Parauretralt leiomyom hos en ung kvinde med dyspareuni


En 22-årig kvinde kom til urologisk vurdering pga.
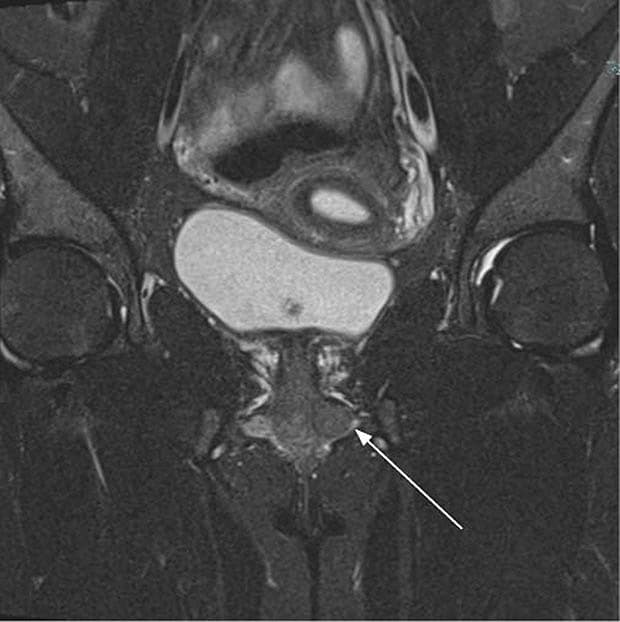
en ca. 1 cm stor rund, uøm og mobil udfyldning på venstre labia minora med tæt relation til urethra. Hun havde gener i form af dyspareuni og fremmedlegemefornemmelse, men ingen øvrige symptomer fra urinvejene. Der blev foretaget en MR-skanning af det lille bækken, hvor man på de vægtede billeder så et parauretralt leiomyom.
Der var indikation for operation, og leiomyomet excideredes, efter at man peroperativt havde udtømt indholdet af cysten. Indholdet blev beskrevet som grynet. En histologisk diagnose verificerede, at der var tale om et parauretralt leiomyom. Der var intet malignitetssuspekt.
Parauretral leiomyom er en benign østrogenafhængig neoplasma af mesenkymal oprindelse [1]. Udfyldningen giver sjældent symptomer, men kan
bevirke dyspareuni og dysuri pga. obstruerende
lokalisering og fremmedlegemefornemmelse. Differentialdiagnostisk er det klinisk vanskeligt at skelne imellem uretrale og parauretrale divertikler samt leiomyomer i vaginas væg uden brug af forskellige billedmodaliteter til fremstilling af anatomien.
Den anbefalede behandling er komplet resektion pga. risiko for malignitet, at verificere diagnosen og lette patientens symptomer [2].
Maria Feldborg Bruun Andersen
E-mail: marias@dadlnet.dk
Urologisk Afdeling, Roskilde Sygehus
Publiceret på ugeskriftet.dk: 13. februar 2017
Interessekonflikter: ingen. Forfatterens ICMJE-formular er tilgængelig sammen med artiklen på Ugeskriftet.dk
Perugia G, Ciccariello M, Pirolli F. Paraurethral leiomyoma. Urology 2012;
79:e51-e52.
Migliari R, Buffardi A, Mosso L. Female paraurethral leiomyoma: treatment and long-term follow-up. Int Urogynecol J 2015;26:1821-5.