Skip to main content

Patient med gigant umbilikalhernie præ-operativt behandlet med botulinumtoksin A

Kristian Kiim Jensen1, Margaret Hensler1, Regnar Bøge Arnesen1, Kenneth Jensen2 & Lars Nannestad Jørgensen1

23. jan. 2017
4 min.

Behandling af patienter med giganthernier er en udfordring, da indgrebene er langvarige, medfører store sårflader, kræver indsættelse af større fremmedlegemer
og ofte forårsager tension ved lukning af bugdefekten. Rekonstruktion af bugvæggens anatomi inklusive gendannelse af linea alba er vigtig for at opnå et acceptabelt funktionelt resultat og nedsætte risikoen for recidiv af herniet [1, 2]. Sådanne indgreb kræver derfor ofte supplerende lateral mobilisering af musculi recti abdominis (components separation), således at linea alba kan gendannes uden tension.For nylig er præoperativ intramuskulær administration af botulinumtoksin A (BTA) i flankerne blevet rapporteret at være et lovende tiltag hos patienter med giganthernier, der ellers ville bedømmes som værende inoperable, f.eks. pga. store mængder viscera, der befinder sig uden for bughulen og ikke kan reponeres (loss of domain) [3]. I litteraturen er der kun beskrevet få kasuistiske serier [3, 4], hvorfor der her præsenteres et behandlingsforløb hos en dansk patient, der havde et giganthernie og blev behandlet med BTA og efterfølgende kirurgi.

SYGEHISTORIE

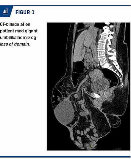
En 51-årig kvinde var i systemisk behandling med azathioprin for morbus Crohn. Igennem ti år havde hun haft et primært umbilikalhernie, som var tiltaget i størrelse. Grundet svær overvægt og dertilhørende risici ved kirurgi afstod man initialt fra at operere hende for umbilikalherniet. Ved CT fandt man, at herniedefekten målte 12 cm horisontalt og 8 cm vertikalt. Selve broksækken indeholdt det meste af tynd- og tyktarmen samt en benignt udseende ovariecyste, og patienten havde således udtalt loss of domain (Figur 1). Efter et påkrævet præoperativt vægttab fra 160 kg til 113 kg reduceredes patientens body mass index til 35 kg/m2, og en operation med præoperativ administration af BTA blev planlagt.

Fire uger præoperativt blev der på opvågningsafsnittet ultralydsvejledt injiceret i alt 300 enheder BTA i m. transversus abdominis, m. obliquus internus og m. obliquus externus bilateralt. Indstikkene blev foretaget i midtaksillærlinjen henholdsvis kaudalt for ribbenskurvaturen, på umbilikalniveau og kranialt for hoftebenskammen uden lokal infiltrationsanalgesi. Patienten havde ingen gener umiddelbart efter injektionerne, men ved opfølgning 27 dage efter BTA-administrationen berettede hun om afslapning af bugvæggen, et laverehængende hernie og nedsat hostekraft. Hun havde i tillæg fået taledyspnø, men der var normal oxygensaturation (perkutant 97%) og respirationsfrekvens (16 åndedrag/minut). Der var ingen ændring af fasciedefektens størrelse målt ved en fornyet CT.

Ved operationen reseceredes i alt 7,1 kg hud, subkutant fedt og cystevæv, og bugvæggen blev rekonstrueret med placering af en retromuskulær meshe, idet
linea alba kunne gendannes, uden at components separation var nødvendig. Det postoperative forløb var ukompliceret, og patienten blev udskrevet på det syvende postoperative døgn. Ved enmånedskontrollen havde hun tiltagende hostekraft og var ikke længere taledyspnøisk. Histologisk undersøgelse af ovariecysten viste benigne forhold, og der var ingen sårproblemer eller hernierecidiv (Figur 2).

DISKUSSION

I denne kasuistik beskrives vores første erfaring med præoperativ administration af BTA i behandlingen af en patient med giganthernie. Den store fordel ved dette tiltag er, at rekonstruktion af midtlinjen formentligt kan opnås uden deling af muskulatur eller aponeurose i den laterale bugvæg, hvilket ellers er den traditionelle forudsætning for lukning af større bugvægsdefekter [5]. Dermed kan grænserne for, hvilke patienter der kan tilbydes operation for større bugvægsdefekter, muligvis også rykkes. I de publicerede serier om præoperativ administration af BTA er der ikke beskrevet nogen komplikationer i relation til injektionerne [4]. Om brugen af BTA i fremtiden helt kan afløse deling af muskulaturen i den laterale bugvæg hos patienter med giganthernie er uafklaret. Fremtidige prospektive kontrollerede studier bør udføres med det formål at vurdere BTA over for f.eks. components separation for at fastslå forskelle med hensyn til effektiviteten af behandlingen, incidensen af postoperative komplikationer, sen bugvægsfunktion og hernierecidiv. Der savnes fortsat viden om indikationen for BTA, det optimale tidspunkt for den præoperative administrationen, og hvorvidt der opnås en additiv effekt af components
separation
efter administration af BTA.

Korrespondance: Kristian Kiim Jensen. E-mail: mail@kristiankiim.dk

Antaget: 6. december 2016

Publiceret på Ugeskriftet.dk: 23. januar 2017

Interessekonflikter:

Summary

Patient with a giant umbilical hernia treated preoperatively with botulinum toxin type A

Surgical closure of giant abdominal wall hernia defects remains challenging. We report our initial experience with administration of botulinum toxin type A (BTA) for this approach in a 51-year-old female with a giant primary umbilical hernia and abdominal loss of domain. Four weeks prior to surgery, BTA was injected into the transverse abdominal and oblique muscles. During surgery the linea alba was reconstructed without lateral release procedures. At one-month follow-up, muscle relaxation had diminished and no surgical site occurrences were experienced.

Referencer

Litteratur

  1. Jensen KK, Munim K, Kjaer M et al. Abdominal wall reconstruction for incisional hernia optimizes truncal function and quality of life: a prospective controlled study. Ann Surg 8. jun 2016 (e-pub ahead of print).

  2. Jensen KK, Backer V, Jorgensen LN. Abdominal wall reconstruction for large incisional hernia restores expiratory lung function. Surgery 2017;
    161:517-24.

  3. Ibarra-Hurtado TR, Nuno-Guzman CM, Miranda-Diaz AG et al. Effect of botulinum toxin type A in lateral abdominal wall muscles thickness and length of patients with midline incisional hernia secondary to open abdomen management. Hernia 2014;18:647-52.

  4. Farooque F, Jacombs AS, Roussos E et al. Preoperative abdominal muscle elongation with botulinum toxin A for complex incisional ventral hernia repair. ANZ J Surg 2016;86:79-83.

  5. Jensen KK, Henriksen NA, Jorgensen LN. Endoscopic component separation for ventral hernia causes fewer wound complications compared to open components separation: a systematic review and meta-analysis. Surg Endosc 2014;28:3046-52.