Skip to main content

Parasitært fibrom

Maria Ferm Eisenhardt & Kresten Rubeck Petersen

20. sep. 2021
4 min.

Parasitært fibrom er betegnelsen for et fibromyom, der ikke har anatomisk forbindelse til uterus, og hvis blodforsyning ikke stammer fra de uterine kar. Parasitære fibromer indgår i Federation of Gynecology and Obstetrics (FIGO)-klassifikationen af fibromyomer [1]. Tilstanden er sjælden, men kan give anledning til diffentialdiagnostiske overvejelser ved abdominale udfyldninger hos kvinder.

Vi beskriver et tilfælde af symptomgivende parasitært fibrom otte år efter en total abdominal hysterektomi.

Sygehistorie

En dengang 38-årig kvinde fik foretaget total abdominal hysterektomi pga. gener fra en forstørret uterus (vægt 895 g) med multiple fibromer af størrelsen 1-5 cm. Uterus blev fjernet in toto. Ovarier og øvrige intraabdominale organer var normale. Indgrebet var primært ukompliceret, men hun udviklede strengileus, som blev laparoskopisk opereret på den tiende postoperative dag.

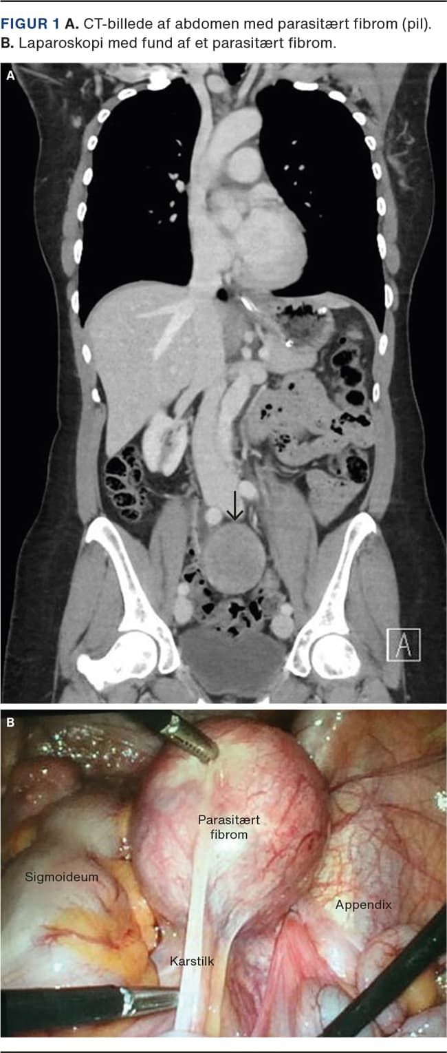
Otte år senere blev hun indlagt akut i gastrokirurgisk regi pga. diffuse smerter i nedre abdomen. Ved CT fandt man en proces på 5 × 7 cm foran os sacrum med formodet udgangspunkt i højre ovarium (Figur 1A). Hun blev derfor henvist til en gynækologisk afdeling, hvor man ved UL-skanning fandt et normalt højre ovarium, men fik fornemmelse af en vaskulariseret stilk fra højre ovarium til en 5 × 4,7 × 5,5 cm stor fibromlignende proces. Venstre ovarium så naturligt ud. Cancerantigen-125 blev målt til 19 kE/l (normalværdi: < 35 kE/l). Smerterne gik i ro, og hun blev udskrevet til ambulant kontrol tre uger senere, hvor hun fortsat var generet af mavesmerter og oppustethed. Der blev foretaget MR-skanning af genitalia interna, hvor man genfandt en solid velafgrænset struktur på 5 × 7 cm beliggende i højre side af det lille bækken adskilt fra ovarier og kar. Hun blev tilbudt laparoskopisk fjernelse, hvor man fandt normale ovarier, men en fibromlignende struktur på 5 × 5 cm med karforsyning fra området omkring coecum (Figur 1B). Der var ingen relation til højre ovarium, og de øvrige abdominalorganer var normale. Fibromet blev in toto fjernet i pose gennem en udvidet incision i venstre fossa iliaca. Operationen forløb ukompliceret, og hun var efterfølgende symptomfri. Histologisk undersøgelse viste leiomyom uden tegn til malignitet.

