perifert for obstruktionen bliver lavere end atmosfæretrykket. Det maksimale inspiratoriske flow reduceres, og den inspiratoriske flowkurve afflades, mens lumen i trachea vil være uændret under en forceret eksspiration. Den eksspiratoriske del af flowvolumen-kurven kan således være normal. En intratorakal struma helt distalt for og uden indeklemning i apertura thoracis superior (hvilket er yderst sjældent forekommende) kan forårsage en variabel luftvejsobstruktion, som forværres under eksspirationen ved øgning af det pleurale tryk, men bedres under inspirationen, hvor pleuratrykket falder (10). Dette er således i modsætning til den langt mere almindelige variable luftvejsobstruktion ved ekstratorakal struma eller struma, der er lokaliseret i apertura thoracis superior. Det kliniske billede og flowvolumenkurven kan derfor være vanskelige at vurdere i disse meget sjældne tilfælde, hvor man specielt må være opmærksom på differentialdiagnoserne KOL og asthma bronchiale. Almindelig røntgenundersøgelse suppleret med CT vil dog som regel kunne give diagnosen.

I et større materiale på 51 patienter med struma fandt Geraghty et al (13), at næsten halvdelen havde symptomer på øvre luftvejsobstruktion. Som påvist i vort materiale kan en almindelig røntgenundersøgelse af trachea og thorax ikke i alle tilfælde udelukke en tracheaforsnævring, som kan skyldes en impression af tracheas bageste, membranøse væg eller en impression fra side til side (Fig. 4). Dette er i overensstemmelse med, at otte af 12 af Geraghtys patienter med normal røntgenundersøgelse fik forbedret de postoperative flowvolumenkurver. Han fandt ingen korrelation mellem vægten af gl. thyroidea og de forskellige variable, som kan udledes af flowvolumenkurven, hvilket svarer til resultaterne i vore egne undersøgelser. I lighed med andre (4) vil vi anbefale kirurgisk behandling af patienter med struma og tegn på øvre luftvejsobstruktion frem for behandling med J 131, hvor man i modsætn ing til den kirurgiske behandling ikke har kunnet påvise nogen objektiv bedring i tracheas lumen (6).

Konklusion

Respirationsbesvær (stridor) ved lidelser i gl. thyroidea er et ikke sjældent, men ofte overset symptom specielt hos ældre, hvor det kan opfattes som asthma eller kronisk bronchitis. Differentialdiagnosen mellem dyspnø ved kardiopulmonale lidelser og stridor ved øvre luftvejsobstruktion, fx ved struma, kan være vanskelig, hvis man ikke er rutineret i at vurdere patienter med stridor pga. obstruktion i de øvre luftveje (larynx-trachea). Det er behandlingsmæssigt meget vigtigt af være opmærksom på denne tilstand.

En grundig klinisk undersøgelse med henblik på differentialdiagnosen stridor-dyspnø suppleret med røntgenundersøgelse af thorax-trachea og evt. CT kan dog som regel fastslå diagnosen. Lungefunktionsundersøgelse med registrering af flowvolumenkurven og måling af de respiratoriske parametre specielt MEF, MIF og PEF er et værdifuldt supplement, idet man i ca. 60% af tilfældene finder forhold, som tyder på øvre luftvejsobstruktion. Lungefunktionsundersøgelser er imidlertid behæftet med en vis usikkerhed specielt ved vurderingen af de inspiratoriske forhold, dette kræver en god kooperation af patienterne, hvilket er uheldigt, da netop inspiriet påvirkes først ved obstruktive lidelser i de øvre luftveje. Undersøgelserne præ- og postoperativt kan benyttes som en god kontrol af det operative indgreb.


Ole Greisen, Klostermarken 44, DK-9000 Aalborg.

Antaget den 16. oktober 2001.

Aalborg Sygehus, øre-næse-halsafdeling og lungemedicinsk afdeling.