Diskussion

Ætiologien bag parasitære fibromer er uafklaret, men der er fremsat forskellige forklaringsmodeller. En af disse går ud på, at et stilket uterint fibrom opnår accessorisk blodforsyning fra et andet sted i abdomen og derefter adskiller sig fra uterus. En anden mulig årsag til tilstedeværelsen af parasitære fibromer er fibromvæv, som er efterladt i forbindelse med en tidligere operation på uterus og siden har implanteret sig i peritonealhulen [2]. Således er der beskrevet flere tilfælde efter intraperitoneal morcellering af fibromer i forbindelse med laparoskopisk hysterektomi eller myomektomi [2]. Uafskærmet morcellering af fibromer i peritonealhulen er nu obsolet bl.a. pga. rapporter om intraperitoneal sarkomudvikling, som synes at være opstået efter sådanne procedurer. Laparoskopisk morcellering af fibromer foregår nu udelukkende med metoder, som forhindrer intraabdominal spredning [3]. Desuden er der beskrevet tilfælde, hvor myomet udgår fra mave-tarm-kanalen, hyppigst ventriklen og tyndtarmen uden tilstedeværelse af uterine fibromer [4].

Incidensen af parasitære fibromer kendes ikke med sikkerhed, men i et systemisk review angav man incidensen til at være på 0,12% og 1,25% efter laparoskopisk morcellering ved hhv. myomektomi og hysterektomi [5]. Hyppigheden må antages at være aftagende, da bidraget fra uafskærmet morcellering forventes at falde bort.

Symptomerne kan variere, men der er beskrevet mavesmerter, oppustethed, pollakisuri og dyspareuni, men tilstanden kan også være asymptomatisk og påvises i forbindelse med anden kirurgi eller gynækologisk undersøgelse [5].

Udredningen består typisk af en kombination af CT, UL- og MR-skanning, og i litteraturen er der udelukkende beskrevet kirurgisk behandling, oftest i form af laparoskopiske indgreb [2].

Patienten i sygehistorien fik konstateret et parasitært fibrom otte år efter en åben hysterektomi, hvilket kun er beskrevet enkelte gange i litteraturen. Tilstanden er hyppigst beskrevet hos kvinder, der tidligere har fået foretaget laparoskopisk hysterektomi eller myomektomi, hvorfor den bør overvejes ved abdominale udfyldninger hos denne gruppe.



Korrespondance Maria Ferm Eisenhardt. E-mail: maria.ferm.eisenhardt@regionh.dk
Antaget 17. august 2021
Publiceret på ugeskriftet.dk 20. september 2021
Interessekonflikter ingen. Forfatternes ICMJE-formularer er tilgængelige sammen med artiklen på ugeskriftet.dk
Referencer findes i artiklen publiceret på ugeskriftet.dk
Artikelreference Ugeskr Læger 2021;183:V04210382

Summary

Parasitic fibroma

Maria Ferm Eisenhardt & Kresten Rubeck Petersen

Ugeskr Læger 2021;183:V04210382

Parasitic myomas are fibromyomas without anatomical relation to the uterus. It is a rare condition mostly described after laparoscopic fibroid morcellation. This is a case report of a patient with a symptomatic abdominal mass eight years after total abdominal hysterectomy. A parasitic myoma was found in relation to coecum and removed laparoscopically. The condition should be considered in symptomatic women with previous fibroid surgery.

Referencer

Referencer

  1. Munro MG, Critchley HOD, Fraser IS et al. The two FIGO systems for normal and abnormal uterine bleeding symptoms and classification of causes of abnormal uterine bleeding in the reproductive years: 2018 revisions. Int J Gynecol Obstet 2018;143:393-408.

  2. Kho KA, Nezhat C. Parasitic myomas. Obstet Gynecol 2009;114:611-5.

  3. Poulsen BB, Munk T, Rudnicki M, Ravn P. Fibrom i livmoderen. Ugeskr Læger 2017;179:V04170287.

  4. Gaichies L, Fabre-Monplaisir L, Fauvet R et al. Leiomyomatosis peritonealisis disseminata: two unusual cases with literature review. J Gynecol Obstet Hum Reprod 2018;47:89-94.

  5. van der Meulen JF, Pijnenborg JMA, Boomsma CM et al. Parasitic myoma after laparoscopic morcellation: a systematic review of the literature. BJOG 2016;123:69-75.