Summary

Summary Upper airway obstruction in thyroid diseases. Ugeskr L&aelig;ger 2002: 164: 2033-7. Introduction: Respiratory symptoms (stridor ) in thyroid diseases are rather common, but often overlooked, especially in older people in whom they may be misinterpreted as asthma or chronic bronchitis. Material and methods: To assess the value of lung function tests for differential diagnosis we used these tests in 33 patients with upper airway obstruction caused by an enlargement of the thyroid gland.The clinical examination consisted of an evaluation of the respiration, examination of the movement of the vocal chords, thyroid parameters,Tc scintigraphy, ultrasound examination, and X-ray examination of the thorax and trachea up to the level of the glottis, supplemented by a CT scan if needed. Lung function tests were carried out in all patients before and after the operation as conventional spirometry with registration of the flow-volume curve and application of peak expiratory flow (PEF), maximal expiratory and inspiratory flow at 50% of the vital capacity (MEF 50 and MIF 50) and MEF 50/MIF 50. Results: The surgical treatment consisted in hemithyroidectomy in 10 patients and total thyroidectomy in 23 patients. In all cases, considerable clinical improvement in respiration was achieved and the X-ray examination showed a normalisation of the lumen of the trachea. In 24 of 33 patients (73%), the flow-volume curve showed preoperatively a configuration compatible with a variable upper airway obstruction (i.e. MIF 50&lt;MEF 50). An increase postoperatively was found in the PEF of 21 patients (64%) and MEF 50/MIF 50&lt;1 in 19 patients (58%). Discussion: It is important to distinguish between respiratory symptoms (stridor) caused by obstruction of the upper air way and dyspnoea in cardiopulmonary diseases. Lung function tests with registration of the flow-volume curve and measurement of MEF, MIF, and PEF are a useful supplement, as values indicating upper airway obstruction will be present in about 60% of the cases. Lung function tests pre- and postoperatively will serve as a good control on the effect of the operation on the thyroid gland.

Referencer

  1. Greisen O. The thyroid nodule. An analysis of 990 nodules in 1552 patients referred to thyroid surgery. København: Dansk Selskab for Otolaryngologi, Hoved & Halskirurgi, 1998.
  2. European Respiratory Society. Standardized lung function testing. Official statement of the European Respiratory Society. Eur Respir J 1993; 199 (suppl 16): 3-6.
  3. Jauregui R, Lilker ES, Bayley A. Upper airway obstruction in euthyroid goiter. JAMA 1977; 238: 2163-6.
  4. Alfonso A, Christoudias G, Amaruddin Q, Herbsman H, Gardner B. Tracheal or esophageal compression due to benign thyroid disease. Am J Surg 1981; 142: 350-4.
  5. Illum P. Dyspnø eller stridor. Ugeskr Læger 1999; 161: 1781.
  6. Nygaard B, Søes-Petersen U, Høilund-Carlsen PF, Veje A, Holst PE, Vestergaard A et al. Improvement of upper airway obstruction after 131 I-treatment of multinodular nontoxic goiter evaluated by flow volume loop curves. J Endocrinol Invest 1996; 19: 71-5.
  7. Kok-Jensen A. Larynx- og trakealstenoser. Påvisning ved spirometri. Ugeskr Læger 1980; 142: 1612-5.
  8. Larsen KM, Laursen RJ, Jensen JJ. Respiratorisk insufficiens forårsaget af stemmebåndspolyp. Ugeskr Læger 1995; 157: 6272-3.
  9. Rotman HH, Liss HP, Weg JG. Diagnosis of upper airway obstruction by pulmonary function testing. Chest 1975; 68: 796-9.
  10. Acres JC, Kryger MH. Clinical significance of pulmonary function tests. Chest 1981; 80: 207-11.
  11. Lunn WW, Sheller JR. Flow-volume loops in the evaluation of upper airway obstruction. Otolaryngol Clin North Am 1995; 28: 721-9.
  12. Miller RD, Hyatt RE. Evaluation of obstructing lesions of the trachea and larynx by flow-volume loops. Am Rev Resp Dis 1973; 108: 475-81.
  13. Geraghty JG, Coveney EC, Kiernan M, Higgins NJO. Flow-volume loops in patients with goiters. Ann Surg 1992; 215: 83-6.